연세정원치과
ICON Resin Treatment: White Spots on Front Teeth - Are They Cavities?
ICON @ Yonsei JW Dental Clinic Greetings from Yonsei JW Dental Clinic, located in Gangnam, Seoul, South Korea. Are you worried about irregular white spots on your front teeth? Thes...
아카이브 요약
이 페이지의 역할
연세정원치과 Yonsei JW Dental Clinic at Gangnam의 네이버 블로그 원문을 보존한 아카이브 페이지입니다. Whitening / ICON 카테고리의 ICON Resin Treatment: White Spots on Front Teeth - Are They Cavities? 글을 통해 병원의 한국어 정보 제공 방식과 진료 관련 안내 톤을 확인할 수 있습니다.

ICON @ Yonsei JW Dental Clinic
Greetings from Yonsei JW Dental Clinic, located in Gangnam, Seoul, South Korea.
Are you worried about irregular white spots on your front teeth? These spots, often visible on the front teeth, can appear for multiple reasons and may become more noticeable after teeth whitening. But what exactly causes them, and how can they be effectively treated?
What Causes White Spots?
White spots are typically caused by enamel defects during tooth development, leading to incomplete mineralization. When enamel is under-mineralized, it reflects light differently, giving the tooth a white appearance.
External factors can also contribute. For children under six, when permanent teeth are forming inside the gums, excessive fluoride intake can cause fluorosis, resulting in white spots. Permanent front teeth, which are key to aesthetics, start developing around age four. Swallowing fluoride toothpaste during this period can accumulate in the body and create white spots. Additionally, trauma or cavities in baby teeth can damage the developing permanent teeth, causing similar white discoloration.
During orthodontic treatment, poor oral hygiene around brackets can lead to plaque buildup and cavities. Before cavities fully develop, demineralization of the enamel (loss of calcium and phosphate) can occur, forming pores that scatter light and appear as opaque white spots.

front teeth white spots

white spots after orthodontics
ICON Resin Treatment for White Spots at Yonsei JW Dental Clinic
At Yonsei JW Dental Clinic, we treat front tooth white spots using ICON resin infiltration. Unlike traditional methods that require grinding the tooth or covering it with resin or veneers, ICON opens the enamel’s porous structure to allow resin penetration—without removing any tooth material. This approach reduces the risk of resin falling off and requires fewer follow-up treatments, making it a safe, durable solution.
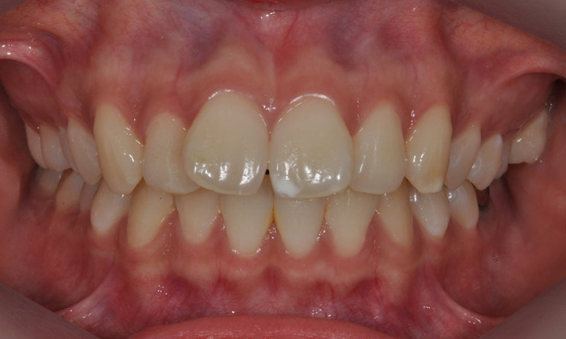
A recent patient visited our clinic with white spots on two lower front teeth that had been present since childhood and had recently turned brown. The brown discoloration was an advanced stage of the original white spots, requiring treatment. One tooth showed minor surface erosion along with the brown area. When brown spots are widespread, it’s often best to start with whitening to lessen their intensity, then perform ICON treatment about two weeks later.


2024.10
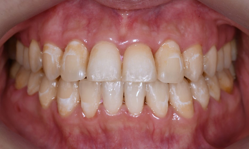
In this case, since the brown spots were limited, we proceeded directly with ICON treatment. The procedure involved cleaning the teeth with fluoride-free polishing paste, etching the surface two to three times with 15% hydrochloric acid to create porosity, applying ICON resin, curing it, and then polishing for a smooth finish. Fortunately, the brown spots were minor and disappeared entirely after etching.

Brown Spots after Etching
Here’s a photo taken immediately after the ICON procedure. You can see significant improvement in both the white and brown spots without additional resin. While the teeth appear slightly dry in the photo, they look naturally aesthetic in a moist oral environment. Results will continue to improve over one to two weeks.




Before & After photos of ICON Treatment
The patient was very satisfied with the outcome. Treatments for white spots often provide high satisfaction, as these spots are long-standing concerns, even if others don’t notice them. If white spots on your front teeth are troubling you, we recommend visiting Yonsei JW Dental Clinic for evaluation and treatment.
In cases of extensive or deep demineralization, completely eliminating white spots may not be possible. If the tooth structure prevents full resin penetration, additional resin treatments may be needed after ICON, so we advise an initial evaluation.
📅 Book Your Appointment Today!
Don’t miss our promotion—contact us now via phone, whatsapp, kakaotalk or instagram to schedule your visit.
Convenient and free parking available
For consultations and inquiries:
02-501-2879
Whatsapp: https://wa.me/8225012879

더 보기
이 병원의 공개 콘텐츠를 계속 살펴보세요
출처 아카이브로 돌아가 더 많은 글을 보거나, 병원 프로필로 이동해 다른 공개 채널도 함께 비교해보세요.