서울오브치과병원
잠실라미네이트, 앞니 몇 개만 시술해도 충분한 경우
잠실라미네이트, 앞니 몇 개만 시술해도 충분한 경우 안녕하세요. 잠실 라미네이트 성지 서울오브치과병원 입니다. “라미네이트는 전체를 다 해야 하나요?” 결론부터 말씀드리면, 그럴 필요는 없는 경우가 많습니다. 이번 케이스 역시 불필요한 시술 없이, 라미네이트만으로 자연스럽게 인상을 정리한 사례입니다. 부분 라미네이...
잠실라미네이트, 앞니 몇 개만
시술해도 충분한 경우
안녕하세요.
잠실 라미네이트 성지 서울오브치과병원 입니다.
“라미네이트는 전체를 다 해야 하나요?”
결론부터 말씀드리면,
그럴 필요는 없는 경우가 많습니다.
이번 케이스 역시 불필요한 시술 없이,
라미네이트만으로 자연스럽게
인상을 정리한 사례입니다.
부분 라미네이트로 충분한 경우
잠실 라미네이트, 서울오브치과병원


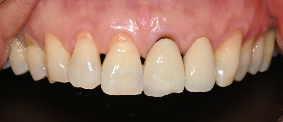
내원하신 환자분은
치아 배열이나 기능적인 문제는 없었습니다.
다만
웃을 때 보이는 앞니 중 일부가 작아 보이고,
치아 라인이 고르지 않게 느껴지는 점이
신경 쓰인다고 하셨습니다.
이런 경우
무조건 전체 라미네이트를 권하기보다
어디를 손보는 게 가장 효과적인지부터
차분히 확인하는 것이 먼저입니다.
그래서
전체 시술이 필요한지,
부분적인 개선으로 충분한지를 기준으로
정밀하게 판단했습니다.

잠실 라미네이트, 서울오브치과병원
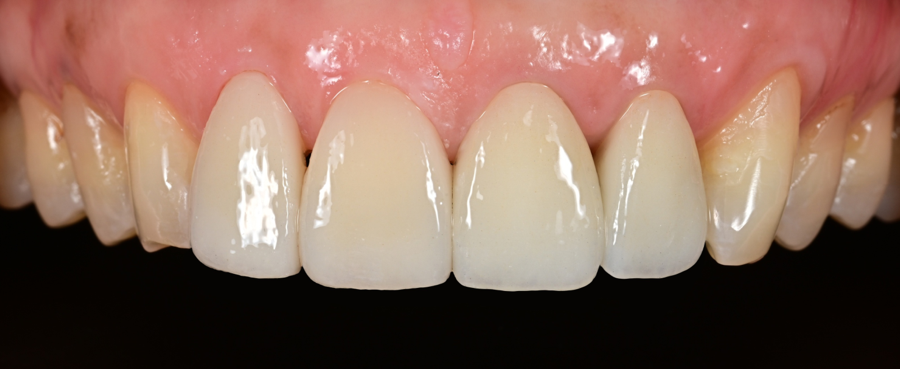
라미네이트는 필요한 앞니만 진행했습니다.
잠실 라미네이트, 서울오브치과병원
진단 결과,
이 환자분은 전체를 건드릴 필요는 없었고
눈에 띄는 앞니만 정리해도
인상이 충분히 달라질 수 있는 상태였습니다.
그래서
앞니 중 필요한 치아만 선택해
라미네이트를 진행했습니다.


이번 케이스에서는
라미네이트 4개만으로
전체적인 균형을 맞출 수 있었습니다.
불필요한 치아까지
굳이 시술할 이유는 없었습니다.
딱 몇 개만 거슬리는 경우라면
잠실 라미네이트, 서울오브치과병원
앞니 모양이 작은 경우,
앞니 사이가 살짝 벌어진 경우,
특정 치아만 유난히 눈에 띄는 경우라면
이런 부분만 정리해도
전체를 시술한 것과 비슷한 효과가
나오는 경우가 많습니다.

실제로 교정 치료를 마친 뒤
마무리 단계에서 부분 라미네이트만으로
충분한 분들도 많습니다.
시술 개수가 줄어들면 가격도 줄어듭니다.
잠실 라미네이트, 서울오브치과병원
필요한 부분만 시술하면
자연스럽게 비용 부담도 줄어듭니다.
"퓨어 라인 기준"
4개 시술 시 : 220만원
8개 시술 시 : 440만원
필요 없는 치아까지 굳이 손대지 않는 것이
장기적으로도 더 좋은 선택이기도 합니다.

저희는
시술 개수를 늘리는 것이 목표가 아닙니다.
2개로 충분하면 2개만 권하고,
4개가 필요하면 4개를 권합니다.
전체가 필요한 경우에만
전체 시술을 권합니다.
환자 치료와 만족도가 우선이기 때문에
치아 1개도 시술 가능합니다.
총 2주 정도의 기간이 소요됩니다.
잠실 라미네이트, 서울오브치과병원
라미네이트가 가능한지, 몇 개가 적절한지는
사진 한 장으로 결정할 수 없습니다.
병원에 방문하셔서 의료진의 진료를 받아보셔야
정확한 판단이 가능하며, 첫 내원부터
총 2주 정도의 기간이 소요됩니다.
잠실 라미네이트, 서울오브치과병원
실제 치아 상태를 직접 확인하고,
웃을 때 보이는 범위를 살펴보고,
치아의 크기와 비율,
전체적인 조화를 함께 봐야
정확한 판단이 가능합니다.
조금 번거롭게 느껴질 수 있지만
이 과정을 거쳐야
시술 후 결과도 자연스럽습니다.
라미네이트를 고민 중이라면?
잠실 라미네이트, 서울오브치과병원

라미네이트는
많이 할수록 좋은 시술이 아닙니다.
필요한 치아만,
정확한 기준으로 진행했을 때
가장 만족스러운 결과가 나옵니다.
지금 내 치아가
라미네이트로 개선이 가능한지,
그리고 몇 개가 적절한지
정확하게 확인해보고 싶으시다면
잠실 서울오브치과병원에서 도와드리겠습니다.
서울오브치과병원 서울특별시 송파구 백제고분로 196 4층, 5층
Explore More
Keep Browsing This Clinic's Korean Content Trail.
Return to the source archive for more posts, or move back to the clinic profile to compare the rest of the clinic's public channels.