아카이브 요약
이 페이지의 역할
서울오브치과병원의 네이버 블로그 원문을 보존한 아카이브 페이지입니다. 서울오브치과병원 카테고리의 어금니 임플란트가격, 임플란트치과에서 진행한 실제 치료 과정 글을 통해 병원의 한국어 정보 제공 방식과 진료 관련 안내 톤을 확인할 수 있습니다.
원문 검증
필요하면 원문 블로그와 병원 프로필로 바로 이동해 문맥을 다시 확인할 수 있습니다.
출처 아카이브 열기아카이브된 블로그 글
서울오브치과병원 · 서울오브치과병원
임플란트는 치아가 손상되거나 상실되었을 때 기능을 회복하기 위한 시술입니다. 특히 어금니 임플란트는 씹는 힘이 강하게 전달되는 부위이기 때문에 더욱 정밀한 접근이 필요합니다. 임플란트는 자연치아와 유사한 저작 기능을 회복하는 치료이며, 잇몸 건강과 뼈 상태를 함께 고려해야 하는 치료입니다. 임플란트 가격은 단순...
게시일
2026년 4월 12일
원문 기준으로 확인된 발행일입니다.
카테고리
서울오브치과병원
원문 블로그 카테고리를 정리해 함께 표시합니다.
이미지 수
17
현재 아카이브에 연결된 이미지 수입니다.
아카이브 요약
서울오브치과병원의 네이버 블로그 원문을 보존한 아카이브 페이지입니다. 서울오브치과병원 카테고리의 어금니 임플란트가격, 임플란트치과에서 진행한 실제 치료 과정 글을 통해 병원의 한국어 정보 제공 방식과 진료 관련 안내 톤을 확인할 수 있습니다.
원문 검증
필요하면 원문 블로그와 병원 프로필로 바로 이동해 문맥을 다시 확인할 수 있습니다.
출처 아카이브 열기
임플란트는 치아가 손상되거나 상실되었을 때
기능을 회복하기 위한 시술입니다.
특히 어금니 임플란트는 씹는 힘이 강하게 전달되는 부위이기 때문에 더욱 정밀한 접근이 필요합니다.
임플란트는 자연치아와 유사한 저작 기능을 회복하는 치료이며, 잇몸 건강과
뼈 상태를 함께 고려해야 하는 치료입니다.

임플란트 가격은 단순히 비용으로 결정되는 것이 아니라,
환자의 상태와 치료 과정에 따라 달라지는 것이 일반적입니다. 임플란트치과에서는 이러한 점을 고려하여 개인별 맞춤 치료 계획을 세우는 것이 중요합니다.
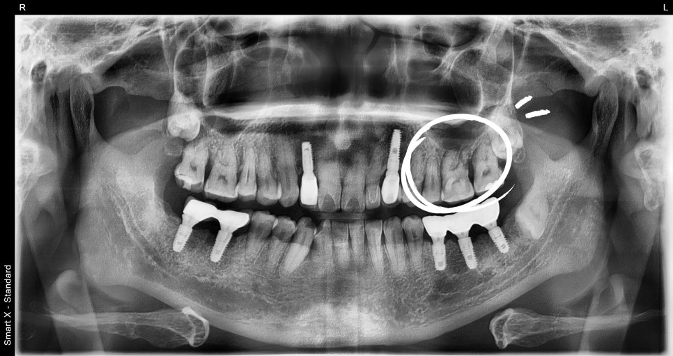
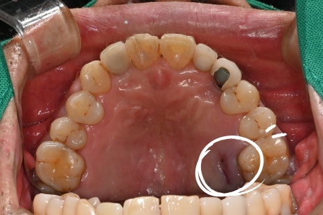
초진 내원당시




이번 케이스는 68세 남성 환자로, 잇몸이 심하게
붓고 통증이 발생한 상태에서 내원하셨습니다.
기존에 약을 복용하셨지만 증상이 호전되지 않았고,
어금니 부위의 통증이 점점 심해지는 상태였습니다.
검사 결과 어금니 주변 잇몸 내부에 고름이 형성된
치주농양 상태였으며, 뿌리 주변 뼈가 손상된 상태가
확인되었습니다.

이러한 경우 임플란트를 바로 진행하는 것이 아니라, 먼저 감염을 조절하는 치료가 우선적으로 필요합니다. 임플란트는 잇몸 건강이 안정되어야 성공률이 높아지는 시술입니다.
염증 치료부터 시작되는 임플란트 과정


임플란트치과에서는 먼저 잇몸 염증을 제거하는 치료를
진행합니다. 이번 케이스에서도 잇몸 절개 후 고름을
배출하는 소염수술이 시행되었습니다.
이 과정은
통증을 완화하고, 임플란트를
안전하게 진행할 수 있는
환경을 만드는 단계입니다
임플란트 가격은 이러한
초기 치료가 포함되는지에 따라 달라질 수 있습니다.
임플란트는 단순한 식립이 아니라 치료 전 단계부터
관리가 중요합니다.
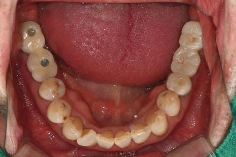
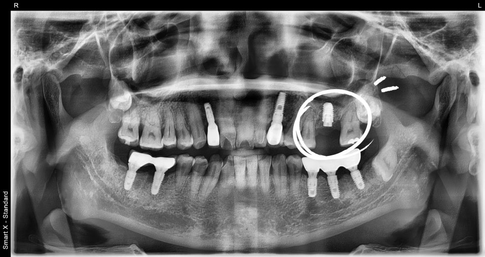
어금니 발치와 임플란트 식립

염증이 심한 어금니는 발치가 필요하였으며,
발치와 동시에 임플란트 식립이 진행되었습니다.
특히 어금니 부위는 뼈가 부족한 경우가
많기 때문에 뼈이식과 상악동 거상술이
함께 시행되었습니다.
임플란트치과에서는 이러한 고난도 수술을 통해
임플란트의 안정성을 확보합니다.
회복 기간과 2차 수술

임플란트 식립 후에는 뼈와 임플란트가 결합되는 시간이
필요합니다. 일반적으로 약 3개월 정도의 회복 기간을
거치게 되며, 이후 2차 수술을 통해 임플란트를
잇몸 위로 연결합니다.

임플란트는 단계별 치료가 중요한 시술입니다.
임플란트 치과에서는 이 과정을 체계적으로 관리합니다.
임플란트 가격은 이러한 치료 기간과 과정이 포함된
비용이라고 볼 수 있습니다.
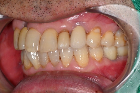
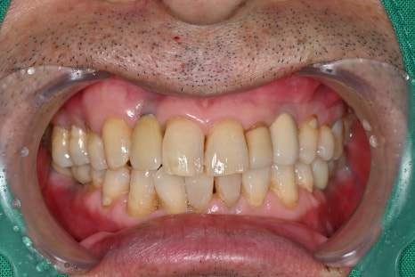
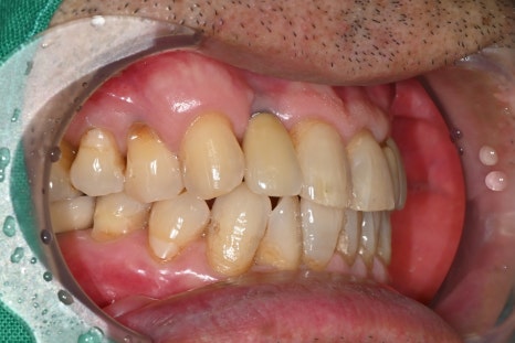
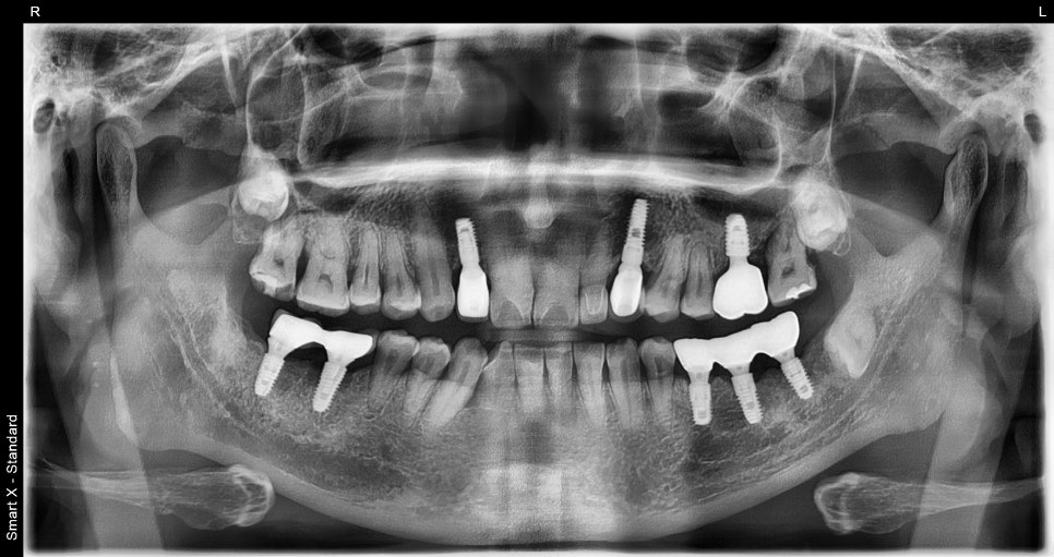
보철 제작과 최종 장착

마지막 단계에서는
환자의 교합에 맞는 보철물을 제작하여 장착합니다.
어금니 임플란트는 씹는 힘을
견뎌야 하기 때문에 정확한
교합 조정이 매우 중요합니다.
임플란트 치과에서는
교합을 여러 번 확인하며 미세 조정을 진행합니다.
임플란트가격은 보철물의 재료와 정밀도에 따라
달라질 수 있습니다.
임플란트가격이 달라지는 이유
임플란트가격은 다음과 같은 요소에 따라 달라집니다.

어금니 여부
잇몸 염증 상태
뼈이식 필요 여부
임플란트 개수
보철 제작 방식
임플란트치과의 장비
특히 어금니 임플란트는 난이도가 높기 때문에
임플란트 가격 차이가 발생하는 경우가 많습니다.
임플란트 치과에서는 단순히 가격만 비교하기보다
전체 치료 계획을 확인하는 것이 중요합니다.
임플란트치과 선택 기준

임플란트는 수술과 보철이
결합된 치료입니다.
임플란트 치과 선택 시에는
다음과 같은 기준을 확인하는 것이 좋습니다.
정밀 진단 장비 보유 여부
임플란트 경험
수술 후 관리 시스템
보철 제작 시스템
치료 후 변화

임플란트는 단순한 치료가 아니라
삶의 질을 회복하는 시술입니다.
치료 후 환자분은
어금니로 음식을 편하게 씹을 수 있게 되었으며,
저작 기능 회복
통증 감소
잇몸 상태 안정
일상생활 개선
등의 변화를 경험하셨습니다.
임플란트는 치아 기능 회복을 위한 시술입니다.
어금니 임플란트는 정밀한 치료가 필요한 시술입니다.
임플란트가격은 환자의 상태에 따라 달라지며
정확한 진단 후 결정되는 것이 중요합니다.
임플란트 치과 선택 시에는 가격뿐 아니라 치료 과정과
시스템을 함께 고려해야 합니다.
임플란트는 장기적인 구강 건강을 위한 치료입니다.

#임플란트치과 #임플란트가격 #어금니임플란트 #송파구치과 #잠실치과 #임플란트후기