연세정원치과
어금니가 겹쳐서 났어요! 이소맹출 소구치 치아교정, 대치동 교정치과
안녕하세요. 대치동 교정치과 연세정원치과의원 윤정원 대표원장입니다. 오늘 이야기해볼 주제는 영구치의 이소맹출 입니다. 이소맹출...?? 말이 참 어렵죠! 이소맹출이 뭐죠? 이소맹출이란 영어로는 ectopic eruption이라고 하며, 치아가 원래 올라와야 할 정상적인 경로와 위치로 나오지 못하고 비정상적인 위치로 맹출하...
아카이브 요약
이 페이지의 역할
연세정원치과 Yonsei JW Dental Clinic at Gangnam의 네이버 블로그 원문을 보존한 아카이브 페이지입니다. 치아교정 카테고리의 어금니가 겹쳐서 났어요! 이소맹출 소구치 치아교정, 대치동 교정치과 글을 통해 병원의 한국어 정보 제공 방식과 진료 관련 안내 톤을 확인할 수 있습니다.

안녕하세요. 대치동 교정치과 연세정원치과의원 윤정원 대표원장입니다.
오늘 이야기해볼 주제는 영구치의 이소맹출 입니다. 이소맹출...?? 말이 참 어렵죠!
이소맹출이 뭐죠?
이소맹출이란 영어로는 ectopic eruption이라고 하며, 치아가 원래 올라와야 할 정상적인 경로와 위치로 나오지 못하고 비정상적인 위치로 맹출하는 경우를 이르는 말로, 쉽게 말하면 엉뚱한 위치로 영구치가 잘못 올라오는 경우를 말합니다.


우리가 가장 쉽게 볼 수 있는 이소맹출 치아는 드라큘라 이빨(?)입니다! ㅎㅎㅎ
High canine 이라고 하며, 송곳니가 나올 공간이 부족하여 제 위치가 아닌 잇몸 위쪽에서 맹출하는 치아를 말합니다. 위 치아의 경우 치아가 나오는 순서를 살펴보면, 첫번째 큰 어금니가 가장 먼저 나오며, 앞니에 이어 작은 어금니가 나온 이후에야 송곳니가 나오게 됩니다.
송곳니가 나올 시기에 앞니나 작은 어금니가 송곳니 자리에 먼저 자리잡게 되면 송곳니는 어쩔 수 없이 다른 곳으로 나올 수 밖에 없으며, 보통은 위 잇몸에서 드라큘라처럼 송곳니가 나오게 됩니다.
이소맹출은 보통 송곳니 또는 첫번째 큰 어금니에서 많이 발생하나, 작은 어금니도 공간이 부족할 경우 치아 안쪽에서 나오는 경우도 있습니다.

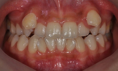
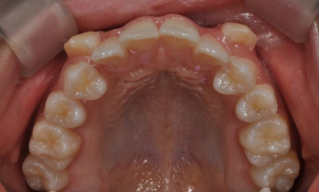
2019.12
본 환자분은 오른쪽 아래 유구치(유치 어금니)가 남아있고 그 안쪽에 두번째 작은 어금니가 나와 있었습니다. 나머지 세 부위의 두번째 작은 어금니들은 영구치 치배가 없어 유치 어금니로 사용해온 상태였습니다. 왼쪽 아래는 뿌리만 남아있었고, 오른쪽 위에는 유치 어금니가 빠지고 공간이 비어 있었으며, 다행히 왼쪽 위 유치 어금니는 아직 남아 있는 상태였습니다. 아래는 오른쪽의 유치 어금니 및 왼쪽의 비어 있는 어금니 공간이 많이 남아 있고, 상대적으로 위에는 어금니 공간이 부족하여 위아래 앞니도 제대로 물리지 않고 있었습니다.
오른쪽 아래 치아들과 같이 치아가 겹쳐져 있게 되면, 교합이 맞지 않을 뿐만 아니라 그 사이 부위의 구강위생관리가 제대로 이루어질 수 없기 때문에 충치가 생길 확률이 높으며, 잇몸도 안좋아질 수 있습니다.
환자의 안모상 안쪽에 위치한 치아를 뽑아서 남아있는 공간들을 모두 닫게 되면 입이 너무 들어가보일 수가 있었기 때문에, 오른쪽 아래 유치 어금니를 발치하여 안쪽에 이소맹출한 작은 어금니를 재위치 시키고, 나머지 비어있는 공간에는 임플란트를 식립하기로 했습니다.


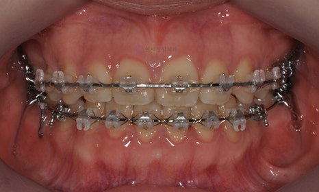
2020.9
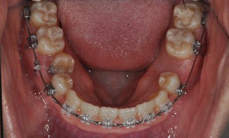
오른쪽 아래 작은 어금니에 버튼을 붙여 고무줄을 걸어 제위치로 끌어당기고 있는 모습입니다.

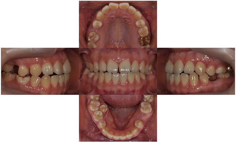
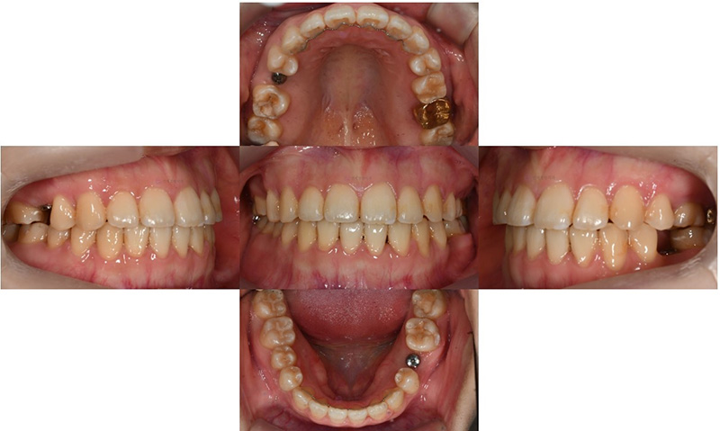
2021.5
교정치료 마무리 후의 모습으로, 오른쪽 아래 작은 어금니는 제위치에 잘 위치하고 있으며, 나머지 두 군데 작은 어금니가 없는 부위에는 임플란트를 식립하였습니다.

이소맹출한 치아의 경우 영구치가 올라올 공간 부족, 비정상적인 영구치 치아싹의 위치 등과 관련 되어 있는 경우가 많고, 이 경우와 같이 유치가 제때 빠지지 않을 경우 발생할 수 있으므로, 유치가 빠지고 영구치가 올라오는 혼합치열기에 정기적으로 치과에 내원하여 유치가 제때 빠졌는지, 영구치가 제대로 올라오고 있는지 영구치 맹출을 위한 공간을 점검을 하는 것이 매우 중요합니다.
연세정원치과의원의 치아교정은 정밀진단비, 월비 등의 비용이 모두 포함(단, 유지장치 비용 제외) 되어 있어서 추가적인 비용 발생을 걱정하실 필요가 없습니다. 또한, 목돈이 한번에 필요한 부담을 줄이기 위해 분납제도를 실시하고 있습니다. 일반진료과도 함께 있어서 발치나 충치치료 등 교정에 필요한 모든 치료가 한곳에서 가능하다는 장점도 있습니다.
교정과를 책임지고 계시는 윤정원 대표원장은 16년 임상기간 동안 교정만을 전문으로하여 고난이도의 수많은 케이스 경험을 가지고 계십니다. 따라서 부정교합, 돌출입, 주걱턱 등 다양한 치아교정 케이스에 대해 효과적으로 치료가 가능합니다.

대치동 교정전문치과 연세정원치과에 방문하시면 별도의 비용없이 간단한 구강검진을 통해 현재 상태를 정확히 파악하실 수 있고, 교정진료 시 다양한 교정장치에 대한 설명도 들으실 수 있으니 편하게 상담문의해 주시기 바랍니다.
연세정원치과의원에서는 치아교정을 위해 3D 구강스캐너인 iTero Lumina, 성장판 검사, 모르페우스 안면스캐너를 통한 치료 전후 시뮬레이션 등 필요한 최신의 장비를 모두 보유하고 있어 더욱 정밀하고 체계적으로 치아교정을 진행하실 수 있는 장점이 있습니다.

아마도 돌출입, 덧니, 부정교합, 주걱턱 등으로 인해 교정을 고려하고 계시는 분들께서는 검색을 통해 많은 정보를 이미 습득하고 계실텐데요. 그렇더라도 실제로 장치별로 비교를 해보고 자세한 설명을 듣는다면 결정하시는데 큰 도움이 되실 것입니다.
상담시에는 클라리티, 클리피씨, 인비절라인 등 다양한 장치를 직접 눈으로 비교해 보시면서 장단점에 대해서 자세한 설명을 들으실 수 있으니 부담없이 전화 문의 또는 방문하여 상담 받아보시기를 권유해 드립니다.
연세정원치과는 주차가 편리할 뿐만 아니라 삼성역, 학여울역, 대치역, 한티역에서 모두 가까워 삼성동, 대치동, 개포동, 일원동, 도곡동, 역삼동, 잠실에서도 내원하시기에 매우 편리합니다.
대치동 우성아파트 사거리 BMW 옆 건물
(스타벅스/삼성스토어 건너편)
대치동 교정치과 연세정원치과는
주차가 편리하며 무료입니다
상담 및 문의 : 02-501-2879
더 보기
이 병원의 공개 콘텐츠를 계속 살펴보세요
출처 아카이브로 돌아가 더 많은 글을 보거나, 병원 프로필로 이동해 다른 공개 채널도 함께 비교해보세요.