아카이브 요약
이 페이지의 역할
원진치과의원의 네이버 블로그 원문을 보존한 아카이브 페이지입니다. 미용치료 카테고리의 서초동치과, 앞니 사이가 까많게 보여요 <블랙트라이앵글 치료사례> 글을 통해 병원의 한국어 정보 제공 방식과 진료 관련 안내 톤을 확인할 수 있습니다.
원문 검증
필요하면 원문 블로그와 병원 프로필로 바로 이동해 문맥을 다시 확인할 수 있습니다.
출처 아카이브 열기아카이브된 블로그 글
원진치과의원 · Naver Blog
안녕하세요. 원진치과 대표원장 박재형 입니다. 서초동치과 치아 사이가 어둡게 비어 보이는 틈 치아 사이 공간으로 인해 불편함이나 스트레스를 느끼는 분들이 적지 않습니다. 앞니 사이에 검은 틈이 보여요. 이 틈이 시간이 지나면 저절로 메워질까요? 서초동치과 서초동치과 (블랙트라이앵글치료) 이러한 고...
게시일
2026년 3월 6일
원문 기준으로 확인된 발행일입니다.
카테고리
미용치료
원문 블로그 카테고리를 정리해 함께 표시합니다.
이미지 수
15
현재 아카이브에 연결된 이미지 수입니다.
아카이브 요약
원진치과의원의 네이버 블로그 원문을 보존한 아카이브 페이지입니다. 미용치료 카테고리의 서초동치과, 앞니 사이가 까많게 보여요 <블랙트라이앵글 치료사례> 글을 통해 병원의 한국어 정보 제공 방식과 진료 관련 안내 톤을 확인할 수 있습니다.
원문 검증
필요하면 원문 블로그와 병원 프로필로 바로 이동해 문맥을 다시 확인할 수 있습니다.
출처 아카이브 열기안녕하세요.
원진치과
대표원장 박재형 입니다.

서초동치과
치아 사이가 어둡게
비어 보이는 틈
치아 사이 공간으로 인해
불편함이나 스트레스를 느끼는
분들이 적지 않습니다.
앞니 사이에 검은 틈이 보여요.
이 틈이 시간이 지나면
저절로 메워질까요?
서초동치과

서초동치과 (블랙트라이앵글치료)
이러한 고민은 특히
서초동의 20~40대
직장인 여성분들,
잇몸 변화를
느끼기 시작하는
중년분들께서
상담 시 많이
말씀해 주시는
내용이기도 합니다.

서초동치과
아마 이 글을 읽고
계신 분 역시
비슷한 불편함이나 걱정을
안고 계실 것이라 생각합니다.
그래서 오늘 이글에서는
| 1. 앞니 사이 틈(블랙트라이앵글) 생기는 원인2. 실제 사례를 통해 원인과 치료 과정 |
자세히 설명드리겠습니다. ^^

서초동치과
블랙트라이앵글이
생기는 이유
서초동치과 앞니틈 치료
치아 사이 잇몸이 충분히
채워지지 않으면서
삼각형 모양의 공간이 어둡게
보이는 현상을
블랙트라이앵글이라고 합니다.

출처: Tarnow DP et al., J Periodontol, 1992
잇몸 높이 감소 (치주 문제)
가장 흔한 원인은
잇몸 높이의 변화입니다.

(치료전)
치주염이나 잇몸 퇴축으로
치간 유두가 충분히 차오르지
못하면 공간이
어둡게 보일 수 있습니다.


출처 ART ORTHODNTICS
교정 치료 후 배열 변화
교정 치료 후 치열이
가지런해지면서 그동안
겹쳐 있던 치아 사이 공간이
드러나는 경우도 있습니다.

서초동치과
블랙트라이앵글은 모든 분께
똑같이 나타나는 것은 아닙니다.
나이, 치아의 원래 형태,
잇몸 건강 상태, 교정 전 치아가
얼마나 겹쳐 있었는지에 따라
보이는 정도와 크기가
사람마다 다르게
나타날 수 있습니다.
< 아래 사례도 함께 참고해 보시면
이해에 도움이 되실 겁니다 ↓ >

서초동치과
해결 방법
어떤 것들이 있을까요?
서초동치과
잇몸 상태, 치아 형태,
접촉점 위치, 치열과
교합을 꼼꼼히 확인 후
레진으로 형태
보완이 가능한지,
교정이 필요한지

브리네이트(무삭제라미네이트)
라미네이트, 브리네이트
(무삭제 라미네이트)가
적합 할지 개인 상태에
맞게 결정합니다.
| ※ 블랙트라이앵글 치료는 환자마다 다른 치아 형태, 치주 상태, 기존 치아겹침 정도따라 계획이 달라지므로 담당 의료진의 상담을 받아보시길 권해드립니다. |
브리네이트(무삭제라미네이트)
실제 치료 과정
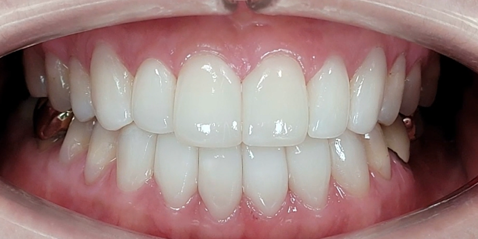
서초동치과
이번 케이스는 앞니 사이 틈이
오래 고민이셨던 분이었습니다.
잇몸 상태와 치아 형태,
교합을 꼼꼼히 확인한 결과

26.1.26(치료전)
치아 삭제량이 적은
브리네이트(무삭제라미네이트)로
개선 가능한 케이스였습니다.

26.1.26(치료후)
자연 치아 삭제량을
최소화하며
모양, 크기, 색상을 함께
개선할 수 있어
단기간에 변화를 원하시는
분들께 적합한 방법입니다.

서초동치과
다만 모든 분께
브리네이트(무삭제라미네이트)가
정답은 아닙니다.
잇몸 상태, 치아 형태, 교합 등을
종합적으로 확인한 후
개인 상태에 맞는 치료 방법을
결정하는 것이 중요합니다.
26.1.26(치료전)
26.1.26(치료후)
| ◈ 본 사례에서는 당일 치료 완료입니다. ◈ 치료는 개인차 및 부작용이 있을 수 있으며 본 사진은 환자 동의 하에 치료 이해를 돕기 위해 사용되었습니다.- 치료 개인차: 치료 결과는 개인의 구강 상태, 협조도 등에 따라 달라질 수 있습니다.- 치료 부작용: 시린 증상, 접착력 약화로 인한 탈락, 보철물 파손, 교합 불편감, 경계 부위 착색, 주변 치아와의 색 차이, 재치료 필요 가능성 등. ◈ 본 게시물의 전,후 사진인은 동일인, 동일 장소, 각도, 조명 조건에서 촬영되었습니다. |

서초동치과
원진치과의 진료기준
서초동치과
서초동치과, 앞니 사이틈 치료를
고민하고 계시다면
현재 상태를 먼저 확인받아
보시길 권합니다.
건강한 치아가
기본이 되어야 하고
불편함 없는 치료 과정이
뒷받침되어야 결과도
오래 유지된다고 생각합니다.
장기적으로 도움이 되는
방향을 함께 찾아가겠습니다.
원진치과 대표원장
박재형 드림
| 내원해 주시는분들이 늘어날수록한 분 한 분께더 집중하고 싶은 마음은변함이 없습니다.처음 오시는 분도그동안 함께해 오신 분들도 늘 한결같은 마음으로진료해 드리겠습니다.다만 대기가 길어질 수 있으니꼭 예약 후 방문 해주세요!궁금하신 점은댓글 남겨주세요.답변드리겠습니다. ^^ |
<함께보면 좋을칼럼 ↓ >
<궁금증 문의는 ? ↓ >
| 1. 위 포스팅은 의료법 제 56조 1항부터 15항을 준수하여 작성하였습니다.2. 치료 전,후 사진은 해당 시술의 객관적인 효과를 환자분들에게 소개해드리기 위해 업로드 합니다.① 해당 의료기관에서 진료를 한 사진인 경우② 전·후 사진의 인물이 동일인이며 전·후 촬영 시기가 명시된 경우③ 동일 조건에서 촬영된 사진인 경우④ 해당 진료별로 부작용을 명시한 경우◈ 위 조건들을 준수하는 경우 치료 전,후 사진 게재가 가능합니다. |