연세정원치과
중년의 치아교정 시 고려할 사항, 대치동 연세정원치과
중년교정 대치동 교정치과 연세정원치과 안녕하세요. 대치동 교정치과 연세정원치과 윤정원 대표원장입니다. 길어진 평균 수명으로 인하여 중년층의 심미적 교정 치료에 대한 관심이 늘어나고 있습니다. 대한치아교정학회에서 20~70대 598명을 대상으로 실시한 설문조사에서 '치아 교정에 대해서 생각해본 적이 있다'라고 대답한...
아카이브 요약
이 페이지의 역할
연세정원치과 Yonsei JW Dental Clinic at Gangnam의 네이버 블로그 원문을 보존한 아카이브 페이지입니다. 치아교정 카테고리의 중년의 치아교정 시 고려할 사항, 대치동 연세정원치과 글을 통해 병원의 한국어 정보 제공 방식과 진료 관련 안내 톤을 확인할 수 있습니다.

중년교정 대치동 교정치과 연세정원치과
안녕하세요. 대치동 교정치과 연세정원치과 윤정원 대표원장입니다.
길어진 평균 수명으로 인하여 중년층의 심미적 교정 치료에 대한 관심이 늘어나고 있습니다. 대한치아교정학회에서 20~70대 598명을 대상으로 실시한 설문조사에서 '치아 교정에 대해서 생각해본 적이 있다'라고 대답한 비율이 30대 51%, 40대 46.2%, 50대 45.1%, 60대 35.2%, 70대 24%로 나타났습니다. 가지런한 치아는 좋은 인상에 플러스가 될 뿐만 아니라 저작 활동과 발음 등에도 큰 역할을 합니다.
젊었을 때는 치열이 가지런한 편이었더라도 나이가 들며 치열이 삐뚤빼뚤해졌다라고 하는 분들이 많습니다. 왜냐하면 중년이 되며 노화 현상과 함께 치아가 교합력에 의해 점점 앞으로 이동하는 생리적 이동(physiologic mesial drift)을 하기 때문에 원래 가지런했던 치아들도 점점 틀어지게 됩니다.
이렇게 아래 치아들이 틀어지는 과정에서 위 앞니를 밀게 되는데, 앞니의 치조골이 약하면 앞니가 뻐드러지고, 치조골이 강하면 치아끼리 부딪혀 마모되는 현상이 발생합니다. 때문에 40~50대가 되어 치아 교정을 해도 되는지 고민하시는 분들이 많은데, 이 경우 중년 교정을 고려해볼 수 있습니다.
치아의 배열이 틀어지면 칫솔질 등의 구강위생관리가 힘들기 때문에 충치나 치주질환이 나타날 수 있습니다. 따라서 치아를 건강하게 더 오래 사용하기 위해서는 치열을 가지런하게 개선하여 치주질환을 예방해주는 것이 필요합니다. 치아 교정을 통해 가지런한 치열을 얻게 되면 자신있게 웃을 수 있으며, 칫솔질이 더 쉽고 수월해지기 때문에 장기적으로 잇몸 관리를 더 잘 할 수 있게 됩니다.
다음으로는 중년에 치아교정을 진행하신 분들의 치아교정 전후 및 후기입니다.

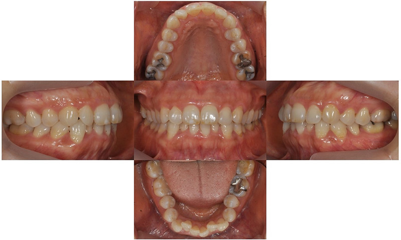
2019.12
위 환자는 만 49세 여자 환자로 아래 치아가 갈수록 더 틀어진다는 주소로 치과에 내원하셨습니다. 아래 치열이 점점 틀어져 잇몸 관리가 쉽지 않다고 하셨습니다. 안모의 돌출은 없어 비발치로 교정치료를 진행하기로 하였습니다.

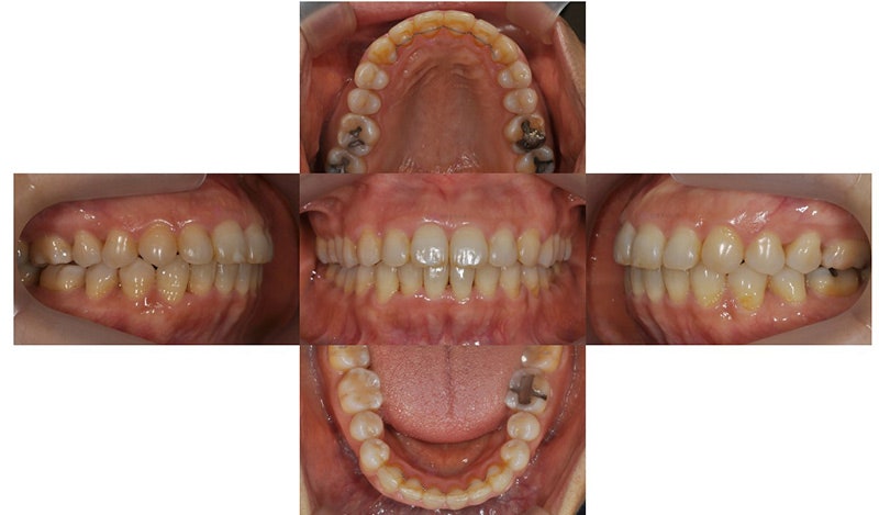
2021.2
약 2년 간의 비발치 교정치료 동안 큰 잇몸퇴축이나 black triangle 등의 부작용 없이 교정 치료가 마무리되었습니다. 교정 치료 전후 미소 사진을 비교해보면 교정 치료 이후에 좀더 자신감있게 활짝 웃는 모습을 확인할 수 있었습니다.


교정치료 전후 미소 사진

2020.3
위 환자는 만 48세 여자 환자로, 오른쪽(사진상 왼쪽) 두번째 앞니가 정상보다 작은 사이즈의 왜소치(peg lateralis)를 가지고 있었으며 이로 인해 치아의 중심선이 틀어져 있었고, 위아래 치아가 깊게 물리는 과개교합 양상을 보이고 있었습니다. 틀어진 치열로 인해 구강위생관리가 쉽지 않아 아래 앞니에는 치석도 많이 있는 상태였습니다. 틀어진 아래 앞니가 컴플렉스였기 때문에 아래만 부분 교정으로 먼저 시작하셨다가, 아래 부분 교정 마무리 후 위에도 개선하고 싶다고 하셔서 위 치아까지 전체교정으로 진행한 케이스입니다.

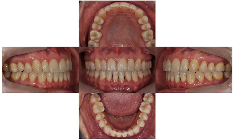
2021.8
오른쪽 왜소치 때문에 치아 중심선의 차이가 남은 상태로 마무리 되었으나, 환자분께서는 치료 결과에 만족하셨습니다.
중년교정 다른 내용도 궁금하시다면, 아래 글도 참고해 보세요 :)

치아 교정에 나이 제한이란 없으며, 나이 때문에 치아 교정 치료가 불가능하거나 어려운 것은 아닙니다. 다만 우리가 흔히 풍치라고 말하는 잇몸 질환이 있거나 골다공증, 관절염, 당뇨병 등의 약을 복용하는 경우에는 담당 주치의와 상의한 후 상담이 필요할 수 있습니다. 중장년층의 경우 치주질환에 의해 잇몸과 잇몸뼈가 이미 약할 수 있기 때문에, 교정치료를 진행하기 전 잇몸뼈의 건강 상태를 정확하게 파악해야 하며, 적절한 잇몸 치료 후 잇몸이 안정화되었다고 판단되었다면 교정 치료가 가능합니다.
또한 골다공증 약을 복용하는 경우 골다공증 약이 뼈의 흡수를 지연시켜서 골밀도가 떨어지는 것을 막게 되는데, 잇몸뼈의 신진대사를 이용하여 치아를 이동시키는 교정치료시 골다공증 약복용에 의해 치아의 이동이 방해를 받을 수 있습니다. 따라서 골다공증 약을 복용하고 있는 경우 주치의와의 상담을 통해 2~3달 정도 약의 복용을 중단하고 난 후 치료를 받는 것이 안전하다고 할 수 있습니다.






Previous image Next image
중년층은 활발한 사회 활동을 하는 경우가 많기 때문에 치아 교정시 심미성에 대한 고민이 클 수 있습니다. 만약 심미적인 이유로 교정 치료가 망설여지신다면 인비절라인 교정을 고려해볼 수 있습니다. 인비절라인은 부드러운 플라스틱 소재의 투명교정 장치로 눈에 띄지 않아 심미성이 높으며, 장치를 뺐다 꼈다 할 수 있기 때문에 구강위생관리도 용이하다는 장점이 있습니다.
중년 교정의 경우 치아 뿌리의 길이나 잇몸뼈의 상태, 전신질환 등 고려해야할 사항들이 있습니다. 노화에 따라 지속적으로 낮아지는 잇몸뼈와 교합의 변화로 인한 치아의 동요도 등으로 심한 경우에는 치아를 발치해야 할 수도 있기 때문에, 교정치료시 치료하고자 하는 타겟 치아만을 이동시키는 정밀한 교정이 필요합니다. 따라서 숙련된 교정 의사가 상주해 있고, 치아 상태를 정밀하게 파악하기 위한 검사 장비를 갖춘 교정 치과를 선택하는 것이 바람직합니다.
연세정원치과에서는 인비절라인 치아교정을 위해 3D 구강스캐너인 iTero Lumina, 성장판 검사, 모르페우스 안면스캐너를 통한 치료 전후 시뮬레이션 등 필요한 최신의 장비를 모두 보유하고 있어 더욱 정밀하고 체계적으로 치아교정을 진행하실 수 있는 장점이 있습니다.
또한, 치아교정시 정밀진단비, 월비 등의 비용이 포함(단, 유지장치 비용 제외)되어 추가적인 비용 발생에 대한 걱정도 하실 필요가 없습니다. 또한, 일반진료과가 함께 있어 발치나 충치치료 등의 교정에 필요한 모든 치료가 한곳에서 가능하며 목돈이 한번에 나가는 부담을 줄이기 위해 분납제도를 실시하고 있으니 더욱 매력적이라고 할 수 있습니다.
대표원장 윤정원 원장은 교정과를 책임지고 있으며, 16년 임상기간 동안 교정만을 전문으로하여 고난이도의 수많은 케이스 경험을 가지고 계십니다. 따라서 부정교합, 돌출입, 주걱턱 등 다양한 치아교정에 대해 효과적으로 치료가 가능합니다.

아마도 돌출입, 덧니, 부정교합, 주걱턱 등으로 인해 교정을 고려하고 계시는 분들께서는 검색을 통해 많은 정보를 이미 습득하고 계실텐데요. 그렇더라도 실제로 장치별로 비교를 해보고 자세한 설명을 듣는다면 결정하시는데 큰 도움이 되실 것입니다.
상담시에는 클라리티, 클리피씨, 인비절라인 등 다양한 장치를 직접 눈으로 비교해 보시면서 장단점에 대해서 자세한 설명을 들으실 수 있으니 부담없이 전화 문의 또는 방문하여 상담 받아보시기를 권유해 드립니다.

연세정원치과는 주차가 편리할 뿐만 아니라 삼성역, 학여울역, 대치역, 한티역에서 모두 가까워 삼성동, 대치동, 개포동, 일원동, 도곡동, 역삼동, 잠실에서도 내원하시기에 매우 편리합니다.
대치동 우성아파트 사거리 BMW 옆 건물
(스타벅스/삼성스토어 건너편)
대치동 교정치과 연세정원치과는
주차가 편리하며 무료입니다
상담 및 문의 : 02-501-2879
더 보기
이 병원의 공개 콘텐츠를 계속 살펴보세요
출처 아카이브로 돌아가 더 많은 글을 보거나, 병원 프로필로 이동해 다른 공개 채널도 함께 비교해보세요.