연세정원치과
어린이 주걱턱 교정 - 페이스 마스크와 인비절라인 퍼스트
대치동 교정치과 연세정원치과 안녕하세요. 대치동 교정치과 연세정원치과 윤정원 원장입니다. 우리 아이들 치아교정이 필요한 경우 부모로써 많이 걱정되고 알아보시느라 힘드실 겁니다. 특히, 주걱턱과 같은 경우에는 시기가 매우 중요하기 때문에 적절한 타이밍을 놓치지 않도록 신경써 주셔야 하는 것 잊지 말아 주세요. 어...
아카이브 요약
이 페이지의 역할
연세정원치과 Yonsei JW Dental Clinic at Gangnam의 네이버 블로그 원문을 보존한 아카이브 페이지입니다. 인비절라인 카테고리의 어린이 주걱턱 교정 - 페이스 마스크와 인비절라인 퍼스트 글을 통해 병원의 한국어 정보 제공 방식과 진료 관련 안내 톤을 확인할 수 있습니다.

대치동 교정치과 연세정원치과
안녕하세요. 대치동 교정치과 연세정원치과 윤정원 원장입니다.
우리 아이들 치아교정이 필요한 경우 부모로써 많이 걱정되고 알아보시느라 힘드실 겁니다.
특히, 주걱턱과 같은 경우에는 시기가 매우 중요하기 때문에 적절한 타이밍을 놓치지 않도록 신경써 주셔야 하는 것 잊지 말아 주세요. 어린이 교정을 잘 하게 되면 성장을 활용한 교정이 가능해서 많은 장점들이 있습니다.
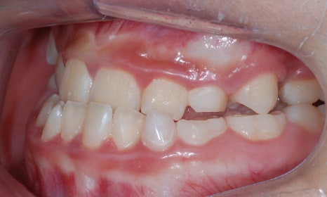
우리가 흔히 주걱턱이라고 하는 제3급 부정교합(Class III malocclusion)의 경우 위턱이 발달하지 못하던가 아래턱이 위턱보다 많이 발달하기 때문에 흔히 앞니 부위의 반대교합 양상이 나타나게 됩니다.
반대교합이란 위 앞니가 아래 앞니를 덮지 못하고 아래 앞니가 더 앞으로 나와 물리는 교합 형태를 말합니다. 이러한 반대교합은 부모님들이 비교적 알아채기 쉬우며, 발견되는 즉시 치료를 해주는 것이 필요합니다.


반대교합 (crossbite)

절단교합 (edge bite)
그러나 제3급 부정교합이지만 반대교합이 아닌 위아래 앞니가 끝끼리 부딪히는 절단교합의 경우에는 부정교합의 문제점을 알아채기 쉽지 않습니다. 이렇게 앞니끼리 부딪히게 되면 앞니에도 과도한 힘이 가해져서 앞니 치아의 뿌리가 짧아질 수 있으며, 잇몸뼈가 내려가거나 잇몸 퇴축이 일어날 수 있습니다.
또한 사춘기 최대 성장기에 키가 크며 아래턱의 성장도 갑자기 많이 일어날 수 있기 때문에, 이러한 절단교합 역시 빨리 치료해주는 것이 좋습니다.
지난 포스팅에서는 어렸을 때 페이스 마스크와 프랑켈 장치(FR III)로 주걱턱 성장교정을 마친 환자가 2차 교정으로 인비절라인으로 치열 개선을 한 케이스에 관하여 알아보았습니다. 그렇다면 페이스 마스크 장치와 인비절라인 치료를 동시에 진행할 수도 있을까요?

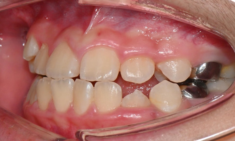
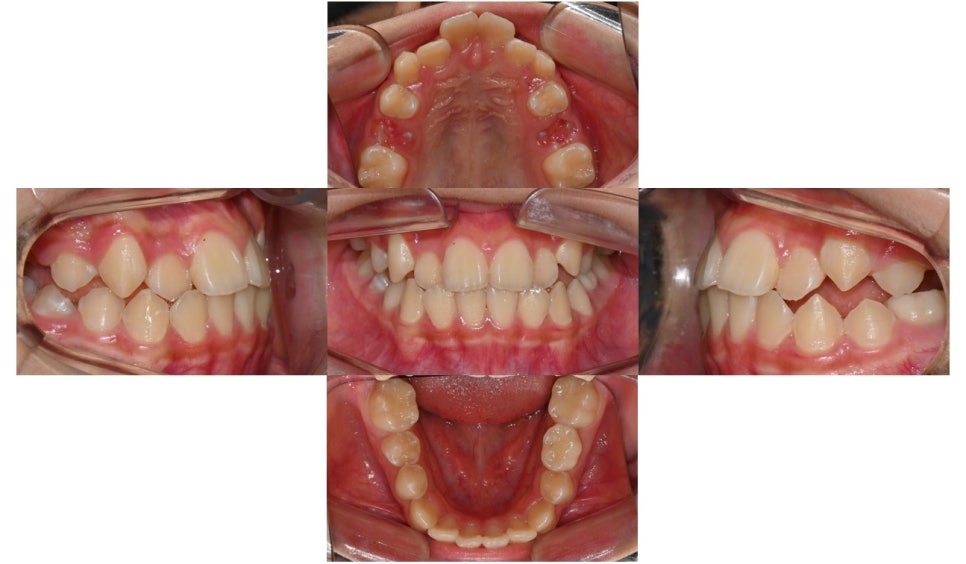
2025년 2월 초진
본 환자는 만 10세 남환으로 소아치과에서 부정교합으로 진단받고 치료를 위해 내원하셨습니다. 정밀검사 결과 제3급 부정교합을으로 송곳니와 어금니는 3급 교합관계를 보이고 있었습니다. 앞니의 반대교합이 심하고 아래턱이 현저하게 많이 발달했을 경우에는 위턱뼈의 확장과 성장교정을 먼저 시행하는 것이 필요합니다.
그러나 본 환자와 같이 제3급 부정교합 양상이 심하지 않은 경우에는 인비절라인 퍼스트 장치로는 악궁의 확장과 치아 배열을 얻고, 페이스 마스크로 위턱뼈의 성장을 촉진시키는 결과를 기대할 수 있습니다.


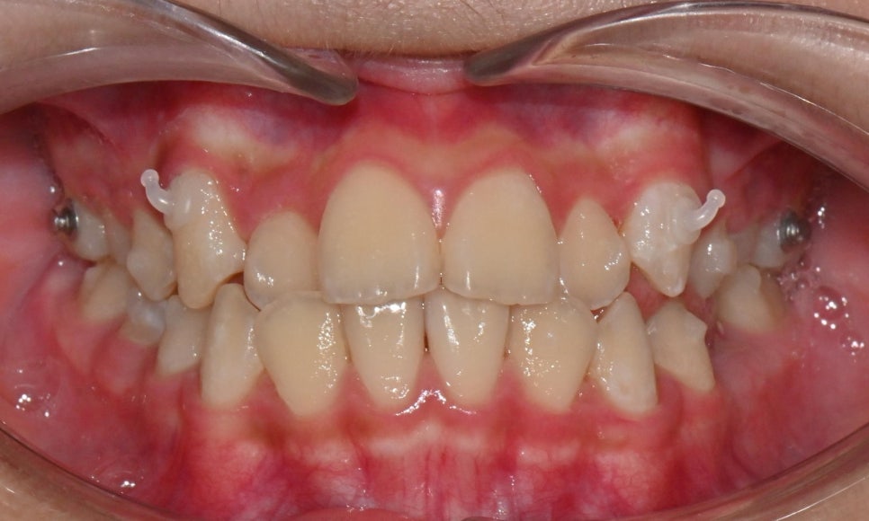
페이스 마스크 (facemask)
위 사진과 같이 송곳니 부위에 페이스 마스크를 착용하기 위한 고무줄을 걸 수 있는 고리를 부여하였습니다. 하루 8~10시간 정도 밤에 잘 때 착용하도록 함으로써 성장이 진행될 때 일종의 유지장치 개념으로 위턱뼈의 성장을 자극할 수 있도록 하였습니다.
이와 같이 인비절라인과 페이스 마스크 또는 무턱치료(Invisalign MA or MAOB)를 병행할 경우 턱뼈의 성장을 촉진시킴과 동시에 치아 배열을 같이 진행할 수 있다는 장점이 있습니다. 물론 모든 케이스에서 이러한 치료를 병행할 수 있는 것은 아니기 때문에 교정치과에서 정밀검진을 통해 먼저 현재의 상태를 정확하게 파악하고 상담하시는 것이 필수입니다.

연세정원치과에서는 인비절라인 치아교정을 위해 3D 구강스캐너인 iTero Lumina, 성장판 검사, 모르페우스 안면스캐너를 통한 치료 전후 시뮬레이션 등 필요한 최신의 장비를 모두 보유하고 있어 더욱 정밀하고 체계적으로 치아교정을 진행하실 수 있는 장점이 있습니다.
또한, 치아교정시 정밀진단비, 월비 등의 비용이 포함(단, 유지장치 비용 제외)되어 추가적인 비용 발생에 대한 걱정도 하실 필요가 없습니다. 또한, 일반진료과가 함께 있어 발치나 충치치료 등의 교정에 필요한 모든 치료가 한곳에서 가능하며 목돈이 한번에 나가는 부담을 줄이기 위해 분납제도를 실시하고 있으니 더욱 매력적이라고 할 수 있습니다.

치과교정학 박사 윤정원 원장
대표원장 윤정원 원장은 교정과를 책임지고 있으며, 16년 임상기간 동안 교정만을 전문으로하여 고난이도의 수많은 케이스 경험을 가지고 계십니다. 따라서 부정교합, 돌출입, 주걱턱, 무터교정 등 다양한 치아교정에 대해 효과적으로 치료가 가능합니다.
아마도 돌출입, 덧니, 부정교합, 무턱, 주걱턱 등으로 인해 치아교정, 양악수술을 고려하고 계시는 분들께서는 근처 치아교정치과 검색을 통해 많은 정보를 이미 습득하고 계실텐데요. 그렇더라도 실제로 장치별로 비교를 해보고 발치 여부 등 자세한 설명을 듣는다면 결정하시는데 큰 도움이 되실 것입니다.

대치동 교정치과 연세정원치과
상담시에는 클라리티, 클리피씨, 투명교정 인비절라인 등 다양한 장치를 직접 눈으로 비교해 보시면서 장단점과 치아교정가격, 치아교정종류에 대해서 자세한 설명을 들으실 수 있으니 부담없이 전화 문의 또는 방문하여 상담 받아보시기를 권유해 드립니다.
강남교정치과 대치동 연세정원치과의원은 삼성역, 학여울역, 대치역, 한티역에서 모두 가까워 삼성동, 대치동, 개포동, 도곡동, 역삼동에서 내원하시기에 매우 편리합니다.
대치동 우성아파트 사거리 BMW 옆 건물
(스타벅스/삼성스토어 건너편)
대치동 교정치과 연세정원치과는
주차가 편리하며 무료입니다
상담 및 문의 : 02-501-2879
더 보기
이 병원의 공개 콘텐츠를 계속 살펴보세요
출처 아카이브로 돌아가 더 많은 글을 보거나, 병원 프로필로 이동해 다른 공개 채널도 함께 비교해보세요.