연세정원치과
앞니 벌어짐 부분교정 (재교정)
안녕하세요. 대치동 교정치과 연세정원치과 대표원장 윤정원 입니다. 치아교정의 종류를 구분할 때 치과 의사의 입장에서는 이렇게 나누는 것을 좋아하지는 않지만, 일반적으로 클리피씨 교정, 클라리티 교정 등과 같이 교정장치 종류에 따라 말하기도 하고, 성인 교정, 소아청소년 교정, 중장년 교정 등 나이에 따라 구분하기도 합...
아카이브 요약
이 페이지의 역할
연세정원치과 Yonsei JW Dental Clinic at Gangnam의 네이버 블로그 원문을 보존한 아카이브 페이지입니다. 치아교정 카테고리의 앞니 벌어짐 부분교정 (재교정) 글을 통해 병원의 한국어 정보 제공 방식과 진료 관련 안내 톤을 확인할 수 있습니다.

안녕하세요. 대치동 교정치과 연세정원치과 대표원장 윤정원 입니다.
치아교정의 종류를 구분할 때 치과 의사의 입장에서는 이렇게 나누는 것을 좋아하지는 않지만, 일반적으로 클리피씨 교정, 클라리티 교정 등과 같이 교정장치 종류에 따라 말하기도 하고, 성인 교정, 소아청소년 교정, 중장년 교정 등 나이에 따라 구분하기도 합니다.
교정치료의 범위에 따라 구분을 하자면 전체교정과 부분교정으로 나눌 수 있는데, 전체교정의 경우 전체 치열의 움직임을 동반하는 일반적인 교정 치료를 말하며, 부분교정이란 일부 치열의 변화만 원하는 경우를 의미합니다.
부분교정은 앞니의 치열 변화만 교정을 원하거나, 어금니 부위에 보철 치료를 하기 위해 어금니만 부분적으로 교정을 하는 경우 등이 해당됩니다. 교정 기간도 오래 걸리고 치료 비용도 높은 전체교정에 비하여, 부분교정은 치료 기간도 5~6개월 이내로 짧으며 상대적으로 치료 비용도 경제적이라는 장점이 있습니다. 물론 부분교정이 모두 가능한 것은 아니지만, 적절한 케이스라면 상대적으로 저렴한 치료 비용으로 짧은 기간 안에 원하는 치료 효과를 얻을 수 있습니다.
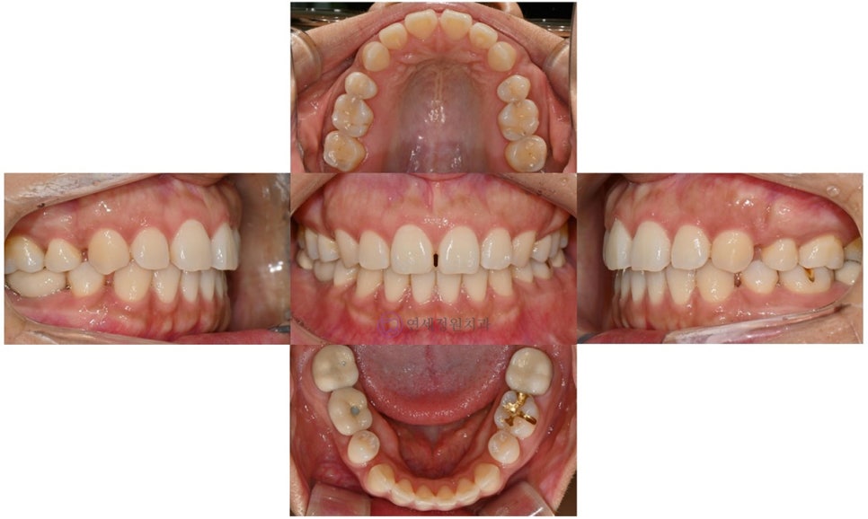
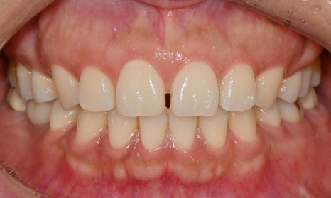
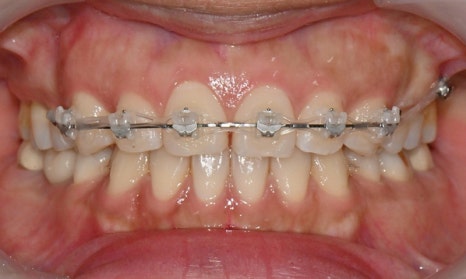
본 환자는 예전에 발치 교정을 하셨는데 유지장치 관리가 잘 안되어 위 앞니 사이와 발치 공간 사이가 벌어진 것을 주소로 내원하셨습니다. 발치 공간이 벌어진 것을 닫기 위해서는 전체 교정이 필요하나, 환자분께서는 벌어진 앞니 사이만 개선을 원하셨습니다.

2024.7.25 초진
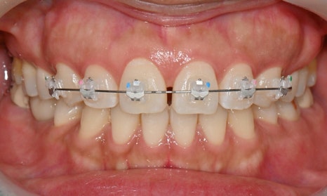
또한 치아의 중심이 얼굴의 중심과 일치하지 않고 우측으로 치우쳐 있어서, 웃을 때 비대칭을 보이는 느낌이 있었습니다. 이를 개선하기 위하여 위 앞니만 부분적으로 교정하기로 하였으며, 앞니 치열을 약간 왼쪽으로 이동시켜서 웃었을 때 얼굴이 틀어져보이는 느낌을 개선하기로 하였습니다.






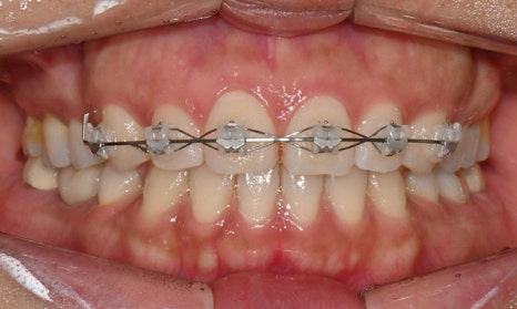
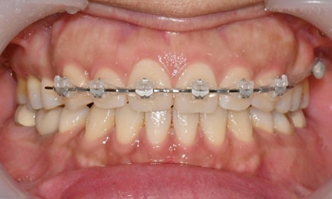
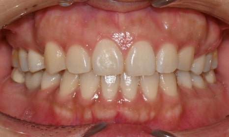
약 6개월의 교정 치료 후 장치를 제거하였습니다. 앞니 사이의 공간은 닫혔으며 위 왼쪽에 미니스크류를 식립하여 위 앞니 치아의 중심선을 왼쪽으로 이동시켰습니다. 그래서 위 아래 치아 중심선은 맞지 않으나 얼굴의 중심선과 미소시 보이는 위 앞니의 중심선이 일치시킴으로써, 웃을 때 자연스럽게 대칭적으로 보이도록 치아를 배열하였습니다.


이와 같이 6개월의 짧은 기간 동안 자연스럽고 예쁜 미소라는 큰 효과를 얻을 수 있었습니다. 물론 전체교정으로 치아 사이 벌어진 공간을 모두 닫았다면 더 좋았겠지만 치료 기간이 훨씬 오래 걸리는 재교정 치료라는 단점이 있습니다. 이와 같은 앞니 부분교정은 시간과 비용 측면에서 효율적으로 심미성을 개선시킨다는 장점이 있다고 할 수 있습니다.










Previous image Next image

연세정원치과의 치아교정은 정밀진단비, 월비 등의 비용이 포함(단, 유지장치 비용 제외)되어 추가적인 비용 발생에 대한 걱정도 하실 필요가 없습니다. 또한, 일반진료과가 함께 있어 발치나 충치치료 등의 교정에 필요한 모든 치료가 한곳에서 가능하며 목돈이 한번에 나가는 부담을 줄이기 위해 분납제도를 실시하고 있으니 더욱 매력적이라고 할 수 있습니다.
교정과를 책임지고 계시는 윤정원 대표원장은 16년 임상기간 동안 교정만을 전문으로하여 고난이도의 수많은 케이스 경험을 가지고 계십니다. 따라서 부정교합, 돌출입, 주걱턱 등 다양한 치아교정 케이스에 대해 효과적으로 치료가 가능합니다.

대치동 교정전문치과 연세정원치과에 방문하시면 별도의 비용없이 간단한 구강검진을 통해 현재 상태를 정확히 파악하실 수 있고, 교정진료 시 다양한 교정장치에 대한 설명도 들으실 수 있으니 편하게 상담문의해 주시기 바랍니다.
연세정원치과의원에서는 치아교정을 위해 3D 구강스캐너인 iTero Lumina, 성장판 검사, 모르페우스 안면스캐너를 통한 치료 전후 시뮬레이션 등 필요한 최신의 장비를 모두 보유하고 있어 더욱 정밀하고 체계적으로 치아교정을 진행하실 수 있는 장점이 있습니다.

아마도 돌출입, 덧니, 부정교합, 주걱턱 등으로 인해 교정을 고려하고 계시는 분들께서는 검색을 통해 많은 정보를 이미 습득하고 계실텐데요. 그렇더라도 실제로 장치별로 비교를 해보고 자세한 설명을 듣는다면 결정하시는데 큰 도움이 되실 것입니다.
상담시에는 클라리티, 클리피씨, 인비절라인 등 다양한 장치를 직접 눈으로 비교해 보시면서 장단점에 대해서 자세한 설명을 들으실 수 있으니 부담없이 전화 문의 또는 방문하여 상담 받아보시기를 권유해 드립니다.
연세정원치과는 주차가 편리할 뿐만 아니라 삼성역, 학여울역, 대치역, 한티역에서 모두 가까워 삼성동, 대치동, 개포동, 일원동, 도곡동, 역삼동, 잠실에서도 내원하시기에 매우 편리합니다.
대치동 우성아파트 사거리 BMW 옆 건물
(스타벅스/삼성스토어 건너편)
대치동 교정치과 연세정원치과는
주차가 편리하며 무료입니다
상담 및 문의 : 02-501-2879
더 보기
이 병원의 공개 콘텐츠를 계속 살펴보세요
출처 아카이브로 돌아가 더 많은 글을 보거나, 병원 프로필로 이동해 다른 공개 채널도 함께 비교해보세요.