연세정원치과
앞니 심미 레진 치료 : 블랙트라이앵글, 앞니 사이 공간 @ 대치동 연세정원치과
안녕하세요. 대치동 연세정원치과 입니다. 하얗고 가지런하게 배열된 치아는 한 사람의 인상을 결정할 때 매우 중요한 부분을 차지합니다. Madonna 세계적인 가수이자 배우인 마돈나는 앞니 사이가 살짝 벌어져있는데요. 마돈나는 살짝 벌어진 자신의 앞니를 행운의 상징으로 여겼다고 합니다. 마돈나는 한 잡지에서 자신...
아카이브 요약
이 페이지의 역할
연세정원치과 Yonsei JW Dental Clinic at Gangnam의 네이버 블로그 원문을 보존한 아카이브 페이지입니다. 미백/라미네이트 심미치료 카테고리의 앞니 심미 레진 치료 : 블랙트라이앵글, 앞니 사이 공간 @ 대치동 연세정원치과 글을 통해 병원의 한국어 정보 제공 방식과 진료 관련 안내 톤을 확인할 수 있습니다.

안녕하세요. 대치동 연세정원치과 입니다.
하얗고 가지런하게 배열된 치아는 한 사람의 인상을 결정할 때 매우 중요한 부분을 차지합니다.

Madonna
세계적인 가수이자 배우인 마돈나는 앞니 사이가 살짝 벌어져있는데요. 마돈나는 살짝 벌어진 자신의 앞니를 행운의 상징으로 여겼다고 합니다. 마돈나는 한 잡지에서 자신의 앞니를 포토샵으로 교정하자 강하게 항의하기도 했다고 하는데, 네잎클로버가 흔치 않기 때문에 행운의 상징이 됐듯, 남들이 갖지 못한 것이라면 설사 그게 벌어진 앞니라 해도 매력 포인트가 될 수 있다는 걸 마돈나는 알고 있었던 것 같습니다. 벌어진 앞니가 자신을 표현하는데 있어 전혀 문제가 되지 않았습니다.


Ronaldo
브라질의 유명한 축구선수 Ronaldo 역시 앞니 사이가 벌어져 있었는데요. Ronaldo는 교정치료를 받아 치아사이 공간을 없앤 것 같네요 :)
문화의 차이가 있을수도 있으나, 치아 사이가 벌어져있거나 잇몸이 내려가서 치아와 잇몸 사이가 뚫려보이는 경우 그 부위가 비어보이거나 음식물이 껴있는 것 같은 느낌을 줄 수 있기 때문에 일반적으로 믾은 여성 환자분들께서 웃을 때 신경이 많이 쓰인다고 말씀해주십니다.


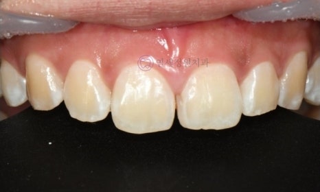
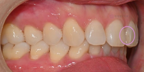
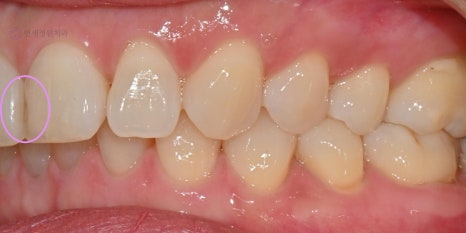
위 환자분은 앞니 사이 공간을 예전에 레진으로 때우셨었는데 일부가 깨져서 병원에 오셨습니다. 추가적으로 치아를 깎는 치료는 원하지 않으셨고, 기존에 받으셨던 레진 치료에 크게 거부감이 없으셔서 기존 레진 제거 후 다시 레진으로 형태를 수정하여 드렸습니다.
앞니 사이 공간과는 다르게 잇몸이 내려가서 치아와 잇몸 사이가 뚫려보이는 경우 이를 Black triangle 이라고 합니다.
Black triangle이란 치아 사이 잇몸이 있어야 할 공간에 잇몸이 퇴축하면서 그 공간이 노출되는 것으로, 입안이 어둡기 때문에 밖에서 봅면 까만 삼각형 모양으로 그 공간이 비어보이기 때문에 심미적으로 문제가 될 수 있습니다. Black triangle은 치아 교정이 마무리 된 이후에도 발생할 수 있습니다.

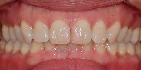
Black Triangle
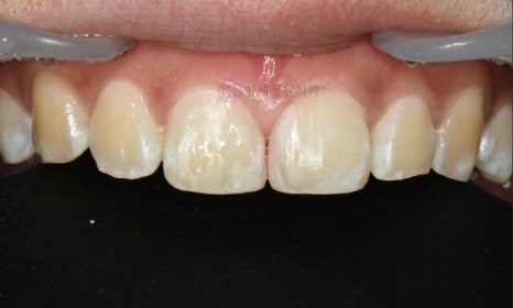
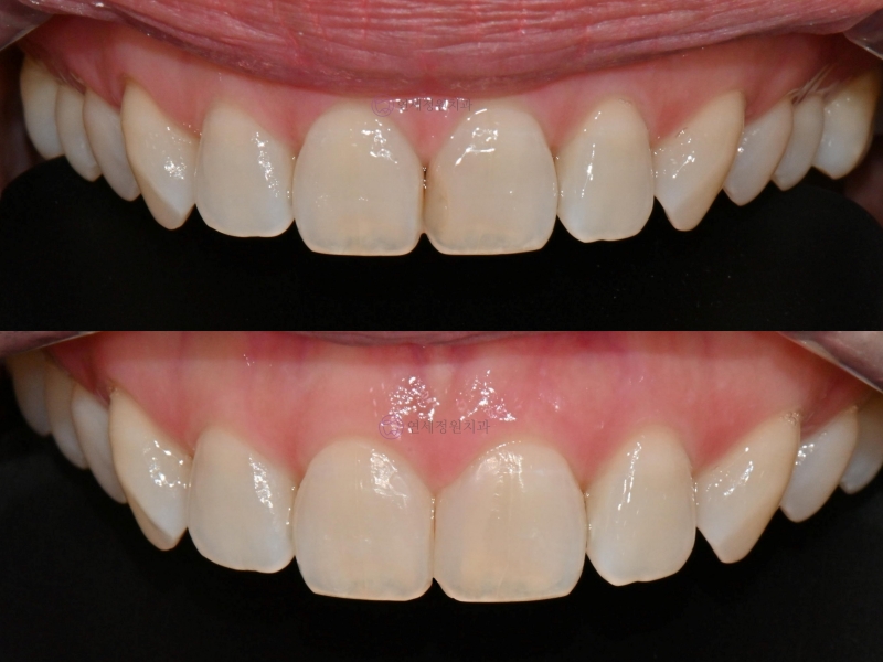
본 환자분은 앞니 사이에 예전에 때웠던 레진이 깨져나가고 쉐이드가 어둡게 보여서 레진 재치료를 원하셨습니다. 다시 치료를 하는 김에 치아 사이에 잇몸이 내려가서 비어 보이는 공간도 없애길 원하셨습니다. 치료 범위의 정확한 진단을 위해 큐레이 검사도 진행하였습니다.




- 8


앞니 큐레이 사진
레진 치료 전후 모습 비교입니다. 환자분께서 가운데 앞니 사이에 약간 내려간 잇몸으로 인한 공간까지 개선 원하셔서 빈 공간을 최대한 채워드렸으며, 치실 사용 등 치주관리의 필요성도 설명드렸습니다.

치료 전후 사진
레진이라는 재료의 특성 상 오래되면 변색이 될 가능성이 있다는 점은 분명하나, 당일 치료가 가능하고 치아를 삭제할 필요가 없기 때문에 마취가 필요 없으며 통증도 없습니다. 또한 다른 보철 치료에 비하여 경제적인 치료라는 장점이 있습니다. 그리고 추후 레진을 제거하고 다시 치료가 가능하다는 장점도 있어, 적절한 케이스를 선택하여 진행하면 매우 매력적인 치료라고 할 수 있습니다.
연세정원치과의원의 안지호 원장님은 레진 치료에 경험이 풍부하시고 그만큼 퀄리티도 뛰어나시기 때문에 자신있게 추천드립니다 :)

대치동 우성아파트 사거리 BMW 옆 건물
(스타벅스/삼성스토어 건너편)
대치동 교정치과 연세정원치과는
주차가 편리하며 무료입니다.
상담 및 문의 : 02-501-2879
더 보기
이 병원의 공개 콘텐츠를 계속 살펴보세요
출처 아카이브로 돌아가 더 많은 글을 보거나, 병원 프로필로 이동해 다른 공개 채널도 함께 비교해보세요.