아카이브 요약
이 페이지의 역할
연세정원치과의원의 네이버 블로그 원문을 보존한 아카이브 페이지입니다. 미백/라미네이트 심미치료 카테고리의 원데이 치아미백의 순서 @ 대치동 치아미백 연세정원치과의원 글을 통해 병원의 한국어 정보 제공 방식과 진료 관련 안내 톤을 확인할 수 있습니다.
원문 검증
필요하면 원문 블로그와 병원 프로필로 바로 이동해 문맥을 다시 확인할 수 있습니다.
출처 아카이브 열기아카이브된 블로그 글
연세정원치과의원 · Naver Blog
안녕하세요. 대치동 연세정원치과 입니다. 요즘 미백 치료를 받으러 오시는 환자분들이 많으신데, 미백치료는 환자분들의 만족도가 가장 높은 치료 술식 중 하나입니다. 깨끗하고 밝은 치아는 한 사람의 좋은 인상을 결정짓는 중요한 요소 중 하나이기 때문에, 치아 미백은 남녀노소를 불문하고 다양한 연령층에서 관심과 인기가...
게시일
2024년 8월 21일
원문 기준으로 확인된 발행일입니다.
카테고리
미백/라미네이트 심미치료
원문 블로그 카테고리를 정리해 함께 표시합니다.
이미지 수
21
현재 아카이브에 연결된 이미지 수입니다.
아카이브 요약
연세정원치과의원의 네이버 블로그 원문을 보존한 아카이브 페이지입니다. 미백/라미네이트 심미치료 카테고리의 원데이 치아미백의 순서 @ 대치동 치아미백 연세정원치과의원 글을 통해 병원의 한국어 정보 제공 방식과 진료 관련 안내 톤을 확인할 수 있습니다.
원문 검증
필요하면 원문 블로그와 병원 프로필로 바로 이동해 문맥을 다시 확인할 수 있습니다.
출처 아카이브 열기
안녕하세요. 대치동 연세정원치과 입니다.
요즘 미백 치료를 받으러 오시는 환자분들이 많으신데, 미백치료는 환자분들의 만족도가 가장 높은 치료 술식 중 하나입니다. 깨끗하고 밝은 치아는 한 사람의 좋은 인상을 결정짓는 중요한 요소 중 하나이기 때문에, 치아 미백은 남녀노소를 불문하고 다양한 연령층에서 관심과 인기가 높습니다. 치아미백 치료는 15% 고농도의 과산화수소가 주 성분이기 때문에, 자칫하면 치아나 잇몸의 손상을 일으킬 수 있으므로 치료시 세심한 주의가 필요한 치료입니다.
원데이 치아미백은 한번의 치료로 치아를 밝게 만들어주는 치아미백 치료입니다. 1시간~1시간30분 안에 효과적으로 치아를 밝고 하얗게 만들어준다는 장점이 있지만, 개인의 구강 위생 상태 및 보철물의 상태를 꼼꼼하게 확인하고 개인의 치아 상태 및 잇몸 색상과 피부톤에 맞도록 맞춤형으로 진행해야 하기 때문에, 전문적으로 치아 미백을 진행하는 곳에서 미백 치료를 받는 것이 필요합니다.
지난 포스팅에서 치아미백에 관한 전반적인 사항과 주의사항에 관하여 설명드렸는데, 오늘은 치아미백 치료가 어떤 식으로 진행되는지 그 치료 순서에 관하여 알아보려고 합니다.
충치가 있거나 치아가 파여 있는 경우, 치아 주변에 염증이 있는 경우에는 충치 치료와 잇몸 치료를 먼저 시행해야 합니다. 치경부 마모가 있는 경우나 기존 레진으로 치료한 치아가 있는 경우 미백 후에 치아 컬러의 차이가 있을 수 있으므로 주의해야 합니다. 스케일링을 통해 치석을 제거하고 스케일링을 시행한 치아 표면을 치면세마로 매끈하게 연마합니다.


스케일링 및 치면세마


뷰티스 15 화이트닝 겔

치아미백 광조사기 '뷰티스 라이트'
구강검진과 스케일링이 마무리되면 본격적으로 미백치료 준비를 합니다.
저희 연세정원치과 미백치료는 '뷰티스 라이트' 치아미백 광조사기와 정품 '뷰티스 15 whitening gel'을 사용합니다. 뷰티스 라이트는 착색된 치아에 미백겔을 도포한 후 고강도 Blue LED를 조사하여 자유라디칼 생성을 촉진함으로써 빠른 시간 내 확실한 미백 효과를 나타내게 해줍니다. 뿐만 아니라 안전한 가시광선 파장대 (420~520nm)를 유지하여 부작용의 가능성도 낮췄습니다.

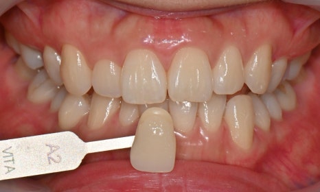
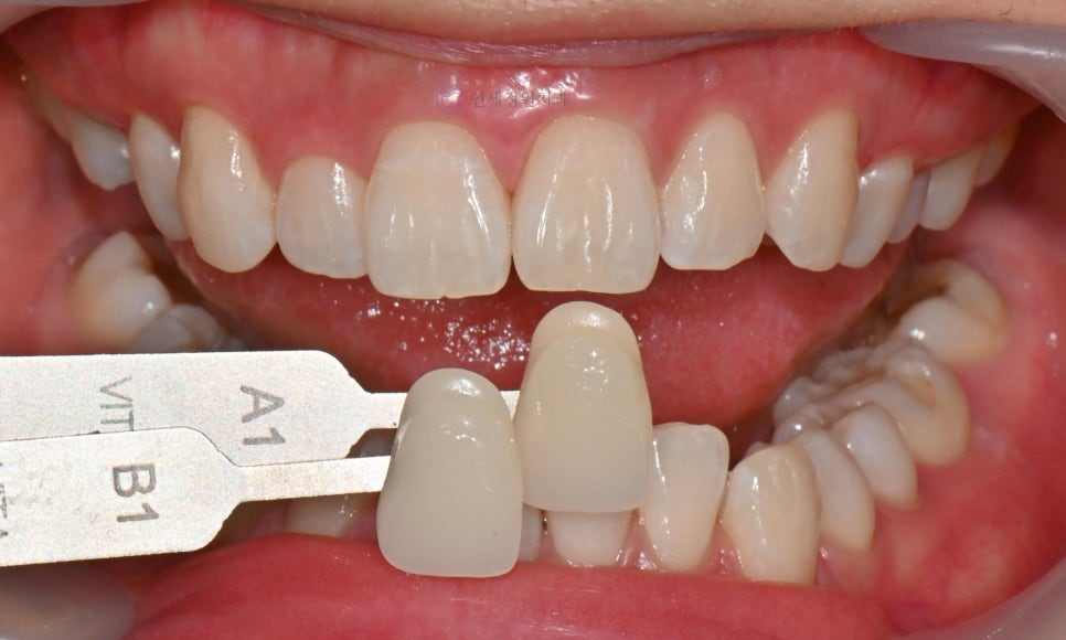
쉐이드 가이드 (Shade Guide)
미백 치료를 시작하기 전 쉐이드 가이드를 사용하여 치료 전 치아 색상을 기록합니다. 치아색은 B1부터 C4까지 총 16단계로 구분이 됩니다(B1-A1-B2-D2-A2-C1-C2-D4-A3-D3-B3-A3.5-B4-C3-A4-C4). B1에 가까울수록 자연치의 밝은 색에, C4에 가까울수록 어두운 색에 해당됩니다.


미백 치료 전 쉐이드 평가 (A2)

Lip Wider & Lip Cover
개구유지기를 착용하고, 방습을 위해 거즈를 위치시킵니다. 고농도의 미백제가 치은에 닿으면 잇몸 손상을 일으킬 수 있으므로 치아와 잇몸의 경계선을 따라 치은 보호제를 도포하고 그 주변의 일정 면적의 잇몸까지 치은 보호제를 짜줍니다. 치은 보조제를 광조사 하여 경화시킵니다.


치은 보조제 도포 후 광조사하여 댐 형성


미백겔 도포 후 광조사
보통 첫번째 작은어금니부위(환자에 따라 두번째 작은어금니)까지 미백제를 도포한 후 15분 동안 광조사합니다. 환자가 움직일 경우 광조사기의 위치가 안 맞을 수도 있고, 미백제가 뺨에 닿을 수도 있기 때문에 15분 동안 주의 깊게 환자의 상태를 관찰해야 합니다. 광조사 빛이 다른 곳으로 퍼질 수도 있어서 포를 덮어서 LED 라이트를 가려줍니다.

15분 1사이클이 끝나면 미백겔을 닦아내고 다시 한번 미백겔을 도포하여 위 과정을 총 3번 반복합니다.
15분씩 3사이클을 진행한 후 미백겔과 치은 보조제를 제거하고 물로 깨끗하게 세척합니다.
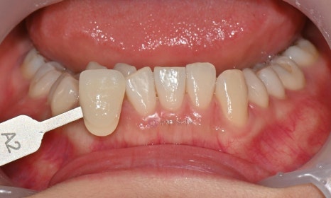
미백 치료가 마무리 된 후 치아의 쉐이드를 평가하여 기록합니다.


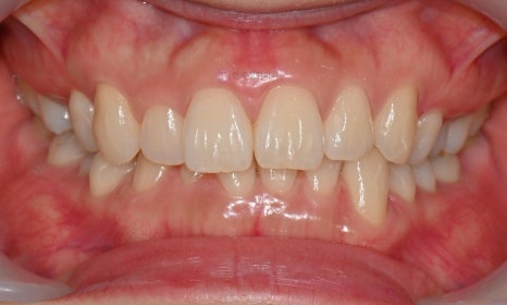
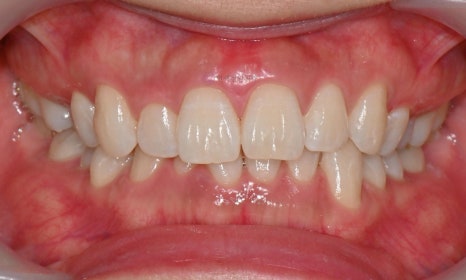
미백 치료 후 쉐이드 평가 (A1~B1)

미백 치료 후 쉐이드 평가 (A1~B1)


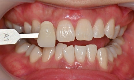
미백 치료 전/후
미백 치료 3사이클 진행 후 치아 쉐이드의 변화를 비교한 사진입니다. 아래 치아는 위 치아보다 미백 효과가 좀 더 좋았으며, 전체적으로 3~4단계 쉐이드가 밝아졌습니다.
미백 치료 후 주의사항
미백 치료 중에 잇몸의 염증이 일시적으로 생길 수도 있지만, 미백제를 제거하고 하면 완전히 원상태로 돌아오게 됩니다.
미백 시술 후 적어도 48시간 동안에는 흡연이나 착색 음료를 삼가해주세요(녹차, 커피, 콜라, 와인, 카레, 오렌지 주스 등).
미백 기간 중 치아의 일부가 하얗게 되어 부자연스럽게 보일 수 있습니다. 이는 같은 치아에서도 치아 밀도가 부위별로 달라서 생기는 현상으로 일시적이며, 미백 치료 종료(1~2주) 후 자연스럽게 돌아옵니다.
미백제에 대한 과민반응으로 치아가 일시적으로 시릴 수 있으나, 1~7일 후 자연적으로 사라집니다. 해당 기간 동안에는 너무 차갑거나 뜨거운 음식을 피하시는게 도움이 됩니다. 혹시 일주일 이상 시린 증상이 지속되거나 통증이 있을 경우에는 치과에 꼭 방문해주세요.
미백치료 중에는 치아가 시릴 수 있으므로 일반치약 대신 시린이 전용 치약을 사용해주세요.
치아 미백 후 2주 정도는 착색이 잘되는 음식이나 음료의 섭취를 더 조심해주는 것이 필요합니다. 치아 미백 효과는 영구적인 것이 아니며 개인의 식습관과 구강 관리 상태에 따라 달라질 수 있으며, 보통 6개월~1년 주기로 치아색을 확인하여 추가로 미백 치료가 필요할 수 있습니다. 보다 자세한 치아 미백 정보는 연세정원치과에 내원하시면 자세히 설명드리도록 하겠습니다.
본원에 문의해주시면 자세히 알려드리겠습니다.

대치동 우성아파트 사거리 BMW 옆 건물
(스타벅스/삼성스토어 건너편)
대치동 교정치과 연세정원치과는
주차가 편리하며 무료입니다.
상담 및 문의 : 02-501-2879