아카이브 요약
이 페이지의 역할
원진치과의원의 네이버 블로그 원문을 보존한 아카이브 페이지입니다. 미용치료 카테고리의 서초동 라미네이트 ‘이런 분들’께는 권하지 않습니다 <필독> 글을 통해 병원의 한국어 정보 제공 방식과 진료 관련 안내 톤을 확인할 수 있습니다.
원문 검증
필요하면 원문 블로그와 병원 프로필로 바로 이동해 문맥을 다시 확인할 수 있습니다.
출처 아카이브 열기아카이브된 블로그 글
원진치과의원 · Naver Blog
안녕하세요. 원진치과 대표원장 박재형 입니다. 서초동 라미네이트 오늘은 서초동 라미네이트를 고민하시는분들께 솔직하게 말씀드리고 싶은 이야기가 있습니다. 서초동 라미네이트 강남,서초에서 일하시는 분들은 사람 만날 일이 많으시죠. 미팅, 발표, 클라이언트 미팅... 그런데 치아 사이가 벌어지거나...
게시일
2026년 2월 20일
원문 기준으로 확인된 발행일입니다.
카테고리
미용치료
원문 블로그 카테고리를 정리해 함께 표시합니다.
이미지 수
20
현재 아카이브에 연결된 이미지 수입니다.
아카이브 요약
원진치과의원의 네이버 블로그 원문을 보존한 아카이브 페이지입니다. 미용치료 카테고리의 서초동 라미네이트 ‘이런 분들’께는 권하지 않습니다 <필독> 글을 통해 병원의 한국어 정보 제공 방식과 진료 관련 안내 톤을 확인할 수 있습니다.
원문 검증
필요하면 원문 블로그와 병원 프로필로 바로 이동해 문맥을 다시 확인할 수 있습니다.
출처 아카이브 열기안녕하세요.
원진치과
대표원장 박재형 입니다.

서초동 라미네이트
오늘은 서초동 라미네이트를
고민하시는분들께
솔직하게 말씀드리고
싶은 이야기가 있습니다.

서초동 라미네이트
강남,서초에서 일하시는 분들은
사람 만날 일이 많으시죠.
미팅, 발표, 클라이언트 미팅...
그런데 치아 사이가 벌어지거나
형태가 고르지 않으면
웃을 때 자꾸 신경이 쓰이실겁니다.

서초동 라미네이트
손으로 입을 가리거나
일부러 입을 다물고
웃게 되셨다는 분들도 많고요.
그래서 서초동 라미네이트를
알아보시는 분들이 많습니다.
다만, 저는 모든 분들께
권해드리지는 않습니다.
그래서 오늘은 제가
평소 상담할 때
| 1) 어떤 분들께라미네이트를 권해드리고2) 또 어떤 분들께는다른 방법을 안내드리는지그 기준을 말씀드려볼게요. |
끝까지 읽어보시면,
본인에게 맞는 선택인지
판단하시는 데 도움이 되실 겁니다.

서초동 라미네이트
왜 모든 분께 권하지 않을까요?
서초동 라미네이트
라미네이트는 치아 전체를
씌우는 크라운과 다릅니다.
치아 표면을
최소한으로 다듬고
그 위에 얇은 세라믹을
붙이는 방식이에요.

강남원진치과
여기서 핵심은
얼마나 다듬느냐
입니다.
무리하게 많이 삭제하면
어떻게 될까요?

설명을 돕기 위한 이미지
가만히 있어도 욱신거리거나
차가운 음식을 피하게 되죠.
파절 위험이 높아집니다.
빼야 하는 상황이 올 수도 있습니다.

서초동 라미네이트
겉모습만 예쁘게 만들겠다고
치아 건강을 희생하면
결국 더 큰 문제가 생깁니다.
그래서 저는 충분히 진단한 뒤,
정말 필요한 분들에게만
권해드리는 편입니다.
| ※오늘 내용은 치료 필요 여부를 판단할 때 참고할 수 있는 기준을 설명한 것입니다.이를 바탕으로 치료를 결정하기보다는 반드시 의료진의 진단과 상담을 통해 결정하시길 권해드립니다. |
< 아래 사례도 함께 참고해 보시면
이해에 도움이 되실 겁니다 ↓ >


서초동 라미네이트
제가 중요하게 보는 두 가지 기준
서초동 라미네이트
환자분들은 수술포에
가려진 채 진행되기 때문에
실제로 치아를 얼마나
다듬었는지 확인하기 어렵습니다.
나중에 라미네이트가
탈락하거나 제거할 때
그제야 삭제량을 보고
놀라시는 분들이 많아요.

설명을 돕기 위한 이미지
예쁘게 보이려고
과하게 깎으면
모양도 불만족스럽고
치아 건강에도 문제가 생깁니다.
본인의 치아 조건에 맞춰
꼭 필요한 만큼만
다듬는 것이 핵심입니다.

라미네이트를 고민하시는
분들이 가장 원하시는 건
'자연스러움'입니다.
티 나지 않고,
원래 내 치아 같은 느낌이요.

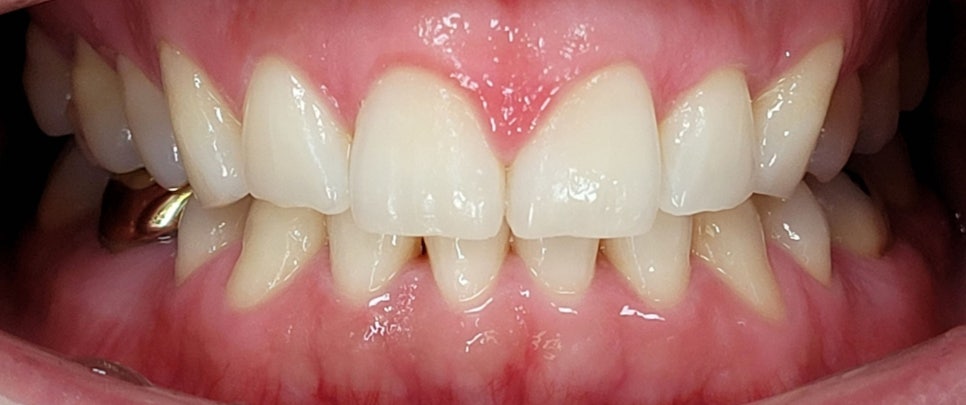
26.01.05 (치료전)
그런데 치아 색상은
단순히 하얀색, 노란색으로
나뉘지 않습니다.
비슷한 톤 안에서 아주
미세한 차이를 구별해야 해요.
앞니 라미네이트를 했는데
주변 치아와 색감이 살짝만 달라도
본인은 계속 신경 쓰이게 됩니다.
그래서 정밀하게 색상을
비교하고 확인하는
과정이 반드시 필요합니다.

서초동 라미네이트
< 아래 사례도 함께 참고해 보시면
이해에 도움이 되실 겁니다 ↓ >
실제 치료 과정
서초동 라미네이트
말로만 설명드리는 것보다,
실제 치료 과정을 보여드리는 게
이해가 빠르실 것 같아요.

26.01.05 (치료전)
이 환자분은 앞니 형태와
색상이 고르지 않아
치료를 고민하셨던 분입니다.
충분한 상담과 진단 후,
상악 6개 + 하악 6개
총 12개 라미네이트를
진행했습니다.

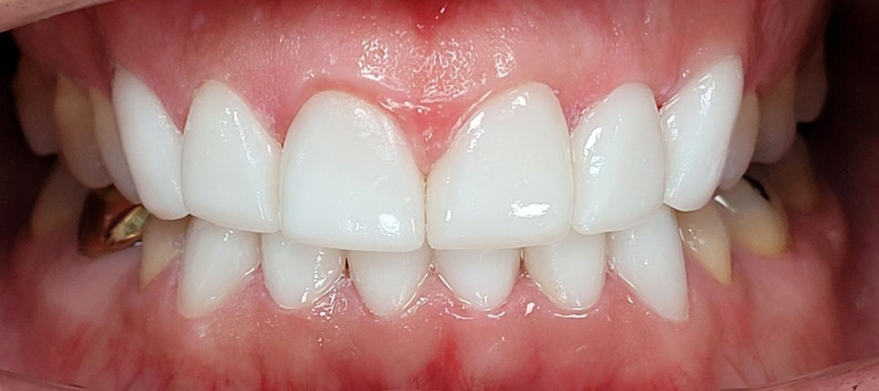
26.01.12 (치료후)
치료 전후를 비교해보시면,
자연스러우면서도 조화로운
결과를 확인하실 수 있습니다.

상: 26.01.05 (치료전)
하: 26.01.12 (치료후)
무리하게 삭제하지 않았기
때문에 시린 증상 없이
잘 사용하고 계세요.
| ◈ 본 사례에서는 약7일 치료기간 소요되었습니다. ◈ 치료는 개인차 및 부작용이 있을 수 있으며 본 사진은 환자 동의 하에 치료 이해를 돕기 위해 사용되었습니다.- 치료 개인차: 치료 결과는 개인의 구강 상태, 협조도 등에 따라 달라질 수 있습니다.- 치료 부작용: 시림·통증·파절 등 불편 증상이 나타날 수 있습니다.◈ 본 게시물의 전,후 사진인은 동일인, 동일 장소, 각도, 조명 조건에서 촬영되었습니다. |
라미네이트, 이런 분들은
고려해볼 수 있습니다.
서초동 라미네이트
원하는 결과를 얻을 수 있는 경우
2)잇몸 상태가 건강해서
접착이 안정적인 경우
잘 관리되고 있는 경우
이 세 가지 조건이 갖춰지면
자연스럽고 오래 유지되는
결과를 기대하실 수 있습니다.
물론 반대의 경우라면,
라미네이트보다 다른 치료가
더 나은 선택일 수 있고요.

서초동 라미네이트
무조건 예쁘게
만들어드리겠다고
말씀드리기보다
환자분께 정말 맞는 방법인지
먼저 확인하는 게
제 역할이라고 생각합니다.

서초동 라미네이트
마무리하며
서초동 라미네이트
라미네이트는가 모든 분께
맞는 건 아니기에
꼭 상담을 받아보시길 권해드려요.
저는 항상
내 가족이라면 어떻게 진료 할까?
를 기준으로 상담드리려 노력합니다.
과잉진료 없이, 최소한의 개입으로
충분한 설명과 동의를 바탕으로요.

서초동 라미네이트
치료 결과뿐 아니라
과정까지 신뢰할 수 있는 진료,
그게 제가 지향하는 방향입니다.
본인에게 라미네이트가
맞는 선택인지 궁금하시다면,
서초동 근처치과에서
상담부터 받아보세요.

서초동 라미네이트
치아의 작은 디테일까지
세심하게 신경
쓰는 곳인지 확인해보시고
건강하고 조화로운
미소 꼭 얻으시길 바랍니다 ^^
원진치과 대표원장
박재형 드림
<함께보면 좋을칼럼 ↓ >
<궁금증 문의는 ? ↓ >
| 1. 위 포스팅은 의료법 제 56조 1항부터 15항을 준수하여 작성하였습니다.2. 치료 전,후 사진은 해당 시술의 객관적인 효과를 환자분들에게 소개해드리기 위해 업로드 합니다.① 해당 의료기관에서 진료를 한 사진인 경우② 전·후 사진의 인물이 동일인이며 전·후 촬영 시기가 명시된 경우③ 동일 조건에서 촬영된 사진인 경우④ 해당 진료별로 부작용을 명시한 경우◈ 위 조건들을 준수하는 경우 치료 전,후 사진 게재가 가능합니다. |