아카이브 요약
이 페이지의 역할
재주좋은치과의원의 네이버 블로그 원문을 보존한 아카이브 페이지입니다. 앞니이야기 카테고리의 앞니 신경치료 변색 원인과 치료법인 실활치 미백 글을 통해 병원의 한국어 정보 제공 방식과 진료 관련 안내 톤을 확인할 수 있습니다.
원문 검증
필요하면 원문 블로그와 병원 프로필로 바로 이동해 문맥을 다시 확인할 수 있습니다.
출처 아카이브 열기아카이브된 블로그 글
재주좋은치과의원 · 앞니 레진 비니어 장인, 소현수 원장입니다.
앞니 신경치료 변색 원인과 치료법인 실활치 미백 앞니 하나만 색깔이 이상해요. 앞니를 주로 진료하다 보니 이렇게 말씀하시는 분들을 자주 뵙게 됩니다. 어느 날 셀카를 찍었는데 유독 앞니 하나만 멍든 것처럼 어둡게 보여 발견하시는 경우가 대부분인데요ㅎㅎ 어릴 때 외상...
게시일
2026년 3월 16일
원문 기준으로 확인된 발행일입니다.
카테고리
앞니이야기
원문 블로그 카테고리를 정리해 함께 표시합니다.
이미지 수
13
현재 아카이브에 연결된 이미지 수입니다.
아카이브 요약
재주좋은치과의원의 네이버 블로그 원문을 보존한 아카이브 페이지입니다. 앞니이야기 카테고리의 앞니 신경치료 변색 원인과 치료법인 실활치 미백 글을 통해 병원의 한국어 정보 제공 방식과 진료 관련 안내 톤을 확인할 수 있습니다.
원문 검증
필요하면 원문 블로그와 병원 프로필로 바로 이동해 문맥을 다시 확인할 수 있습니다.
출처 아카이브 열기앞니 신경치료 변색 원인과
치료법인 실활치 미백
앞니 하나만 색깔이 이상해요.
앞니를 주로 진료하다 보니 이렇게 말씀하시는 분들을 자주 뵙게 됩니다.
어느 날 셀카를 찍었는데 유독 앞니 하나만 멍든 것처럼 어둡게 보여 발견하시는 경우가 대부분인데요ㅎㅎ

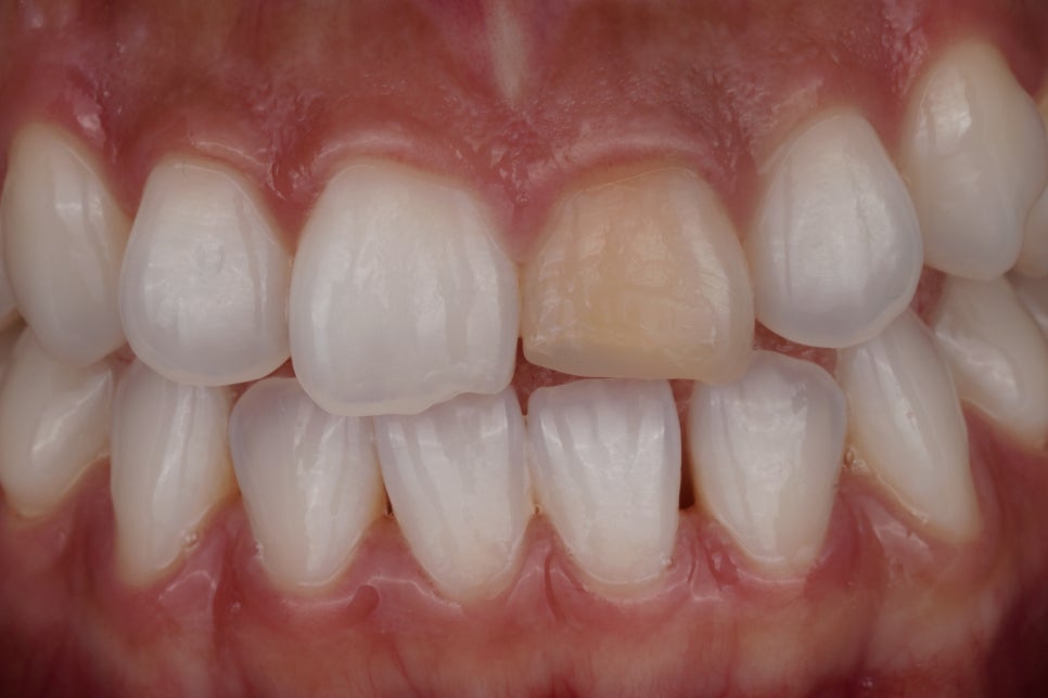
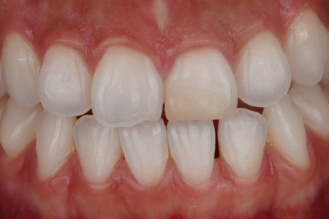
어릴 때 외상 받은 앞니
충치가 생긴 것도, 치아가 깨진 것도 아닌데 혼자만 회색빛으로 겉도는 앞니.
거울을 볼 때마다 시선이 꽂히고, 웃을 때 자기도 모르게 입을 가리게 되죠.
어릴 때 넘어지면서 부딪히거나 외상 받은 경험이 있으시거나 신경치료를 받은 적이 있으시다면 안쪽에서부터 '변색'이 진행되고 있는 것입니다.
오늘은 앞니 신경치료 후 색이 변하는 원인과 치료 방법인 실활치 미백 이야기를 해보려고 합니다.
색이 어두워지는 이유는?

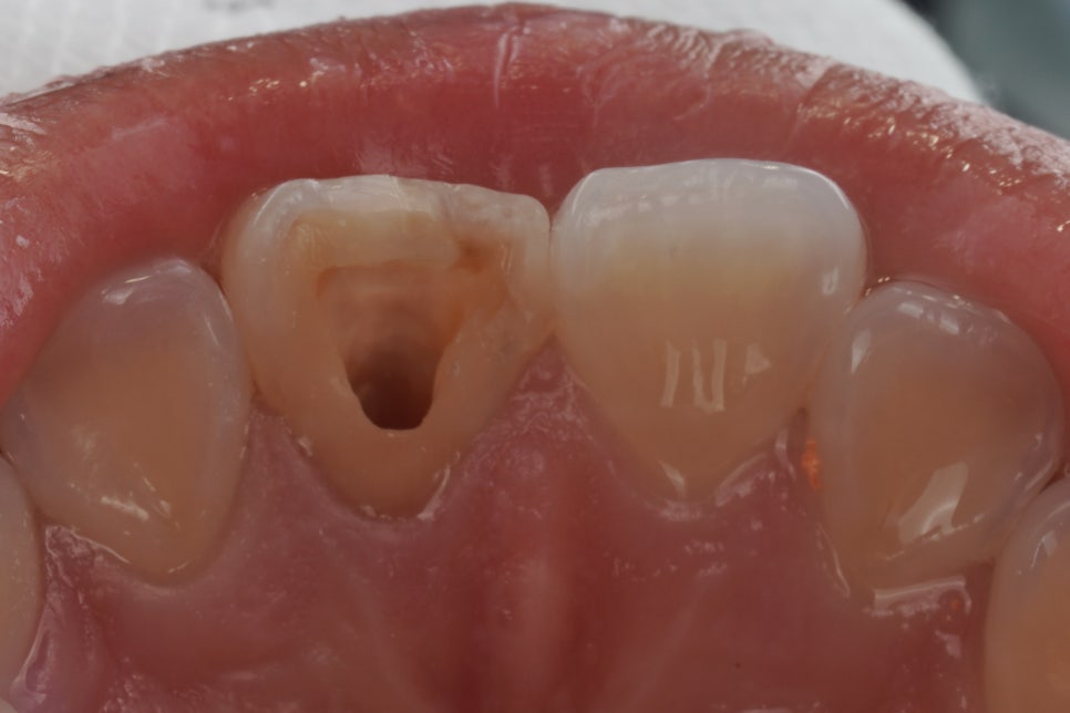
신경치료가 완료된 모습
신경치료는 통증을 없애기 위해 치아 내부의 신경뿐만 아니라 혈관(영양 공급원)까지 모두 제거하는 과정입니다.
영양분과 수분이 공급되지 않으면 치아는 퍼석퍼석한 고목나무처럼 변하는데요.
이 과정에서 치아의 상아질 구조가 점차 수분을 잃고, 유기물이 변성되면서 투명도를 잃고 어둡게 변하게 됩니다.
외상으로 신경이 서서히 죽는(괴사) 경우가 신경치료를 받은 경우보다 치아 색이 훨씬 더 어둡고 탁하게 변하는 경우가 많은데요.
치아에 강한 충격이 가해지면 치아 안쪽 신경관의 미세혈관이 터지며, 흘러나온 혈액이 치아 밖으로 배출되지 못하고 갇히게 돼요.

혈액 속의 철분(헤모글로빈) 성분이 치아 벽(상아질)의 미세한 구멍 속으로 스며들어 고착되며, 이것이 시간이 지나며 부패해 검붉거나 회색빛으로 비쳐 보이는 것이죠.
신경치료는 오염된 신경을 깔끔하게 제거하지만, 외상에 의한 괴사는 죽은 신경 조직이 치아 안에 그대로 남아 부패하게 되는데요.
이 과정에서 발생하는 가스와 부산물들이 치아 조직을 안쪽에서부터 오염시켜 신경치료를 한 치아보다 더 진한 변색을 유발하기도 합니다.
치아 안쪽에서부터 색이 어두워지는 것이기에 치아 내부부터 색상을 밝히는 실활치 미백이 필요하게 돼요.
실활치(신경이 죽은 치아) 미백은 어떻게 진행될까?
보통 미백이라고 하면 치아 겉에 약을 바르는 걸 떠올리시죠. 하지만 실활치의 미백은 다릅니다.
치아 안쪽에 약재를 넣어 진행하는데요. 과정을 간단히 설명드릴게요^^


먼저 신경치료가 되어 있는 치아를 열어서 안쪽 상태를 확인하는 과정을 거쳐요.

1주 뒤
그리고 변색의 원인이 될 수 있는 신경관 입구 쪽의 약재나 충전물을 정리해 줍니다.
이 과정만으로도 색이 조금 밝아질 때도 있어요.

2주 뒤
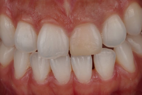
그다음에는 치아 내부 공간에 미백 약제를 넣어서 일정 시간 작용하도록 하는데요. 이 약제에서 산소가 발생하며 조금씩 밝게 만들어 주는 원리에요^^

3주 뒤
치아 상태에 따라 한 번으로 끝나는 경우도 있지만 보통은 몇 차례 반복하면서 주변 인접치와 자연스럽게 어울리는 색을 맞춰 가고 있어요.
산소가 빠지려면 충분한 시간을 기다리는 것이 중요하거든요.

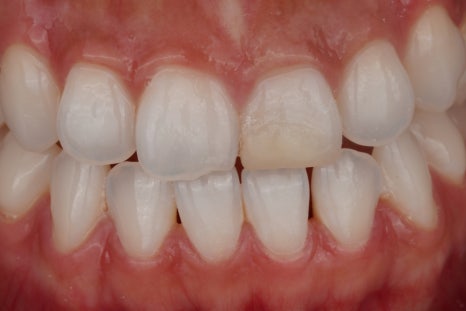
완료 후
한 2주 정도 기다리면 이렇게 건강한 자연치와 같은 모습으로 바뀌게 된답니다^^
실활치 미백을 해도 시간이 지나면 다시 어두워질 수 있다?

이 치료를 진행할 때 환자분들께 꼭 말씀드리는 부분이 있어요ㅎㅎ
실활치 미백은 치아 색을 밝게 만들어 주는 치료이지만 영구적이지는 않다는 것이에요.
몇 년 정도 지나면 다시 어느 정도 색이 어두워질 수 있어요.
왜냐하면 신경이 없는 치아는 시간이 지나면서 색 변화가 생길 수 있기 때문이죠.

그래도 너무 걱정하실 필요는 없습니다^^ 다시 미백을 진행하거나 색을 보정하는 치료로 충분히 관리가 가능하거든요.
그래서 저는 실활치 미백을 치아를 깎지 않고 색을 회복하는 과정이라고 설명드리고 있어요.
색이 변했다고 바로 크라운을 해야 할까?
앞니 색이 변했을 때 가끔 이런 이야기를 들어요.

이런 과정 없이 크라운으로
씌우면 되지 않나요?
물론 크라운이 필요한 경우도 있어요. 하지만 크라운은 치아 삭제량이 많은 치료에요.
보통 치아의 70% 정도를 삭제해야 크라운을 씌울 수 있거든요.
그래서 특히 젊은 환자분들의 경우에는 실활치 미백 → 레진 홀 메우기 이렇게만 하셔도 크라운 없이 하얀 치아를 얻을 수 있습니다.

크라운 없이 치료 완료
저는 치아는 한 번 삭제하면 다시 되돌릴 수 없기 때문에 살릴 수 있을 때 살려야 한다는 생각으로 매 진료에 임하고 있어요.
앞니 하나가 어둡게 변했을 때 느끼는 스트레스는 상상 이상입니다.
하지만 웃음을 되찾기 위해 멀쩡한 치아의 대부분을 깎아내는 크라운 치료를 섣불리 선택할 필요는 없어요.
오늘 소개해 드린 실활치 미백은 치아의 본래 구조를 최대한 보존하면서 안쪽에서부터 맑은 빛을 되찾아주는 가장 '보존적인' 치료죠.
비록 영구적이지는 않더라도, 몇 년에 한 번씩 간단한 보정만으로도 건강하고 하얀 치아를 오래도록 유지할 수 있어요.
내 치아를 가장 아끼고, 오랫동안 건강하게 사용하게 해줄 의료진에게 상담받아 보시길 바랍니다.
깎아내는 것은 언제든 할 수 있지만, 한 번 깎아낸 치아는 다시 되돌릴 수 없으니까요.
여러분의 환한 미소를 되찾는 그날까지, 함께 고민하고 최선을 다해 진료하겠습니다.
긴 글 읽어주셔서 감사합니다. 지금까지 재주좋은치과 소현수 원장이었습니다.
👇🏻 빠른 예약 👇🏻
👇함께 읽어보면 좋은 글들! 👇