연세정원치과
대치동교정치과, 무턱 성장교정과 엑티베이터
대치동 교정 잘하는 치과를 찾고 있다면, 대표원장님이 직접 1:1로 교정해주는 곳 찾고 있다면, 대치동 교정치과 연세정원치과 안녕하세요, 대치동 교정치과인 연세정원치과 대표원장 윤정원입니다. 예전 포스팅에서 적절한 시기의 유치 발치와 영구치 맹출 공간을 확보해주는 치료의 중요성을 설명드렸었어요. 오늘은 2급 부정교합...
아카이브 요약
이 페이지의 역할
연세정원치과 Yonsei JW Dental Clinic at Gangnam의 네이버 블로그 원문을 보존한 아카이브 페이지입니다. 치아교정 카테고리의 대치동교정치과, 무턱 성장교정과 엑티베이터 글을 통해 병원의 한국어 정보 제공 방식과 진료 관련 안내 톤을 확인할 수 있습니다.
대치동 교정 잘하는 치과를 찾고 있다면, 대표원장님이 직접 1:1로 교정해주는 곳 찾고 있다면,

대치동 교정치과 연세정원치과
안녕하세요, 대치동 교정치과인 연세정원치과 대표원장 윤정원입니다.
예전 포스팅에서 적절한 시기의 유치 발치와 영구치 맹출 공간을 확보해주는 치료의 중요성을 설명드렸었어요.
오늘은 2급 부정교합 무턱 교정에 대해서 이야기 해 볼 거에요.
무턱은 위턱의 성장이 많거나 아래턱의 열성장에 의해서 악골간 성장 부조화가 있으면 발생하게 되는 것이랍니다. 성장교정의 목적은 이러한 악골간 부조화를 감소시켜주거나 성장방향을 바꿔주는 것인데요. 남아있는 치아의 배열은 영구치가 모두 맹출한 뒤에 2차 교정으로 해결하게 됩니다.

2024.7


2024.7
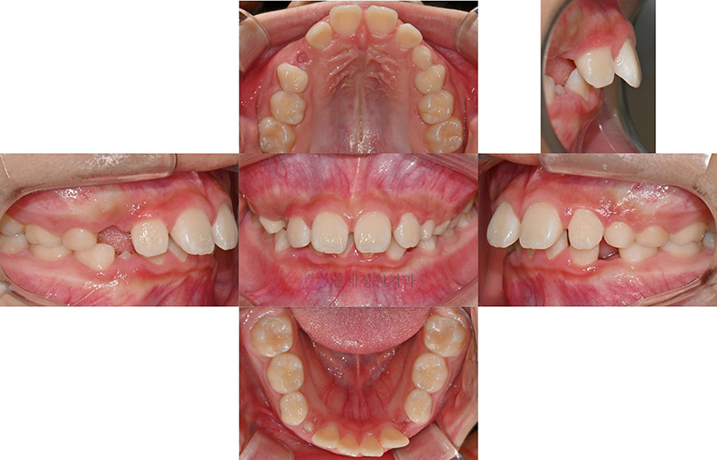
위 케이스는 아래턱의 성장이 부족하여 위 치아는 돌출되어 있으며 힘을 주어야 입술을 다물 수 있고, 근육에 힘이 들어가다보니 턱 밑에 호두 주름이 생겼지요. 게다가 아래 입술에는 그림자가 생기게 되었답니다. 위 앞니가 돌출되어 있고 깊게 물리다보니 아래 치아는 잘 보이지 않게 되구요.
이런 경우 아래턱의 위치를 앞으로 내밀어주어 과개교합을 개선하기 위한 Activator 장치를 착용합니다. 수직적인 성장도 함께 조절해 주기 위하여 헤드기어라는 장치도 함께 착용합니다.


엑티베이터

엑티베이터
이러한 성장 교정의 경우 치료 시기를 놓치지 않는 것이 중요합니다. 성장교정의 경우 손 엑스레이를 촬영하여 성장판 검사를 통해 그 치료 시기를 결정하게 됩니다. 소아청소년은 '사춘기 최대 성장기'에 키가 급격하게 자라게 되는데, 이 시기의 신체 변화는 얼굴뼈와 치열의 성장에도 많은 영향을 끼치게 됩니다.
따라서 이 '사춘기 최대 성장기'는 어린이의 교정치료에 있어 매우 중요한 시기입니다. 적절한 시기에 적절한 치료를 해줌으로써 외모가 악화되는 것을 방지할 수 있으며, 성장이 완료되었을 때 좀더 수월하게 교정 치료를 할 수 있도록 해줍니다.
주걱턱의 경우에는 앞니가 거꾸로 물리는 것이 발견되는 즉시 치료를 빨리 시작하는 것이 좋으나, 무턱의 경우에는 이 '사춘기 최대 성장기'에 맞춰 치료를 해주는 것이 이 시기의 빠른 성장을 이용하여 무턱을 효과적으로 개선할 수 있습니다.
액티베이터 장치의 효과
액티베이터 장치의 효과는 다음과 같습니다. 아래턱을 앞으로 내민 상태로 장치를 만들어줌으로써 비정상적인 입 주위 근육의 기능을 제거해주고, 이 위치에서 주변의 연조직과 근육이 신장하게 합니다.
원래 위치로 당기는 근육의 힘에 의해 아래 앞니는 약간 바깥으로 뻗치게 되고, 반대로 위 앞니는 안쪽으로 힘을 받게 됨으로써, 새로운 위치에 적응된 골 구조와 치아의 각도를 만들어주게 됩니다.

액티베이터의 작용기전
성장교정의 장점
소아청소년 교정 치료의 골든타임을 놓치지 않기 위해 만 6~7세경 교정 정밀 검사를 받아보실 것을 추천드립니다. 이는 적절한 시기에 치료를 해줌으로써 외모가 악화되는 것을 방지하여 좀 더 수월하게 교정 치료를 할 수 있도록 해주는 첫걸음이라고 할 수 있습니다.






Previous image Next image
성장교정의 장점
대치동 교정치과 연세정원치과에서는 치아교정을 할 때 정밀진단비, 월비 등의 비용이 포함(단, 유지장치 비용 제외)되어 추가적인 비용 발생에 대한 걱정이 없습니다. 또한, 일반진료과가 함께 있어 발치나 충치치료 등의 교정에 필요한 모든 치료가 한곳에서 가능하며 목돈이 한번에 나가는 부담을 줄이기 위해 분납제도를 실시하고 있습니다.
교정과를 책임지고 계시는 윤정원 대표원장은 16년 임상기간 동안 교정만을 전문으로하여 고난이도의 수많은 케이스 경험을 가지고 계십니다. 따라서 부정교합, 돌출입, 주걱턱 등 다양한 치아교정 케이스에 대해 효과적으로 치료가 가능합니다.

연세정원치과 대표원장 윤정원
대치동 교정치과 연세정원치과에 방문하시면 별도의 비용없이 간단한 구강검진을 통해 현재 상태를 정확히 파악하실 수 있고, 상담시에는 클라리티, 클리피씨, 인비절라인 등 다양한 장치를 직접 눈으로 비교해 보시면서 장단점에 대해서 자세한 설명을 들으실 수 있으니 편하게 상담문의해 주시기 바랍니다.
연세정원치과의원에서는 치아교정을 위해 3D 구강스캐너인 iTero Lumina, 성장판 검사, 모르페우스 안면스캐너를 통한 치료 전후 시뮬레이션 등 필요한 최신의 장비를 모두 보유하고 있어 더욱 정밀하고 체계적으로 치아교정을 진행하실 수 있는 장점이 있습니다.
아마도 돌출입, 덧니, 부정교합, 주걱턱 등으로 인해 교정을 고려하고 계시는 분들께서는 검색을 통해 많은 정보를 이미 습득하고 계실텐데요. 그렇더라도 실제로 장치별로 비교를 해보고 자세한 설명을 듣는다면 결정하시는데 큰 도움이 되실 것입니다.

대치동 교정치과
연세정원치과는 주차가 편리할 뿐만 아니라 삼성역, 학여울역, 대치역, 한티역에서 모두 가까워 삼성동, 대치동, 개포동, 일원동, 도곡동, 역삼동, 잠실에서도 내원하시기에 매우 편리합니다.
대치동 우성아파트 사거리 BMW 옆 건물
(스타벅스/삼성스토어 건너편)
대치동 교정치과 연세정원치과는
주차가 편리하며 무료입니다
상담 및 문의 : 02-501-2879
더 보기
이 병원의 공개 콘텐츠를 계속 살펴보세요
출처 아카이브로 돌아가 더 많은 글을 보거나, 병원 프로필로 이동해 다른 공개 채널도 함께 비교해보세요.