연세정원치과
대치동교정치과에서 정밀진단은 어떤 건가요? 연세정원치과
치아교정을 위해서 대치동 교정치과를 찾고 계신다면, 정밀진단이 필요하다고 하는데 뭔지 궁금하다면 교정치과 정밀진단 안녕하세요. 대치동 교정치과 연세정원치과의원의 대표원장 윤정원 입니다. 시험 기간이 끝나면 많은 학생분들이 교정 상담을 하러 오시는데요. 오늘은 치아교정 상담이 어떤 과정을 거쳐 이루어지는지에 대하여...
아카이브 요약
이 페이지의 역할
연세정원치과 Yonsei JW Dental Clinic at Gangnam의 네이버 블로그 원문을 보존한 아카이브 페이지입니다. 치아교정 카테고리의 대치동교정치과에서 정밀진단은 어떤 건가요? 연세정원치과 글을 통해 병원의 한국어 정보 제공 방식과 진료 관련 안내 톤을 확인할 수 있습니다.
치아교정을 위해서 대치동 교정치과를 찾고 계신다면, 정밀진단이 필요하다고 하는데 뭔지 궁금하다면

교정치과 정밀진단
안녕하세요. 대치동 교정치과 연세정원치과의원의 대표원장 윤정원 입니다.
시험 기간이 끝나면 많은 학생분들이 교정 상담을 하러 오시는데요. 오늘은 치아교정 상담이 어떤 과정을 거쳐 이루어지는지에 대하여 설명드리려고 합니다.
문진표 작성
먼저 문진표에 본인이 치료받고 싶은 내용과 몇 가지 질문사항에 대해 답변을 작성합니다. 문진표를 통해 환자가 어떤 부분을 고치고 싶어하는지, 환자가 가지고 있는 구강 습관은 어떤 것이 있는지, 환자가 처한 특수한 상황(유학 여부, 군입대 여부, 결혼 계획 등)은 없는지 등을 파악하게 됩니다.
간혹 교정 치료를 받으러 오신 분들 중 그냥 봐서는 교정 마무리 후 모습이라고 할 수 있을 정도로 치열이 가지런한 분들도 계시고, 교정치과의사인 저도 왜 교정을 받으려고 하시는지 궁금증이 드는 분들도 계십니다. 그래서 문진표 작성과 이에 관한 환자분들의 이야기를 들어보는 것이 가장 중요한 교정 상담의 첫 걸음이라고 생각합니다.
파노라마 촬영 및 구내 사진 촬영
문진표 작성 후 교정치과 연세정원치과에서는 먼저 전체적인 치아 상태를 알 수 있는 파노라마 사진과 구내 사진을 루틴하게 촬영한 후 상담을 시작합니다. 그냥 구강 검진만 한 후에 상담을 해드려도 되지만, 이렇게 환자분과 함께 본인의 구강 상태를 눈으로 확인하며 설명해드리면 환자분들 혹은 보호자분들께서도 잘 몰랐던 구강 내 상태를 조금 더 쉽게 이해를 하시더라구요.

파노라마 사진 및 구강사진
본인이 고치고 싶은 부분, 그 외에 현재 치료가 필요한 부분들과 가능한 치료 방법들을 설명드린 후 정밀 진단을 원하시는 경우 아래 7가지의 정밀 검사를 시행합니다.

교정치과 연세정원치과 정밀진단
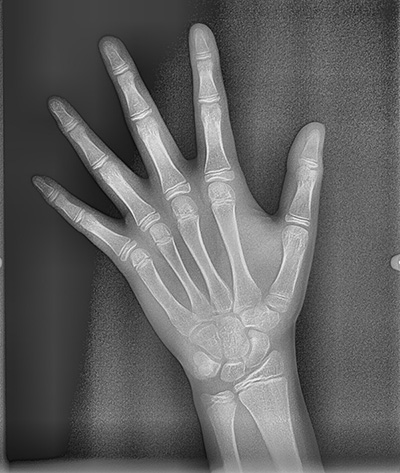
측모, 정면 및 수완부(손) 엑스레이 및 CT 촬영
처음에 먼저 찍었던 파노라마 엑스레이 촬영 이외에 옆 얼굴의 엑스레이 촬영도 합니다. 이러한 옆얼굴 엑스레이는 V ceph 이라고 하는 분석 프로그램을 통해 옆 얼굴의 골격과 연조직의 계측점을 측정하여 골격 형태를 분석하는데 사용됩니다.
제가 수련받을 때는 하나하나 계측점을 손으로 클릭하고 선도 직접 그려서 얼굴뼈와 연조직의 형태를 따라 그리는 트레이싱 이라는 작업을 했는데, 요즘에는 auto tracing 이라는 기능이 생겨서 클릭만 하면 바로 트레이싱이 되어 빠르게 분석을 할 수 있습니다. 예전보다는 자동으로 그리는 기능의 정확도가 훨씬 높아지긴 했지만, 아무래도 몇 개 계측점 정도는 손으로 수정해주는 작업이 (굳이 안해도 되지만 성격상 저는) 필요하긴 합니다 :)
측모 엑스레이 분석 결과 아래와 같은 결과들이 나오게 되는데, 이를 통해 골격의 형태와 치아의 위치관계 등을 알 수 있습니다.


측모 엑스레이 결과
옆얼굴 뿐만 아니라 정면 얼굴 엑스레이와 어린이들의 경우 현재 성장단계는 어떠한지 알기 위하여 손사진도 같이 촬영합니다. CT 촬영이 필요한 경우에는 추가로 CT 촬영도 하게 되지요.


성장단계 검사
iTero Lumina 구강스캔
예전에는 치아의 배열과 교합을 알기 위하여 알지네이트라는 재료로 치아 본을 뜨는 과정이 있었는데요. 본을 뜨는 과정에서 알지네이트가 목구멍 쪽으로 넘어가거나 하면 헛구역질을 하는 경우도 있어서 환자분들도 많이 힘들어하셨습니다. 그러나 요즘은 구강스캐너로 카메라 사진 찍듯이 빠르게 스캔만 하면 되기 때문에 힘들게 치아 본을 뜨는 과정도 필요 없고, 치아 모형에 석고를 부어서 굳기까지 기다리는 시간도 필요 없게 되었습니다.
대치동 교정치과 연세정원치과에서는 iTero Lumina 라고 하는 가장 최신형의 구강스캐너로 구강 스캔을 진행하고 있습니다. iTero Lumina는 기존 스캐너에 비하여 스캐너 완드 사이즈가 작아지고, 카메라 갯수도 많아져서 더 빠르고 손쉽게 스캔이 가능해졌습니다 :)
이리저리 돌려보며 치아의 형태와 교합 상태를 직접 볼 수 있고, 교정 치료 후의 상태를 시뮬레이션하여 볼 수도 있습니다. 해상도도 매우 뛰어나서 충치나 치아 사이의 치석은 물론 치아 표면의 미세한 굴곡까지 선명하게 확인이 가능합니다.

대표원장 윤정원

구강스캔 연세정원치과
얼굴 사진 촬영
초진 상담시 구내 사진은 촬영했고, 정밀 검사시에는 얼굴 사진도 촬영합니다. 스튜디오에서 사진 찍을 때 번쩍 번쩍 불이 들어오는 소프트박스까지 설치해서 얼굴 사진도 여권 사진 수준으로 예쁘게 촬영합니다 :)
사실 처음에 인테리어 공사를 마무리했을 때 소프트 박스는 고려도 안하고 얼굴 사진을 찍는 포토존을 상담실 안쪽에 만들었었는데요. 사진을 찍어보니 영.... 제 마음에 들지 않더라구요. 그림자도 생기고, 얼굴에도 빛이 반사되서 밝은 부분도 보이구요. 그래서 인테리어 마무리 후 추가 공사가 필요하긴 했지만 예진실에 공간을 마련하여 소프트 박스를 설치하게 되었답니다! ㅎㅎ 그래서 이젠 얼굴 사진도 예쁘게 찍을 수 있지요.
모르페우스 3D 얼굴스캔
그리고, 마지막으로 모르페우스라고 하는 기계로 3D 얼굴 스캔을 합니다. 얼굴 스캔을 통해 현재 얼굴의 비대칭 정도도 확인할 수 있고, 좌우 얼굴 근육의 볼륨도 비교해볼 수 있습니다. 무엇보다 교정 치료나 양악 수술 후의 얼굴 형태의 변화도 직접 시뮬레이션해볼 수 있기 때문에 정밀 진단시 얼굴 스캔도 같이 진행하게 됩니다.


모르페우스 연세정원치과

치아교정 시뮬레이션 연세정원치과
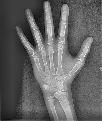
뷰노매드 본에이지 성장판 검사
아이들의 경우 추가적으로 성장판 검사도 진행하는데요. 뷰노매드 본에이지 검사는 손 엑스레이 사진을 판독하여 현재의 뼈나이와 예상 신장을 알려주는 검사입니다. 뷰노매드 본에이지는 약 72.5% 정도의 정확성을 갖는 검사로, 의사가 눈으로 판독했을 때보다 판독 일치도는 15% 이상 향상된 프로그램입니다.
요즘 진단을 해보면 어머님들께서 확실히 성장판 검사에 대한 관심이 아주 높더라구요. 아무래도 주변에 성장 주사를 맞는 아이들도 많다보니, 아이들의 키가 어느 정도까지 클지 많이들 궁금해하십니다. 손 엑스레이 사진을 촬영한 후 뷰노매드 본에이지 검사를 시행하여 예상 신장 결과를 정밀 진단때 설명해드리는데 어머님들의 만족도가 아주 높습니다 :) (저도 호기심에 제 아들 손사진을 찍어보았는데 예상키가 191.8cm가 나와서 깜짝 놀랐습니다 ㅎㅎㅎ)


뷰노매드 본에이지 검사 연세정원치과
30~40분 정도의 정밀 검사를 진행한 후 환자분들은 다음 정밀 진단 예약을 잡게 됩니다.
다양한 검사 자료를 채득하는 것은
누구나 할 수 있습니다. 하지만...
그러나, 이 많은 자료들을 다각도로 분석하여 치료 계획을 세우는 것은 아무나 할 수 있는 것은 아닙니다. 4년간의 신촌세브란스 치과대학병원 인턴 및 레지던트 시절과 16년이 넘는 교정 치료 임상 경험을 통하여 축적된 지식과 노하우를 바탕으로, 여러 스텝의 정밀 검사를 통해 얻은 자료들을 세밀하게 분석하여 환자의 현재 상태를 파악하고, 가능한 그리고 현재 상황에 맞는 치료 방법들을 계획합니다.
교정 진료만 16년 넘게 하다보니 물론 환자의 얼굴과 구강 사진만 봐도 어느 정도의 치료 계획은 나오지만, 이러한 정밀 검사를 통해 간단 상담 때 캐치하지 못했던 내용들을 파악할 수 있으며 좀 더 다양한 치료 옵션들을 고민하며 치료 계획을 세밀하게 다듬을 수 있습니다.
연세정원치과는 여러분의 환한 웃음과 자신감을 찾아드리기 위해 최선을 다하겠습니다. 감사합니다 :)
치아교정을 위해 치과를 고르신다면, 아무래도 경험이 많은 의사에게 진행하는 것을 추천드려요.
연세정원치과 윤정원 대표원장님은 16년 이상을 교정진료에 전념하여 지금까지 6,000명이 넘는 다양한 교정진료 케이스를 하셨답니다. 연세대학교 치과병원 출신의 교정과 치의학박사이자 외래교수이시고 한데요. 대표원장님이다 보니 병원에 늘 상주하시고 중간에 담당의사가 변경되거나 하는 경우도 없으니 마음 편하게 치료하실 수 있을거에요. 아무래도 예약이 자유롭고 응급상황에 대처가 더 나은 장점도 있습니다.
오랜 교정진료 경험으로 타 치과에서 주걱턱 수술 진단을 받았지만, 비수술 치아교정으로 치료가 가능한 고난이도 케이스 경험도 많으셔서 교정을 원하시는 분들이 어떤 경우라도 좋은 진료를 받으실 수 있습니다.

연세정원치과 윤정원 원장
또한, 일반진료를 담당하고 계시는 치과보철과 전문의 안지호 원장님이 계시어, 발치나 충치 등 교정을 진행하면서 발생할 수 있는 치과 치료를 받기 위해 다른 치과에 방문해야 하는 번거로움 없이 저희 연세정원치과 한 곳에서 치료가 모두 가능하다는 장점이 있습니다. 따라서, 교정치료를 받기 위해 필요한 모든 것을 한 곳에서 해결할 수 있으며 수준 높은 진료를 선보인다고 할 수 있습니다.
시설면에서도 Panoramic X-ray, 낮은 방사선량의 3D CBCT, iTero Lumina 3D 구강스캔, Morpheus 3D 촬영을 통한 전후의 시뮬레이션, VUNO Med®-BoneAge™ (성장판 검사)를 활용한 자녀들의 성장량에 따른 교정시기 결정 등 최신 장비들을 이용한 7단계의 체계적인 진단 시스템을 갖추고 있습니다.
더 나아가 연세정원치과에서는 진료 시 사용하는 기구에 대한 멸균과 더불어 노바케어 시스템을 활용하여 무균진료수를 사용하기 때문에 진료수에 대한 걱정도 하실 필요가 없으며, 전열교환기를 활용한 효율적인 공기순환시스템 및 이중필터(헤파필터 및 프리필터)를 활용한 안전한 공기청정시스템으로 쾌적한 실내 공기를 유지합니다.

치아교정을 하려고 고민하시고 계시다면, 더 이상 미루지 마시고 편하게 연세정원치과에 문의해 주시면 자세한 상담을 진행해 드리도록 하겠습니다. 연세정원치과의 치아교정은 정밀진단비, 월비 등의 비용이 포함(단, 유지장치 비용 제외)되어 추가적인 비용 발생에 대한 걱정도 하실 필요가 없습니다. 또한, 일반진료과가 함께 있어 발치나 충치치료 등의 교정에 필요한 모든 치료가 한곳에서 가능하며 목돈이 한번에 나가는 부담을 줄이기 위해 분납제도를 실시하고 있으니 더욱 매력적이라고 할 수 있습니다.
대치동 교정전문치과 연세정원치과에 방문하시면 별도의 비용없이 간단한 구강검진을 통해 현재 상태를 정확히 파악하실 수 있고, 교정진료 시 다양한 교정장치에 대한 설명도 들으실 수 있으니 편하게 상담문의해 주시기 바랍니다.
상담시에는 클라리티, 클리피씨, 인비절라인 등 다양한 장치를 직접 눈으로 비교해 보시면서 장단점에 대해서 자세한 설명을 들으실 수 있으니 부담없이 전화 문의 또는 방문하여 상담 받아보시기를 권유해 드립니다.
연세정원치과는 삼성역, 학여울역, 대치역, 한티역에서 모두 가까워 삼성동, 대치동, 개포동, 도곡동, 일원동, 역삼동, 잠실에서 내원하시기에 매우 편리합니다.
대치동 우성아파트 사거리 BMW 옆 건물
(스타벅스/삼성스토어 건너편)
대치동 교정치과 연세정원치과는
주차가 편리하며 무료입니다
상담 및 문의 : 02-501-2879
더 보기
이 병원의 공개 콘텐츠를 계속 살펴보세요
출처 아카이브로 돌아가 더 많은 글을 보거나, 병원 프로필로 이동해 다른 공개 채널도 함께 비교해보세요.