아카이브 요약
이 페이지의 역할
연세정원치과의원의 네이버 블로그 원문을 보존한 아카이브 페이지입니다. 인비절라인 카테고리의 어린이 주걱턱, 페이스 마스크 성장교정 후 인비절라인 글을 통해 병원의 한국어 정보 제공 방식과 진료 관련 안내 톤을 확인할 수 있습니다.
원문 검증
필요하면 원문 블로그와 병원 프로필로 바로 이동해 문맥을 다시 확인할 수 있습니다.
출처 아카이브 열기아카이브된 블로그 글
연세정원치과의원 · Naver Blog
안녕하세요! 대치동 교정치과 연세정원치과 윤정원 원장입니다. 강남 교정치과 연세정원치과 지난 포스팅에서 어린이 무턱 성장교정 후 인비절라인으로 치료하는 케이스에 관하여 설명드렸었습니다. 오늘은 페이스 마스크로 주걱턱 성장교정을 한 이후 치열 교정을 위해 인비절라인으로 치료한 케이스에 관하여 살펴보기로 하겠습니다...
게시일
2025년 6월 16일
원문 기준으로 확인된 발행일입니다.
카테고리
인비절라인
원문 블로그 카테고리를 정리해 함께 표시합니다.
이미지 수
15
현재 아카이브에 연결된 이미지 수입니다.
아카이브 요약
연세정원치과의원의 네이버 블로그 원문을 보존한 아카이브 페이지입니다. 인비절라인 카테고리의 어린이 주걱턱, 페이스 마스크 성장교정 후 인비절라인 글을 통해 병원의 한국어 정보 제공 방식과 진료 관련 안내 톤을 확인할 수 있습니다.
원문 검증
필요하면 원문 블로그와 병원 프로필로 바로 이동해 문맥을 다시 확인할 수 있습니다.
출처 아카이브 열기안녕하세요! 대치동 교정치과 연세정원치과 윤정원 원장입니다.

강남 교정치과 연세정원치과
지난 포스팅에서 어린이 무턱 성장교정 후 인비절라인으로 치료하는 케이스에 관하여 설명드렸었습니다.
오늘은 페이스 마스크로 주걱턱 성장교정을 한 이후 치열 교정을 위해 인비절라인으로 치료한 케이스에 관하여 살펴보기로 하겠습니다.

페이스마스크 (facemask) 성장교정
페이스 마스크(facemask) 장치는 아래턱이 발달하여 위 아래 앞니가 반대로 물리는 3급 부정교합의 경우, 위턱의 성장을 촉진시키기 위하여 착용하는 성장교정장치 입니다.
위턱이 성장하여 반대교합이 해소된 이후에는 프랑켈 장치(FR III)를 착용하여 위턱의 성장을 방해하는 윗입술과 뺨의 힘을 차단시켜서 자연스럽게 위턱의 성장을 유도하는 장치이며, 페이스 마스크 치료 후 유지장치로도 많이 사용됩니다.

FR III (프랑켈 장치)
본 환자는 5년 전 페이스 마스크 장치로 1차 교정을 한 이후 앞니의 교합 상태가 다시 재발되어, 위 아래 앞니끼리 맞물린다며 2차 교정이 필요한지 상담을 받기 위해 내원하셨습니다.


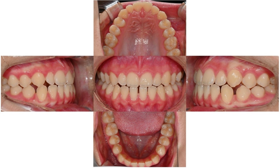
2024.8.12. 초진
초진시 위아래 앞니끼리 맞물리는 절단교합 양상을 보이고 있었으며 아래 앞니는 치아 사이가 많이 벌어져 있었습니다. Cephalometric x-ray 상 아래턱이 발달한 제 3급 부정교합 (주걱턱) 양상을 보이고 있었고, 수완부사진 성장판 검사 결과 SMI 7~8단계에 해당하여 사춘기 최대 성장기는 지난 상태였습니다.

Cephalometric X-ray
아래 앞니에 벌어져 있는 공간은 닫고 위 어금니는 약 1mm 정도의 후방이동을 하여 어금니 교합을 맞춰주기로 하였습니다. 혀로 아래 앞니를 미는 습관이 있어 올바른 혀 위치에 대한 교육도 실시하였습니다.
대치동 교정치과 연세정원치과
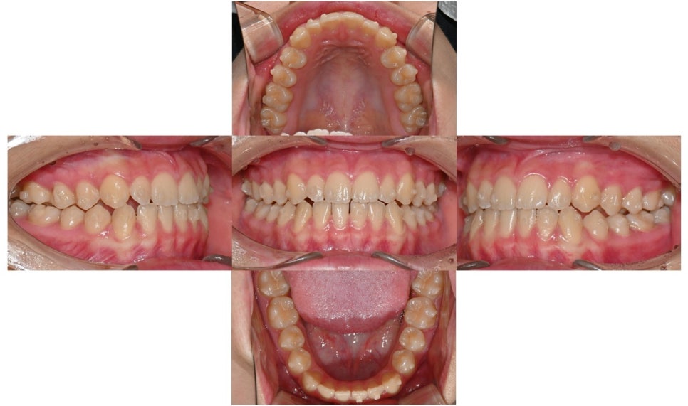
치료 시작 2개월 후로 아래 앞니 공간이 조금씩 닫히고 있습니다. 공간이 닫히며 절단교합이었던 앞니 교합이 조금씩 개선되고 있습니다.상악 어금니들의 이동으로 어금니 교합은 살짝 떠 있는 상태입니다.

치료 시작 2개월 후
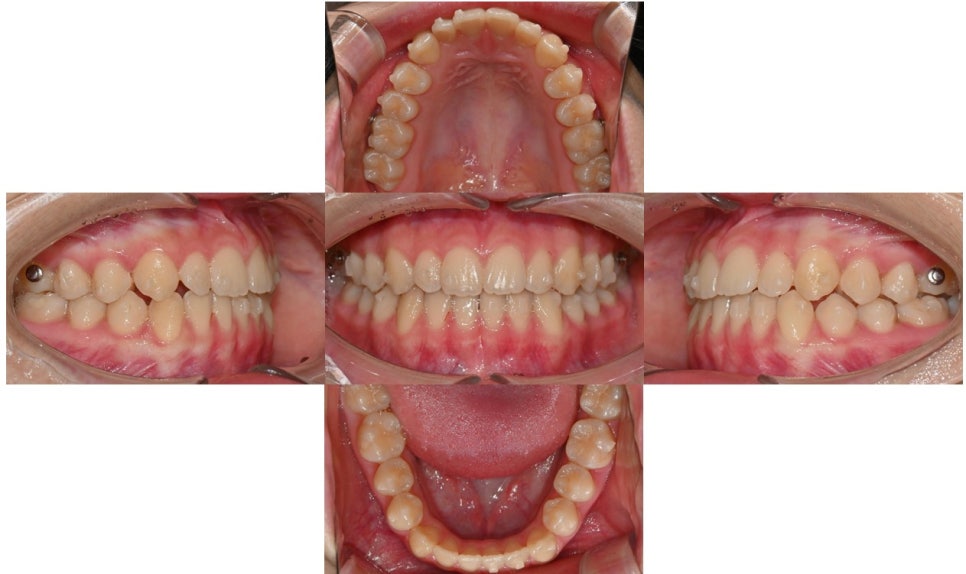
치료 시작 6개월 후 사진으로 아래 앞니 공간은 거의 닫혔으며 4달 전에 비해 어금니 교합도 많이 개선되었습니다. 아직 위아래 앞니 중심선은 일치하지 않습니다.

치료 시작 6개월 후
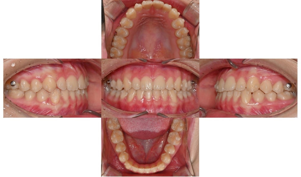
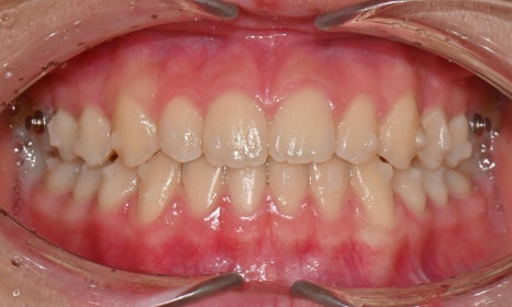
치료 시작 8개월 후 사진으로 치아 사이에 벌어졌던 공간은 거의 다 닫혔으며 어금니 교합도 개선되었습니다. 위아래 치아 중심선도 일치하고 있습니다. 현재 미세하게 치아 위치 조정하며 마무리 중입니다.

치료 시작 8개월 후
아래 그림은 치료 시작 전 및 최근 엑스레이 사진을 중첩한 것으로, 치료 전에 비하여 아래 앞니 공간이 닫히며 뒤로 후방이동하면서 아래 입술도 1mm 정도 들어간 것을 확인할 수 있습니다.

엑스레이 중첩 (superimposition)


치료 전후 구내사진
1차 교정 후 앞니 반대교합이 재발하여 2차 교정을 진행한 케이스이며 성장기 막바지에 있긴 하지만 아직 성장이 끝난 것이 아니므로, 교정 치료가 마무리된 이후 다시 재발되지 않도록 유지 장치 관리를 잘 해주는 것이 중요할 것입니다.

연세정원치과에서는 인비절라인 치아교정을 위해 3D 구강스캐너인 iTero Lumina, 성장판 검사, 모르페우스 안면스캐너를 통한 치료 전후 시뮬레이션 등 필요한 최신의 장비를 모두 보유하고 있어 더욱 정밀하고 체계적으로 치아교정을 진행하실 수 있는 장점이 있습니다.
또한, 치아교정시 정밀진단비, 월비 등의 비용이 포함(단, 유지장치 비용 제외)되어 추가적인 비용 발생에 대한 걱정도 하실 필요가 없습니다. 또한, 일반진료과가 함께 있어 발치나 충치치료 등의 교정에 필요한 모든 치료가 한곳에서 가능하며 목돈이 한번에 나가는 부담을 줄이기 위해 분납제도를 실시하고 있으니 더욱 매력적이라고 할 수 있습니다.

대치동 교정치과 연세정원치과
대표원장 윤정원 원장은 교정과를 책임지고 있으며, 16년 임상기간 동안 교정만을 전문으로하여 고난이도의 수많은 케이스 경험을 가지고 계십니다. 따라서 부정교합, 돌출입, 주걱턱, 무터교정 등 다양한 치아교정에 대해 효과적으로 치료가 가능합니다.
아마도 돌출입, 덧니, 부정교합, 무턱, 주걱턱 등으로 인해 치아교정, 양악수술을 고려하고 계시는 분들께서는 근처 치아교정치과 검색을 통해 많은 정보를 이미 습득하고 계실텐데요. 그렇더라도 실제로 장치별로 비교를 해보고 발치 여부 등 자세한 설명을 듣는다면 결정하시는데 큰 도움이 되실 것입니다.

대치동 인비절라인 연세정원치과
상담시에는 클라리티, 클리피씨, 투명교정 인비절라인 등 다양한 장치를 직접 눈으로 비교해 보시면서 장단점과 치아교정가격, 치아교정종류에 대해서 자세한 설명을 들으실 수 있으니 부담없이 전화 문의 또는 방문하여 상담 받아보시기를 권유해 드립니다.
강남교정치과 대치동 연세정원치과의원은 삼성역, 학여울역, 대치역, 한티역에서 모두 가까워 삼성동, 대치동, 개포동, 도곡동, 역삼동, 일원동, 잠실에서 내원하시기에 매우 편리합니다.
대치동 우성아파트 사거리 BMW 옆 건물
(스타벅스/삼성스토어 건너편)
대치동 교정치과 연세정원치과는
주차가 편리하며 무료입니다
상담 및 문의 : 02-501-2879