연세정원치과
치아 미백 후 반점치의 아이콘 레진 치료 @ 대치동 연세정원치과
안녕하세요. 대치동 연세정원치과 윤정원 원장입니다. 혹시 여러 분들 중 치아에 하얀 점이 있어서 신경쓰여서 활짝 웃지 못하시는 분 계신지요? 주로 앞니에 생기는 하얀 점은 화이트 스팟(white spot, 반점치, 백색반점)이라고 불리며 다양한 원인으로 생길 수 있습니다. 화이트 스팟은 왜 생길까요? 치아의 겉껍질...
아카이브 요약
이 페이지의 역할
연세정원치과 Yonsei JW Dental Clinic at Gangnam의 네이버 블로그 원문을 보존한 아카이브 페이지입니다. 미백/라미네이트 심미치료 카테고리의 치아 미백 후 반점치의 아이콘 레진 치료 @ 대치동 연세정원치과 글을 통해 병원의 한국어 정보 제공 방식과 진료 관련 안내 톤을 확인할 수 있습니다.
안녕하세요. 대치동 연세정원치과 윤정원 원장입니다.
혹시 여러 분들 중 치아에 하얀 점이 있어서 신경쓰여서 활짝 웃지 못하시는 분 계신지요? 주로 앞니에 생기는 하얀 점은 화이트 스팟(white spot, 반점치, 백색반점)이라고 불리며 다양한 원인으로 생길 수 있습니다.
화이트 스팟은 왜 생길까요?
치아의 겉껍질 부분에 해당하는 법랑질(에나멜층)이 만들어질 때 제대로 형성되지 않을 경우, 치아 표면이 푸석거리거나 흰색이나 갈색 반점이 나타날 수 있습니다. 또한 치아의 형태가 제대로 형성되지 않고 거칠거나 불규칙적으로 만들어지기도 합니다. 치아가 만들어질 때 석회화가 덜 된 법랑질층에 빛이 반사하여 불투명한 색, 주로 하얗게 보이는 것입니다.
또는 후천적으로 생길 수도 있는데 이는 영구치가 잇몸 안에서 발생하는 시기인 만 6세 미만의 아이가 불소를 과량 섭취할 경우 영구치에서 불소증이 나타나며 생길 수 있습니다. 또는 유치가 외상을 입거나 충치가 생겼을 경우 잇몸 안에 있는 영구치의 치배(치아싹)가 손상을 입었을 경우에도 생길 수 있습니다. 그리고 교정치료 후에 브라켓 주변에 양치질을 제대로 안할 경우 치아에 치태가 쌓이게 되고, 치태가 지속적으로 제거되지 않으면 충치가 생기게 되는데, 충치 전단계에 치아의 표면이 부식되는 탈회로 인해서 화이트 스팟이 생길 수 있습니다.

미백 치료 후에 나타나는 화이트 스팟
미백 치료 후 원래 없던 화이트 스팟이 나타날 수도 있는데, 이는 명확한 형태의 화이트 스팟이라기 보다는 치아 표면이 일정하게 미백이 된 것이 아니라 얼룩덜룩하게 미백의 효과가 나타난 것으로 보통 시간이 지나며 일주일 이내 사라지게 됩니다.
그러나 미백 전에도 있던 화이트 스팟의 경우 미백치료를 하면 더 두드러지게 나타나는 경향이 있는데, 이는 미백 치료 후 치아 표면의 탈수 현상 때문에 일시적으로 나타나는 증상이며 수일 이내 대부분의 경우 정상으로 돌아오게 됩니다.
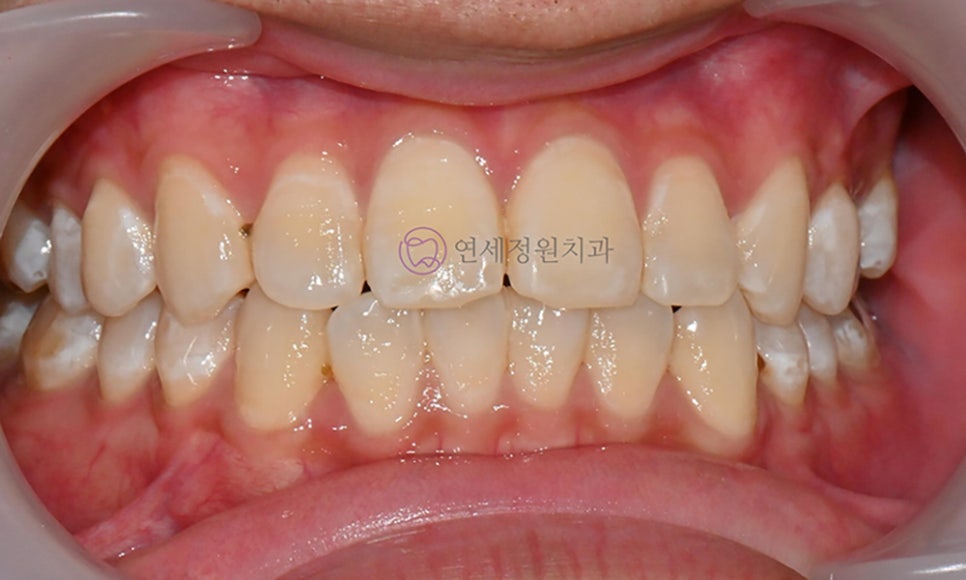
다음 환자는 미백 치료 후 도드라지게 나타난 화이트 스팟이 신경쓰여서 이를 개선하고자 싱가폴에서 내원하신 분입니다. 원래도 치아에 전반적으로 화이트 스팟이 있었는데 미백 치료 후 화이트 스팟이 심해졌으며, 한달이 지나도 크게 개선되지 않아 걱정이라고 하셨습니다.



-
- 18 (초진)
본 환자는 모든 치아에 전반적으로 띠 형태의 화이트 스팟이 존재했으며, 일부 치아에서는 움푹 파인 형태로 심한 형태의 탈회 현상이 나타났습니다. 워낙 화이트 스팟의 범위가 광범위하여, 한번의 아이콘 치료로 큰 개선 효과가 없을 수 있으며 일부 치아의 경우 추가적인 레진 치료가 필요할 수 있음을 고지 후 위 아래 송곳니 부위까지 총 12개 치아의 아이콘 치료에 들어갔습니다.



-
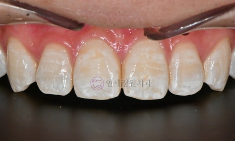
- 24 (치료 6일 후)
이는 치료 6일 후 사진입니다. 아이콘 치료의 경우 치료 직후에는 치아 표면의 탈수 현상으로 인하여, 사진 상으로 치료 효과를 잘 보여드리기 힘듭니다. 실제로 침이 있는 자연스러운 구강 내 상태로 보면 사진보다 훨씬 더 심미적으로 자연스럽게 보이며, 치료 후 1~2주 정도 지나면 훨씬 더 자연스러워보입니다. 다행히 본 환자는 한국에 2주 일정으로 머물고 계셔서 출국 전날 일주일 체크업을 진행할 수 있었습니다.

미소시 사진
환자분께서는 치료 결과에 매우 만족하셨으며, 미소시 보이는 다른 치아에도 추가로 아이콘 치료 진행을 원하셨습니다. 모든 치아에 아이콘 치아를 원하셨으나 ^^;; 미소시에 많이 보이는 아래 첫번째 작은 어금니 2개에 추가로 아이콘 치료를 시행하였습니다.

총 14개 치아의 아이콘 치료 후
사진 촬영은 치아를 건조시킨 상태로 찍기 때문에 자세히 보면 화이트 스팟이 완전히 사라지지 않은 것처럼 보이나, 실제로 침이 있는 자연스러운 구강 내 상태로 보면 사진보다 훨씬 더 심미적으로 자연스럽게 보입니다.


위 앞니 치료 전후


아래 앞니 치료 전후
환자분께서 이제는 웃을 때 입을 가리고 웃지 않아도 될 것 같다며 활짝 웃어보이셨을 때는 저희도 진심으로 기뻐했습니다 :)
화이트 스팟의 정도가 광범위하고 심했기 때문에, 추후 추가적인 아이콘 치료를 시행하면 좀더 완벽하게 화이트 스팟을 커버할 수 있을 것으로 기대합니다.

탈회 정도가 넓고 깊은 경우에는 반점치가 완벽하게 제거되지 않을 수 있고, 치아 내부의 상태에 따라 치아의 다공성 구조가 완전히 열리지 않는 경우에는 아이콘 레진의 침투가 어려울 수 있습니다. 이런 경우에는 아이콘 치료 후 일부 치아를 삭제하여 추가적인 레진치료가 필요할 수도 있으므로, 미리 검진을 받아보시는 것을 권유드립니다.
대치동 우성아파트 사거리 BMW 옆 건물
(스타벅스/삼성스토어 건너편)
대치동 교정치과 연세정원치과는
주차가 편리하며 무료입니다.
상담 및 문의 : 02-501-2879
더 보기
이 병원의 공개 콘텐츠를 계속 살펴보세요
출처 아카이브로 돌아가 더 많은 글을 보거나, 병원 프로필로 이동해 다른 공개 채널도 함께 비교해보세요.