아카이브 요약
이 페이지의 역할
원진치과의원의 네이버 블로그 원문을 보존한 아카이브 페이지입니다. 미용치료 카테고리의 양재역 라미네이트, 과하지 않게 앞니 개선 가능한가요? 글을 통해 병원의 한국어 정보 제공 방식과 진료 관련 안내 톤을 확인할 수 있습니다.
원문 검증
필요하면 원문 블로그와 병원 프로필로 바로 이동해 문맥을 다시 확인할 수 있습니다.
출처 아카이브 열기아카이브된 블로그 글
원진치과의원 · Naver Blog
안녕하세요. 원진치과 대표원장 박재형 입니다. 양재역 라미네이트 진료실에서 라미네이트 상담을 하다 보면 비슷한 고민을 가진 분들이 많습니다. 그냥 지금보다 조금만 나아졌으면 좋겠어요. 너무 인위적으로 보이면 어쩌죠? 양재역 라미네이트 충분히 이해되는 걱정입니다. 실제로 주변에서 라미네이트를 했...
게시일
2026년 2월 13일
원문 기준으로 확인된 발행일입니다.
카테고리
미용치료
원문 블로그 카테고리를 정리해 함께 표시합니다.
이미지 수
16
현재 아카이브에 연결된 이미지 수입니다.
아카이브 요약
원진치과의원의 네이버 블로그 원문을 보존한 아카이브 페이지입니다. 미용치료 카테고리의 양재역 라미네이트, 과하지 않게 앞니 개선 가능한가요? 글을 통해 병원의 한국어 정보 제공 방식과 진료 관련 안내 톤을 확인할 수 있습니다.
원문 검증
필요하면 원문 블로그와 병원 프로필로 바로 이동해 문맥을 다시 확인할 수 있습니다.
출처 아카이브 열기안녕하세요.
원진치과
대표원장 박재형 입니다.

양재역 라미네이트
진료실에서 라미네이트 상담을 하다 보면
비슷한 고민을 가진 분들이 많습니다.
그냥 지금보다 조금만
나아졌으면 좋겠어요.
너무 인위적으로 보이면 어쩌죠?
양재역 라미네이트
충분히 이해되는 걱정입니다.
실제로 주변에서 라미네이트를 했는데
어딘가 부자연스러워 보이는
경우를 본 적이 있으실 겁니다.

양재역 라미네이트
그래서 오늘 이 글에서는
| 1) 라미네이트가 왜부자연스러워 보이는지2) 자연스러운 결과를 위해어떤 점을 확인해야 하는지 |
또한 실제로 최소한의 변화만으로
만족스러운 결과를
얻은 사례까지 함께 살펴보겠습니다

양재역 라미네이트
양재역 라미네이트를
고민 중이시라면
결정에 도움이 되실 겁니다. ^^
3분정도 시간을 내어
끝까지 읽어보세요.

양재역 라미네이트
라미네이트가 부자연스러워
보이는 이유
양재역 라미네이트
라미네이트 자체가 문제가 아닙니다.
결과가 어색해 보이는 건
대부분 설계 단계에서
발생합니다.

양재역 라미네이트
얼굴형과 맞지 않는 치아 형태
입술 라인을 고려하지 않은 길이
피부톤과 동떨어진 색상 선택
이런 요소들이
복합적으로 작용하면
아무리 잘 만들어진
라미네이트라도
뭔가 어색하다는
느낌을 주게 됩니다.


양재역 라미네이트
반대로 말하면,
이 부분들을
세심하게 조율하면
본인 치아처럼 자연스러운 결과를
얻을 수 있다는 뜻이기도 합니다.
< 아래 사례도 함께 참고해 보시면
이해에 도움이 되실 겁니다 ↓ >
자연스러움을 위해
확인하는 것들
양재역 라미네이트
상담 시 저는 몇 가지를
꼼꼼히 살펴봅니다.
먼저 현재 치아 상태입니다.
변색 정도, 형태의 비대칭,
미세한 틈이나 마모 등
을 파악합니다.
그다음 웃을 때 치아가
얼마나 보이는지
입술 라인과의 조화는
어떤지 확인합니다.

출처: Stefan Roozen, The color gradient of natural teeth and their intelligent imitation, International Dentistry – African Edition, 2021.
마지막으로 환자분이
원하는 변화의 정도를 듣습니다.
많이 바꾸고 싶다와
"티 안 나게 개선하고 싶다"는
접근 방식이 다르기 때문입니다.


양재역 라미네이트
이 과정에서 실제 제작 전에
임시 치아를 붙여보고
예상 결과물을
미리 확인해볼 수도 있습니다.
거울로 직접 보면서
형태와 길이를 조정할 수 있어서
완성 후 "생각했던 것과 다르다"는
상황을 줄일 수 있습니다.

치아색 선정을 위한 쉐이드 가이드입니다 ^^
또한 자연광과 다양한
조명 아래에서 조화롭게 보일 수 있도록
디테일한 부분까지 신경 쓰고 있습니다.
아래 사례를 통해
설명드리겠습니다.
함께 보시죠 !
실제 사례
양재역 라미네이트
앞니 사이공간과
한쪽이 미세하게 짧아
비대칭이 신경 쓰인다고
하셨습니다.

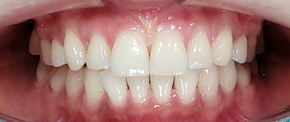
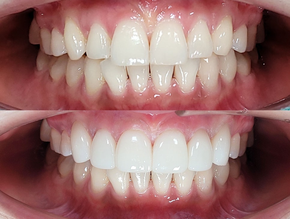
26.01.18 (치료전)
라미네이트 진단 및 계획은
치아 크기,배열, 잇몸 상태를
확인한 뒤
라미네이트가 적합한
경우인지 먼저 판단하였습니다.

상: 26.01.18 (치료전)
하: 26.01.12 (치료후)
적합성이 판단되어, 치료 진행은
치아 삭제량을 최소화하면서
자연스러운 색감과 형태를 고려해
상악 6개 라미네이트를 부착했습니다.
치료 후, 앞니 사이 공간이 개선되고
치아 형태의 균형이 보다
안정적으로 정리되었습니다.
| ◈ 본 사례에서는 약 7일의 치료기간이 소요되었습니다.◈ 치료는 개인차 및 부작용이 있을 수 있으며 본 사진은 환자 동의 하에 치료 이해를 돕기 위해 사용되었습니다.- 치료 개인차: 치료 결과는 개인의 구강 상태, 협조도 등에 따라 달라질 수 있습니다.- 치료 부작용: 시린 증상, 접착력 약화로 인한 탈락, 보철물 파손, 교합 불편감, 경계 부위 착색, 주변 치아와의 색 차이, 재치료 필요 가능성 등. ◈ 본 게시물의 전,후 사진인은 동일인, 동일 장소, 각도, 조명 조건에서 촬영되었습니다. |

양재역 라미네이트
원진치과의 진료기준
양재역 라미네이트
솔직히 말씀드리면,
라미네이트가 최선이
아닌 경우도 있습니다.
치아 배열 문제가 크다면
부분 교정이 더 적합할 수 있고
단순 변색만 있다면 미백으로
충분할 수도 있습니다.
중요한 건
라미네이트를 할지 말지가 아닌
지금 내 상태에서 어떤 방법이
가장 자연스러운 개선을 가져다줄지를
함께 찾아가는 과정입니다.

양재역 라미네이트
건강한 치아가
기본이 되어야 하고
불편함 없는 치료 과정이
뒷받침되어야 결과도 오래 유지됩니다.
그리고 그 위에
자연스러운 아름다움이
더해지는 것이라고 생각합니다.

양재역 라미네이트
그래서 원진치과는
충분한 상담과 설명을 통해
환자분 스스로 납득하고
선택할 수 있는 진료 환경
만드는 것을 중요하게
생각하고 있습니다.
필요한 치료와 그렇지 않은
치료를 명확히 구분하고,
장기적인 관점에서 환자분께
도움이 되는 방향을
함께 찾아가겠습니다.
오늘 이글이
양재역 라미네이트를
고민하는 분들께
도움이 되었으면합니다. ^^
긴글 끝까지 읽어주셔서 감사합니다.
원진치과 대표원장
박재형 드림
<함께보면 좋을칼럼 ↓ >
<궁금증 문의는 ? ↓ >
| 1. 위 포스팅은 의료법 제 56조 1항부터 15항을 준수하여 작성하였습니다.2. 치료 전,후 사진은 해당 시술의 객관적인 효과를 환자분들에게 소개해드리기 위해 업로드 합니다.① 해당 의료기관에서 진료를 한 사진인 경우② 전·후 사진의 인물이 동일인이며 전·후 촬영 시기가 명시된 경우③ 동일 조건에서 촬영된 사진인 경우④ 해당 진료별로 부작용을 명시한 경우◈ 위 조건들을 준수하는 경우 치료 전,후 사진 게재가 가능합니다. |