아카이브 요약
이 페이지의 역할
재주좋은치과의원의 네이버 블로그 원문을 보존한 아카이브 페이지입니다. 앞니이야기 카테고리의 앞니 크라운 재치료 시니어에게 더 중요한 이유 글을 통해 병원의 한국어 정보 제공 방식과 진료 관련 안내 톤을 확인할 수 있습니다.
원문 검증
필요하면 원문 블로그와 병원 프로필로 바로 이동해 문맥을 다시 확인할 수 있습니다.
출처 아카이브 열기아카이브된 블로그 글
재주좋은치과의원 · 앞니 레진 비니어 장인, 소현수 원장입니다.
원장님 이 나이에 앞니를 다시 하는 게 맞을까요? 진료실에서 시니어 환자분들께 정말 많이 듣는 질문입니다. “젊은 사람도 아닌데 굳이 예쁘게 할 필요가 있을까요?” “그냥 밥만 잘 먹으면 되지 않나요?” 라며 손사래를 치시곤 하죠. 시니어 분들의 앞니...
게시일
2026년 3월 4일
원문 기준으로 확인된 발행일입니다.
카테고리
앞니이야기
원문 블로그 카테고리를 정리해 함께 표시합니다.
이미지 수
11
현재 아카이브에 연결된 이미지 수입니다.
아카이브 요약
재주좋은치과의원의 네이버 블로그 원문을 보존한 아카이브 페이지입니다. 앞니이야기 카테고리의 앞니 크라운 재치료 시니어에게 더 중요한 이유 글을 통해 병원의 한국어 정보 제공 방식과 진료 관련 안내 톤을 확인할 수 있습니다.
원문 검증
필요하면 원문 블로그와 병원 프로필로 바로 이동해 문맥을 다시 확인할 수 있습니다.
출처 아카이브 열기원장님 이 나이에
앞니를 다시 하는 게 맞을까요?
진료실에서 시니어 환자분들께 정말 많이 듣는 질문입니다.
“젊은 사람도 아닌데 굳이 예쁘게 할 필요가 있을까요?”
“그냥 밥만 잘 먹으면 되지 않나요?”
라며 손사래를 치시곤 하죠.

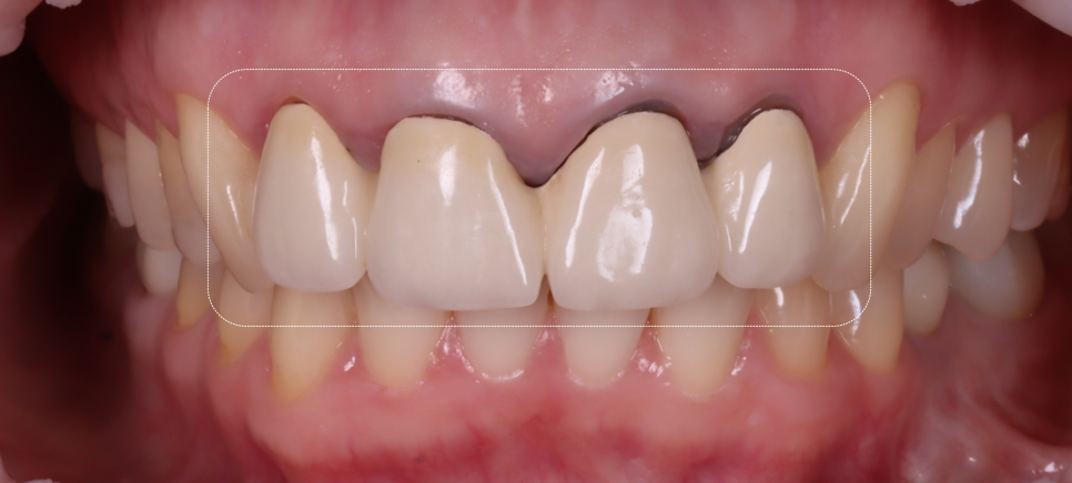
시니어 분들의 앞니 크라운 재치료는 단순히 심미적인 면만 개선하는 미용 치료가 아니에요.
앞으로의 20년을 건강하게 살기 위한 생존 치료라고 할 수 있습니다.

오늘 시니어 분들께 앞니 재치료가 왜 '선택'이 아닌 '필수'인지 그 진짜 이유를 말씀드릴게요.
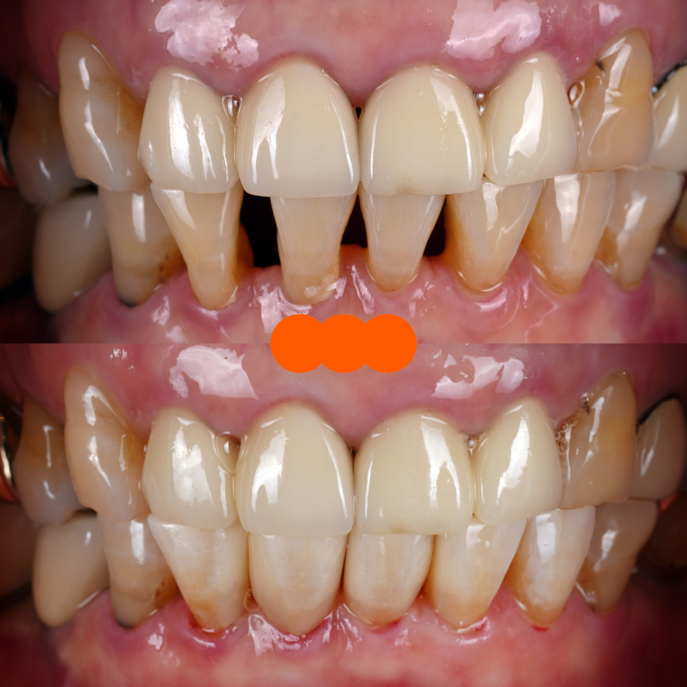
20년 된 오래된 보철, 겉은 멀쩡해 보여도 속은 '시한폭탄'일 수 있어요.
시니어 분들의 구강을 보면 20년 이상 된 크라운을 쓰고 계신 분들이 많아요.
하지만 아무리 잘 만든 보철물도
수명이 있습니다.

크라운은 특히 잇몸과 만나는 경계 부위가 중요한데요.
시간이 지나면 경계가 조금씩 벌어지고 잇몸이 내려가게 돼요.
그로 인해 크라운 하방으로 2차 충치가 생길 수 있어요.

겉으로는 보철이 조금 들뜬 것 같아도 크라운을 제거해 보면 조금만 더 늦었으면 충치가 뿌리까지 진행되어 발치를 고려해야 할 상황이었던 경우가 생각보다 꽤 많아요.
그래서 저는 “아직 괜찮아 보이는데요?”라는 말씀을 들을 때마다 겉모습이 아니라 보철물 내부와 경계 부위의 상태를 꼭 함께 확인해야 한다고 설명드립니다.
크라운의 평균 수명이 정해져 있는 것은 아니지만,
20년 이상 사용했다면 단순 유지가 아니라 재평가(re-evaluation)의 시점으로 보는 것이 안전합니다.
입은 소화 기관의 시작점: 앞니가 건강해야 온몸이 웃습니다.
앞니는 보이는 게 중요하기만 한 치아가 아니에요. 음식을 자르는 첫 관문이에요. 이곳이 제대로 맞물리지 않으면 어금니가 대신 고생을 합니다.
면이나 사과 등을 먹는다고 했을 때 앞니가 없다면 가위로 잘라먹거나 어금니로 깊게 물어 먹을 수밖에 없어요. 아예 베어먹는 게 불가능하거든요.
그리고 시니어 분들께 ‘잘 씹는 것’은 그냥 편한 문제가 아니에요. 씹는 기능이 떨어지면 단단한 음식은 피하게 되고 식단이 점점 부드러운 음식 위주로 바뀌어요.

그러면 단백질 섭취가 줄어 근육량이 줄고 전신 건강에도 영향을 줄 수 있어요. 영양 불균형이나 영양실조, 심지어는 소화 계통 문제까지 이어질 수 있죠.
또한 영양 상태가 불안정하면 집중력, 학습 능력, 기억력 등 인지 기능에도 영향을 줄 수 있다는 보고도 있습니다.
치아는 입안에 위치해 있지만, 그 영향은 전신 건강으로 이어진 다는 점을 기억해 주세요!

앞니 재치료, 치아를 넘어 '인생의 표정'을 바꿉니다.
앞니 크라운 재치료가 완료되면 표정부터 달라져요. 이건 제가 매번 느끼는 부분이에요ㅎㅎ
상담할 때는 '이 나이에 하는 게 맞을까?'라는 의구심으로 시작하셨지만 막상 치료 후에는 활짝 웃으세요.

“원장님, 이제 사진 찍어도 되겠어요.” 이 한 마디에 치료 의미가 다 들어있어요.
시니어 분들의 사회활동은
건강의 중요한 지표예요.
모임에 나가고 친구를 만나고 사람들 앞에서 웃고 이야기하는 것이 노년기 자신감에 정말 큰 영향을 끼치거든요.
마음에 걸리면 웃을 때 입으로 손이 가게 되고 대화나 식사를 하는 것도 꺼려지게 되는데요. “이 나이에 뭐..”라고 말씀하시지만 사실은 조금씩 자신감을 내려놓고 계셨던 거예요.

경우에 따라 레진으로도 가능해요^^
앞니 재치료는 단순히 젊어 보이려고 하는 게 아니라 다시 자연스럽게 웃기 위한 치료 그리고 잃어버린 자신감을 회복할 수 있는 과정이라 할 수 있어요.
제가 노년치의학을 끊임없이 연구하고 공부하는 단 하나의 이유
시니어 치료는 젊은 환자 치료와 완전히 같지 않아요. 전신 질환, 복용 약물, 잇몸 상태, 뼈 밀도, 회복 속도까지 모두 고려해야 하거든요.

더 자세한 내용이 궁금하시다면 사진을 클릭해 주세요😊
그래서 저는 대한 노년치의학회 평생회원으로 활동하며 학회 연구와 교육에 꾸준히 참여하고 있어요.
노년치의학회 인정의 과정을 수료해 노년 구강관리 전문가 인증도 받았답니다😄
이건 단순히 타이틀을 위한 게 아니에요. 시니어 앞니 크라운 재치료는 단순히 보철물을 바꾸는 작업이 아니라 앞으로 10년, 20년을 설계하는 일이라고 생각하기 때문이에요.
하나를 다시 씌워도 잇몸과 교합, 전신 상태까지 고려해야 오래 안정적으로 그리고 더 편안하게 사용하실 수 있거든요.

앞니는 생각보다 영향력이 커요. 교합 균형, 잇몸 건강, 발음, 표정, 자신감 등 전부 연결돼 있어요. 그래서 저는 시니어 앞니 크라운 재치료를 치아 교체가 아니라 삶의 질 업그레이드라고 생각해요^^
“이 나이에 굳이..”라는 망설임, 저도 충분히 이해합니다. 하지만 건강에는 은퇴가 없기에 관리 또한 나이와 상관없이 지속되어야 합니다.

단순히 보기에 안 좋은 문제를 넘어 잇몸이 자주 붓고, 음식을 씹는 게 불편하며, 무엇보다 웃을 때마다 마음이 쓰인다면 그것은 더 이상 미용의 문제가 아니에요. 우리 몸이 보내는 '치료가 필요하다'는 간절한 신호입니다.
앞니 크라운 재치료는 젊어 보이기 위한 선택이 아니라 건강하고 자신 있게 살아가기 위한 가치 있는 선택이에요.
치료는 기력이 다했을 때 하는 것보다 건강이 남아 있을 때 하는 것이 회복도 빠르고 결과도 훨씬 좋습니다.
불편함을 참는 것이 미덕인 시대는 지났습니다. 이제는 본인의 건강과 미소를 위해 용기를 내어보세요. 그 용기에 정직하고 숙련된 진료로 보답하겠습니다.
지금까지 재주좋은치과 소현수 원장이었습니다. 감사합니다.
👇🏻 빠른 예약 👇🏻
👇함께 읽어보면 좋은 글들! 👇
지르코니아