연세정원치과
교정 치료 후 치아 미백
교정 치료 후 치아 미백, 연세정원치과 안녕하세요. 대치동 연세정원치과 대표원장 윤정원 입니다. 오늘은 교정 치료 이후의 미백 치료에 대하여 이야기해보려고 합니다. 최근 환자분들은 단순히 교정 치료만으로 만족하지 않고, 교정 치료 이후 마지막 심미적 완성도를 위해 교정 치료와 함께 미백이나 라미네이트 등 다양한 심미치...
아카이브 요약
이 페이지의 역할
연세정원치과 Yonsei JW Dental Clinic at Gangnam의 네이버 블로그 원문을 보존한 아카이브 페이지입니다. 미백/라미네이트 심미치료 카테고리의 교정 치료 후 치아 미백 글을 통해 병원의 한국어 정보 제공 방식과 진료 관련 안내 톤을 확인할 수 있습니다.

교정 치료 후 치아 미백, 연세정원치과
안녕하세요. 대치동 연세정원치과 대표원장 윤정원 입니다.
오늘은 교정 치료 이후의 미백 치료에 대하여 이야기해보려고 합니다. 최근 환자분들은 단순히 교정 치료만으로 만족하지 않고, 교정 치료 이후 마지막 심미적 완성도를 위해 교정 치료와 함께 미백이나 라미네이트 등 다양한 심미치료까지 함께 원하시는 경우가 정말 많아졌습니다.
예를 들어 교정으로 치아 배열은 가지런해졌지만 치아 색이 밝지 않거나 형태가 예쁘지 않다면, 오랜 시간 걸려 교정치료를 마쳤는데도 환자는 여전히 웃을 때 자신감이 떨어질 수 밖에 없습니다. 또한 교정 치료 기간 동안 구강 위생 관리를 철저하게 하지 않을 경우 치아 표면에 착색이나 탈회 현상이 나타날 수 있습니다.
이와 같이 환자들의 미에 대한 관심이 점점 높아지며서 교정 치료 후 심미적 완성도를 높이기 위한 치아 미백의 수요가 증가하고 있습니다. 즉 교정이 치아 배열을 바로잡는 치료라면, 미백은 환자의 미소를 완성하는 역할을 한다고 할 수 있습니다.
교정 치료 후 치아 미백이 필요한 이유
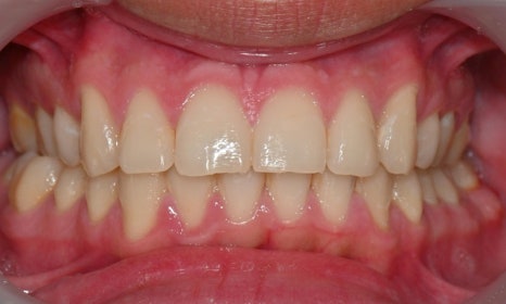
예전에 교정 치료를 마치고 미백을 하러 오시는 환자들을 보면, 가끔 브라켓을 뗀 이후 레진 접착제가 치아 표면에 일부 남아 있어서 그 부분이 노랗게 변색된 경우를 발견할 수 있습니다. 교정을 끝내고 브라켓을 제거한 이후에 레진 접착제를 깨끗하게 제거한 후 폴리싱을 해서 매끈하게 해주어야 하는데, 그렇지 못할 경우 남아있는 접착제에 의해 주변에 치태가 침착되거나 착색이 증가할 수 있고, 남아있는 레진이 변색될 수 있습니다. 이 경우 남아있는 레진을 제거한 후 미백을 해주게 되면 깨끗한 치아를 얻을 수 있습니다.


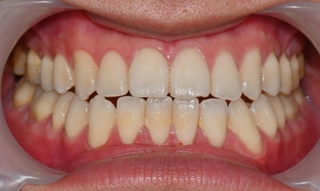
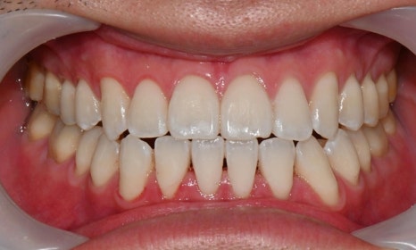
아래 앞니에 남아있는 레진 제거 후 미백 치료 결과
또한 인비절라인 치료를 하는 경우 하루의 대부분을 장치를 착용하고 있기 때문에 만약 양치를 제대로 하지 않은 상태로 장치를 착용하게 되면, 장치와 치아 사이에 음식물이나 착색 물질이 잔류하게 되어 치아가 쉽게 변색될 수 있습니다.
그리고 장치가 치아를 계속 덮고 있기 때문에 침에 의한 자연적인 세정 효과가 떨어져서 치아가 노랗게 변색되는 경우도 임상에서 종종 발견됩니다. 그래서 인비절라인 환자들의 경우 치료가 마무리되면 미백을 하는 경우가 많은 편입니다.


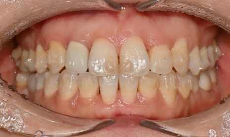
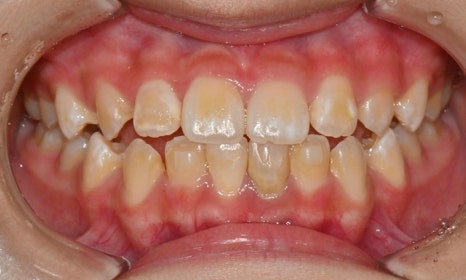
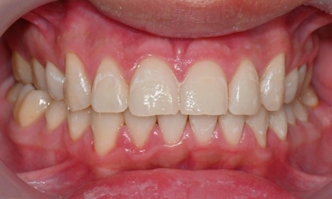
어태치먼트 주변의 착색 및 변색
첫번째 사진은 인비절라인 치료 중인 환자분 사진으로, 어태치먼트 주변으로 착색도 발생한 것을 확인할 수 있습니다. 두번째 사진은 어렸을 때 해외에서 인비절라인을 하다가 어태치먼트를 제거하지 않고 오래 유지를 하다가 내원해서 마무리 교정을 하기 위해 저희 병원에 내원한 환자 사진으로, 어태치먼트 주변이 노랗게 변색된 것을 확인할 수 있습니다.
교정 치료 후 치아 미백 시기
그렇다면 교정 치료가 마무리된 후 미백은 언제 하는 것이 좋을까요?
사실 장치를 뗀 직후 바로 미백을 하는 것은 권장되지 않습니다. 브라켓을 제거한 직후에는 치아 표면이 거칠고 민감할 수 있습니다. 따라서 이 시기에는 먼저 폴리싱으로 치아 표면을 매끄럽게 해준 후 치아 재광화 및 치아 표면 안정화를 위한 기간이 필요합니다. 이 기간 동안 타액 속의 미네랄 성분, 불소 치약 사용, 불소 도포에 의해 치아를 강화시킵니다.

치아의 재광화 (remineralization)
그래서 보통은 브라켓 제거 후 약 1~2주 정도 기다린 뒤에 미백을 시작하는 것이 가장 안전합니다. 이 기간 동안에 침 속의 칼슘, 인산, 그리고 불소를 함유하고 있는 제품들과 접촉하면서 미세한 탈회 부위가 자연스럽게 재광화되고, 치아 표면의 강도가 회복됩니다.
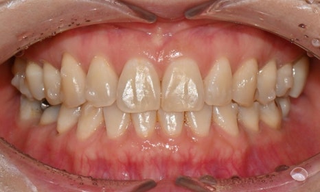
교정 치료 후 white spot이 생긴 경우
교정이 끝난 후 브라켓 주변이나 치아와 잇몸 사이 경계 부위에서 탈회로 인한 백색 반점(white spot)이 생기는 경후도 흔히 관찰됩니다. White spot은 치아의 겉껍질(법랑질, 에나멜) 구조의 변화에 의한 것으로, 미백으로 개선되지는 않으며 오히려 미백 치료 후에 더욱 두드러지게 보이게 됩니다. 따라서 미백을 하기 전에 환자분들께 이 부분에 대한 설명을 충분히 해드린 후 진행하게 됩니다.


미백 후 브라켓 주변 white spot
미백 먼저? 아이콘 치료 먼저?
이러한 white spot은 미백을 하고 난 후 1~2주 정도 지나면 치아 내부의 수분이 안정화되고 미세한 재광화가 일어나면서 색대비가 자연스럽게 완화되지만, 만약 white spot에 대한 적극적인 개선을 원할 경우 미백을 한 후 최소 2주 정도 시간이 지난 후 ICON 치료(레진침투치료)를 고려할 수 있습니다.


ICON 치료 전후
자가미백치료


자가미백
치과에서 받는 전문가 미백 이외에도 치과에서 처방한 carbamide peroxide 15% 미백제를 사용하여 집에서 자가미백을 할 수도 있습니다. 자가미백은 본인의 치아 모양에 맞는 맞춤 트레이를 사용하여 하루에 일정 시간 미백 트레이를 착용함으로써 미백을 하는 방법입니다. 교정치료를 받은 환자들의 경우 미백 트레이와 같은 형태의 장치를 착용하는 것에 거부감이 없기 때문에, 이러한 자가미백을 하는 것도 좋은 치료 방법 중 하나입니다.
자가미백의 경우 하루 4시간 정도 10일 동안 미백 트레이를 착용하여 미백 효과를 얻을 수 있습니다. 전문가 미백에 비해 즉각적인 치료 효과가 나타나지는 않지만, 꾸준히 착용할 경우 좀더 오래 지속되는 미백 효과를 얻을 수 있습니다.

교정 치료로 가지런해진 치아는 미백을 통해 더욱 밝고 건강한 미소를 완성할 수 있습니다. 다만, 치아는 개인차가 있으므로 미백 전후 관리와 적절한 치료 간격이 중요합니다. 꾸준한 구강 관리와 정기 검진을 병행하면, 교정과 미백으로 얻은 환한 미소를 오래도록 유지할 수 있습니다.
#교정이후 #치아교정 #치아미백 #심미치과 #화이트스팟 #whitespot #화이트스팟 #ICON #아이콘
대치동 우성아파트 사거리 BMW 옆 건물
(스타벅스/삼성스토어 건너편)
대치동 교정치과 연세정원치과는
주차가 편리하며 무료입니다.
상담 및 문의 : 02-501-2879
더 보기
이 병원의 공개 콘텐츠를 계속 살펴보세요
출처 아카이브로 돌아가 더 많은 글을 보거나, 병원 프로필로 이동해 다른 공개 채널도 함께 비교해보세요.