연세정원치과
심미와 기능을 모두 고려한 앞니 심미보철 재치료
앞니 심미보철 재치료 - 연세정원치과 안녕하세요! 강남구 대치동 연세정원치과 입니다. 오늘은 20여 년 전 한 앞니 보철을 교체하고 싶다며 독일에서 내원하신 60대 여자 환자분의 케이스에 대하여 이야기해보려고 합니다. 2026.1 초진 파노라마 사진 - 연세정원치과 기존 보철물 자체는 비교적 양호했으나, 오랜...
아카이브 요약
이 페이지의 역할
연세정원치과 Yonsei JW Dental Clinic at Gangnam의 네이버 블로그 원문을 보존한 아카이브 페이지입니다. 충치 및 임플란트 카테고리의 심미와 기능을 모두 고려한 앞니 심미보철 재치료 글을 통해 병원의 한국어 정보 제공 방식과 진료 관련 안내 톤을 확인할 수 있습니다.

앞니 심미보철 재치료 - 연세정원치과
안녕하세요! 강남구 대치동 연세정원치과 입니다.
오늘은 20여 년 전 한 앞니 보철을 교체하고 싶다며 독일에서 내원하신 60대 여자 환자분의 케이스에 대하여 이야기해보려고 합니다.

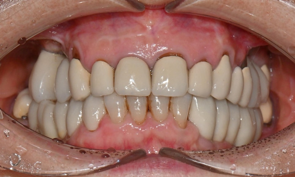
2026.1 초진 파노라마 사진 - 연세정원치과
기존 보철물 자체는 비교적 양호했으나, 오랜 시간이 지나면서 잇몸이 서시히 올라가 치아 뿌리가 노출되었고, 드러난 뿌리에 마모가 진행되며 심미적인 문제뿐 아니라 치아 건강 측면에서도 크라운 재치료가 필요해 보였습니다.



2026.1 초진 구내사진 - 연세정원치과
이번 치료에서는 기존보다 더 넓은 치아 면적을 덮는 보철이 필요했고, 특히 가운데 앞니 보철의 안쪽에서 마모 양상이 관찰되어 크라운 제거 후 추가적인 치아 삭제가 불가피할 가능성이 있었습니다. 이에 따라 치료 전부터 신경 치료 가능성에 대하여 충분히 설명을 드린 후 치료를 시작하였습니다. 또한 이렇게 오래된 보철물을 제거해보면, 내부에 이차우식이 발견되는 경우도 흔하기 때문에, 추가적인 레진 치료 가능성에 대해서도 미리 안내드렸습니다.
이처럼 여러 개의 앞니 보철 교체가 필요한 경우에는 현재 상태에 대한 설명뿐 아니라, 최종 보철의 디자인에 대해 환자분과 충분한 소통과 상담이 매우 중요합니다. 이 환자분의 경우 기존 앞니가 전체적으로 너무 크고, "남성적인(masculine)" 인상을 준다고 느끼셨고, 색상 또한 더 밝게 교체하고 싶어하셨습니다.

초진 smile 사진 - 연세정원치과
스마일라인 분석 결과, 환자분의 실제 미소에 비해 앞니 라인이 다소 편평한 형태였으며, 45도·90도 측면 사진에서도 앞니 표면이 전반적으로 flat하고 치아의 해부학적 형태가 많이 소실된 모습이 관찰되었습니다. 보철임에도 불구하고 다소 나이들어보이는 인상을 주는 상태였습니다.

3D 프린팅 모델 - 연세정원치과
보다 정확한 상담을 위해 치료 전 3D 구강 스캔을 진행하였고, 디지털 상에서 최종 보철 형태를 왁스업 디자인한 후 3D 프린팅 모델을 제작하여 환자분과 2차 상담을 진행하였습니다. 환자분께서 1차적으로 디자인에 만족하셔서, 같은 날 기존 보철을 제거하고 동일한 디자인의 임시치아를 해드렸습니다.
이 과정에서 특히 치은 퇴축과 치주염이 진행되어 있던 왼쪽 작은 어금니는 예측했던대로 시린 증상이 심해져서, 사전에 설명드린 내용에 따라 추가적인 신경치료를 진행하였습니다. 또한 스마일라인 개선을 위해 환자분 동의 하에 정출된 하악 앞니를 약 1mm 정도 삭제하여 전체적인 조화를 맞췄습니다. 치아의 절대적인 크기를 줄이는 데에는 한계가 있었지만, 최대한 치아의 형태를 조정하여 보다 부드럽고 “여성스럽게” 좁아보이는 착시를 줄 수 있도록 디자인했습니다.
넓은 범위의 앞니 보철 치료는 환자의 발음이나 식사에 영향을 줄 수 있습니다. 이를 확인하고 수정하기 위해 임시치아를 며칠간 사용해 보시도록 하였습니다. 실제로 발음이 조금 어렵다는 피드백을 주셔서, 임시치아 단계에서 이를 반영하여 조정했고, 앞니 길이를 조금 더 짧게 하고 싶다는 의견도 함께 반영했습니다.



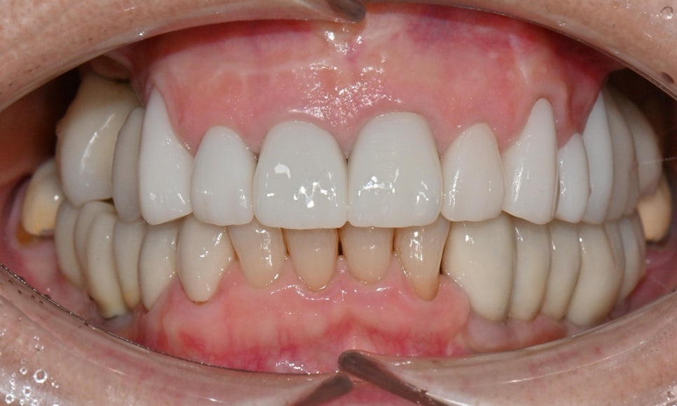
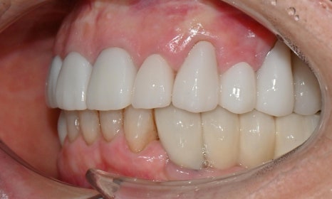
2026.2 치료 마무리 후 사진 - 연세정원치과
이와 같이 임시치아 단계에서 충분히 디자인을 조정하고 상담을 마무리하면, 기공소에 보다 정확한 디자인을 전달할 수 있어 최종 보철 만족도가 크게 높아집니다. 웃을 때나 말할 때 앞니 보철이 보이고, 아래 앞니도 추후 보철 예정이시라서 보철 색상은 다른 보철에 맞추기보다, 환자가 원하는 정도로 밝게 제작하였습니다.

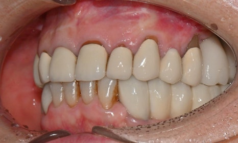
치료 마무리 후 smile 사진 - 연세정원치과
앞니 보철 치료는 단순히 크라운을 새로 만드는 치료가 아니라, 잇몸 상태, 치아의 마모와 위치, 스마일라인, 발음과 식사까지 함께 고려해야 하는 종합적인 치료입니다. 특히 오래된 보철을 교체하는 경우에는 보이지 않던 문제들이 함께 발견되는 경우가 많아, 단계별 계획과 임시보철을 통한 검증 과정이 최종 치료 결과의 정확성과 안정성을 결정짓는 중요한 요소가 됩니다. 이러한 접근을 통해, 심미성과 기능을 동시에 만족시키는 치료 결과를 얻을 수 있으며, 장기적인 유지와 환자 만족도 또한 크게 향상됩니다.
이번 케이스는 임시치아 단계에서 환자분과 충분히 소통하며 디자인을 조정한 덕분에, 기능과 심미를 모두 만족시키는 방향으로 치료를 진행할 수 있었습니다. 특히 앞니는 웃을 때나 말할 때 거의 항상 보이는 부위이기 때문에, 조금만 모양이나 색이 어긋나도 인상이 크게 달라질 수 있으므로, 얼굴과 미소 전체와 조화를 이루는 보철을 만들기 위해 환자분과 충분한 소통을 통해 세밀한 디자인 조정과 단계별 검증을 시행할 수 있었습니다.

연세정원치과
"연세정원치과에서는 치과보철과 전문의이자 서울대학교 치과전문대학원 외래교수 안지호 원장님께서
다양한 임상경력을 바탕으로 완성도 높은 진료를 제공해 드리고 있으며, 철저하게 근거기반의 진료만을 진행합니다."

보철과전문의 안지호 원장 - 연세정원치과
상담시에는 단일 임플란트, 브리지, 전체임플란트 등 임플란트 종류와 오스템, 스트라우만 등의 적합한 브랜드, 등급에 대해서도 자세히 설명해 드리고 있으며, 디지털 검사를 통해 체계적인 치료 계획을 세워 드립니다. 여느 강남치과처럼 의사와의 상담이 채 몇 분 되지않아 알고 싶은 부분을 물어보지도 못하고, 실장과 진료를 상담하는 일은 없으시기 때문에 안심하고 편하게 방문해 주시기 바랍니다.
아마도 임플란트를 고려하고 계시는 분들께서는 강남임플란트 근처치과 검색을 통해 많은 정보를 이미 습득하고 계실텐데요. 그렇더라도 실제로 전문의와의 상담을 통해 자세한 설명을 듣는다면 결정하시는데 큰 도움이 되실 것입니다.
연세정원치과는 삼성역, 학여울역, 대치역, 한티역에서 모두 가까워 삼성동, 대치동, 개포동, 도곡동, 일원동, 역삼동, 잠실 등 강남에서 내원하시기에 매우 편리합니다.
대치동 우성아파트 사거리 BMW 옆 건물
(스타벅스/삼성스토어 건너편)
대치동 치과 연세정원치과는
주차가 편리하며 무료입니다.
상담 및 문의 : 02-501-2879
#심미크라운 #치아보철 #세라믹크라운 #심미보철 #올세라믹크라운 #앞니크라운 #지르코니아 #라미네이트 #치아미백 #임플란트 #크라운가격 #보철 치료기간 #앞니크라운추천 #대치동치과 # 치아손상복구
더 보기
이 병원의 공개 콘텐츠를 계속 살펴보세요
출처 아카이브로 돌아가 더 많은 글을 보거나, 병원 프로필로 이동해 다른 공개 채널도 함께 비교해보세요.