연세정원치과
치아 중심선이 안 맞아요! 치아 비대칭 교정으로 가능할까요? @ 대치동 교정치과 연세정원치과
안녕하세요. 대치동 교정치과 연세정원치과의원 윤정원 대표원장입니다. 심한 골격적 부정교합을 가진 경우, 특히 아래턱 발달이 과도하거나 안면비대칭이 있는 경우에는 치아 교정과 함께 양악수술(악안면수술)을 받아야 합니다. 그러나, 골격적 부조화의 정도가 심하지 않거나, 비대칭 중에서도 골격적 비대칭 정도가 심하지 않은 경우나...
아카이브 요약
이 페이지의 역할
연세정원치과 Yonsei JW Dental Clinic at Gangnam의 네이버 블로그 원문을 보존한 아카이브 페이지입니다. 치아교정 카테고리의 치아 중심선이 안 맞아요! 치아 비대칭 교정으로 가능할까요? @ 대치동 교정치과 연세정원치과 글을 통해 병원의 한국어 정보 제공 방식과 진료 관련 안내 톤을 확인할 수 있습니다.

안녕하세요. 대치동 교정치과 연세정원치과의원 윤정원 대표원장입니다.
심한 골격적 부정교합을 가진 경우, 특히 아래턱 발달이 과도하거나 안면비대칭이 있는 경우에는 치아 교정과 함께 양악수술(악안면수술)을 받아야 합니다. 그러나, 골격적 부조화의 정도가 심하지 않거나, 비대칭 중에서도 골격적 비대칭 정도가 심하지 않은 경우나 실제 얼굴뼈에 비대칭이 있는 것이 아니라 치아 중심선이 맞지 않는 경우에는 충분히 치아 교정으로도 이를 바로잡을 수 있습니다.
잠시 눈 호강 좀 하고 갈까요? ㅎㅎ 탐 크루즈는 나이가 들어서도 참 멋있는 배우네요.

사실 탐 크루즈는 교정과 의사들이 치아 중심선을 이야기할 때 가장 많이 언급되는 배우이기도 합니다 ㅎㅎ 그러나 잘생김에 묻혀서 치아 비대칭은 눈에 거의 띄지 않죠! 다음 사진을 다시 한번 보시면 비대칭이 확실하게 눈에 들어오실 것입니다.

이제 차이가 느껴지시나요? 탐 크루즈는 어렸을 때 하키를 하다가 하키 퍽에 맞아서 치아를 다쳤다고 합니다. 그 영향으로 왼쪽 앞니 하나가 빠져서 그 이후에 교정도 하고 보철치료도 해서 현재의 치열이 완성되었는데, 아무래도 교정과 의사 눈에는 치아 중심선이 왼쪽으로 틀어져 있어서 신경이 쓰이긴 합니다.


이 사진은 젋을 때 사진인데, 아마 보철 치료 전으로 보이는데, 치아 형태의 차이도 있고 해서 현재보다 비대칭 정도는 더 심해보이네요! 그래도 역시 훈훈함 때문에 치아 중심선 틀어진 것 정도는 눈에 띄지도 않을 것 같습니다 :) 오히려 탐 크루즈의 매력적인 미소에 개성을 더해주는 요소가 된 것 같습니다.
오늘은 치아 중심선이 틀어져 치아 교정으로 치료한 케이스들을 살펴보도록 할게요.



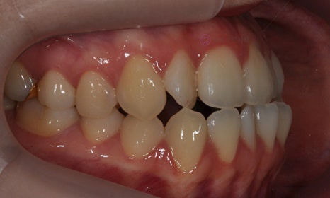
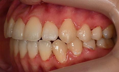
2019.7
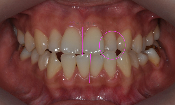
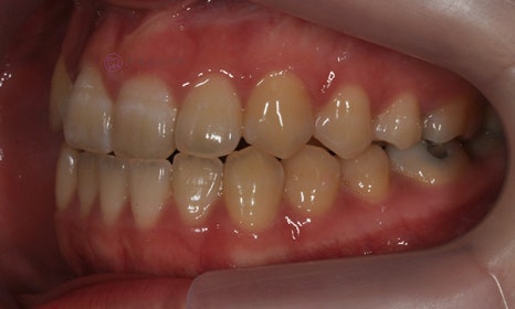
위 환자분은 치아 중심선이 맞지 않는다는 주소로 치과에 내원하셨습니다. 미소시 사진을 보면 위 치아도 오른쪽(사진 상 왼쪽)으로 틀어져 있고, 아래 치아도 왼쪽(사진 상 오른쪽)으로 틀어져 있었습니다. 그리고 양쪽 입꼬리 근육의 활성도도 차이가 있어서, 웃었을 때 왼쪽 입꼬리가 오른쪽보다 덜 올라가서 비대칭이 더 강조되어 보였습니다.


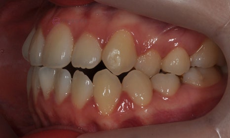
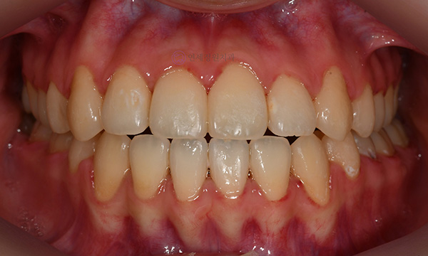
2020.7
치아 중심선의 차이를 개선하고, 얼굴의 중심과 치열의 중심을 맞춰주기 위하여 오른쪽 아래 작은 어금니를 하나만 발치하여 그 공간으로 아래 치열을 오른쪽으로 돌려주고, 위 치열은 전체적으로 왼쪽으로 치열을 이동시켜서 중심선을 맞추어 주었습니다.



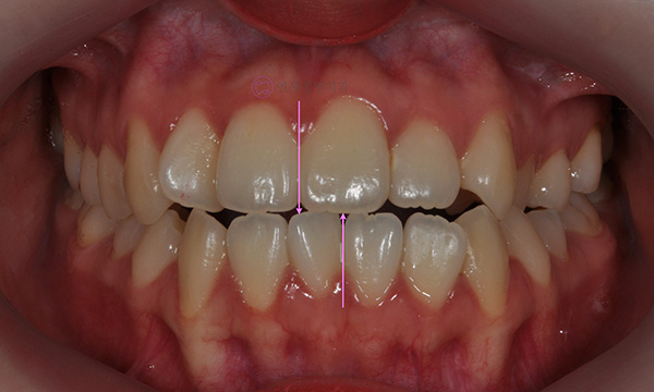
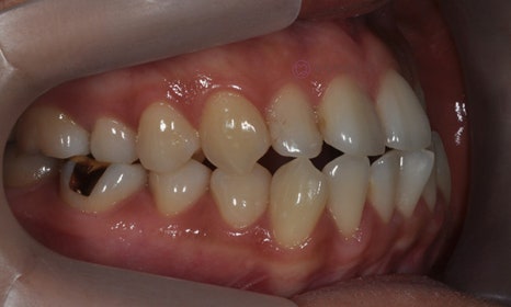
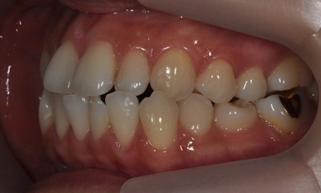
2022.6
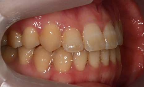
위 아래 치아의 중심선이 일치하고 좌우 어금니의 교합도 잘 맞춰졌습니다. 좌우 입꼬리 올림근 활성도의 차이는 남아있음에도 얼굴의 중심과 위 아래 치아의 중심이 일치하여 미소시에도 교정 전보다 훨씬 자연스러운 미소를 짓게 되었습니다.


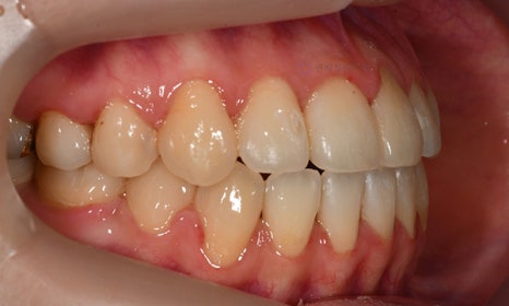
2022.6
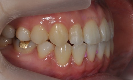
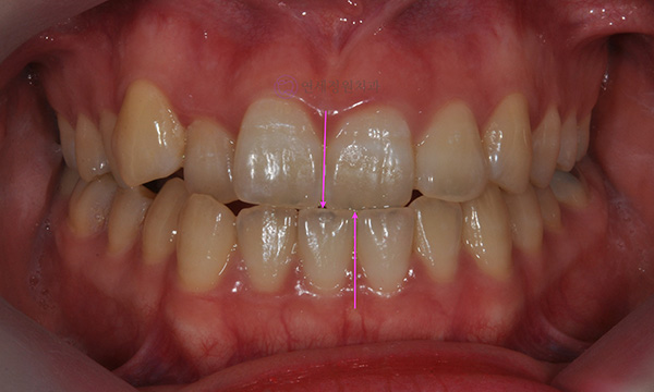
다음 케이스 역시 위 아래 중심선의 차이가 있어서 비대칭이 있어 보이는 케이스입니다. 중심선의 차이 뿐 아니라 앞니 및 어금니 부위에 거꾸로 물리는 반대교합이 관찰되고 있었습니다(원래는 위 치아가 아래 치아를 덮는 것이 정상적인 교합이나, 반대교합이란 위 치아가 아래 치아보다 더 안쪽으로 들어가서 물리는 교합을 말합니다).



2020.2
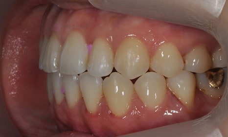
얼굴의 중심선과 위 치아의 중심선은 일치하여, 오른쪽 아래 작은 어금니를 발치하여 그 공간으로 아래 치열을 이동시켜줌으로써 중심선 및 교합을 개선하였습니다.



2021.2
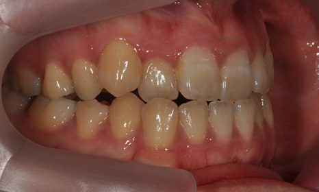
다음 케이스 역시 위 아래 치아의 중심선 차이가 있으며, 덧니 및 반대교합이 관찰되었습니다. 위 치아의 중심선도 얼굴의 중심선과 일치하지 않고 우측(사진 상 왼쪽)으로 틀어져 있었습니다. 본 환자는 발치를 하지 않고 치아를 뒤로 이동시켜서 치아의 중심선도 맞추고 얼굴의 중심선과도 맞추었습니다.



2020.1
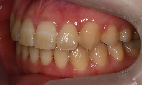
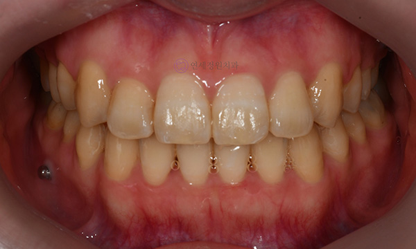
교정 마무리 후 위 치아의 중심선은 얼굴의 중심선과 일치하였으며, 위 아래 치아의 중심선도 일치하였습니다.





2022.7
덧니를 가지런하게 하는 것도 참 흥미로운 치료이지만, 비대칭을 교정으로 개선하는 것은 의사로서 참으로 재미있고 보람도 있지만, 환자분들의 만족도도 특히나 높은 치료 과정입니다.
치아 비대칭이 일반 덧니 교정에 비하여 큰 공사(?)라고 생각하시는 분들도 있으나, 충분히 교정으로 치료가능한 부분이기 때문에 너무 고민하지 마시고 치과에 방문해서 상담을 받아보실 것을 추천드립니다 :)

연세정원치과의 치아교정은 정밀진단비, 월비 등의 비용이 포함(단, 유지장치 비용 제외)되어 추가적인 비용 발생에 대한 걱정도 하실 필요가 없습니다. 또한, 일반진료과가 함께 있어 발치나 충치치료 등의 교정에 필요한 모든 치료가 한곳에서 가능하며 목돈이 한번에 나가는 부담을 줄이기 위해 분납제도를 실시하고 있으니 더욱 매력적이라고 할 수 있습니다.
교정과를 책임지고 계시는 윤정원 대표원장은 16년 임상기간 동안 교정만을 전문으로하여 고난이도의 수많은 케이스 경험을 가지고 계십니다. 따라서 부정교합, 돌출입, 주걱턱 등 다양한 치아교정 케이스에 대해 효과적으로 치료가 가능합니다.

대치동 교정전문치과 연세정원치과에 방문하시면 별도의 비용없이 간단한 구강검진을 통해 현재 상태를 정확히 파악하실 수 있고, 교정진료 시 다양한 교정장치에 대한 설명도 들으실 수 있으니 편하게 상담문의해 주시기 바랍니다.
연세정원치과의원에서는 치아교정을 위해 3D 구강스캐너인 iTero Lumina, 성장판 검사, 모르페우스 안면스캐너를 통한 치료 전후 시뮬레이션 등 필요한 최신의 장비를 모두 보유하고 있어 더욱 정밀하고 체계적으로 치아교정을 진행하실 수 있는 장점이 있습니다.
아마도 돌출입, 덧니, 부정교합, 주걱턱 등으로 인해 교정을 고려하고 계시는 분들께서는 검색을 통해 많은 정보를 이미 습득하고 계실텐데요. 그렇더라도 실제로 장치별로 비교를 해보고 자세한 설명을 듣는다면 결정하시는데 큰 도움이 되실 것입니다.
상담시에는 클라리티, 클리피씨, 인비절라인 등 다양한 장치를 직접 눈으로 비교해 보시면서 장단점에 대해서 자세한 설명을 들으실 수 있으니 부담없이 전화 문의 또는 방문하여 상담 받아보시기를 권유해 드립니다.
연세정원치과는 삼성역, 학여울역, 대치역, 한티역에서 모두 가까워 삼성동, 대치동, 개포동에서 내원하시기에 매우 편리합니다.
대치동 우성아파트 사거리 BMW 옆 건물
(스타벅스/삼성스토어 건너편)
대치동 교정치과 연세정원치과는
주차가 편리하며 무료입니다
상담 및 문의 : 02-501-2879
더 보기
이 병원의 공개 콘텐츠를 계속 살펴보세요
출처 아카이브로 돌아가 더 많은 글을 보거나, 병원 프로필로 이동해 다른 공개 채널도 함께 비교해보세요.