아카이브 요약
이 페이지의 역할
릴리브의원의 네이버 블로그 원문을 보존한 아카이브 페이지입니다. 스킨보톡스 카테고리의 턱스킨보톡스 얼굴스킨보톡스 차이 글을 통해 병원의 한국어 정보 제공 방식과 진료 관련 안내 톤을 확인할 수 있습니다.
원문 검증
필요하면 원문 블로그와 병원 프로필로 바로 이동해 문맥을 다시 확인할 수 있습니다.
출처 아카이브 열기아카이브된 블로그 글
릴리브의원 · 무통 박원장이 직접쓰는 블로그
통증을 줄인 시술을 추구하는 릴리브의원 박태오원장입니다. 스킨보톡스라는 것은 피부과를 다니시지 않는 분들도 한 번쯤은 들어보셨을 만한 유명한 시술이죠. 대신 아프다고도 유명한 녀석이긴 합니다. 아픈게 싫어서 저희 병원에서 스킨보톡스를 하려오시는 분들이 요즘 부쩍 늘어나는 것 같은데요, 턱쪽에 맞는 스킨보톡스, 얼굴에...
게시일
2025년 6월 25일
원문 기준으로 확인된 발행일입니다.
카테고리
스킨보톡스
원문 블로그 카테고리를 정리해 함께 표시합니다.
이미지 수
6
현재 아카이브에 연결된 이미지 수입니다.
아카이브 요약
릴리브의원의 네이버 블로그 원문을 보존한 아카이브 페이지입니다. 스킨보톡스 카테고리의 턱스킨보톡스 얼굴스킨보톡스 차이 글을 통해 병원의 한국어 정보 제공 방식과 진료 관련 안내 톤을 확인할 수 있습니다.
원문 검증
필요하면 원문 블로그와 병원 프로필로 바로 이동해 문맥을 다시 확인할 수 있습니다.
출처 아카이브 열기통증을 줄인 시술을 추구하는 릴리브의원 박태오원장입니다.
스킨보톡스라는 것은 피부과를 다니시지 않는 분들도 한 번쯤은 들어보셨을 만한 유명한 시술이죠.
대신 아프다고도 유명한 녀석이긴 합니다. 아픈게 싫어서 저희 병원에서 스킨보톡스를 하려오시는 분들이 요즘 부쩍 늘어나는 것 같은데요, 턱쪽에 맞는 스킨보톡스, 얼굴에 맞는 스킨보톡스는 어떻게 다를까요?
턱 얼굴 스킨 보톡스?

턱이나 얼굴 스킨 보톡스를 맞기를 추천하는 분들은 다음과 같습니다.
턱라인의 리프팅을 원하는 분
얼굴의 피지가 많은 분
홍조가 있거나 모공이 넓은 분
탄력을 원하는 분
스킨 보톡스는 여러 효과들을 가지는 데요, 얼굴에 놓을 경우 모공, 홍조, 피지 개선 등의 효과를 볼 수 있고, 턱에 적절하게 들어가면 리프팅의 효과를 노려볼 수 있습니다.


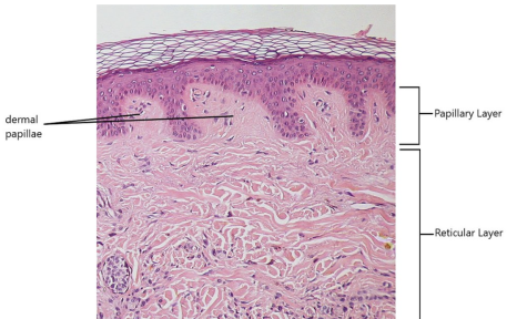
일반 보톡스와의 차이라면 스킨 보톡스는 말 그대로 피부층(정확히는 진피층 입니다)에 보톡스를 묽게 만들어서 주입하는 방식입니다. 근육을 줄이기 위한 일반 보톡스와는 달리 피부 겉 표면에 작용한다고 생각 하시면 될 것 같습니다.
위 사진에서 보이는 Dermis(진피층) 그 중에도 보통 망상 진피(Reticular Dermis)에 보톡스 성분을 주입하게 됩니다.
턱 스킨 보톡스

턱쪽에 스킨보톡스를 깔게되면 턱 끝쪽의 피부의 자잘자잘한 잔주름, 흐려진 윤곽의 개선, 늘어진 피부의 탄력, 피부결 등의 효과를 노려볼 수 있습니다. 특히 울쎄라, 세르프, 온다리프팅과 같은 리프팅 장비와 병합시술을 해주면 훨씬 더 좋은 효과를 기대해 볼 수 있죠.
턱 스킨 보톡스에서 가장 중요한 것은 '벡터'입니다. 쉽게 말하자면 보톡스를 놓는 방향이 중요합니다. 그래서 의사의 손을 많이 타는 시술이라고도 하죠. 또한 진피층에 약물을 주입하면 엠보싱이 생성되는데요 이 엠보싱을 턱라인에서 위로 갈수록 더 크게 만드는 것이 중요한 노하우입니다. 이렇게 놓게 되면 리프팅효과가 더 좋아질 수 있는 것이죠.
얼굴 스킨 보톡스

얼굴 스킨 보톡스는 보통 나비존, 이마, 눈가, 그리고 헤어라인을 따라 놓게 됩니다. 얼굴 스킨보톡스는 리프팅 효과를 노리기 보다는 모공이나 피지조절, 피부에 광을 내주는 목적 또는 잔주름 개선을 위해 사용하게 됩니다.
스킨 보톡스에 있어서 중요한 점
스킨보톡스는 생각보다 의사의 숙련도를 많이 타는 시술입니다. 주입하는 위치, 깊이, 엠보 크기, 양조절이 매우 중요하기 때문입니다. 그래서 환자의 니즈에 따라서 시술 계획을 세우고 시술하는 것이 중요합니다.
통증 또한 환자분들에게 중요한 포인트가 아닐 수 없을텐데요, 저는 제 노하우가 담긴 마취 크림과 얇은 바늘, 보톡스 희석비율 최적화 등으로 통증을 조절하고 있습니다.

(제 얼굴에도 3개월 주기로 꾸준히 맞고 있습니다 ㅎ..)
스킨보톡스는 단순히 피부결을 개선하는 시술이 아닌 얼굴 윤곽 정리, 피지 컨트롤, 탄력 증가 등 '목적에 맞는' 효과를 만드는 것이 핵심입니다.
박원장이었습니다.