연세정원치과
주걱턱 치아 교정만으로 치료 가능할까요? @ 대치동 교정치과 연세정원치과
안녕하세요. 대치동 교정치과 연세정원치과의원 윤정원 대표원장입니다. 우리가 흔히 말하는 주걱턱은 위턱보다 아래턱이 더 발달하여 아래턱이 앞으로 돌출된 부정교합의 형태로, 치아가 반대로 물려서 저작 기능에 문제가 있거나 발음을 정확하게 하기 힘든 경우가 발생할 수 있습니다. 무엇보다 아래턱의 돌출로 인하여 강해보이는 인...
아카이브 요약
이 페이지의 역할
연세정원치과 Yonsei JW Dental Clinic at Gangnam의 네이버 블로그 원문을 보존한 아카이브 페이지입니다. 치아교정 카테고리의 주걱턱 치아 교정만으로 치료 가능할까요? @ 대치동 교정치과 연세정원치과 글을 통해 병원의 한국어 정보 제공 방식과 진료 관련 안내 톤을 확인할 수 있습니다.
안녕하세요. 대치동 교정치과 연세정원치과의원 윤정원 대표원장입니다.

우리가 흔히 말하는 주걱턱은 위턱보다 아래턱이 더 발달하여 아래턱이 앞으로 돌출된 부정교합의 형태로, 치아가 반대로 물려서 저작 기능에 문제가 있거나 발음을 정확하게 하기 힘든 경우가 발생할 수 있습니다. 무엇보다 아래턱의 돌출로 인하여 강해보이는 인상을 주기 때문에, 이로 인하여 대인관계에서 스트레스를 받을 수도 있습니다. 반대교합이 심할수록 하악 앞니 치아들이 위로 솟구쳐 올라오고, 위 앞니가 잘 보이지 않아 웃을 때에도 아래 치아가 더 많이 보이기도 하며, 이로 인하여 합죽이와 같은 입매가 심해보일 수 있습니다.
주걱턱은 안면비대칭과 함께 발생하는 것이 흔하며, 턱끝이 한쪽으로 틀어져 정면에서 보았을 때 좌우 턱의 대칭이 맞지 않는 모습을 보입니다. 안면비대칭으로 인하여 치아의 위아래 중심선 또한 맞지 않으며, 좌우 어금니의 교합 역시 잘 물리지 않는 양상을 보이게 됩니다.
주걱턱과 안면비대칭은 외과적 수술을 통하여 근본적으로 개선이 가능하지만, 치아 배열 상태나 맹출 위치 등을 평가하여 치아 교정만을 통하여 비수술적으로도 개선이 가능할 수 있습니다.
치아 교정을 통한 주걱턱 교정은 먼저 정밀검사를 통하여 골격적인 위치 부조화로 인한 반대교합인지 치아의 배열 이상으로 인한 반대교합인지 파악을 해야 하며, 교정치료로 가능한지를 확인하여 적절한 치료 계획을 세워야 합니다. 주걱턱의 경우 안면비대칭이 동반된 경우도 많으므로, 치아 교정만으로 개선할 경우 개선 가능한 범위를 정확히 결정 후 치료를 시작해야 합니다.

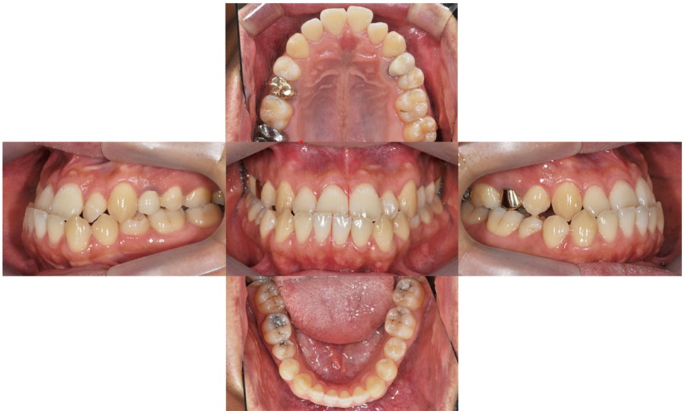
- 1 초진사진
본 환자는 아래턱이 앞으로 돌출되어 앞니가 반대로 물린다는 주소로 병원에 내원하였습니다. 주걱턱과 함께 아래턱 끝이 오른쪽으로 틀어져 있어 치아 중심선도 맞지 않았으며 좌우 어금니 교합은 크게 차이가 있었습니다. 아래턱이 오른쪽으로 틀어져 있다 보니, 왼쪽 송곳니의 위치 관계는 위아래가 크게 틀어져 있었습니다.


좌우 송곳니 위치관계
정면에서 보았을 때 아래턱은 우측으로 틀어져 있으며, 옆에서 보았을 때 아래턱의 돌출과 턱끝 근육의 긴장감을 확인할 수 있습니다.


교정치료 전 얼굴사진
아래턱 돌출로 인한 앞니 반대교합과 위아래 치아 중심선 차이를 해소하기 위하여 좌우 아래 작은 어금니 2개를 발치하여 교정치료를 진행하였습니다.


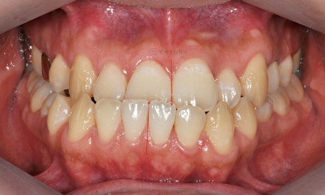
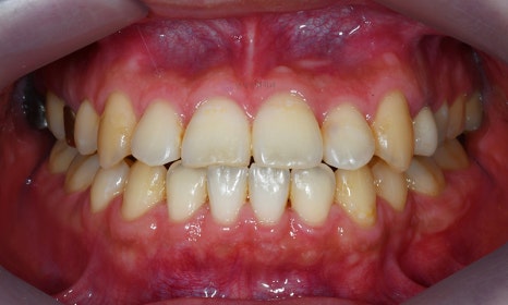
교정 전후 구내사진


치료 마무리 후 위아래 치아 중심선이 일치하였고, 앞니 반대교합도 개선되었습니다. 측면 얼굴사진을 비교해보면, 아래 입술의 돌출감이 많이 개선되었고 수술치료 없이 교정치료만으로 아래턱이 앞으로 나온 것 같이 아래턱 라인이 근육의 긴장감 없이 자연스럽게 이어지고 있습니다.

위턱, 아래턱의 골격적 부조화 및 비대칭은 악교정 수술을 동반하여야 치료가 가능한 경우가 많지만, 수술적인 치료는 비용 뿐만 아니라 전신마취 및 수술의 위험성에 대한 부담이 큰 것은 사실입니다. 심하지 않은 골격적 부조화의 경우 치아 교정만으로도 수술을 한 것과 같은 훌륭한 개선 효과를 가져올 수 있는 경우도 있으므로, 악교정 수술이 부담되어 주걱턱 치료를 고민하고 계시다면 연세정원치과에 내원하셔서 치아 교정만으로도 개선 가능한 케이스인지 먼저 정밀 검사를 받아보실 것을 추천드립니다.
연세정원치과의 치아교정은 정밀진단비, 월비 등의 비용이 포함(단, 유지장치 비용 제외)되어 추가적인 비용 발생에 대한 걱정도 하실 필요가 없습니다. 또한, 일반진료과가 함께 있어 발치나 충치치료 등의 교정에 필요한 모든 치료가 한곳에서 가능하며 목돈이 한번에 나가는 부담을 줄이기 위해 분납제도를 실시하고 있으니 더욱 매력적이라고 할 수 있습니다.
교정과를 책임지고 계시는 윤정원 대표원장은 16년 임상기간 동안 교정만을 전문으로하여 고난이도의 수많은 케이스 경험을 가지고 계십니다. 따라서 부정교합, 돌출입, 주걱턱 등 다양한 치아교정 케이스에 대해 효과적으로 치료가 가능합니다.

대치동 교정전문치과 연세정원치과에 방문하시면 별도의 비용없이 간단한 구강검진을 통해 현재 상태를 정확히 파악하실 수 있고, 교정진료 시 다양한 교정장치에 대한 설명도 들으실 수 있으니 편하게 상담문의해 주시기 바랍니다.
연세정원치과의원에서는 치아교정을 위해 3D 구강스캐너인 iTero Lumina, 성장판 검사, 모르페우스 안면스캐너를 통한 치료 전후 시뮬레이션 등 필요한 최신의 장비를 모두 보유하고 있어 더욱 정밀하고 체계적으로 치아교정을 진행하실 수 있는 장점이 있습니다.
아마도 돌출입, 덧니, 부정교합, 주걱턱 등으로 인해 교정을 고려하고 계시는 분들께서는 검색을 통해 많은 정보를 이미 습득하고 계실텐데요. 그렇더라도 실제로 장치별로 비교를 해보고 자세한 설명을 듣는다면 결정하시는데 큰 도움이 되실 것입니다.

상담시에는 클라리티, 클리피씨, 인비절라인 등 다양한 장치를 직접 눈으로 비교해 보시면서 장단점에 대해서 자세한 설명을 들으실 수 있으니 부담없이 전화 문의 또는 방문하여 상담 받아보시기를 권유해 드립니다.
연세정원치과는 삼성역, 학여울역, 대치역, 한티역에서 모두 가까워 삼성동, 대치동, 도곡동, 역삼동, 일원동, 잠실, 개포동에서 내원하시기에 매우 편리합니다.
대치동 우성아파트 사거리 BMW 옆 건물
(스타벅스/삼성스토어 건너편)
대치동 교정치과 연세정원치과는
주차가 편리하며 무료입니다
상담 및 문의 : 02-501-2879
더 보기
이 병원의 공개 콘텐츠를 계속 살펴보세요
출처 아카이브로 돌아가 더 많은 글을 보거나, 병원 프로필로 이동해 다른 공개 채널도 함께 비교해보세요.