아카이브 요약
이 페이지의 역할
원진치과의원의 네이버 블로그 원문을 보존한 아카이브 페이지입니다. 미용치료 카테고리의 역삼동라미네이트, 결혼 앞두고 고민 중이라면? <필독> 글을 통해 병원의 한국어 정보 제공 방식과 진료 관련 안내 톤을 확인할 수 있습니다.
원문 검증
필요하면 원문 블로그와 병원 프로필로 바로 이동해 문맥을 다시 확인할 수 있습니다.
출처 아카이브 열기아카이브된 블로그 글
원진치과의원 · Naver Blog
안녕하세요. 원진치과 대표원장 박재형 입니다. 역삼동라미네이트 결혼을 앞두고 앞니 라미네이트를 고민하시는 분들이 많습니다. 하얗고 가지런한 치아를 위해 선택되는 치료이지만 라미네이트는 단순한 심미 시술로만 판단하기에는 여러 요소를 함께 고려해야 합니다. 역삼동라미네이트 이 글에서는 1) 라미네...
게시일
2026년 2월 4일
원문 기준으로 확인된 발행일입니다.
카테고리
미용치료
원문 블로그 카테고리를 정리해 함께 표시합니다.
이미지 수
17
현재 아카이브에 연결된 이미지 수입니다.
아카이브 요약
원진치과의원의 네이버 블로그 원문을 보존한 아카이브 페이지입니다. 미용치료 카테고리의 역삼동라미네이트, 결혼 앞두고 고민 중이라면? <필독> 글을 통해 병원의 한국어 정보 제공 방식과 진료 관련 안내 톤을 확인할 수 있습니다.
원문 검증
필요하면 원문 블로그와 병원 프로필로 바로 이동해 문맥을 다시 확인할 수 있습니다.
출처 아카이브 열기안녕하세요.
원진치과
대표원장 박재형 입니다.

역삼동라미네이트
결혼을 앞두고
앞니 라미네이트를
고민하시는 분들이 많습니다.
하얗고 가지런한 치아를 위해
선택되는 치료이지만
라미네이트는
단순한 심미 시술로만
판단하기에는 여러 요소를
함께 고려해야 합니다.

역삼동라미네이트
이 글에서는
| 1) 라미네이트가 현재내 치아 상태에 적합한 선택인지2) 다른 치료 방법,더 나은 대안은 없는지 |
판단하는 데 도움이 될
내용을 정리해드립니다.
중요한 결정을 앞두고
후회 없는 선택을 하시는 데
참고가 되길 바랍니다.

역삼동라미네이트
역삼동 라미네이트
왜 매력적인 선택일까요?
강남원진치과
웨딩 촬영과 본식을 앞두고
라미네이트를 찾는 분들이
많은 이유는 분명합니다.

출처: plasticsurgery.theclinics.com
교정은 최소 6개월에서
1년 이상 걸리지만
라미네이트는 2~3주 내로
하얗고 가지런한 앞니를
만들 수 있기 때문입니다.
바쁜 결혼 준비 일정 속에서
빠르게 변화를 원하시는 분들께
충분히 합리적인 선택지가 될 수 있습니다.
하지만 실제 진료 현장에서는
충분한 고민 없이 결정했다가
아쉬움을 느끼는 경우도
종종 마주하게 됩니다.
먼저 알아두셔야 할 것
역삼동라미네이트
라미네이트는 치아의 겉면을 얇게
다듬은 뒤 세라믹을 부착해
색상과 형태를 개선하는 치료입니다.
다만 치아 삭제를 동반하기 때문에
단기적인 결과뿐 아니라
장기적인 치아 건강도 함께
고려하시는 것이 좋습니다.

역삼동라미네이트
특히 여러 개의 앞니를
동시에 계획하신다면
치아 상태와 전체 균형을 조금 더
세밀하게 살펴보시길 권해드립니다.
< 아래 사례도 함께 참고해 보시면
이해에 도움이 되실 겁니다 ↓ >
라미네이트를 고민하시는
분들이 가장 바라는 것
역삼동라미네이트
'자연스럽고 티 나지 않는 결과' 일 거예요.
그런데 이 자연스러움은 어디서 결정될까요?
바로 보철 제작 과정에 달려 있습니다.
잘 아시다시피 사람마다
치아의 형태, 색상,
투명도, 표면 질감이
모두 다릅니다.

출처: Stefan Roozen, The color gradient of natural teeth and their intelligent imitation, International Dentistry – African Edition, 2021.
그래서 라미네이트도
공장에서 찍어내듯 획일적으로 만들어서는
자연스러운 결과를 얻기 어렵습니다.
반드시 개개인에
맞춘 정밀한 제작이 필요합니다.
매장에서 볼 땐 예뻐 보였던
옷이 집에 와서 입어보니
어색했던 경험, 있으시죠?
조명과 각도에 따라 분위기가
달라져서인데요,
치아도 똑같습니다.

다양한 흰색 톤 중에서도
내 본래 치아와 주변 치아에 조화를
이루는 미세한 차이를 잡아내야 합니다.
주변 치아와 색이나
형태가 살짝만 어긋나도
다른 사람은 몰라도 본인은
계속 거슬릴 수 있어요.
그럴 수밖에 없죠.
내 얼굴에서 가장 잘
보이는 부분이니까요.

역삼동라미네이트
그래서 저희는 자연광과 다양한
조명 아래에서 조화롭게 보일 수 있도록
디테일한 부분까지 신경 쓰고 있는데요
아래 사례를 함께 보겠습니다.
실제 사례
역삼동라미네이트
진단 및 계획은
치아 배열, 크기, 잇몸 상태를
확인한 뒤
라미네이트가 적합한
경우인지 먼저 판단했습니다.

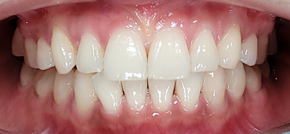
25.01.08 (치료전)
치료 진행은
치아 삭제량을 최소화하면서
자연스러운 색감과 형태를 고려해
라미네이트를 부착했습니다.

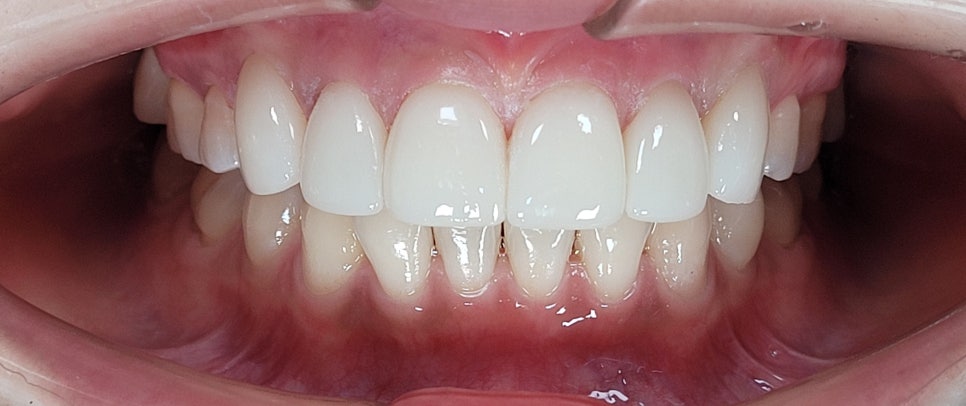
25.01.12 (치료후)
치료 후, 앞니 사이 공간이 개선되고
치아 형태의 균형이 보다
안정적으로 정리되었습니다.


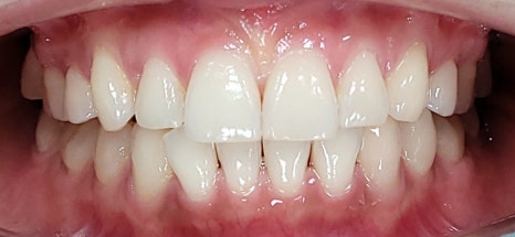
좌: 25.01.08 (치료전)
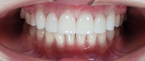
우: 25.01.12 (치료후)
| ◈ 본 사례에서는 약 4일의 치료기간이 소요되었습니다.◈ 치료는 개인차 및 부작용이 있을 수 있으며 본 사진은 환자 동의 하에 치료 이해를 돕기 위해 사용되었습니다.- 치료 개인차: 치료 결과는 개인의 구강 상태, 협조도 등에 따라 달라질 수 있습니다.- 치료 부작용: 시린 증상, 접착력 약화로 인한 탈락, 보철물 파손, 교합 불편감, 경계 부위 착색, 주변 치아와의 색 차이, 재치료 필요 가능성 등. ◈ 본 게시물의 전,후 사진인은 동일인, 동일 장소, 각도, 조명 조건에서 촬영되었습니다. |

역삼동라미네이트
결국 가장 중요한 건
정확한 진단입니다
라미네이트를 고민하고 계시다면
현재 내 치아 상태에 대한
정확한 진단을 먼저
받아보시길 권해드립니다.
| 삭제 범위는 어느 정도인지내 치아에 라미네이트가 적합한지웨딩 일정에 맞출 수 있는지치료 후 관리는 어떻게 해야 하는지 |


이런 부분들이 충분히
설명되는 상담이 선행되어야 합니다.
중요한 것은 지금 나에게
어떤 치료가 가장 안전하고
합리적인지를 판단하는 과정입니다.

역삼동라미네이트
원진치과의 진료기준
역삼동라미네이트
건강한 치아가
기본이 되어야 하고
불편함 없는 치료 과정이
뒷받침되어야 결과도 오래 유지됩니다.
그리고 그 위에
자연스러운 아름다움이
더해지는 것이라고 생각합니다.

역삼동라미네이트
그래서 원진치과는
충분한 상담과 설명을 통해
환자분 스스로 납득하고
선택할 수 있는 진료 환경을
만드는 것을 중요하게 생각하고 있습니다.
필요한 치료와 그렇지 않은
치료를 명확히 구분하고
장기적인 관점에서
환자분께 도움이 되는
방향을 함께 찾아가겠습니다.
긴글 끝까지 읽어주셔서 감사합니다.
원진치과 대표원장
박재형 드림
<함께보면 좋을칼럼 ↓ >
<궁금증 문의는 ? ↓ >
| 1. 위 포스팅은 의료법 제 56조 1항부터 15항을 준수하여 작성하였습니다.2. 치료 전,후 사진은 해당 시술의 객관적인 효과를 환자분들에게 소개해드리기 위해 업로드 합니다.① 해당 의료기관에서 진료를 한 사진인 경우② 전·후 사진의 인물이 동일인이며 전·후 촬영 시기가 명시된 경우③ 동일 조건에서 촬영된 사진인 경우④ 해당 진료별로 부작용을 명시한 경우◈ 위 조건들을 준수하는 경우 치료 전,후 사진 게재가 가능합니다. |