연세정원치과
유치가 까맣게 착색이 되었는데 충치인가요? (대치동 소아치과)
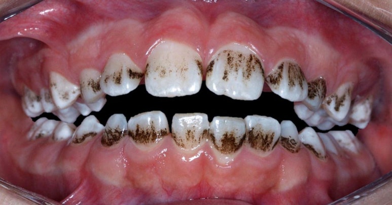
유치 착색 충치 연세정원치과 안녕하세요. 대치동 어린이치과 연세정원치과 입니다. 가끔 우리 아이는 양치질을 잘 하는데 치아가 까맣게 착색되는데 충치인지 걱정하시는 부모님들이 계십니다. 제 아들의 경우에도 어렸을 때 양치를 정말 열심히 시키는데도 치아 표면이 까맣게 되서 정말 속상했던 적이 있었습니다. 그래서 정...
아카이브 요약
이 페이지의 역할
연세정원치과 Yonsei JW Dental Clinic at Gangnam의 네이버 블로그 원문을 보존한 아카이브 페이지입니다. 소아치료 카테고리의 유치가 까맣게 착색이 되었는데 충치인가요? (대치동 소아치과) 글을 통해 병원의 한국어 정보 제공 방식과 진료 관련 안내 톤을 확인할 수 있습니다.

유치 착색 충치 연세정원치과
안녕하세요. 대치동 어린이치과 연세정원치과 입니다.
가끔 우리 아이는 양치질을 잘 하는데 치아가 까맣게 착색되는데 충치인지 걱정하시는 부모님들이 계십니다.
제 아들의 경우에도 어렸을 때 양치를 정말 열심히 시키는데도 치아 표면이 까맣게 되서 정말 속상했던 적이 있었습니다. 그래서 정기적으로 소아치과에 데려가서 (저도 제 아들을 직접 치료하기는 무섭더라구요 ^^;;) 치아 표면을 깨끗하게 해주는 폴리싱을 해주곤 했습니다. 그래서 그 누구보다 이러한 어린이 착색 현상에 대해 관심을 많이 가지게 되었네요.
보통 담배를 피우는 사람이나, 녹차 등의 음료를 즐겨 마시는 성인의 경우 치아 착색이 되는 경우는 흔하지만, 유치인데 이렇게 까맣게 착색이 되는 원인은 무엇일까요?

이 착색은 black pigmentation, black stain이라고 하며 어두운 반점의 군집으로 나타납니다. 유치와 영구치에 모두 나타날 수 있으며 유치에 생긴 경우 영구치에도 생길 가능성이 높습니다. 그러나 자라나며 점점 줄어들 가능성이 높습니다. 주로 치아와 잇몸 경계 부위에 나타나며, 더 진행되면 치아 전체를 덮어 치아가 까맣게 보이게 됩니다.
양치질도 열심히 하는데
이런 착색은 왜 생기나요? 충치인가요?
이 검은 착색은 충치를 일으키는 세균이 아닌 색소를 형성하는 세균이 만든 황화합물이 타액 내의 철 성분과 반응하여 황화철이라고 하는 불용성 침전물을 형성하기 때문입니다. 아이들마다 입안에 존재하는 균의 종류와 비율이 다양한데, 이런 검은 착색을 일으키는 균의 비율이 높은 경우 black stain의 주인공이 될 수 있습니다.
또한 타액 내에 철의 함유량이 높은 경우에도 생길 수 있는데, 철 함유량이 높은 야채, 달걀, 유제품 등과 같은 음식을 많이 섭취하는 경우에도 타액 내의 철분 농도가 증가하여 착색이 생길 수 있습니다.
이런 검은 착색은 어떻게 관리해야 하나요?
일단 검은 착색이 진행되면 집에서 양치질만으로 제거하기는 어렵습니다. 검은 착색이 생긴 경우, 치과에 내원하여 간단한 치면세마나 스케일링으로 제거가 가능합니다.
그러나 한가지 불행한 사실은 치면세마로 제거한 이후에도 착색이 계속해서 계속 생긴다는 것입니다. 보통 3개월 주기로 오시나 착색 정도가 심한 경우에는 한달 이내에도 재발하는 경우도 있습니다. 집에서는 미세모 보다는 단단한 칫솔모를 사용하는 것이 도움이 될 수 있습니다.
이러한 착색을 그대로 두면
충치로 이어지나요?
검은 착색이 있다고 해서 이것이 충치로 이어지는 것은 아닙니다. 왜냐하면 착색 유발 세균이 치아 우식 발생 세균은 아니기 때문입니다. 그러나 이러한 착색을 제거하지 않고 그냥 두게 되면 심미적으로 보기 좋지 않을 뿐만 아니라, 착색이 치아 전체를 덮게 되면 이후에 생길 수 있는 충치를 착색 때문에 발견하기 힘들게 될 수도 있습니다. 따라서 정기적으로 치과에 내원하여 착색을 제거해주는 것이 좋습니다.
그러나 한가지 다행인 사실은 이러한 black stain이 있는 어린이는 충치가 덜 생긴다는 것입니다!
정말 신기하게도 저희 아들은 어렸을 때 이런 착색이 잘 생겼었는데 아직까지 충치가 하나도 없는 걸 보면 믿어도 될만 한 사실인 것 같습니다 :)
그리고 관련논문을 살펴보면 이 검은 착색을 만드는 색소 형성 세균 중 가장 잘 알려져 있는 것은 Actinomyces인데, 이 세균이 충치 유발 세균인 Streptococcus mutans의 활성을 낮춘다고 알려져 있습니다.
또한 이러한 black stain이 있는 아동의 경우 타액 내 칼슘, 인의 농도가 높아서 치아의 탈회를 줄이고 완충능력을 증가시킨다고 합니다. Black stain이 있는 아이들의 경우 심미적으로 보기 안 좋기 때문에 착색 제거를 위해 주기적으로 치과에 내원하는데, 이렇게 정기적인 치과 검진을 받기 때문에 충치 방지에 도움이 되는 면도 있습니다.
이러한 검은 착색은 언제까지 생기나요?
영구치가 나서도 계속되나요?
연구에 의하면 이러한 black stain은 사춘기에 접어들며 점점 감소하는 것으로 알려져 있습니다. 보통 유치가 빠지고 영구치가 모두 나오게 되면 자주 생기던 검은 착색이 생기지 않는 경우가 대부분입니다. 따라서 완전히 없어질 때까지는 주기적으로 치과에 내원하여 관리를 받으실 것을 권유드립니다.

연세정원치과는 삼성역, 학여울역, 대치역, 한티역에서 모두 가까워 삼성동, 대치동, 개포동, 도곡동, 일원동, 역삼동, 잠실에서 내원하시기에 매우 편리합니다.
대치동 우성아파트 사거리 BMW 옆 건물
(스타벅스/삼성스토어 건너편)
대치동 교정치과 연세정원치과는
주차가 편리하며 무료입니다
상담 및 문의 : 02-501-2879
더 보기
이 병원의 공개 콘텐츠를 계속 살펴보세요
출처 아카이브로 돌아가 더 많은 글을 보거나, 병원 프로필로 이동해 다른 공개 채널도 함께 비교해보세요.