연세정원치과
원데이 치아미백 - 앞니 크라운 사례
안녕하세요. 대치동 연세정원치과의원입니다. 원데이 치아미백은 한번의 치료로 치아를 밝게 만들어주는 치아미백 치료입니다. 스케일링으로 먼저 치아와 주변 잇몸을 깨끗하게 청소한 후, 치아 미백을 하게 됩니다. 1시간~1시간30분 안에 효과적으로 치아를 밝고 하얗게 만들어준다는 장점이 있지만, 개인의 구강 위생 상태 및 보...
아카이브 요약
이 페이지의 역할
연세정원치과 Yonsei JW Dental Clinic at Gangnam의 네이버 블로그 원문을 보존한 아카이브 페이지입니다. 미백/라미네이트 심미치료 카테고리의 원데이 치아미백 - 앞니 크라운 사례 글을 통해 병원의 한국어 정보 제공 방식과 진료 관련 안내 톤을 확인할 수 있습니다.

안녕하세요. 대치동 연세정원치과의원입니다.
원데이 치아미백은 한번의 치료로 치아를 밝게 만들어주는 치아미백 치료입니다. 스케일링으로 먼저 치아와 주변 잇몸을 깨끗하게 청소한 후, 치아 미백을 하게 됩니다. 1시간~1시간30분 안에 효과적으로 치아를 밝고 하얗게 만들어준다는 장점이 있지만, 개인의 구강 위생 상태 및 보철물의 상태를 꼼꼼하게 확인하고 개인의 치아 상태 및 잇몸 색상과 피부톤에 맞도록 맞춤형으로 진행해야 하기 때문에, 전문적으로 치아 미백을 진행하는 곳에서 미백 치료를 받는 것이 필요합니다.
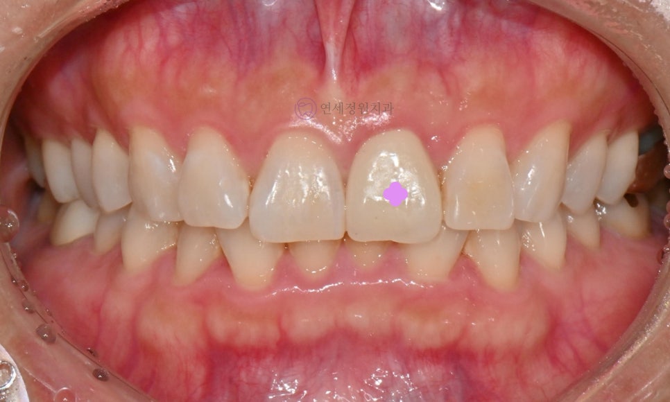
오늘 소개해드릴 케이스는 왼쪽 앞니를 크라운 치료를 받으신 상태였는데, 미백 치료를 진행한 경우입니다. 미백 치료를 받아보신 적이 있으시며, 미백 후 왼쪽 크라운 컬러와 다른 치아와 컬러 차이가 있을 수 있음을 설명드린 후 미백치료를 진행하였습니다.



- 9

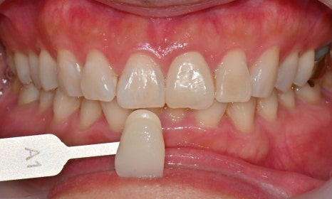
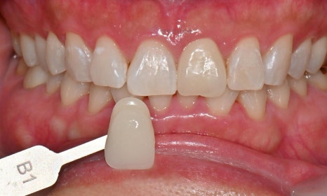
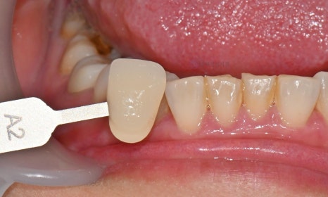
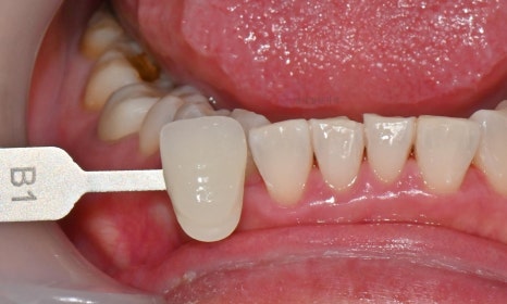
쉐이드 가이드
미백 치료를 시작하기 전 쉐이드 가이드를 사용하여 치료 전 치아 색상을 기록합니다. 치아색은 B1부터 C4까지 총 16단계로 구분이 됩니다(B1-A1-B2-D2-A2-C1-C2-D4-A3-D3-B3-A3.5-B4-C3-A4-C4). B1에 가까울수록 자연치의 밝은 색에, C4에 가까울수록 어두운 색에 해당됩니다.
원래 환자분 치아의 쉐이드도 밝은 편이셨으며, 위 앞니는 A1 쉐이드, 아래 앞니는 A2로 조금 더 진한 쉐이드를 보였습니다. 먼저 스케일링을 진행한 후 치아미백을 진행하였습니다. 미백 치료 후 개인의 치아 상태나 미백제의 종류 등에 따라 최대 2~3단계 정도 치아 컬러는 밝아지게 되는데, 현재 컬러도 많이 어두운 편이 아니었고 왼쪽 앞니 크라운의 컬러도 함께 평가해야 했으므로, 미백 2 cycle을 먼저 진행하기로 하였습니다.



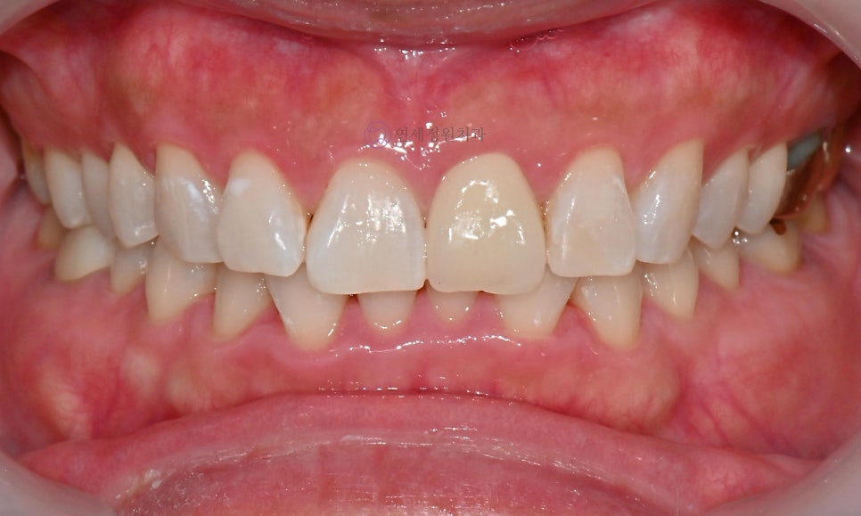
2 cycle의 미백 치료 후 위 치아는 B1보다 밝아졌으며, A2 였던 아래 앞니는 B1으로 4단계 밝아졌습니다. 크라운 상태인 왼쪽 앞니의 컬러가 약간 차이가 나긴 했으나, 환자분께서는 매우 만족하셨습니다.




2 cycle의 미백치료 전후 사진 비교
미백 치료 후 주의사항
-
미백 치료 중에 잇몸의 염증이 일시적으로 생길 수도 있지만, 미백제를 제거하고 하면 완전히 원상태로 돌아오게 됩니다.
-
미백 시술 후 적어도 48시간 동안에는 흡연이나 착색 음료를 삼가해주세요(녹차, 커피, 콜라, 와인, 카레, 오렌지 주스 등).
-
미백 기간 중 치아의 일부가 하얗게 되어 부자연스럽게 보일 수 있습니다. 이는 같은 치아에서도 치아 밀도가 부위별로 달라서 생기는 현상으로 일시적이며, 미백 치료 종료(1~2주) 후 자연스럽게 돌아옵니다.
-
미백제에 대한 과민반응으로 치아가 일시적으로 시릴 수 있으나, 1~7일 후 자연적으로 사라집니다. 해당 기간 동안에는 너무 차갑거나 뜨거운 음식을 피하시는게 도움이 됩니다. 혹시 일주일 이상 시린 증상이 지속되거나 통증이 있을 경우에는 치과에 꼭 방문해주세요.
-
미백치료 중에는 치아가 시릴 수 있으므로 일반치약 대신 시린이 전용 치약을 사용해주세요.
치아 미백 후 2주 정도는 착색이 잘되는 음식이나 음료의 섭취를 더 조심해주는 것이 필요합니다. 치아 미백 효과는 영구적인 것이 아니며 개인의 식습관과 구강 관리 상태에 따라 달라질 수 있으며, 보통 6개월~1년 주기로 치아색을 확인하여 추가로 미백 치료가 필요할 수 있습니다.
원데이 치아 미백은 짧은 시간 안에 미백이 가능하기 때문에 시간적 여유가 없는 직장일들도 많이 선호하고 있습니다. 보다 자세한 치아 미백 정보는 연세정원치과에 내원하시면 자세히 설명드리도록 하겠습니다.
- 치아미백 가격은 미백 방법에 따라 다를 수 있으므로
궁금하신 시술 정보 및 치과 치아미백 가격은 본원에 문의해주시면 자세히 알려드리겠습니다.

대치동 우성아파트 사거리 BMW 옆 건물
(스타벅스/삼성스토어 건너편)
대치동 교정치과 연세정원치과는
주차가 편리하며 무료입니다.
상담 및 문의 : 02-501-2879
더 보기
이 병원의 공개 콘텐츠를 계속 살펴보세요
출처 아카이브로 돌아가 더 많은 글을 보거나, 병원 프로필로 이동해 다른 공개 채널도 함께 비교해보세요.