연세정원치과
One Day Teeth Whitening Process @ Yonsei JW Dental Clinic
procedures of teeth whitening, Yonsei JW Dental Clinic Hello, this is Yonsei JW Dental Clinic in Daechi-dong, Gangnam, Seoul, Korea. Recently, many patients have been coming in for...
아카이브 요약
이 페이지의 역할
연세정원치과 Yonsei JW Dental Clinic at Gangnam의 네이버 블로그 원문을 보존한 아카이브 페이지입니다. Whitening / ICON 카테고리의 One Day Teeth Whitening Process @ Yonsei JW Dental Clinic 글을 통해 병원의 한국어 정보 제공 방식과 진료 관련 안내 톤을 확인할 수 있습니다.

procedures of teeth whitening, Yonsei JW Dental Clinic
Hello, this is Yonsei JW Dental Clinic in Daechi-dong, Gangnam, Seoul, Korea.
Recently, many patients have been coming in for teeth whitening treatments, and it is one of the most satisfying procedures for patients. Clean, bright teeth are a key factor in leaving a good impression, so teeth whitening is gaining interest and popularity among people of all ages. Since the main ingredient in teeth whitening treatments is 15% high-concentration hydrogen peroxide, there is a risk of damaging the teeth or gums if not done carefully, which is why the procedure requires meticulous attention.
One-day teeth whitening is a treatment that brightens teeth in just one session. The advantage of this procedure is that it effectively makes teeth whiter and brighter within 1 to 1.5 hours. However, it is essential to carefully assess the patient’s oral hygiene and the condition of any prosthetic work before treatment. Since the treatment should be customized according to the individual's tooth condition, gum color, and skin tone, it is important to receive whitening treatment from a clinic specializing in professional teeth whitening.
In the previous post, we explained the general aspects and precautions of teeth whitening. Today, we will go over the steps involved in the teeth whitening treatment process.
- Oral Examination and Full Scaling
An oral examination and full scaling are performed first. If there are cavities, worn teeth, or inflammation around the teeth, cavity and gum treatments should be done beforehand. In cases of cervical abrasion or previously treated teeth with resin, there may be color differences after whitening, so caution is required. Scaling helps remove tartar, and after the procedure, the tooth surface is polished to a smooth finish through dental cleaning.


Scaling and Tooth Surface Cleaning
- Before the teeth whitening treatment, the color of the teeth is recorded


BeauTis 15 whitening Gel

Light-activated Device
After completing the oral examination and scaling, we begin preparing for the whitening treatment.
At Yonsei JW Dental Clinic, our teeth whitening treatment uses the 'BeauTis Light' whitening light device and the genuine 'BeauTis 15 whitening gel.' The BeauTis Light works by applying the whitening gel to the stained teeth, then using a high-intensity Blue LED to accelerate the production of free radicals, resulting in a rapid and effective whitening outcome. Additionally, it maintains a safe visible light wavelength range (420-520nm), reducing the risk of side effects.

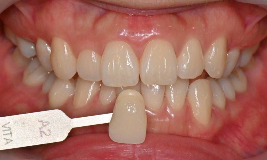
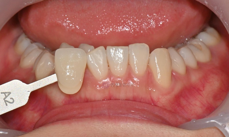
Shade Guide
Before starting the whitening treatment, we use a shade guide to record the color of the teeth. Tooth color is classified into 16 levels, ranging from B1 to C4 (B1-A1-B2-D2-A2-C1-C2-D4-A3-D3-B3-A3.5-B4-C3-A4-C4). The closer the shade is to B1, the brighter and more natural the tooth color. The closer it is to C4, the darker the color.


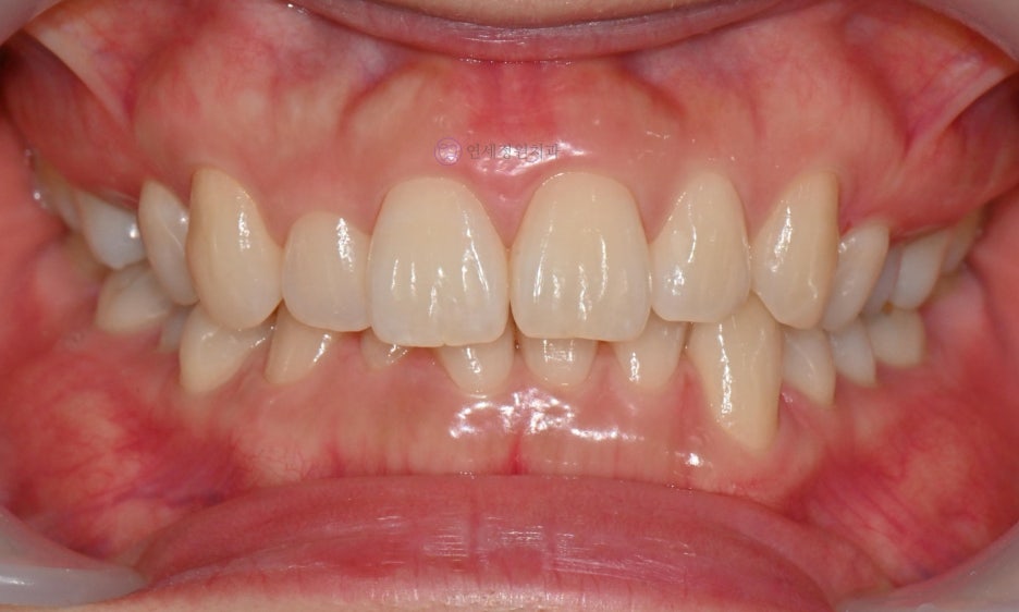
Shade Evaluation Before Whitening Treatment (A2)
- A mouth prop is placed to protect the gums and cheeks, and a gingival barrier is formed to isolate the teeth and protect the gums. Gauze is positioned to maintain moisture control.

Lip Wider & Lip Cover
A mouth prop is worn, and gauze is positioned to maintain moisture control. Since high-concentration whitening agents can cause damage to the gums, a gingival protector is applied along the boundary between the teeth and gums, extending to a certain area of the surrounding gums. The gingival protector is then cured using light activation.


After applying the gingival protector, light activation is performed to create a dam
- The whitening gel is applied to the teeth, and the light source is positioned to activate the whitening agent.


미백겔 도포 후 광조사
After applying the whitening agent, it is typically applied up to the first molar area (or the second molar, depending on the patient), and then light activation is performed for 15 minutes. It is important to carefully monitor the patient's condition during this time, as any movement by the patient may misalign the light source, and the whitening agent could come into contact with the cheeks. To prevent the light from spreading to other areas, a cover is placed to shield the LED light.

After the first 15-minute cycle is completed, the whitening gel is wiped off, and a new layer of whitening gel is applied. This process is repeated a total of two or three times.
-
After completing three cycles of 15 minutes each, the whitening gel and gingival protector are removed, and the area is rinsed thoroughly with water.
-
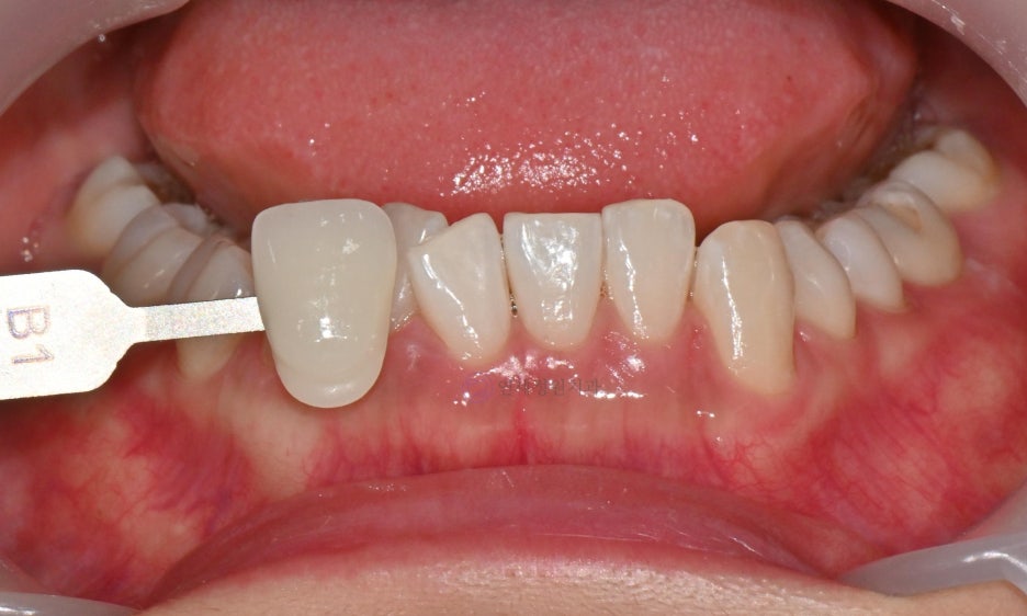
After the whitening treatment is completed, the shade of the teeth is evaluated and recorded.


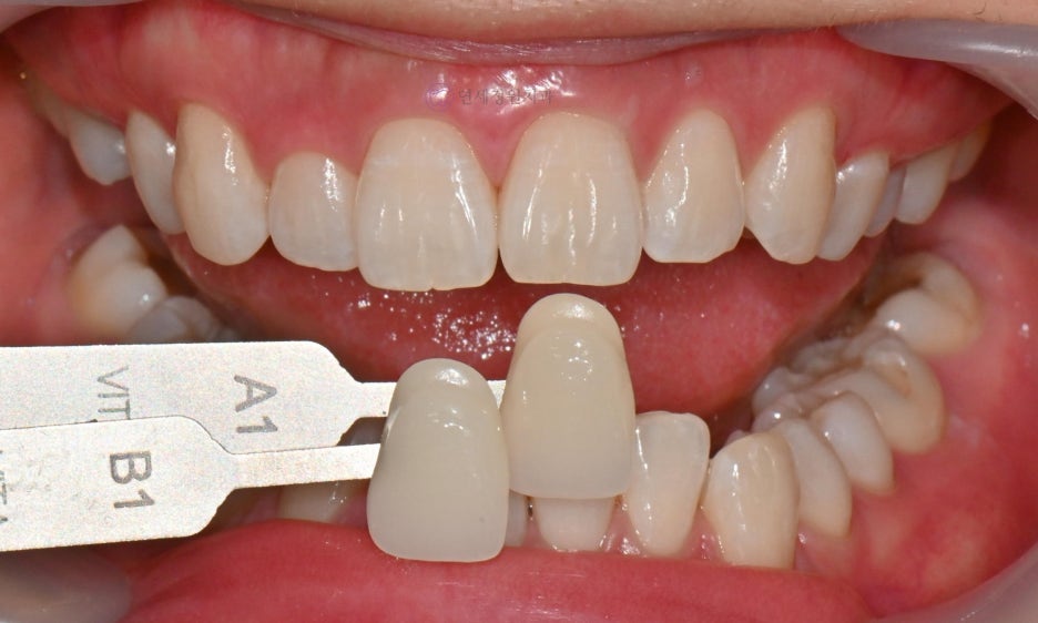
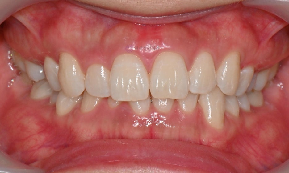
Shade Evaluation After Whitening Treatment (A1~B1)

Shade Evaluation After Whitening Treatment (A1~B1)


Teeth Whitening Before/After
This is a photo comparing the changes in tooth shade after completing three cycles of whitening treatment. The lower teeth show a slightly better whitening effect than the upper teeth, with an overall brightening of 3 to 4 shades.
Post-Whitening Treatment Care Instructions
-
Temporary Gum Inflammation: During whitening treatment, there may be temporary inflammation of the gums; however, this will return to normal once the whitening agent is removed.
-
Avoid Smoking and Staining Beverages: Please refrain from smoking and consuming staining beverages (such as green tea, coffee, cola, wine, curry, and orange juice) for at least 48 hours after the whitening procedure.
-
Temporary Whitening Appearance: Some areas of the teeth may appear whiter and look unnatural during the whitening period. This is a temporary phenomenon due to varying tooth density in different areas and will normalize after the whitening treatment is completed (1-2 weeks).
-
Sensitivity Reaction: There may be a temporary sensitivity reaction to the whitening agent, which usually resolves naturally within 1 to 7 days. It is advisable to avoid extremely hot or cold foods during this period. If sensitivity persists for more than a week or if there is pain, please visit the dentist.
-
Use Sensitive Toothpaste: Since teeth may be sensitive during whitening treatment, please use toothpaste specifically designed for sensitivity instead of regular toothpaste.
After teeth whitening, it is important to be more cautious about consuming foods and beverages that tend to stain for about two weeks. The effects of teeth whitening are not permanent and can vary based on individual dietary habits and oral care practices. Typically, it is advisable to check the tooth color every 6 months to 1 year to determine if additional whitening treatment is needed. For more detailed information on teeth whitening, please visit Yonsei JW Dental Clinic, and we will provide you with comprehensive explanations.
"The cost of teeth whitening procedures can vary depending on the method used. For detailed information about the procedure and dental whitening prices, please contact our clinic, and we will be happy to provide you with the information you need."
Google Map
Located next to the BMW building
(across from Starbucks/Samsung Store)
Convenient and free parking available.
For consultations and inquiries: 02-501-2879
Whatsapp: https://wa.me/8225012879

더 보기
이 병원의 공개 콘텐츠를 계속 살펴보세요
출처 아카이브로 돌아가 더 많은 글을 보거나, 병원 프로필로 이동해 다른 공개 채널도 함께 비교해보세요.