아카이브 요약
이 페이지의 역할
재주좋은치과의원의 네이버 블로그 원문을 보존한 아카이브 페이지입니다. 앞니이야기 카테고리의 앞니 크라운 검은 선 단순한 보철 문제가 아닐 수도 있습니다 글을 통해 병원의 한국어 정보 제공 방식과 진료 관련 안내 톤을 확인할 수 있습니다.
원문 검증
필요하면 원문 블로그와 병원 프로필로 바로 이동해 문맥을 다시 확인할 수 있습니다.
출처 아카이브 열기아카이브된 블로그 글
재주좋은치과의원 · 앞니 레진 비니어 장인, 소현수 원장입니다.
앞니 크라운 검은 선 단순한 보철 문제가 아닐 수도 있습니다 앞니 크라운 했었는데 까맣게 보여요. 상담하다 보면 꽤 많은 분들이 이렇게 말씀하세요. 이런 말씀 하시는 분들의 공통점으로는 치료한지 시간이 꽤 흘렀다는 점이죠. 오래된 크라운 경계에 위치한 검은 선은...
게시일
2026년 3월 19일
원문 기준으로 확인된 발행일입니다.
카테고리
앞니이야기
원문 블로그 카테고리를 정리해 함께 표시합니다.
이미지 수
9
현재 아카이브에 연결된 이미지 수입니다.
아카이브 요약
재주좋은치과의원의 네이버 블로그 원문을 보존한 아카이브 페이지입니다. 앞니이야기 카테고리의 앞니 크라운 검은 선 단순한 보철 문제가 아닐 수도 있습니다 글을 통해 병원의 한국어 정보 제공 방식과 진료 관련 안내 톤을 확인할 수 있습니다.
원문 검증
필요하면 원문 블로그와 병원 프로필로 바로 이동해 문맥을 다시 확인할 수 있습니다.
출처 아카이브 열기앞니 크라운 했었는데
까맣게 보여요.
상담하다 보면 꽤 많은 분들이 이렇게 말씀하세요.
이런 말씀 하시는 분들의 공통점으로는 치료한지 시간이 꽤 흘렀다는 점이죠.
오래된 크라운 경계에 위치한 검은 선은 생각보다 다양한 이유로 생기는데요.
보철의 문제인 경우도 있지만, 치아 안쪽이 원인인 경우도 꽤 많아요.
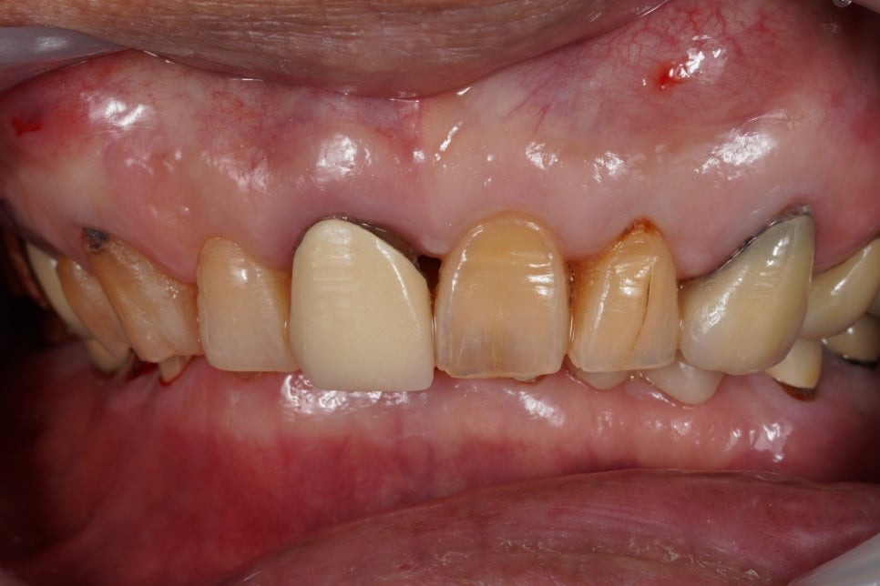
환자분의 실제 사진을 통해 하나씩 설명드릴게요!

| (1) 신경치료 후 변색 |
신경치료를 하면 치아 안에 있던 신경을 제거하고 빈 공간을 약재로 채워 넣게 돼요.

크라운 내부 치아가 변색된 경우
문제는 혈관과 신경을 모두 제거하기 때문에 내부 구조가 수분을 잃고 유기물이 변성되면서 투명도를 잃게 돼요.
그러면 치아 내부 색이 회색이나 검은색처럼 어두워지기도 하죠. 겉에는 크라운이 씌워져 있어서 멀쩡해 보이는데 오래되면서 잇몸이 조금씩 퇴축되면 경계 부분에서 검게 비쳐 보이게 되는 거죠.
| (2) 외상 후 변색 |
또한 외상으로 인해 신경이 서서히 괴사되는 경우 색이 탁하게 변하는데요. 안쪽 미세혈관이 터지며 흘러나온 혈액이 배출되지 못하고 굳어버리게 되고 시간이 지나 부패하면서 검붉은 혹은 회색빛으로 보이게 돼요.

검게 보이는 경계 부위
| (3) 접착제의 변색/탈락 |
크라운은 접착제를 이용하여 붙이는데요. 치아 → 레진 접착층 → 크라운 이렇게 접착 구조로 붙어 있어요.
시간이 지나면서 이 접착제가 미세하게 변색되거나 조금씩 탈락할 수도 있어요. 그러면 치아 사이 경계에서 얇은 검은 선처럼 보이기도 해요.
환자분들이 가끔 이렇게 표현하세요. '밑에 줄 그어놓은 것 같아요.' 정말 딱 맞는 표현이에요ㅎㅎ
| (4) 잇몸 퇴축으로 인해 드러난 PFM |

PFM은 Pocelain Fused Metal의 약자로, 메탈 위에 포세린(흰색 도자기)을 얹어서 제작한 보철이에요.
시간이 지나면서 잇몸이 퇴축되는 것은 자연스러운 노화현상이죠.
하지만 PFM 보철물을 하신 분들에게 이 현상은 유독 고민거리가 되죠.
원래 잇몸 속에 가려져 있던 검은 Metal 부분이 드러나면서 경계 부분이 그림자처럼 검은 선이 생긴 것처럼 보일 수도 있어요.

좌 : 지르코니아 / 우 : PFM
이건 보철이 망가진 게 아니라 잇몸 위치가 바뀌면서 생기는 변화에요.
이렇게 다양한 원인에 따라 발생할 수 있는 문제예요. 중요한 건 왜 생겼는지 원인을 정확히 파악한 뒤 이를 근본적으로 해결할 수 있는 치료를 해야 합니다.
보철만 다시 한다고 해서 해결되지 않는 경우도 있어요.
앞니 크라운 검은 선 때문에 오시면 많은 분들이 이렇게 말씀하세요.
'그럼 이번에 새로 만들면 되겠네요?'
그런데 진료를 해보면 겉에 씌워놓은 보철 자체는 멀쩡한데 앞서 말씀드린 대로 치아 내부 색이 문제인 경우도 있는데요.
이럴 때 크라운만 새로 만들면 겉은 새것인데 안쪽 치아 색은 그대로라 결과가 기대만큼 자연스럽지 않을 수 있고 시간이 지나 또 똑같은 문제가 발생할 수 있어요.
치아 내부 변색이 원인이라면
실활치 미백을 해야 합니다.
실활치 미백은 치아 안쪽에 미백제를 넣어서 치아 색을 안에서부터 밝게 만드는 과정이에요.
👇🏻 실활치 미백에 대한 자세한 내용 👇🏻
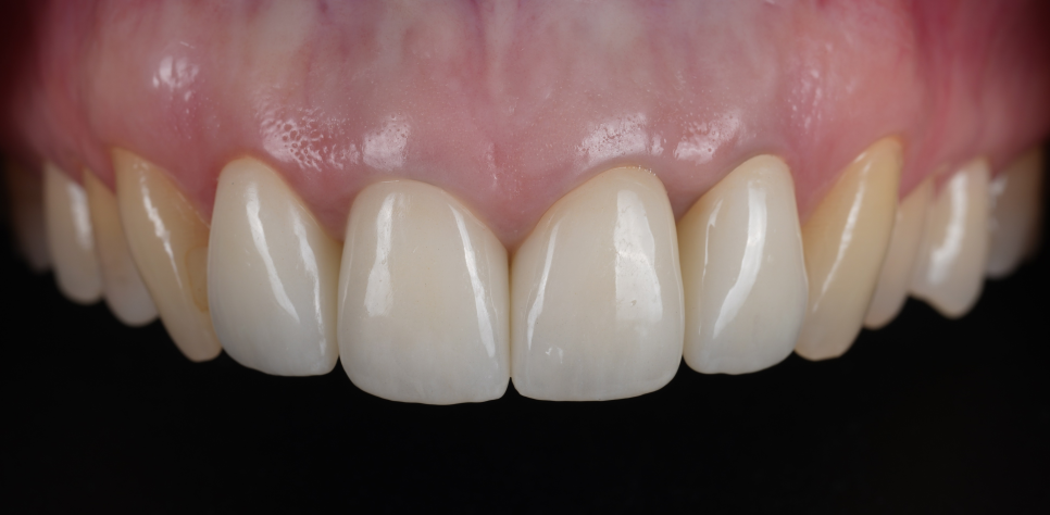
신경치료 후 어두워진 색상이나 신경이 죽은 경우 등 내부 변색이 원인일 때는 실활치 미백을 진행한 뒤 치아 색이 충분히 밝아지면 그다음 단계에서 새로운 크라운을 제작하고 있어요.
이렇게 하면 웃을 때나 얘기를 할 때 보이던 검은 선이 훨씬 자연스럽게 개선되는 경우가 많거든요^^

251022
오래된 접착제가 원인이거나 PFM 보철의 금속 부분이 겉으로 드러나 보이는 경우에는 접착제를 깨끗하게 제거한 뒤 새롭게 제작하거나 금속이 없는 지르코니아 크라운으로 교체를 도와드리고 있어요.

251030
1mm의 디테일이 앞니 크라운의 '한 끗'을 결정합니다.
앞니 치료는 결국 자연스러움과의 싸움입니다. 단순히 새로 덮어 씌우는 기능적 치료를 넘어, 환자분의 미소 속에 녹아들어야 하기 때문이죠.

많은 분이 앞니 크라운 경계에 생긴 검은 선 때문에 입을 가리고 웃거나, 대화할 때 소극적으로 변하곤 하시죠.
하지만 이때 가장 중요한 것은 그 검은 선이 보내는 '신호'가 무엇인지 정확하게 파악하는 일입니다.
그것이 단순히 보철물의 수명이 다해 교체 시기를 알리는 신호인지, 아니면 잇몸 속 치아 내부에서 보내는 긴급한 구조 신호인지를 구분하는 것이 치료의 성패를 가르게 됩니다.
그냥 이거 뜯어내고
새로 씌우면 되지 않나요?
라고 묻는 분들이 많습니다. 하지만 원인을 무시한 채 겉만 바꾸는 치료는 '밑 빠진 독에 물 붓기'와 같죠.
저는 조금 시간이 더 걸리더라도 실활치 미백이나 정밀한 접착 관리를 통해 안쪽부터 건강하고 맑은 색조를 찾아드리는 데 집중하고 있어요.
거울을 볼 때마다 신경 쓰였던 그 '검은 줄', 이제는 가리지 말고 전문가와 상의해 보세요. 본연의 밝은 미소를 되찾으실 수 있도록 세심하게 도와드리겠습니다^^

긴 글 읽어주셔서 감사합니다. 앞니에 진심인 재주좋은치과 소현수 원장이었습니다.
👇🏻 빠른 예약 👇🏻
👇함께 읽어보면 좋은 글들! 👇