연세정원치과
원데이 치아미백 @ 대치동치과 연세정원치과
안녕하세요. 대치동 연세정원치과의원 입니다. 지난 주에는 조금 특별한 환자분들께서 병원에 내원해주셨습니다. 한국에 놀러오신 네덜란드 관광객 커플께서 치아 미백을 하기 위해 방문하셨습니다. 머물고 계셨던 호텔도 명동 근처셨는데 먼 대치동까지 방문해주셔서 더욱 정성껏 치료해드렸답니다! K-뷰티와 패션 때문에 한국에...
아카이브 요약
이 페이지의 역할
연세정원치과 Yonsei JW Dental Clinic at Gangnam의 네이버 블로그 원문을 보존한 아카이브 페이지입니다. 미백/라미네이트 심미치료 카테고리의 원데이 치아미백 @ 대치동치과 연세정원치과 글을 통해 병원의 한국어 정보 제공 방식과 진료 관련 안내 톤을 확인할 수 있습니다.

안녕하세요. 대치동 연세정원치과의원 입니다.
지난 주에는 조금 특별한 환자분들께서 병원에 내원해주셨습니다. 한국에 놀러오신 네덜란드 관광객 커플께서 치아 미백을 하기 위해 방문하셨습니다. 머물고 계셨던 호텔도 명동 근처셨는데 먼 대치동까지 방문해주셔서 더욱 정성껏 치료해드렸답니다!
K-뷰티와 패션 때문에 한국에 오셨다고 하셨을만큼, 여자 환자분께서 미백 치료의 과정과 효과 등 이것저것 꼼꼼하게 질문을 하셨습니다. 미백 치료를 원하지만 '할리우드 스마일' 느낌의 인위적인 미백 효과는 원하지 않는다고 하셨습니다.


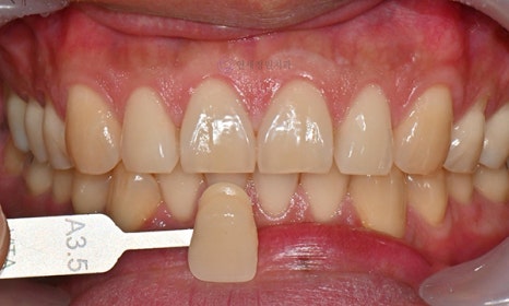
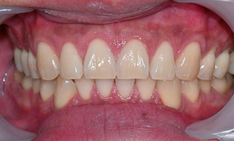
- 9 (미백 전 쉐이드 A3.5)
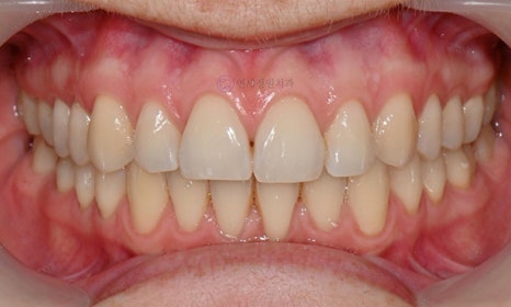
간단한 구강검진과 스케일링 후 3 cycle의 미백 과정을 진행하였습니다. 남자 환자분은 미백을 받아보신 적은 없으셨고, 3번의 미백 과정 후 환자분께서 매우 만족해 하셨습니다.

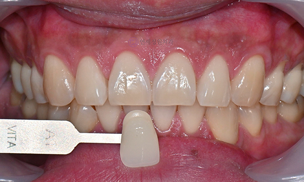
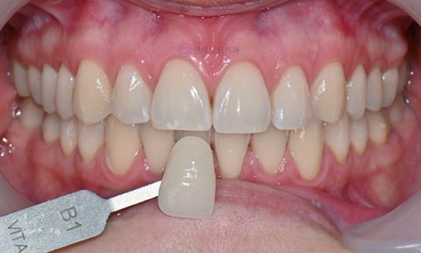
- 9 (미백 후 쉐이드 A1~2)


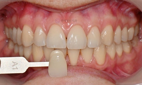
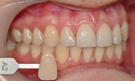
미백 전후 쉐이드 비교
여자 환자분께서는 예전에 교정치료도 받으셨고, 미백 경험이 있으셨으며 너무 밝지 않게 원하신다고 하셨습니다.




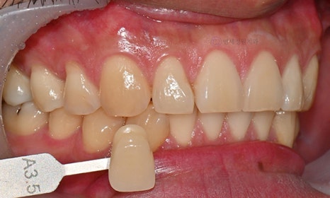
- 9 (송곳니 및 아래 앞니 미백 전 쉐이드 A2)
너무 밝은 느낌의 미백 효과는 원치 않으셔서 2번의 cycle을 진행하였으며, 미백 후 쉐이드 B1으로 마무리하였습니다.


- 9 (미백 후 쉐이드 B1)

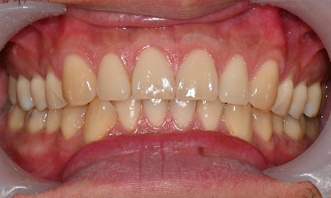
치료를 마친 후 함께 센스 있게 치아가 보이게 활짝 미소 지으며 사진 촬영도 하였습니다 :) 친구들에게 소개 많이 해주신다고 하시며 ㅎㅎ 만약 한국에 또 놀러오시면 미백 받으러 또 오시기로 약속하며 헤어졌습니다! :)
- 치아미백 시술 가격은 미백 횟수에 따라 다를 수 있으므로,
궁금하신 시술 정보 및 치아미백 가격은 본원에 문의해주시면 자세히 알려드리겠습니다.

대치동 우성아파트 사거리 BMW 옆 건물
(스타벅스/삼성스토어 건너편)
대치동 교정치과 연세정원치과는
주차가 편리하며 무료입니다
상담 및 문의 : 02-501-2879
더 보기
이 병원의 공개 콘텐츠를 계속 살펴보세요
출처 아카이브로 돌아가 더 많은 글을 보거나, 병원 프로필로 이동해 다른 공개 채널도 함께 비교해보세요.