연세정원치과
어린이 무턱 액티베이터 성장교정 후 인비절라인 퍼스트
무턱교정 인비절라인 안녕하세요. 대치동 교정치과 연세정원치과 윤정원 원장 입니다. 우리 아이들 노는 모습을 바라보다가 문득 턱이 너무 뒤로 들어가 보이거나 입이 나온 것처럼 보이는 경우가 있습니다. 처음에는 그러려니 하다가 사진으로 비교도 해보고 하면서 발견하는 경우가 많이 있습니다. 크면서 나아지겠지 하시는 경우...
아카이브 요약
이 페이지의 역할
연세정원치과 Yonsei JW Dental Clinic at Gangnam의 네이버 블로그 원문을 보존한 아카이브 페이지입니다. 인비절라인 카테고리의 어린이 무턱 액티베이터 성장교정 후 인비절라인 퍼스트 글을 통해 병원의 한국어 정보 제공 방식과 진료 관련 안내 톤을 확인할 수 있습니다.

무턱교정 인비절라인
안녕하세요. 대치동 교정치과 연세정원치과 윤정원 원장 입니다.
우리 아이들 노는 모습을 바라보다가 문득 턱이 너무 뒤로 들어가 보이거나 입이 나온 것처럼 보이는 경우가 있습니다. 처음에는 그러려니 하다가 사진으로 비교도 해보고 하면서 발견하는 경우가 많이 있습니다. 크면서 나아지겠지 하시는 경우도 있는데 무턱은 단지 외모만의 문제가 아니라 다음과 같은 기능적인 문제들도 유발할 수 있기에 주의깊게 살펴보셔야 합니다.
-
저작 기능 저하: 음식을 제대로 씹기 어렵고, 턱관절에 무리가 갈 수 있습니다.
-
호흡 문제: 입을 자주 벌리고 있다면 구강호흡으로 이어져 구강건조, 편도 비대, 수면 장애 등이 발생할 수 있습니다.
-
발음 문제: 치아와 턱이 올바르게 맞물리지 않으면 특정 발음에 어려움이 생길 수 있습니다.
다행히도 성장기에 적절한 시기를 놓치지 않고 치아교정을 시작한다면 아이들의 얼굴뼈는 아직 성장 중이기 때문에 (성장이 끝난 성인보다) 턱의 위치와 치아 배열을 보다 자연스럽게 유도할 수 있게 됩니다. 따라서, 반드시 가까운 교정치과에 내원하시어 치아교정 상담을 받아보시는 것이 좋습니다.
예전 포스팅에서 어린이 무턱 교정 치료에 관하여 설명드린 적이 있습니다. 무턱은 위턱의 성장이 많거나 아래턱 성장이 덜 되어 악골간의 성장 부조화가 있을 경우 발생하게 됩니다. 따라서 과성장된 상악을 헤드기어로 억제하며 상대적으로 발달이 덜 된 하악을 2급 액티베이터(Class II activator)를 사용하여 성장을 유도하게 됩니다.

액티베이터의 작용기전
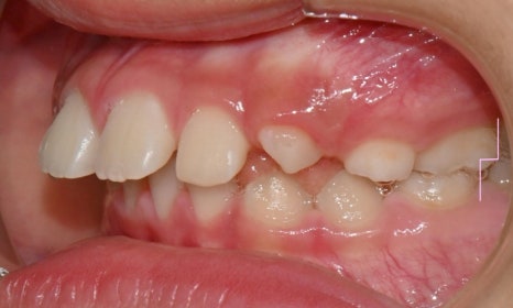
본 환자는 앞니가 점점 돌출된다는 주소로 치과에 내원하였으며, 앞니가 많이 뻗쳐있었고 과개교합 양상도 보였습니다. 또한 어금니 위치 관계도 2급(아래 어금니가 뒤로 후퇴하여 물리는 위치 관계) 이었습니다.

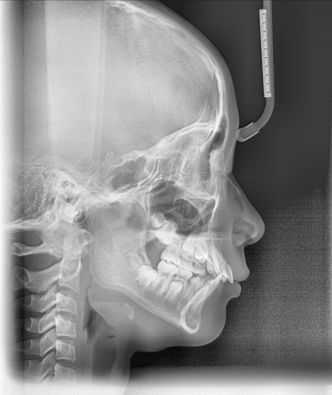
2024.8.3. 초진


편안하게 입술을 다물었을 때 후퇴된 아래턱 및 돌출된 위 앞니가 하순에 닿아 눌러서 아래턱은 후퇴되어 있음에도 아래 입술은 오히려 돌출감이 있었습니다.

2급 액티베이터

헤드기어 착용 모습
2급 액티베이터를 사용하여 후방 위치한 하악을 전진시켜 위치 관계를 개선하기로 하였습니다. 또한 보조적으로 상악 헤드기어도 착용하여 상악의 성장을 억제하였습니다.
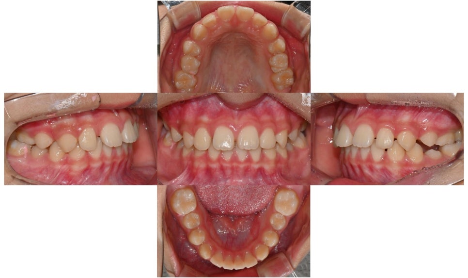
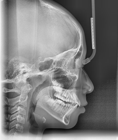
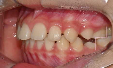
약 9개월간 2급 액티베이터와 헤드기어 착용 후 모습입니다.



2025.5.16.


어금니 관계의 위치변화

치료 전후 악골의 위치 변화
치료 결과 하악골은 전방성장하였으며, 과개교합도 많이 개선되었습니다. 헤드기어로 상악골의 성장도 억제되어 돌출되었던 위 앞니 각도도 개선되었고, 위-아래 앞니 사이 간격이 많이 줄었습니다. 위 앞니에 눌려 돌출되었던 하순도 개선되어 straight profile이 완성되었습니다.


액티베이터 치료 전후 옆얼굴 변화
환자가 올해 말 출국 계획이 있어서 인비절라인 퍼스트로 최대한 출국 전까지 남아있는 치아 사이 공간을 닫기로 하였습니다. 장치는 총 20단계로 출국 전 마무리를 목표로 장치 착용 중입니다. 영구치가 모두 맹출한 이후 추가적인 교정이 필요할 경우, 방학 때 한국에 들어올 때 워런티 기간 내에 추가교정장치로 마무리해드릴 예정입니다.
대치동 치과
- 인비절라인은 유학, 이민 등의 계획이 있을 경우 장치를 받아가서 교정 장치를 착용하거나 환자 transfer 등의 방법으로 이어서 교정 치료를 받기에 매우 유용합니다.
연세정원치과에서는 인비절라인 치아교정을 위해 3D 구강스캐너인 iTero Lumina, 성장판 검사, 모르페우스 안면스캐너를 통한 치료 전후 시뮬레이션 등 필요한 최신의 장비를 모두 보유하고 있어 더욱 정밀하고 체계적으로 치아교정을 진행하실 수 있는 장점이 있습니다.
또한, 치아교정시 정밀진단비, 월비 등의 비용이 포함(단, 유지장치 비용 제외)되어 추가적인 비용 발생에 대한 걱정도 하실 필요가 없습니다. 또한, 일반진료과가 함께 있어 발치나 충치치료 등의 교정에 필요한 모든 치료가 한곳에서 가능하며 목돈이 한번에 나가는 부담을 줄이기 위해 분납제도를 실시하고 있으니 더욱 매력적이라고 할 수 있습니다.
대표원장 윤정원 원장은 교정과를 책임지고 있으며, 16년 임상기간 동안 교정만을 전문으로하여 고난이도의 수많은 케이스 경험을 가지고 계십니다. 따라서 부정교합, 돌출입, 주걱턱, 무터교정 등 다양한 치아교정에 대해 효과적으로 치료가 가능합니다.

아마도 돌출입, 덧니, 부정교합, 무턱, 주걱턱 등으로 인해 치아교정, 양악수술을 고려하고 계시는 분들께서는 근처 치아교정치과 검색을 통해 많은 정보를 이미 습득하고 계실텐데요. 그렇더라도 실제로 장치별로 비교를 해보고 발치 여부 등 자세한 설명을 듣는다면 결정하시는데 큰 도움이 되실 것입니다.
상담시에는 클라리티, 클리피씨, 투명교정 인비절라인 등 다양한 장치를 직접 눈으로 비교해 보시면서 장단점과 치아교정가격, 치아교정종류에 대해서 자세한 설명을 들으실 수 있으니 부담없이 전화 문의 또는 방문하여 상담 받아보시기를 권유해 드립니다.

강남교정치과 대치동 연세정원치과의원은 삼성역, 학여울역, 대치역, 한티역에서 모두 가까워 삼성동, 대치동, 개포동, 도곡동, 역삼동에서 내원하시기에 매우 편리합니다.
대치동 우성아파트 사거리 BMW 옆 건물
(스타벅스/삼성스토어 건너편)
대치동 교정치과 연세정원치과는
주차가 편리하며 무료입니다
상담 및 문의 : 02-501-2879
더 보기
이 병원의 공개 콘텐츠를 계속 살펴보세요
출처 아카이브로 돌아가 더 많은 글을 보거나, 병원 프로필로 이동해 다른 공개 채널도 함께 비교해보세요.