연세정원치과
어린이 치아교정 해야 될까요? 대치동 교정치과
대치동 어린이 치아교정을 위해 교정치과 찾고 계시다면, 연세정원치과 어린이 치아교정 안녕하세요, 대치동 교정치과 연세정원치과의 대표원장 윤정원입니다. 치아교정 상담을 하러 오시는 부모님들께서는 우리 아이가 교정이 필요한지 정도인지에 대해서 많이들 궁금해 하십니다. 누가 봐도 심한 주걱턱이거나 앞니가 반대로 물리는...
아카이브 요약
이 페이지의 역할
연세정원치과 Yonsei JW Dental Clinic at Gangnam의 네이버 블로그 원문을 보존한 아카이브 페이지입니다. 치아교정 카테고리의 어린이 치아교정 해야 될까요? 대치동 교정치과 글을 통해 병원의 한국어 정보 제공 방식과 진료 관련 안내 톤을 확인할 수 있습니다.
대치동 어린이 치아교정을 위해 교정치과 찾고 계시다면,

연세정원치과 어린이 치아교정
안녕하세요, 대치동 교정치과 연세정원치과의 대표원장 윤정원입니다.
치아교정 상담을 하러 오시는 부모님들께서는 우리 아이가 교정이 필요한지 정도인지에 대해서 많이들 궁금해 하십니다. 누가 봐도 심한 주걱턱이거나 앞니가 반대로 물리는 경우라면 외관상 확실히 보이기 때문에 문제가 없을 텐데요. 그렇지 않은 경우에는 치아교정이 필요한지에 대해서 부모님들께서 판단하기가 어려운 경우가 많이 있습니다.
정기 검진을 통해 치과에서 확인하지 않는다면 부모님 입장에서는 교정이 필요한지 혹시나 늦거나 너무 빠른것은 아닌지 등을 확인하는게 쉽지 않으실 겁니다. 사실 덧니도 내 아이라면 귀여워보이는게 부모 마음 아니겠습니까?
어린이 치아교정은 어떤 경우에 필요할까요?
- 턱 성장의 불균형이 있는 경우
정상적으로 치아가 물리는 상태는 위 앞니가 아래 치아를 살짝 덮고 있는 것입니다. 아래턱이 위턱보다 더 발달한 경우 앞니가 반대로 물리게 되는데요, 이럴 때에는 발견하는데로 치료가 필요합니다. 이러한 반대교합은 방치할 경우 심하게 주걱턱이 되고 성인이 되면 수술교정까지 필요할 가능성이 매우 높기 때문입니다.

주걱턱
반대교합은 성장기 시기에 치료한다면 효과가 상대적으로 매우 좋습니다. 따라서, 발견되는 즉시 교정치과에 내원하셔서 정밀 검사를 받아보시는 것이 필요해요.

무턱
위의 그림과 같이 위턱보다 아래턱이 작은 경우인 무턱은, 주걱턱보다는 상대적으로 치료 시작 시기가 여유 있는 편이에요. 무턱 치료는 '사춘기 최대 성장기', 즉, 여자아이들의 경우에 만 1012세 정도, 남자아이들은 이보다 2년 정도 늦은 만 1214세 정도에 키가 갑자기 확 크게 되는데 이때 시작하는게 좋아요. 이 시기는 키뿐만 아니라 얼굴뼈의 성장도 두드러지는 때인데요, 빠르게 진행되는 골격 성장을 이용하여 무턱을 효과적으로 개선할 수 있답니다.
정확한 교정치료의 시기를 판단하기 위해서는 성장판 검사(손 엑스레이 사진) 등과 함께 정밀 검사를 통해 결정하는 것이 중요하답니다.
- 유치가 예정보다 빨리 빠진 경우
넘어지거가 부딪혀서 유치를 다치거나, 충치 등의 이유들로 인해 원래 빠져야 할 시기보다 유치가 빨리 빠지게 된 경우에는 그 공간을 유지해 주지 않으면 주변에 치아들이 빈 공간으로 이동하게 되는데요. 나중에 영구치 나올 공간이 부족해 지게 된답니다. 이렇게 되면 치아가 원래 위치가 아닌 곳에서 나오고 덧니가 생기거나 치아 사이 잇몸뼈에 박히면 아예 나오지 못할 수도 있게 됩니다.
유치가 빨리 빠져서 영구치가 나올 때까지 그 공간을 유지하기 위해서는 공간유지장치를 해야 하는데, 보통은 부모님들꼐서 유치가 원래 빠져야할 시기보다 빨리 빠진 것인지, 얼마나 빨리 빠진 것인지 알기가 쉽지 않지요. 그래서 가급적이면 정기적으로 치과에 가서 검진을 하는 것이 좋은 이유랍니다.
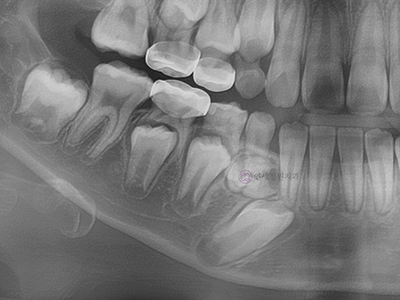
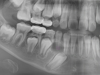
- 매복치 또는 과잉치
만 6~7세부터 유치가 빠지고 영구치가 나기 시작하는데요. 만약에 영구치가 올라오는 맹출 경로에 이상이 생긴다면, 치아가 올라오지 못하고 갇혀 매복치가 되거나, 정상 치아 개수보다 많은 과잉치로 인해 올라오지 못하거나, 교합에 문제가 발생할 수 있습니다. 자신도 모르는 사이 뼈 속에 묻혀있는 치아가 어긋날 수 있는 것입니다.
이런 경우에는 수술적 치료와 동반하여 과잉치를 제거하거나 매복된 치아를 교정적 힘을 이용해 제자리로 위치시키는 치료가 필요합니다.


2024.8 연세정원치과
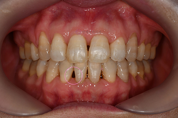
- 삐뚤빼뚤한 치아
주걱턱, 무턱 등과 같은 골격적인 문제는 없고 치아의 위치나 배열 등의 문제인 경우라면 유치가 빠지고 영구치가 거의 올라오는 초등학교 고학년~중학생 정도 이후에 치아 교정을 시작하면 됩니다.
어차피 크면 교정 다시 하는 거 아닌가요? 미리 해야 할 필요가 있나요?
골격적인 문제를 교정해야할 필요가 없다면 굳이 지금 교정을 시작해야 할 필요가 있는지도 많이 여쭤보시는 질문 중 하나입니다. 물론 성인이 되어서 해도 되고, 나이가 들어서 해도 됩니다. 언제 시작하든 교정은 할 수 있습니다. 그러나, 기왕에 할 교정이라면 저는 어릴 때 해주는 것이 좋다라고 생각합니다.
성장기 아이들은 성인처럼 잇몸뼈가 아직 단단하지 않기 때문에, 같은 치료 계획의 교정 치료를 한다 해도 성인보다 치아 이동 속도가 빨라서 짧은 기간 안에 치료가 가능합니다.
또한 치아가 잘 움직이기 때문에 성인이 됐을 때 치아를 발치하거나 수술을 해야 하는 케이스도 어릴 때 교정을 하면 비발치로 진행할 수 있는 확률이 높습니다. 특히 주걱턱, 무턱과 같은 어린이교정의 경우는 어렸을 때 투자한 몇개월의 치료로 성인이 되었을 때 해야 하는 악교정 수술(양악 수술) 만큼의 효과를 얻을 수 있습니다.
어릴 때 교정을 할 수록 교정 치료시 동반되는 부작용도 최소화시킬 수 있습니다. 어릴 때 교정치료를 받을수록 교정 후 블랙트라이앵글(잇몸뼈가 내려가서 치아 사이에 구멍이 뚫린 것처럼 까맣게 보이는 삼각형 모양의 빈 공간)이 생기는 케이스는 거의 드뭅니다.

교정치과 연세정원치과
그리고, 저는 무엇보다 아이들이 자신감있게 활짝 웃었으면 좋겠습니다. 위 앞니가 튀어나왔다고, 치아가 삐뚤빼뚤하다고 아이들이 본인의 외모에 자신감을 갖지 못하거나, 웃을 때 입을 가리고 웃지 않기를 바랍니다. 초등학생~중학생 시기는 감수성이 예민하고 외모에 관심이 높아지는 시기이기 때문에, 치아 교정으로 가지런한 치아를 가지게 된다면 아이들이 자신감도 회복하고 정서적으로도 안정이 될 수 있을 것입니다.
치아 교정 치료는 만 7세 때 검사를 받아보실 것을 추천합니다. 이 시기가 되면 무턱이나 주걱턱 등의 턱 교정이나 매복치 및 과잉치 등 어떤 치료도 가능합니다. 미국교정학회(AAO)에서도 만 7세에 검사를 받을 것을 권장하고 있습니다. 특히 초등학생에 해당하는 만 7~12세는 혼합치열기로, 유치가 빠지고 영구치가 올라오면서 많은 변화가 일어나기 때문에 앞으로 영구치를 잘 사용할 수 있도록 기반을 만들어주는 것이 중요합니다.
대치동 교정치과 연세정원치과에서는 치아교정을 할 때 정밀진단비, 월비 등의 비용이 포함(단, 유지장치 비용 제외)되어 추가적인 비용 발생에 대한 걱정이 없습니다. 또한, 일반진료과가 함께 있어 발치나 충치치료 등의 교정에 필요한 모든 치료가 한곳에서 가능하며 목돈이 한번에 나가는 부담을 줄이기 위해 분납제도를 실시하고 있습니다.
교정과를 책임지고 계시는 윤정원 대표원장은 16년 임상기간 동안 교정만을 전문으로하여 고난이도의 수많은 케이스 경험을 가지고 계십니다. 따라서 부정교합, 돌출입, 주걱턱 등 다양한 치아교정 케이스에 대해 효과적으로 치료가 가능합니다.

치과교정학 치의학 박사 윤정원 원장
대치동 교정치과 연세정원치과에 방문하시면 별도의 비용없이 간단한 구강검진을 통해 현재 상태를 정확히 파악하실 수 있고, 상담시에는 클라리티, 클리피씨, 인비절라인 등 다양한 장치를 직접 눈으로 비교해 보시면서 장단점에 대해서 자세한 설명을 들으실 수 있으니 편하게 상담문의해 주시기 바랍니다.
연세정원치과의원에서는 치아교정을 위해 3D 구강스캐너인 iTero Lumina, 성장판 검사, 모르페우스 안면스캐너를 통한 치료 전후 시뮬레이션 등 필요한 최신의 장비를 모두 보유하고 있어 더욱 정밀하고 체계적으로 치아교정을 진행하실 수 있는 장점이 있습니다.
아마도 돌출입, 덧니, 부정교합, 주걱턱 등으로 인해 교정을 고려하고 계시는 분들께서는 검색을 통해 많은 정보를 이미 습득하고 계실텐데요. 그렇더라도 실제로 장치별로 비교를 해보고 자세한 설명을 듣는다면 결정하시는데 큰 도움이 되실 것입니다.
연세정원치과는 주차가 편리할 뿐만 아니라 삼성역, 학여울역, 대치역, 한티역에서 모두 가까워 삼성동, 대치동, 개포동, 일원동, 도곡동, 역삼동, 잠실에서도 내원하시기에 매우 편리합니다.
대치동 우성아파트 사거리 BMW 옆 건물
(스타벅스/삼성스토어 건너편)
대치동 교정치과 연세정원치과는
주차가 편리하며 무료입니다
상담 및 문의 : 02-501-2879
더 보기
이 병원의 공개 콘텐츠를 계속 살펴보세요
출처 아카이브로 돌아가 더 많은 글을 보거나, 병원 프로필로 이동해 다른 공개 채널도 함께 비교해보세요.