아카이브 요약
이 페이지의 역할
서울오브치과병원의 네이버 블로그 원문을 보존한 아카이브 페이지입니다. 서울오브치과병원 카테고리의 앞니 임플란트, 전치부 심미까지 살린 치료 과정 정리 글을 통해 병원의 한국어 정보 제공 방식과 진료 관련 안내 톤을 확인할 수 있습니다.
원문 검증
필요하면 원문 블로그와 병원 프로필로 바로 이동해 문맥을 다시 확인할 수 있습니다.
출처 아카이브 열기아카이브된 블로그 글
서울오브치과병원 · 서울오브치과병원
임플란트는 치아가 상실되었을 때 기능을 회복하는 치료입니다. 앞니 임플란트는 단순한 기능 회복을 넘어심미적인 결과까지 함께 고려해야 하는 고난도 치료입니다. 앞니는 사람의 첫인상에 직접적인 영향을 주는 부위이기 때문에 색상, 형태, 잇몸 라인까지 모두 자연스럽게 맞아야 합니다. 임플란트가격은 이러한 치료 난이도와...
게시일
2026년 4월 13일
원문 기준으로 확인된 발행일입니다.
카테고리
서울오브치과병원
원문 블로그 카테고리를 정리해 함께 표시합니다.
이미지 수
21
현재 아카이브에 연결된 이미지 수입니다.
아카이브 요약
서울오브치과병원의 네이버 블로그 원문을 보존한 아카이브 페이지입니다. 서울오브치과병원 카테고리의 앞니 임플란트, 전치부 심미까지 살린 치료 과정 정리 글을 통해 병원의 한국어 정보 제공 방식과 진료 관련 안내 톤을 확인할 수 있습니다.
원문 검증
필요하면 원문 블로그와 병원 프로필로 바로 이동해 문맥을 다시 확인할 수 있습니다.
출처 아카이브 열기
임플란트는 치아가 상실되었을 때
기능을 회복하는 치료입니다.
앞니 임플란트는 단순한 기능 회복을 넘어심미적인 결과까지 함께 고려해야 하는 고난도 치료입니다.
앞니는 사람의 첫인상에
직접적인 영향을 주는 부위이기 때문에
색상, 형태, 잇몸 라인까지 모두 자연스럽게
맞아야 합니다.

임플란트가격은 이러한 치료 난이도와
과정에 따라 달라지며,
임플란트 치과에서는 전치부 임플란트를 더욱 정밀하게 접근해야 합니다.
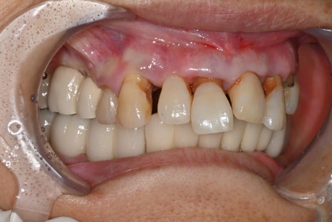
초진내원당시

이번 환자분은 65세 여성으로
위 앞니가 여러 개 상실된 상태로 내원하셨습니다.
앞니 상실은 단순히 치아가 없는 문제를 넘어서
까지 이어지는 경우가 많습니다.



웃을 때 보이는 심미 문제
발음의 변화
식사 불편
특히 앞니는 어금니와 달리
“보이는 영역”이기 때문에
더욱 정밀한 치료가 필요합니다.


전치부 임플란트가 어려운 이유

앞니 임플란트는
어금니 임플란트보다 훨씬 까다로운 치료입니다.
그 이유는 다음과 같습니다.
잇몸 뼈가 얇음
잇몸 라인이 그대로 노출됨
색상과 투명도가 중요함
좌우 대칭이 중요함
따라서 전치부 임플란트는
단순 식립이 아니라
“심미 재건 치료”라고 볼 수 있습니다.
임플란트치과에서는 이러한 요소를 모두 고려하여
계획을 세워야 합니다.
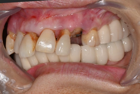
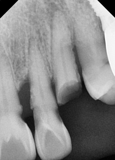
발치와 동시에 진행된 임플란트 식립



이번 케이스에서는
손상된 앞니를 발치한 후
임플란트 식립이 동시에 진행되었습니다.
✔ 전치부 다수 임플란트 식립
✔ 골유도재생술(GBR) 진행
✔ 동종골 이식 병행
앞니는 뼈가 얇기 때문에
뼈이식

이 함께 진행되는 경우가 많습니다.
임플란트가격은 이러한 뼈이식 여부와
수술 난이도에 따라 달라질 수 있습니다.
서울오브치과병원에서는
해부학적 구조를 고려한 식립으로
심미와 안정성을 동시에 확보합니다.
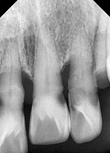
크라운은 언제 올라가요?

임플란트는 식립 후 바로
완성되지 않습니다.
뼈와 임플란트가 결합되는 기간을 거친 후
2차 수술을 통해 잇몸 라인을 형성하게 됩니다.
이 과정은 전치부 임플란트에서 매우 중요합니다.
잇몸 형태가 자연스럽지 않으면
최종 결과가 어색해 보일 수 있기 때문입니다.

임플란트 치과에서는
이 단계에서 잇몸 형태를 정밀하게 조절합니다.
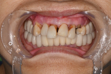
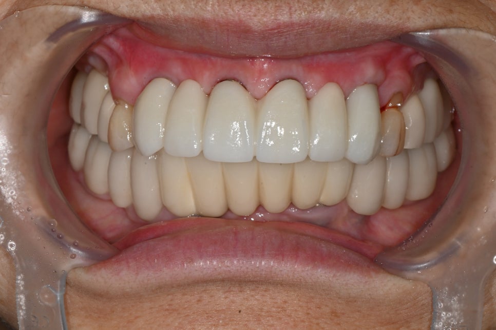
심미를 결정하는 보철 디자인

전치부 임플란트에서 가장 중요한 단계는
보철 디자인입니다.
이번 케이스에서도
맞춤형 어버트먼트 적용
임시 보철을 통한 형태 확인
최종 지르코니아 보철 제작
과정을 거쳐 완성되었습니다.
앞니는 단순히 하얀 치아가 아니라
✔ 자연스러운 색상
✔ 빛이 통과하는 투명도
✔ 잇몸과의 경계
가 모두 자연스러워야 합니다.

어금니와의 교합까지 고려한 치료
앞니 임플란트는 앞니만 맞춘다고 끝나는 치료가 아닙니다.
어금니 교합까지 함께 맞춰야
전체적인 균형이 유지됩니다.
이번 케이스에서도
어금니 교합 유지
전방유도 조정
전체 교합 균형 개선

이 함께 진행되었습니다.
임플란트치과에서는
이러한 전체적인 설계가 중요합니다.
서울오브치과병원의 차별점

전치부 임플란트는
병원의 실력 차이가 가장 크게 드러나는 치료입니다.
서울오브치과병원은
서울대 출신 구강외과 전문의 수술
보철과 전문의 협진
원내 기공소 운영
상주 기공사 협업
시스템을 통해
수술부터 보철까지 완성도를 높입니다.
임플란트가격도 중요하지만
결과의 자연스러움이 더 중요합니다.
치료 후 변화

치료 후 환자분은을 경험하셨습니다. 특히
“내 치아처럼 자연스럽다”는 반응을 보이셨습니다.
전치부 임플란트는 단순한 치료가 아니라
이미지를 회복하는 치료입니다.
자연스러운 앞니 회복
미소 개선
발음 안정
식사 기능 회복
임플란트치과 선택 시에는
가격뿐 아니라 치료 경험과
시스템을 함께 확인하는 것이 중요합니다.
서울오브치과병원은 정밀한 설계를 통해
자연스럽고 안정적인 전치부 임플란트를 완성합니다.

#앞니임플란트 #전치부임플란트 #임플란트치과 #임플란트가격 #송파구치과 #잠실치과