연세정원치과
Precautions for Teeth Whitening Treatment @ Yonsei JW Dental Clinic
Hello, this is Yonsei JW Dental Clinic in Daechi-dong, Gangnam, Seoul. Since the mandatory mask-wearing was lifted after the COVID-19 pandemic, interest in appearance has been in...
아카이브 요약
이 페이지의 역할
연세정원치과 Yonsei JW Dental Clinic at Gangnam의 네이버 블로그 원문을 보존한 아카이브 페이지입니다. Whitening / ICON 카테고리의 Precautions for Teeth Whitening Treatment @ Yonsei JW Dental Clinic 글을 통해 병원의 한국어 정보 제공 방식과 진료 관련 안내 톤을 확인할 수 있습니다.

Hello, this is Yonsei JW Dental Clinic in Daechi-dong, Gangnam, Seoul.
Since the mandatory mask-wearing was lifted after the COVID-19 pandemic, interest in appearance has been increasing. Particularly, with more outdoor activities and private gatherings, sales of color cosmetics such as lipsticks and blushes have risen, as reported in the news. Additionally, there has been a growing interest in issues like bad breath and teeth whitening, which had received less attention during the mask-wearing period.

Effects of Teeth Whitening
These days, there are many whitening products available for at-home use, but caution must be taken with at-home whitening methods that have not been verified, as they come with risks and potential side effects. If there are broken parts of the teeth, cavities, or gum disease, the whitening agents can cause damage to the teeth or gums.

Causes of Tooth Discoloration
There are various causes for tooth discoloration. The most common reason is aging, where the enamel, which is the outer layer of the teeth, wears down and becomes thinner, revealing the underlying dentin, which appears yellowish.
Taking tetracycline antibiotics by children under the age of 12, or during pregnancy and breastfeeding, can cause the teeth of the fetus to become discolored to a grayish color (discoloration caused by tetracycline cannot be treated with whitening).
Additionally, if a tooth experiences physical trauma, the blood vessels inside the tooth can be damaged, leading to sudden changes in color. Moreover, frequent consumption of pigmented foods and beverages such as coffee, green tea, wine, curry, and cola, as well as staining from tar and nicotine due to smoking, can also lead to tooth discoloration.
Evaluation of Tooth Color
When you visit the dental clinic for teeth whitening, a comprehensive oral examination and full scaling will be conducted first. If you have cavities or chipped teeth, or if there is inflammation around the teeth, treatment for cavities and gum issues must be performed before proceeding with whitening.
If there is cervical wear or if there are existing resin fillings in the teeth, there may be differences in tooth color after whitening, so caution is advised.
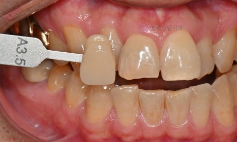
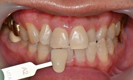
Before starting the teeth whitening process, the color of your teeth will be assessed. A shade guide will be used to record the tooth color; the shade guide is a specific indicator that expresses the degree of lightness or darkness of the teeth in stages. As the letters increase numerically, the color becomes darker. Tooth colors are classified into 16 stages, ranging from B1 to C4 (B1-A1-B2-D2-A2-C1-C2-D4-A3-D3-B3-A3.5-B4-C3-A4-C4). The closer to B1, the brighter the natural tooth color, and the closer to C4, the darker the color.

Shade Guide
A and B are generally closer to average tooth colors and are frequently used clinically, while C represents a darker shade with gray undertones. D is more common among Caucasians and relatively less common among Asians.
-
A: Orange (Brownish tones)
-
B: Yellow Orange (Yellowish tones)
-
C: Blue Orange, Greyish Orange (Grayish tones)
-
D: Reddish Grey, Pink Orange (Reddish tones)
Procedure for Teeth Whitening
-
The patient wears a retractor to protect the gums and cheeks, and safety glasses are provided to shield the patient from the light source.
-
The teeth are isolated, and a dam (gingival protector) is formed to protect the gums while gauze is placed for moisture control.
-
The whitening gel is applied to the teeth, and the light source is activated to enhance the whitening agent.
-
After performing treatment for three cycles of 15 minutes each, the whitening gel and gingival protector are removed, and the area is rinsed thoroughly with water.

Effects of Teeth Whitening
When you visit the dental clinic for teeth whitening, a comprehensive oral examination and full scaling will be conducted first. If you have cavities or chipped teeth, or if there is inflammation around the teeth, treatment for cavities and gum issues must be performed before proceeding with whitening.


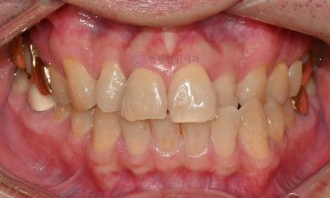
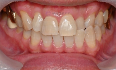
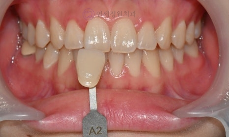
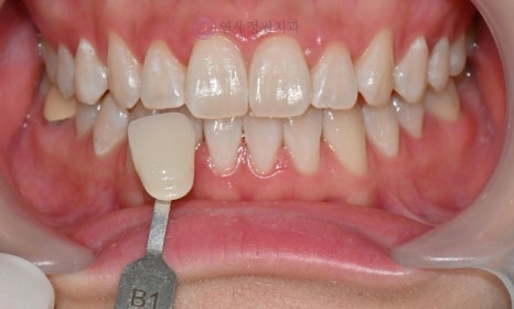
Before and After


Before Shade: A3.5 / After Shade: A2


Before Shade: A2 / After Shade: B1
Post-Whitening Treatment Precautions
-
Inflammation of the gums may temporarily occur during whitening treatment, but it will return to normal once the whitening agent is removed.
-
Please refrain from smoking or consuming staining beverages (such as green tea, coffee, cola, wine, curry, orange juice, etc.) for at least 48 hours after the whitening procedure.
-
During the whitening period, some teeth may appear unnaturally white. This is a temporary phenomenon caused by differences in tooth density in various areas of the same tooth and will return to normal after the whitening treatment concludes (1-2 weeks).
-
Teeth may experience temporary sensitivity due to an allergic reaction to the whitening agent, but this will naturally subside within 1-7 days. During this period, avoiding very hot or cold foods may help. If sensitivity persists for more than a week or if there is pain, please visit your dentist.
-
Since teeth may be sensitive during the whitening treatment, use a toothpaste specifically designed for sensitivity instead of regular toothpaste.
Teeth whitening is not a permanent solution; teeth will gradually become discolored again. After treatment, it is important to avoid foods and habits that can stain your teeth, such as smoking, and to brush with toothpaste that contains whitening ingredients to maintain the brightness of your teeth for a longer time. Using a straw when drinking can also help prevent discoloration after whitening. Additionally, it is recommended to visit the dentist for a touch-up every 6 to 12 months after teeth whitening to maintain results.
Google Maps
Located next to the BMW building
(across from Starbucks/Samsung Store)
Convenient and free parking available
For consultations and inquiries:
02-501-2879
Whatsapp: https://wa.me/8225012879

더 보기
이 병원의 공개 콘텐츠를 계속 살펴보세요
출처 아카이브로 돌아가 더 많은 글을 보거나, 병원 프로필로 이동해 다른 공개 채널도 함께 비교해보세요.