연세정원치과
충치의 단계와 치료방법 (치아우식증) - 연세정원치과의원
충치 치아우식증 치료, 연세정원치과 안녕하세요, 대치동에 위치한 연세정원치과의원입니다. 충치의 발생 충치는 치아 관리를 잘 한다고 해도 많은 분들이 경험하고 있을 정도로 쉽게 생기지만, 대수롭지 않게 생각하여 방치하면 문제가 점점 커지기 때문에 초기에 치료하시는 것이 굉장히 중요합니다. 통증이 없다고 하더라도 반드시 주기...
아카이브 요약
이 페이지의 역할
연세정원치과 Yonsei JW Dental Clinic at Gangnam의 네이버 블로그 원문을 보존한 아카이브 페이지입니다. 충치 및 임플란트 카테고리의 충치의 단계와 치료방법 (치아우식증) - 연세정원치과의원 글을 통해 병원의 한국어 정보 제공 방식과 진료 관련 안내 톤을 확인할 수 있습니다.

충치 치아우식증 치료, 연세정원치과
안녕하세요, 대치동에 위치한 연세정원치과의원입니다.
충치의 발생
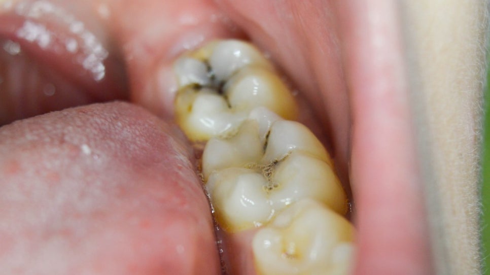
충치는 치아 관리를 잘 한다고 해도 많은 분들이 경험하고 있을 정도로 쉽게 생기지만, 대수롭지 않게 생각하여 방치하면 문제가 점점 커지기 때문에 초기에 치료하시는 것이 굉장히 중요합니다. 통증이 없다고 하더라도 반드시 주기적인 검사와 치료를 받으시는 것을 권장해 드립니다.

음식물 섭취에 따라 구강에 남아있던 음식물이 세균과 결합하여 치아우식증이 발생하는데 당분이 많은 사탕, 과자, 음료수 등을 자주 드시는 경우 당연히 확률이 더 높아집니다. 또한, 양치질을 열심히 하여도 발생한 충치가 개선되지는 않습니다.

치아우식증의 진행
충치는 법랑질에서 시작하여 내부로 퍼지는데 정도가 심해지면 통증을 동반하게 됩니다.

-
초기에는 법랑질에 한정되어 우식증이 생기는데 이 때는 증상이 없는 경우가 대부분입니다.
-
다음 단계로는 상아질까지 진행이 되는데 겉으로는 작은 점처럼 보이더라도 치아 내부로 넓게 진행이 된 경우가 많고, 차거나 뜨거운 음식을 먹을 때 불편해 지거나 통증을 느끼게 됩니다.
-
치수까지 (치아의 신경) 염증이 진행되면 통증의 정도는 더욱 심해지고, 자극이 없더라고 통증이 생기는 단계가 됩니다.
-
마지막으로, 뿌리까지 염증이 진행된다면 잇몸뼈를 파괴시키고, 심한 경우에는 치아를 발치해야 합니다.
치아우식증의 치료
치료는 레진, 인레이, 크라운 등을 사용하여 수복을 하게 되는데, 환자분들의 건강상태 및 우식증의 원인, 진행정도를 고려하여 판단합니다. 간단한 경우에는 병변 부분을 긁어내고 충전물을 채워 쉽게 치료할 수도 있지만 치수까지 진행이 된 경우 신경치료가 동반됩니다. 이때 신경치료를 한 치아는 쪼개질 위험이 있기 때문에 어금니라면 반드시 크라운을 씌워야 합니다. 적절한 시기에 치료를 놓치게 되면 자연치아를 소실할 수 있고, 임플란트 등의 대체 방안이 필요하게 됩니다.
보존 치료 방법으로는 레진, 인레이, 크라운, 세라믹 등이 있는데 치아의 손상정도와 환자의 상태 등에 따라 사용가능한 방법이 달라질 수 있습니다. 예전에 많이 사용하던 아말감의 경우에는 색감 등의 단점으로 심미성이 좋지 않고 접착력이 좋지않아 탈락, 파절 등의 이슈가 있어 요즘에는 많이 사용하지 않는 편입니다.
연세정원치과의 충치치료
과잉 진료 없는 치과
연세정원치과는 과잉 진료 없이 환자분들이 원하는 진료를 해드리겠습니다.
그리고 가족을 치료하는 마음으로 완벽하게 치료를 해드리기 위해 최선을 다하겠습니다.
연세정원치과에서 행해지는 모든 진료의 원칙은 자연치아 살리기 입니다.
‘2080’ = ‘20개의 치아를 80세까지 건강하게 유지하는 삶’
연세정원치과는 삼성역, 학여울역, 대치역, 한티역에서 모두 가까워 삼성동, 대치동, 개포동, 도곡동, 일원동, 역삼동, 잠실 등에서 내원하시기에 매우 편리합니다.
대치동 우성아파트 사거리 BMW 옆 건물
(스타벅스/삼성스토어 건너편)
대치동 치과 연세정원치과는
주차가 편리하며 무료입니다
상담 및 문의 : 02-501-2879
더 보기
이 병원의 공개 콘텐츠를 계속 살펴보세요
출처 아카이브로 돌아가 더 많은 글을 보거나, 병원 프로필로 이동해 다른 공개 채널도 함께 비교해보세요.