연세정원치과
교정치료 후 생긴 치아 하얀 점, 반점치도 아이콘 치료로! @ 대치동 교정치과 연세정원치과의원
안녕하세요. 대치동 교정치과 연세정원치과의원 입니다. 앞니에 생긴 하얀 반점 형태의 얼룩은 white spot이라고 하며, 백색 반점, 반점치, 반상치 등의 용어로 불리고 있습니다. 화이트 스팟은 치아의 가장 겉에 있는 법랑질층에 치아가 발생하는 시기에 선천적으로 구조적인 결함이 생겨 석회화가 부족하여 생긴 결과입...
아카이브 요약
이 페이지의 역할
연세정원치과 Yonsei JW Dental Clinic at Gangnam의 네이버 블로그 원문을 보존한 아카이브 페이지입니다. 미백/라미네이트 심미치료 카테고리의 교정치료 후 생긴 치아 하얀 점, 반점치도 아이콘 치료로! @ 대치동 교정치과 연세정원치과의원 글을 통해 병원의 한국어 정보 제공 방식과 진료 관련 안내 톤을 확인할 수 있습니다.

안녕하세요. 대치동 교정치과 연세정원치과의원 입니다.
앞니에 생긴 하얀 반점 형태의 얼룩은 white spot이라고 하며, 백색 반점, 반점치, 반상치 등의 용어로 불리고 있습니다. 화이트 스팟은 치아의 가장 겉에 있는 법랑질층에 치아가 발생하는 시기에 선천적으로 구조적인 결함이 생겨 석회화가 부족하여 생긴 결과입니다. 치아가 만들어질 때 석회화가 덜 된 법랑질층에 빛이 반사하며 하얗게 보이는 것입니다.
반점치는 후천적으로 생길 수도 있는데, 이는 영구치가 잇몸 안에서 발생하는 시기인 만 6세 미만의 아이가 불소를 과량 섭취할 경우 영구치에서 불소증이 나타나며 생길 수 있습니다. 또는 유치가 외상을 입거나 충치가 생겼을 경우 잇몸 안에 있는 영구치 치아싹이 손상을 입었을 경우에도 생길 수 있습니다.
그리고 치아 표면에 브라켓을 붙여서 진행하는 교정치료 후에 장치 주변에 양치질을 제대로 안할 경우 치아에 치태가 쌓이게 되고, 치태가 제대로 제거되지 않으면 치아가 하얗게 삭게 되는 경우가 있는데, 이는 치아의 표면이 부식되는 탈회로 인해서 나타나는 충치의 전단계로 화이트 스팟이 생기게 됩니다.
이런 경우 브라켓을 제거하고 나면 장치의 네모난 베이스 모양이 남아 있고 그 주변부가 초기 단계의 하얀 충치로 남게 됩니다. 치아는 가지런하게 교정이 되었는데 이런 반점치가 생기면 정말 속상합니다. 다행히도 이와 같이 교정 치료 이후에 생긴 반점치는 아이콘 치료의 효과가 좋습니다.

교정치료 후 생긴 화이트 스팟
White Spot 치료방법
화이트 스팟을 치료하는 방법은 다음과 같습니다.
-
레진: 하얀 반점 (하얀 얼룩)이 있는 부분을 갈아내고 레진으로 채워서 치료하는 방법이 있습니다. 그러나 레진으로 치료하는 경우 반점이 있는 부위를 깎아야하는 침습적인 치료이며, 레진으로 치료한 부위가 변색이 되거나 떨어질 수 있습니다.
-
라미네이트: 라미네이트로 화이트 스팟을 개선할 수도 있습니다. 심미적 개선 효과는 레진에 비해 우수하지만 역시 치아를 깎아야한다는 단점이 있으며, 치료 비용적인 면에서도 레진보다 부담 이 될 수 있습니다.
-
아이콘 레진 침투: 세번째 방법은 치아를 깎지 않고 마취 없이 특수한 레진을 탈회된 치아의 다공성 구조 안으로 침투시키는 레진 인필트레이션 (resin infiltration, 레진 침투) 치료 입니다. 레진 침투 치료는 ICON (Infiltration CONcept)이라는 레진으로 재료가 가능합니다. 화이트 스팟 말고 brown spot도 있는데 이는 화이트 스팟의 다공성 구조에 착색을 일으키는 유기물 단백질이 들어간 경우로, 브라운 스팟이 심한 경우에는 미백을 통해 브라운 스팟의 어두운 부분을 먼저 해소한 후 2주 후에 아이콘 치료를 진행하면 효과가 더 좋습니다.



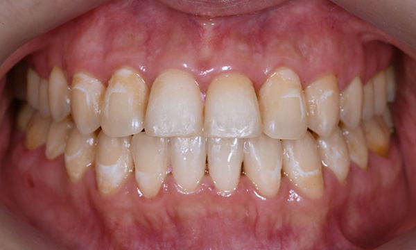
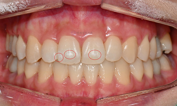
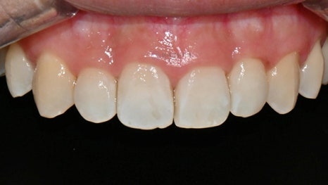
본 20대 여자 환자분은 약 한 달전 교정 치료를 끝마친 후에 앞니에 화이트 스팟이 생겼다는 이유로 감사하게도 경기도에서 저희 치과까지 찾아와주셨습니다. 일반적으로 교정 치료 후 생긴 반점치는 장치 형태 주변으로 생기는데, 본 환자의 경우 앞니 2개에 심하지는 않지만 중앙 부분에 화이트 스팟이 생겼습니다.


아이콘 치료 전후
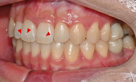
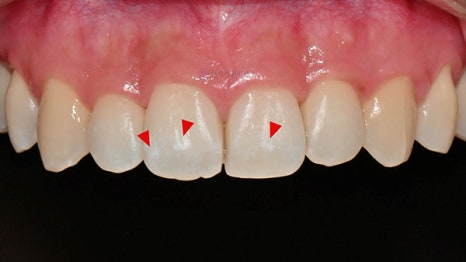
아이콘 치료 직후 사진입니다. 아이콘 치료는 치아를 깎지 않기 때문에 마취 없이 간단하게 2030분 이내 치료가 가능하다는 장점이 있습니다. 아이콘 치료시 치아 전체를 건조시킨 상태로 유지를 해야 하기 때문에 치아가 일시적으로 chalky white하게 보이지만, 실제로 침이 있는 자연스러운 구강 내 상태로 보면 사진보다 훨씬 더 심미적으로 자연스럽게 보이며, 치료 12주 정도 지나면 훨씬 더 자연스러워보입니다. 치료 직후 처음으로 거울로 본인의 치아를 본 환자분의 첫마디도 "와우!" 였습니다 :)

아이콘 치료는
꼭 해야 하는 치료는 아닙니다!
그러나 아이콘 치료를 하러 오시는 분들 대부분이 치아에 있는 이 하얀 점을 치아를 깎지 않고 간단하게 없앨 수 있는 것인지 모르셨다며, 이 하얀 반점을 없애는 것이 평생의 숙원사업(?)이었다고 표현하십니다. 치아를 깎아서 레진이나 라미네이트로 덮는 것만큼 100% 반점을 없앨 수 있는 것은 아니지만, 마취가 필요 없는 간단한 치료로 80% 정도 반점이 없어질 수 있다면 정말 최고의 만족도를 자랑하는 치료라고 할 수 있습니다.
환자분들께 입을 가리지 않고 자신있게 환하게 웃을 수 있는 자신감을 찾아드리고 싶습니다.
연세정원치과는 삼성역, 학여울역, 대치역, 한티역에서 모두 가깝고 주차가 편리하여 삼성동, 대치동, 개포동에서 내원하시기에 매우 편리합니다.
더 보기
이 병원의 공개 콘텐츠를 계속 살펴보세요
출처 아카이브로 돌아가 더 많은 글을 보거나, 병원 프로필로 이동해 다른 공개 채널도 함께 비교해보세요.