연세정원치과
성장기 무턱교정 인비절라인 MA(mandibular advancment)
성장기 무턱교정 인비절라인 MA 연세정원치과 안녕하세요. 대치동 교정치과 연세정원치과 윤정원 원장입니다. 우리 아이가 무턱, 주걱턱인 경우에 치아교정 시기에 대해서 고민이 많으시죠? 무턱, 주걱턱 등 골격적인 부조화를 보이는 경우에는 적절한 시기에 악골의 성장을 이용하여 교정을 해주는 것이 매우 중요합니다. 주...
아카이브 요약
이 페이지의 역할
연세정원치과 Yonsei JW Dental Clinic at Gangnam의 네이버 블로그 원문을 보존한 아카이브 페이지입니다. 인비절라인 카테고리의 성장기 무턱교정 인비절라인 MA(mandibular advancment) 글을 통해 병원의 한국어 정보 제공 방식과 진료 관련 안내 톤을 확인할 수 있습니다.

성장기 무턱교정 인비절라인 MA 연세정원치과
안녕하세요. 대치동 교정치과 연세정원치과 윤정원 원장입니다.
우리 아이가 무턱, 주걱턱인 경우에 치아교정 시기에 대해서 고민이 많으시죠? 무턱, 주걱턱 등 골격적인 부조화를 보이는 경우에는 적절한 시기에 악골의 성장을 이용하여 교정을 해주는 것이 매우 중요합니다.
주걱턱의 경우 앞니 반대교합이 발견되는 즉시 성장교정을 해 주어야 하며, 무턱의 경우 성장단계를 평가하여 만 12~14세 정도 키가 갑자기 확 크는 시기인 (초등학교, 중학교 정도의) 사춘기 최대 성장기에 시작하는 것이 좋습니다. 이 시기의 빠른 골격 성장을 이용하여 무턱을 효과적으로 개선할 수 있기 때문입니다.
무턱 교정의 경우 전통적으로 액티베이터, 바이오네이터, 헤드기어 등의 성장교정장치로 아래턱의 위치를 개선해줍니다.

2급 액티베이터

헤드기어 (head gear) : 상악골의 성장 억제
이러한 성장교정장치는 아이들의 협조도가 좋을 경우 골격적 성장 개선량이 매우 좋습니다. 하지만, 몇 가지 단점을 가지고 있습니다. 악골의 성장을 먼저 개선하기 때문에 치열의 개선은 성장교정이 끝난 후 가능합니다. 따라서 성장교정 후 치열교정까지 하려면 치료기간이 오래 걸리는 단점이 있습니다.
또한 장치를 착용하고 발음을 하는 것이 불편하다는 치명적인 단점이 있습니다. 비심미적인 장치의 외관뿐만이 아니라 장치를 착용하고 발음을 하는 것이 힘들어 하루 장치착용시간을 늘리는 것은 현실적으로 불가능합니다.
인비절라인에서 개발한 무턱 교정장치인 인비절라인 MA(mandibular advancement)는 이러한 성장교정의 단점을 개선시킨 장치입니다. 기존의 인비절라인 장치의 어금니 부분에 precision wing이라고 하는 구조물을 배치하여 무턱 환자의 아래턱의 위치를 전방 이동시켜서 아래턱의 성장을 촉진시켜주는 일종의 개선된 성장교정장치라고 할 수 있습니다.
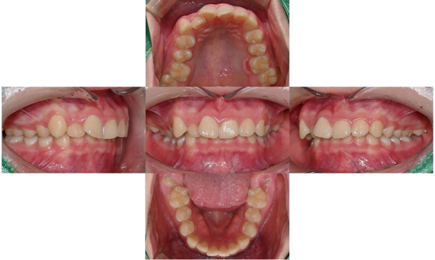
본 환자는 무턱 및 치열 개선을 주소로 내원한 만 12세 여환으로, 환자 본인이 심미적인 장치로 골격 및 치열 개선을 원하여 인비절라인 MA 장치로 치료를 시작하였습니다.

2025.2.6. 초진


Invisalign MA(mandibular advancement)


Invisalign MA 전후
먼저 아래턱의 위치를 전진시켜서 아래턱의 성장을 도와주기 이전에, 기본적인 치아 배열을 하여 효과적으로 아래턱이 전방위치할 수 있도록 준비하는 과정을 거칩니다. 이후 인비절라인 장치에 파란색 날개가 부착되어 있는 MA 장치를 착용하여 아래턱의 성장을 도와줍니다. 아래턱의 위치가 성장하여 안정적으로 물리게 되면 마무리 치열 개선을 거친 후 치료가 종료됩니다.
대치동 교정치과
대치동 치아교정 인비절라인 MA
성장 교정은 주로 '1차 교정'이라 불리기도 하는데, 이는 먼저 골격적인 개선을 하는 1차 교정이 끝나면 치열 개선을 위한 2차 교정이 필요함을 의미합니다. 이는 1차 교정이 끝난 후 치아 배열을 위한 추가 교정이 필요할 수 있으며, 치료 기간이 길어질 수 있다는 것을 의미합니다. 이와 같이 인비절라인 MA로 성장교정을 할 경우, 성장교정 이후 추가적인 교정치료를 최소화 하며 효과적으로 골격 및 치열 개선을 할 수 있다는 장점이 있습니다.

강남 대치동 교정치과
연세정원치과에서는 인비절라인 치아교정을 위해 3D 구강스캐너인 iTero Lumina, 성장판 검사, 모르페우스 안면스캐너를 통한 치료 전후 시뮬레이션 등 필요한 최신의 장비를 모두 보유하고 있어 더욱 정밀하고 체계적으로 치아교정을 진행하실 수 있는 장점이 있습니다.
또한, 치아교정시 정밀진단비, 월비 등의 비용이 포함(단, 유지장치 비용 제외)되어 추가적인 비용 발생에 대한 걱정도 하실 필요가 없습니다. 또한, 일반진료과가 함께 있어 발치나 충치치료 등의 교정에 필요한 모든 치료가 한곳에서 가능하며 목돈이 한번에 나가는 부담을 줄이기 위해 분납제도를 실시하고 있으니 더욱 매력적이라고 할 수 있습니다.
대표원장 윤정원 원장은 교정과를 책임지고 있으며, 16년 임상기간 동안 교정만을 전문으로하여 고난이도의 수많은 케이스 경험을 가지고 계십니다. 따라서 부정교합, 돌출입, 주걱턱 등 다양한 치아교정에 대해 효과적으로 치료가 가능합니다.

아마도 돌출입, 덧니, 부정교합, 무턱, 주걱턱 등으로 인해 교정을 고려하고 계시는 분들께서는 근처치과 검색을 통해 많은 정보를 이미 습득하고 계실텐데요. 그렇더라도 실제로 장치별로 비교를 해보고 발치 여부 등 자세한 설명을 듣는다면 결정하시는데 큰 도움이 되실 것입니다.
상담시에는 클라리티, 클리피씨, 인비절라인 등 다양한 장치를 직접 눈으로 비교해 보시면서 장단점과 치아교정 비용에 대해서 자세한 설명을 들으실 수 있으니 부담없이 전화 문의 또는 방문하여 상담 받아보시기를 권유해 드립니다.

강남치과 대치동 연세정원치과는 삼성역, 학여울역, 대치역, 한티역에서 모두 가까워 삼성동, 대치동, 개포동, 도곡동, 일원동, 역삼동에서 내원하시기에 매우 편리합니다.
대치동 우성아파트 사거리 BMW 옆 건물
(스타벅스/삼성스토어 건너편)
대치동 교정치과 연세정원치과는
주차가 편리하며 무료입니다
상담 및 문의 : 02-501-2879
더 보기
이 병원의 공개 콘텐츠를 계속 살펴보세요
출처 아카이브로 돌아가 더 많은 글을 보거나, 병원 프로필로 이동해 다른 공개 채널도 함께 비교해보세요.