서울오브치과병원
턱관절 통증, 방치하면 더 심해집니다
안녕하세요. 서울오브치과병원입니다😊 최근 턱이 “딱딱” 소리 나거나, 입을 벌릴 때 통증이 느껴지는 분들이 많습니다. 이런 증상을 대수롭지 않게 넘기면 턱관절 디스크 손상, 두통, 어깨 결림 등으로 이어질 수 있어요. 오늘은 턱관절 장애의 원인부터 저희 송파치과 서울오브치과병원에서 시행하는 안전하고 효과적인 치료법까...
안녕하세요.
서울오브치과병원입니다😊

최근 턱이 “딱딱” 소리 나거나,
입을 벌릴 때 통증이 느껴지는 분들이 많습니다.
이런 증상을 대수롭지 않게 넘기면
턱관절 디스크 손상, 두통, 어깨 결림 등으로
이어질 수 있어요.
오늘은 턱관절 장애의 원인부터
저희 송파치과 서울오브치과병원에서 시행하는
안전하고 효과적인 치료법까지
자세히 알려드리겠습니다.
턱관절 장애(TMJ Disorder)란?
턱관절은 귀 바로 앞쪽에 위치하며
입을 벌리거나, 말하고, 씹을 때 움직이는 관절입니다.
이 부위에 염증이 생기거나 디스크(연골판)가 어긋나면
다음과 같은 증상이 나타납니다.

✔ 입을 벌릴 때 “딱” 소리 또는 “걸리는 느낌”
✔ 아침에 턱이 뻐근하고 통증
✔ 두통, 목·어깨 근육 통증 동반
✔ 입 벌리는 폭이 점점 줄어듦
턱관절 장애의 주요 원인
턱관절 질환은 여러 요인이 복합적으로 작용합니다.
• 과도한 스트레스와 이갈이
→ 근육 긴장으로 턱관절 과사용
• 딱딱한 음식 섭취 습관
→ 씹는 근육 과부하
• 부정교합 또는 교정 후 교합 불균형
→ 턱의 비대칭 유발
• 외상 또는 충격
→ 디스크 변위(탈구) 발생

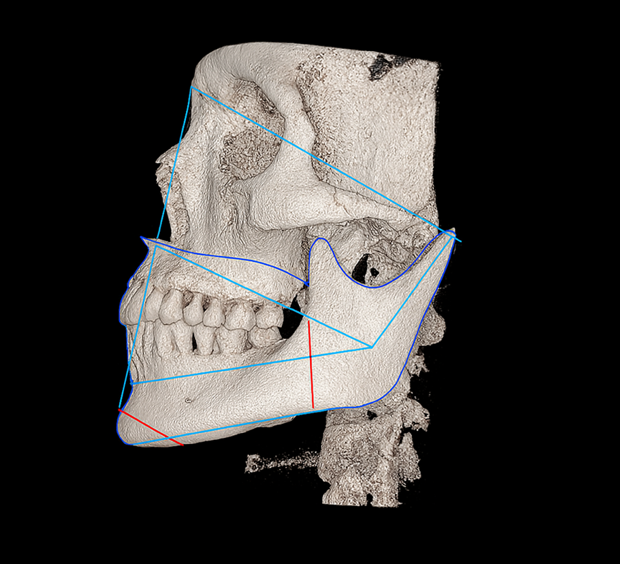
서울오브치과병원에서는 단순 증상만 보는 것이 아니라,
구강외과 전문의가 직접 CT·파노라마로
턱관절 소리를 진단하여
근본 원인을 정확히 파악합니다.
서울오브치과병원의 턱관절 치료 방식
저희 병원은 비수술적, 비침습적 치료를 우선으로 합니다.
턱관절은 섬세한 구조이기 때문에
수술보다는 약물치료·물리치료·보톡스·등
통증을 완화하고 기능을 회복시키는 방법을 우선 적용합니다.

현재 서울오브치과병원에서 사용 중인 턱관절 물리치료 장비 PHL-15 입니다. 적외선과 저주파를 함께 활용해, 턱 주변 근육의 긴장을 완화시키고 통증을 줄이는 데 도움을 주는 치료 장비입니다.
💊 약물치료
근육 이완제, 항염제 등을 사용해 염증을 완화하고 통증을 줄입니다.
💆♀️ 물리치료
온열치료, 초음파, 레이저를 통해 턱 주변 근육의 긴장을 풀고 혈류를 개선합니다.
💉 주사치료
근육의 과도한 긴장을 완화시키거나
염증을 가라앉혀 턱관절의 회복을 돕습니다.
턱관절 치료, 언제 받아야 할까?
다음과 같은 증상이 있다면
조기에 치료받는 것이 중요합니다.

🚨 입이 덜 벌어지고, “딱” 소리가 점점 커질 때
🚨 음식을 씹을 때 턱이 아플 때
🚨 아침에 턱이 뻣뻣하고 두통이 동반될 때
🚨 한쪽으로만 씹는 습관이 있을 때
초기에는 간단한 물리치료나 약물치료만으로도
충분히 회복이 가능합니다.
하지만 장기간 방치하면 디스크 변위나
관절 내 유착이 발생해 수술적 치료가 필요할 수도 있습니다.
턱관절, 이렇게 관리하세요
1️⃣ 딱딱한 음식(오징어·견과류·질긴 고기) 피하기
2️⃣ 한쪽으로만 씹지 않기
3️⃣ 장시간 턱을 괴는 습관 줄이기
4️⃣ 스트레스 완화 및 수면 관리
5️⃣ 정기적으로 치과 내원하여 관절 상태 확인
작은 생활습관 개선이
턱관절 통증 재발을 막는 가장 좋은 방법입니다.
서울오브치과병원은?
서울오브치과병원은
서울대 출신 구강악안면외과 전문의가 직접 진료하며,
턱관절 질환에 특화된 장비와 시스템을 갖추고 있습니다.

✔ 청진기 진단을 통한 정밀 소리 분석
✔ 파노라마·CT 촬영으로 디스크 위치 및 관절 상태 확인
✔ 약물·물리치료 전용 장비 완비
✔ 응급·야간 진료 가능 (365일 진료)
✔ 대학병원급 전신 모니터링 시스템으로 안전한 치료
또한 단순히 턱관절만 보는 것이 아니라
교합(물림)과 전신 근육 균형까지 함께 고려하기 때문에
치료 효과가 오래 유지됩니다.
환자분의 턱관절 통증,
서울오브치과병원에서 정확하게 진단하고
안전하게 회복을 도와드리겠습니다😊
https://www.seoulof.com/basic.php#sec6
서울오브치과병원 서울 송파구 최대 치과병원, 서울대 구강악안면외과 전문의 병원장, 365진료, 주중 매일 야간진료, 119 협력 의료기관, 오브제:로(무삭제 라미네이트), 원내 기공소 보유
Explore More
Keep Browsing This Clinic's Korean Content Trail.
Return to the source archive for more posts, or move back to the clinic profile to compare the rest of the clinic's public channels.