연세정원치과
White Spot on My Front Tooth: Cavity or White Spot Lesion?
Best Dental Clinic in Seoul: Yonsei JW Dental Clinic Hello, this is Yonsei JW Dental Clinic in Gangnam, Seoul, Korea. Do you have irregular white spots on your teeth that are causi...
아카이브 요약
이 페이지의 역할
연세정원치과 Yonsei JW Dental Clinic at Gangnam의 네이버 블로그 원문을 보존한 아카이브 페이지입니다. Whitening / ICON 카테고리의 White Spot on My Front Tooth: Cavity or White Spot Lesion? 글을 통해 병원의 한국어 정보 제공 방식과 진료 관련 안내 톤을 확인할 수 있습니다.

Best Dental Clinic in Seoul: Yonsei JW Dental Clinic
Hello, this is Yonsei JW Dental Clinic in Gangnam, Seoul, Korea.
Do you have irregular white spots on your teeth that are causing concern? These white spots, often appearing on the front teeth, are called "white spots" and can arise from various causes. Such white spots tend to become more noticeable with whitening treatments. So, why do these white spots appear, and how should they be treated?

white spots : Yonsei JW Dental Clinic
Why Do White Spots Form?
White spots form due to structural imperfections in the enamel layer, the outermost layer of the tooth, often resulting from insufficient calcification during the tooth's development. When enamel forms with inadequate mineralization, light reflects off this layer, causing it to appear white.
They may also develop from external factors. If a child under the age of six consumes excessive fluoride while permanent teeth are still forming under the gums, dental fluorosis may occur. Permanent front teeth, which are essential for aesthetics, begin forming around age four, so swallowing fluoride toothpaste at this age can lead to fluoride accumulation in the body, causing white spots. Additionally, white spots may appear if a primary tooth sustains trauma or decay, which can damage the tooth germ (developing tooth) of the permanent tooth within the gum.
Furthermore, after orthodontic treatment, if plaque around the brackets isn’t adequately cleaned, it accumulates. If this plaque isn’t removed, cavities may develop. Before reaching the cavity stage, the enamel surface begins to demineralize, resulting in white spots. This demineralization occurs as calcium and phosphate ions are lost from the enamel, creating porous areas. These porous spots have a different refractive index than surrounding areas, making them appear as opaque white spots.
How to Distinguish White Spots from Cavities
Cavities tend to deepen over time, causing the affected area to expand or darken in color. In contrast, white spots generally do not change in size, making them distinguishable from cavities. You can also check by gently scraping the tooth surface with a dental instrument. In the case of a cavity, the sharp dental tool will easily scrape away the tooth material and cause a visible indent. White spots, however, feel smooth, similar to the surrounding healthy tooth structure, and do not scratch or indent in the same way.
At Yonsei Jeongwon Dental Clinic, we use a device called "Q-Ray" to shine visible light on the tooth and assess the degree of demineralization in the white spot. This allows us to compare and analyze the readings with those of healthy tooth enamel.
How Are White Spots Treated?
In fact, white spots do not pose a major problem if left untreated. However, when there are irregular white spots on the front teeth, they can be aesthetically unappealing, which is often the main concern.
Here are the treatment options for white spots:
-
Resin: One option is to remove the white spot area and fill it with resin. However, this is an invasive treatment, as the affected area must be shaved, and there is a risk that the resin may discolor or detach over time.
-
Veneers: Veneers can also be used to improve the appearance of white spots. This method offers better aesthetic results than resin, but it also requires shaving down the tooth and may be more expensive than resin treatment.
-
Icon Resin Infiltration: The third option is resin infiltration, which involves no tooth shaving or anesthesia. In this procedure, a special resin is infiltrated into the porous structure of the demineralized tooth. This treatment uses ICON (Infiltration CONcept) resin. In some cases, brown spots—formed by organic proteins that stain the porous structure of white spots—may also be present. If the brown spots are severe, whitening can be done first to lighten the dark areas, followed by ICON treatment two weeks later for more effective results.


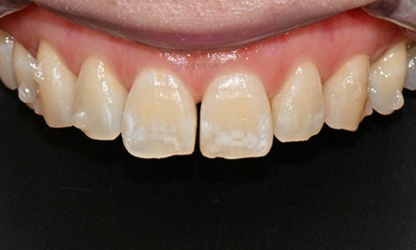
2024 Aug : Yonsei JW Dental Clinic
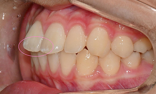
The patient is visiting for Invisalign treatment but is concerned about the severe white spots on their front teeth. The left front tooth (on the right in the photo) shows a porous structure with a hole, indicating significant white spots. When starting Invisalign treatment, small resin attachments are placed on the tooth surface, so it’s generally recommended to undergo ICON treatment after completing the orthodontic process. However, since the two front teeth with severe white spots did not have attachments applied, it was decided to proceed with the ICON treatment for those teeth.
ICON Resin Infiltration Treatment Process


ICON Tooth Polishing and Etching : Yonsei JW Dental Clinic
- Tooth Polishing and Etching:
First, the tooth surface is thoroughly cleaned with a fluoride-free polishing paste. The tooth surface is then etched with 15% hydrochloric acid. To protect the gums, a rubber dam is placed around the tooth to isolate it. The acid is applied multiple times to etch the tooth surface, creating a porous structure that allows better resin penetration.


ICON Dry : Yonsei JW Dental Clinic
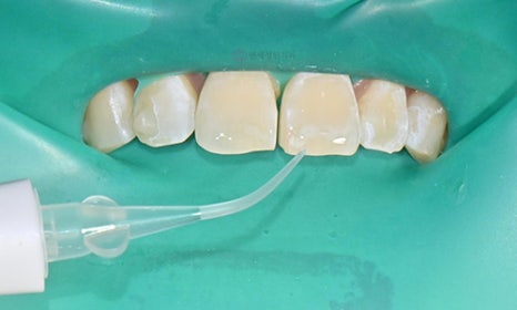
- ICON Dry:
After etching, the tooth is dried thoroughly, and ICON Dry is absorbed into the treated area. In the left photo, you can see how much the white spot has diminished after the drying process. If any white spots remain, the etching process is repeated to ensure better results.
- ICON Resin Infiltration:
The ICON resin is applied to the tooth and polymerized using a curing light. Once the resin is set, the tooth surface is polished to a smooth finish. The entire procedure typically takes about 20 to 30 minutes and can be completed quickly.
ICON resin infiltration Treatment Results


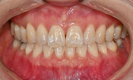
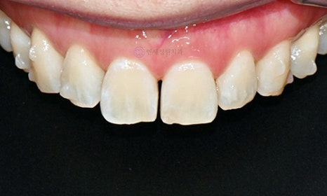
- 9 Before and After Photos
These are before and after photos of ICON treatment (please note that attachments have been placed on the surrounding teeth for Invisalign treatment, and interproximal reduction has been done to create space between the front teeth). After ICON treatment, the white spots on the front teeth have improved, and the porous structure of the left front tooth (on the right side of the photo) has significantly improved as well. The patient, who was concerned about the visible white spots on the front teeth while speaking or smiling, was very satisfied with the results after treatment.
Since the photos were taken with the teeth dried, the side of the tooth, which had more severe white spots, still appears to have some remaining white spots. However, when in a natural oral state with saliva, the result looks much more aesthetically natural than what is shown in the photos.
ICON treatment is especially effective for improving the blotchy white spots that can develop after orthodontic treatment, so we recommend it for our orthodontic patients (of course, it’s best if white spots don’t develop in the first place!). If you're interested in treating the blotchy white spots on your tooth surface without tooth removal, please visit Yonsei JW Dental Clinic for a consultation. :)

Yonsei JW Dental Clinic
📅 Book Your Appointment Today!
Don’t miss our promotion—contact us now via phone, whatsapp, kakaotalk or instagram to schedule your visit.
Convenient and free parking available
For consultations and inquiries:
02-501-2879
Whatsapp: https://wa.me/8225012879

#whitespots #brownspots #cavity #englishspeakingdentist #gangnamdental #gangnamdentalclinic #ICON #ICONtreatment #Seouldentalclinic #YonseiJWDentalClinic
더 보기
이 병원의 공개 콘텐츠를 계속 살펴보세요
출처 아카이브로 돌아가 더 많은 글을 보거나, 병원 프로필로 이동해 다른 공개 채널도 함께 비교해보세요.