연세정원치과
치아 중심선 비대칭 및 개방교합 교정, 대치동 연세정원치과
안녕하세요. 대치동 교정전문치과 연세정원치과 윤정원 대표원장입니다. 지난 포스팅에서 개방교합과 돌출입 교정에 관하여 살펴보았습니다. 오늘은 앞니 사이가 벌어져있고 어금니 교합이 맞지 않아 아래턱이 오른쪽으로 틀어져서 위아래 치아 중심선이 맞지 않는 케이스에 대하여 살펴보도록 하겠습니다. 2020.1 본 환자분은...
아카이브 요약
이 페이지의 역할
연세정원치과 Yonsei JW Dental Clinic at Gangnam의 네이버 블로그 원문을 보존한 아카이브 페이지입니다. 치아교정 카테고리의 치아 중심선 비대칭 및 개방교합 교정, 대치동 연세정원치과 글을 통해 병원의 한국어 정보 제공 방식과 진료 관련 안내 톤을 확인할 수 있습니다.

안녕하세요. 대치동 교정전문치과 연세정원치과 윤정원 대표원장입니다.
지난 포스팅에서 개방교합과 돌출입 교정에 관하여 살펴보았습니다. 오늘은 앞니 사이가 벌어져있고 어금니 교합이 맞지 않아 아래턱이 오른쪽으로 틀어져서 위아래 치아 중심선이 맞지 않는 케이스에 대하여 살펴보도록 하겠습니다.



2020.1
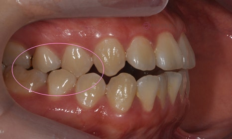
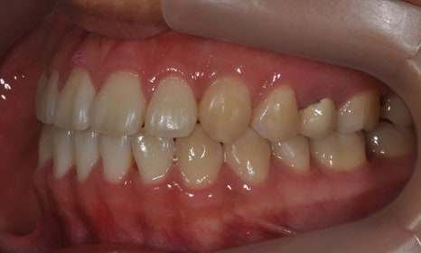
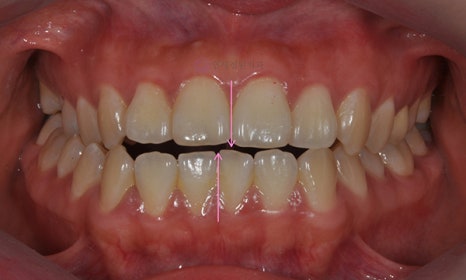
본 환자분은 아래턱이 우측(사진상 좌측)으로 틀어져서 오른쪽 어금니가 반대로 물리고 있었고, 위아래 치아 중심선도 우측으로 틀어져 있었습니다. 위아래 앞니 사이도 벌어져 있어서 음식을 끊어먹기도 불편하다고 하셨습니다.


2020.1
입의 돌출은 없었으며 치아도 가지런한 편이어서 치아는 발치하지 않고 치아중심선과 위아래 앞니 사이 벌어짐 및 어금니 교합을 개선하기로 하였습니다.



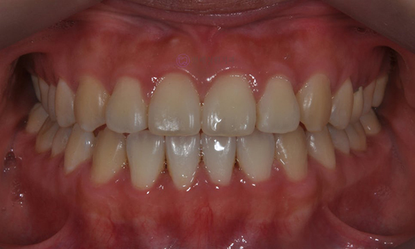
2021.2
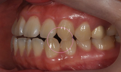
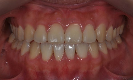
교정 치료 마무리 후 위아래 앞니 사이 공간이 닫혔고, 위아래 치아 중심선도 일치하였습니다. 반대로 물리던 오른쪽 어금니 교합이 개선되었으며, 왼쪽 잘 맞지 않던 어금니 교합도 개선되었습니다.


2021.2
어금니 교합의 개선과 함께 미소시 우측으로 살짝 틀어졌던 턱의 비대칭도 함께 개선되었습니다.




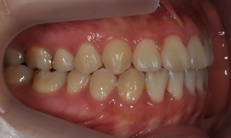
교정치료 전후사진 비교

개방교합 교정은 이후 재발하지 않도록 유지관리가 중요한 치료입니다. 환자분께 혀를 내밀지 않도록 주의시켰으며, 올바른 혀의 위치를 개선하기 위한 뮤잉운동(치아를 가볍게 물고 입술을 다문 상태에서 혀 전체를 넓게 펴서 입천장에 붙이는 연습)을 열심히 하실 것을 강조하였습니다.
연세정원치과의원의 치아교정은 정밀진단비, 월비 등의 비용이 모두 포함(단, 유지장치 비용 제외)되어 있어서 추가적인 비용 발생을 걱정하실 필요가 없습니다. 또한, 목돈이 한번에 필요한 부담을 줄이기 위해 분납제도를 실시하고 있습니다. 일반진료과도 함께 있어서 발치나 충치치료 등 교정에 필요한 모든 치료가 한곳에서 가능하다는 장점도 있습니다.
교정과를 책임지고 계시는 윤정원 대표원장은 16년 임상기간 동안 교정만을 전문으로하여 고난이도의 수많은 케이스 경험을 가지고 계십니다. 따라서 부정교합, 돌출입, 주걱턱 등 다양한 치아교정 케이스에 대해 효과적으로 치료가 가능합니다.

대치동 교정전문치과 연세정원치과에 방문하시면 별도의 비용없이 간단한 구강검진을 통해 현재 상태를 정확히 파악하실 수 있고, 교정진료 시 다양한 교정장치에 대한 설명도 들으실 수 있으니 편하게 상담문의해 주시기 바랍니다.
연세정원치과의원에서는 치아교정을 위해 3D 구강스캐너인 iTero Lumina, 성장판 검사, 모르페우스 안면스캐너를 통한 치료 전후 시뮬레이션 등 필요한 최신의 장비를 모두 보유하고 있어 더욱 정밀하고 체계적으로 치아교정을 진행하실 수 있는 장점이 있습니다.

아마도 돌출입, 덧니, 부정교합, 주걱턱 등으로 인해 교정을 고려하고 계시는 분들께서는 검색을 통해 많은 정보를 이미 습득하고 계실텐데요. 그렇더라도 실제로 장치별로 비교를 해보고 자세한 설명을 듣는다면 결정하시는데 큰 도움이 되실 것입니다.
상담시에는 클라리티, 클리피씨, 인비절라인 등 다양한 장치를 직접 눈으로 비교해 보시면서 장단점에 대해서 자세한 설명을 들으실 수 있으니 부담없이 전화 문의 또는 방문하여 상담 받아보시기를 권유해 드립니다.
연세정원치과는 주차가 편리할 뿐만 아니라 삼성역, 학여울역, 대치역, 한티역에서 모두 가까워 삼성동, 대치동, 개포동, 일원동, 도곡동, 역삼동, 잠실에서도 내원하시기에 매우 편리합니다.
대치동 우성아파트 사거리 BMW 옆 건물
(스타벅스/삼성스토어 건너편)
대치동 교정치과 연세정원치과는
주차가 편리하며 무료입니다
상담 및 문의 : 02-501-2879
더 보기
이 병원의 공개 콘텐츠를 계속 살펴보세요
출처 아카이브로 돌아가 더 많은 글을 보거나, 병원 프로필로 이동해 다른 공개 채널도 함께 비교해보세요.