아카이브 요약
이 페이지의 역할
레브치과의원 강남점의 네이버 블로그 원문을 보존한 아카이브 페이지입니다. 전체 임플란트 카테고리의 오스템임플란트 네비게이션 전체 임플란트 치료일기. 치료과정/치료기간/비용/솔직후기. 글을 통해 병원의 한국어 정보 제공 방식과 진료 관련 안내 톤을 확인할 수 있습니다.
원문 검증
필요하면 원문 블로그와 병원 프로필로 바로 이동해 문맥을 다시 확인할 수 있습니다.
출처 아카이브 열기아카이브된 블로그 글
레브치과의원 강남점 · Naver Blog
안녕하세요. 임플란트 장인을 꿈꾸는 치과 백원장입니다. 오늘 소개해드릴 환자분은 '오스템임플란트'에서 만든 '가이드 수술(네비게이션 임플란트 수술)'을 통해 전체 임플란트 치료를 성공적으로 받으신 분의 치료 일기입니다. 전체 임플란트의 치료방법, 치료기간, 비용, 솔직한 치과의사의 후기를 말씀드리고 싶어서 포스팅을 하...
게시일
2022년 10월 13일
원문 기준으로 확인된 발행일입니다.
카테고리
전체 임플란트
원문 블로그 카테고리를 정리해 함께 표시합니다.
이미지 수
38
현재 아카이브에 연결된 이미지 수입니다.
아카이브 요약
레브치과의원 강남점의 네이버 블로그 원문을 보존한 아카이브 페이지입니다. 전체 임플란트 카테고리의 오스템임플란트 네비게이션 전체 임플란트 치료일기. 치료과정/치료기간/비용/솔직후기. 글을 통해 병원의 한국어 정보 제공 방식과 진료 관련 안내 톤을 확인할 수 있습니다.
원문 검증
필요하면 원문 블로그와 병원 프로필로 바로 이동해 문맥을 다시 확인할 수 있습니다.
출처 아카이브 열기안녕하세요.
임플란트 장인을 꿈꾸는 치과 백원장입니다.
오늘 소개해드릴 환자분은 '오스템임플란트'에서 만든 '가이드 수술(네비게이션 임플란트 수술)'을 통해 전체 임플란트 치료를 성공적으로 받으신 분의 치료 일기입니다.
전체 임플란트의 치료방법, 치료기간, 비용, 솔직한 치과의사의 후기를 말씀드리고 싶어서 포스팅을 하게 되었습니다. 저희 치과는 성동구 금호동 치과입니다.
사실 전체 임플란트를 받으시는 분이 정~말 흔치 않기는 하신데요, 치주염 (=풍치)으로 인해서 다수의 치아가 흔들거려서 발치 하시는 분들 혹은 틀니를 쓰시다가 개선된 기능을 위해서 임플란트를 선택하시는 분이 대부분 일 것입니다.
오늘 소개해드리고자 하는 환자분은 다수의 치아우식증 (=충치)로 인해서 전체 치아를 발치하게 되었던 환자분입니다.
임플란트 장인을 꿈꾸는 제가 열심히 진료를 해서인지 감사히도 요새 임플란트 치료를 받기 위해 꽤 멀리서도 찾아와 주시는 환자분이 늘어나고 있어요! 감사히 더 열심히 하겠습니다.

다니던 치과에서 충치가 심해서 대부분의 치아를 뽑았는데,
합리적인 비용의 치료를 받고 싶어 상담차 방문했어요.

초진 치과 파노라마 사진
저희 환자분께서 처음 내원하셨을 당시 치과 파노라마 사진입니다.
성인의 치아 개수가 총 몇개인지 아시나요? 위턱 14개 아래턱 14개 총 28개입니다.
방문하셨을 당시 위턱은 전체 치아가 발치된 상태였고, 아래턱은 총 6개의 치아만 남아있었습니다.
남아있는 치아들도 치아의 옆면 (=인접면)에 충치가 있는 것으로 보아, 이를 뽑기 전에도 다수의 충치가 있으셨겠구나.. 라는 것을 짐작할 수 있었어요.
모든 치아를 뽑기로 하였습니다.
그리고 오스템임플란트를 사용한 네비게이션 수술을 하기로 하였습니다.
모든 치아를 뽑기로 결정하였습니다. 그리고 위아래 임시틀니를 사용하기로 하였어요.
아니! 이전의 치과에서 6개의 치아는 살리기로 했는데 굳이 왜 뽑았냐구요~!?
사실 치아를 뽑게 되는데에는 정말 여러가지 요소를 반영하여 결정하게 되는데요,
저희 환자분 같은 경우 단독으로 남아있던 작은 어금니가 제 위치에 있지 않고 다소 쓰러져 있었어요.

맨 처음 파노라마와 같은 치과 파노라마 사진인데요, 파란색 화살표로 표시해 둔 두 개의 치아가 근심측으로 경사져 있어서 (앞으로 누워 있어서) 이상적인 형태의 보철물을 만드는데 제약을 만들고 있었어요.
그리고 앞니들은 인접면 충치가 심하였습니다. 살려볼 수는 있지만, 비용적으로 심미적으로 더 불리할 것으로 예상되었습니다.
치료계획을 세워보았습니다.
전체 임플란트를 위해 14개의 임플란트를 심기로 하였어요.

전체 임플란트 최종 치료계획 수립
건강한 성인의 치아는 위턱 14개, 아래턱 14개 총 28개입니다.
28개의 치아를 회복하기 위해 몇개의 임플란트가 필요할까요?
조금의 차이가 있을 수 있지만, 통상적으로 위턱 10개, 아래턱 8개는 있어야 총 28개의 치아를 만들어드릴 수 있습니다. 조금 더 구체적으로, 위턱 앞니 4개 + 어금니 좌측 3개, 어금니 우측 3개 = 총 10개 그리고 아래턱 앞니 2개 + 어금니 좌측 3개, 어금니 우측 3개 = 총 8개 입니다.
그런데 입이 조금 작으신 편인고 비용이 부담스러우시다면, 맨 끝 임플란트를 한개씩 줄여볼수도 있어요!
그러면 총 24개의 치아를 회복할 수 있고, 임플란트는 위턱 8개, 아래턱 6개만 있으면 됩니다. 총 14개에요.
위에 보여드린 사진처럼 위치를 잘 설정하여 임플란트 14개를 위치시키고, 나머지 10개는 '임플란트 뿌리부분 없이 머리부분만' 만들어 드리게 됩니다.
위턱뼈 임플란트 1차수술부터 시행하였습니다.
왜일까요? 아래턱보다 치유기간이 더 필요하기 때문입니다.

위턱 임플란트 1차수술 후
위턱 임플란트부터 심어보았습니다. 그 이유는 위턱뼈와 아래턱뼈의 질의 차이 때문입니다.
일반적으로 위턱뼈는 아래턱뼈보다 골질이 덜 단단합니다. 피질골보다 수질골의 비중이 많기 때문인데요,

출처: [임상특강] 치과임플란트와 골이식술 Ⅱ - 덴탈아리랑 (dentalarirang.com)
왼쪽의 사진에서 바깥쪽의 단단한 외곽 층이 피질골 (compact bone) 그리고 안쪽의 덜 단단한 성긴 부분이 수질골 (cancellous bone) 입니다.
그래서 임플란트 수술을 하게되면 통상적으로 위턱뼈는 임플란트 식립 후 약 3개월, 아래턱뼈는 임플란트 식립 후 약 2개월 정도의 치유기간을 갖게 됩니다.
좌우측 첫번째 대구치 부위의 임플란트는 상악동 뼈이식술도 함께 시행하였습니다.
사실 치과 파노라마만 보시기에 '임플란트가 생겼네!' 정도로 인지 하시겠지만,
생각보다 많은 공이 들어가는 치료입니다..!!! 여러 앞니 임플란트들도 많고 어려운 뼈이식을 시행했어요.!!
약 1달 뒤 아래턱뼈 남은 치아의 발치와 함께 임플란트 1차 수술을 시행하였습니다.

아래턱 임플란트 1차수술 후
앞서 말씀드렸듯이 일반적으로 아래턱뼈에 심어진 임플란트의 치유기간이 위턱뼈에 심어진 임플란트의 치유기간 보다 1달정도 적은 시간을 갖게 됩니다.
이에 따라 아래턱뼈 수술을 1달 정도 뒤에 하게 되었어요.
물론 환자분도 꽤나 힘든 수술이기에 1달 정도의 여유를 갖고 싶어 하셨거든요.
혹시 눈치채셨나요?
발치 즉시임플란트의 경우 이를 뽑고 바로 임플란트 수술을 시행하기 때문에, 전체 치료기간을 꽤나 줄일 수 있는 장점이 있습니다.!! 다만, 모든 경우에 가능하다고 할 수는 없고 보통은 이를 뽑고 1달쯤 뒤에 잇몸이 회복되면 임플란트 1차수술을 시행합니다.
즉, 이를 뽑고 1달 임플란트를 심고 3달 총 4달의 시간은 지나야 비로소 임플란트 머리를 제작해 드릴 수 있다는 말씀!


위 아래 임플란트 1차 수술 후 체크업 : coverscrew 노출도 보이긴 합니다.
위턱뼈의 경우 임플란트 1차수술 후 2달, 아래턱뼈의 경우 임플란트 1차수술 후 1달 뒤 임상 사진입니다.
보시면 임플란트가 보이는 곳도 있고 보이지 않는 곳도 있는데요, 바로 '치유 지대주 (=healing abutment)'를 임플란트 1차 수술 때 연결하고와 안하고의 차이입니다. (수은 전지처럼 보이는 은색 뚜껑이 치유 지대주 입니다.)
제가 계속 임플란트 1차 수술이라는 표현을 쓰고 있는데, 그럼 임플란트 2차 수술도 있겠죠? 바로 이 '치유 지대주'를 연결하여 주는 것이 임플란트 2차 수술입니다.
그럼 왜 '치유 지대주'를 어떤 것은 연결하고 어떤 것은 연결하지 못했을까요?
임플란트 주변에 '뼈이식'을 해야하는 경우 '치유 지대주'를 연결하기가 힘듭니다.치유지대주의 주변의 잇몸 사이로 뼈이식 재료가 다 빠져나오기 때문이에요. 그래서 뼈이식을 동반하는 경우 주로 임플란트 1차수술까지만 하게 되는 것이죠. 그러면 수술을 마치고 나서 잇몸만 보일 뿐인 상태가 됩니다.
임플란트 2차수술을 시행하였습니다.
(= 치유 지대주를 연결하였습니다.)

위턱뼈는 임플란트 1차 수술 후 3.5개월 뒤, 아래턱뼈는 임플란트 1차 수술 후 2.5개월 뒤에 임플란트 2차 수술을 시행하였습니다.
비교적 깡뚱해 보였던 임플란트들이 다 길어져 있는 것 처럼 보이시지요?
이제 완성되어 갑니다! 금호동 치과 화이팅!!
약 2주가 지난 후 비로소 임플란트 뽄을 뜹니다. (=인상채득을 합니다.)








임프레션 코핑 (impression coping)을 사용하여 임플란트가 심어진 위치를 기록하는 뽄을 뜹니다.!!
이 날이 꽤나 힘든 날인데요.. 요새는 '구강스캐너'를 도입하여 훨씬 편한 방법으로 뽄뜨는 것이(=인상채득) 가능해졌습니다. (뽄을 뜬다는 말을 치과 전문용어로 인상채득; impression taking이라고 합니다.ㅎㅎ)
기공소에서 맞춤형 지대주 (custom abument)와 임시치아를 만들어 옵니다.

약 2주간의 기다림 끝에 기공소에서 맞춤형 지대주 (custom abutment)와 임시치아를 만들어 왔어요!!!
자~ 맞춤형 지대주와 임시치아가 무엇인지 좀 더 자세히 살펴봅시다.!!

임플란트는 조립식으로 되어 있습니다.
제가 임플란트 1차수술 때 잇몸뼈 안에 위치시킨 것은 고정체 (fixture)라고 불립니다. 뼈 속에 위치한 고정체에 기둥을 연결하게 되는데, 그 기둥이 바로 지대주 (abutment)입니다. 그 지대주에 치아 모양의 크라운을 붙이게 되지요. 아!! 어렵죠? 눈으로 보시면 이해가 잘 될겁니다.
제가 사용했던 것은 '맞춤형 지대주 (custom abutment)' 입니다. 다른 종류로 '기성 abutment'도 있습니다.
맞춤형 지대주가 기성 지대주보다 더 좋은 것입니다.


왼쪽이 위턱의 임시치아들이고, 오른쪽이 아래턱의 임시치아들입니다.
이 임시치아를 빼보겠습니다. 그럼 맞춤형 지대주가 보이겠죠?

눈치 빠른 분은 아셨을거에요!! 위가 위턱, 아래가 아래턱입니다.
왜냐?! 지대주가 위가 8개, 아래가 6개잖아요~~ 제가 올려드렸던 치과용 파노라마를 확인해보세요!
현재 환자분의 입 안에 위치한 '치유 지대주(healing abutment)'를 빼고 그 자리에 그대로 '맞춤형 지대주(custom abutment)'를 연결하고, 그 맞춤형 지대주에 임시치아를 껴드릴거에요!
그럼 이렇게 많고 작은 지대주를 대체 입 안에서 어떻게 연결을 하느냐...


이렇게 편하게 입 안으로 가져갈 수 있도록 여러개의 지그 (jig)를 함께 만들어 옵니다.
쉽게 얘기해서 저 빨간색 플라스틱에 맞춤형 지대주들을 낀 채로 입 안에서 똑같이 연결해 드린다고 생각해보세요!

자! 바로 이렇게 하게 됩니다.
빨간색 지그(jig)에 맞춤형 지대주(custom abutment)를 껴놓은 채로, 구강내로 가져가서 맞춤형 지대주에 있는 구멍을 통해 스크류(screw)를 넣고 드라이버로 조여주면 비로소 고정체(fixture)와 맞춤형 지대주가 연결이 되는 것이죠.!!!
아 어렵다!!! 그래도 여러번 읽으면 이해가 되실거에용 ㅎㅎ
앗 맞춤형 지대주의 뜻?
사람마다 그리고 부위마다 잇몸의 두께가 모~두 다를거에요. 그래서 맞춤형 지대주가 필요한데요,


같은 모형 다른 상황인데요, 오른쪽 모델처럼 잇몸을 재현하여 그 잇몸의 높이를 반영하여 왼쪽의 모델처럼 맞춤형 지대주를 만들게 됩니다. 제가 천천히 여러 포스팅을 통해 앞으로 설명드려볼께요. ㅎㅎ
환자분의 구강 내에 맞춤형 지대주를 연결하고 임시치아를 붙여드렸습니다.



어디서 많이 본 것 같은데...?
맞습니다! 환자분 입 안에 만들어온 맞춤형 지대주를 그대로 연결해드렸습니다.
아래가 기공소에서 받아왔던 상태이고, 위 사진이 받아온 맞춤형 지대주를 입 안에서 모두 연결한 상태입니다.
정말 정말 정말 너무 너무 정밀한 과정이기 때문에, 반드시 실력있는 치과의사와 기공사 간의 콜라보레이션이 아주 잘 되어야 하는 부분입니다.
그래서 전체 임플란트는 정말 전문적으로 하는 치과를 찾아가셔야 해요!!


그리고 임시치아를 붙여드렸습니다.
사실 임시치아라 치아 모양도 둥글둥글하고 색깔도 예쁘지 않습니다.
그리고 임시 치아 사이에 간격도 존재하구요.
한 번에 만들면 되지(?!) 왜 굳이 임시치아를 붙여드릴까요?

바로 이러한 임시치아를 이용하여 씹는 연습을 해보셔야 하기 때문입니다.!!
우리의 신체는 생각보다 정교하고 예민해서 이렇게 많은 치아들이 입 안에 한번에 설치되게 되면, 아주아주아주 불편함과 어색함을 느끼실 수 밖에 없어요.
저는 그래서 '재활치료 중이라고 생각하셔야 합니다' 라고 말씀드립니다.
치아가 없어서 잃어버리게 된 턱의 제 위치를 찾기 위한 재활치료 과정이라고 생각하시면 이해가 쉬우실거에요.
이렇게 임시치아를 껴드린채로 적으면 2주 많으면 4주 정도 감을 서서히 잡아가셔야 합니다.
발음도 연습해보고, 음식도 먹어보고, 또한 모양도 살펴보고 이제 사용이 가능한지를 몸소 체험하시는 것이죠!
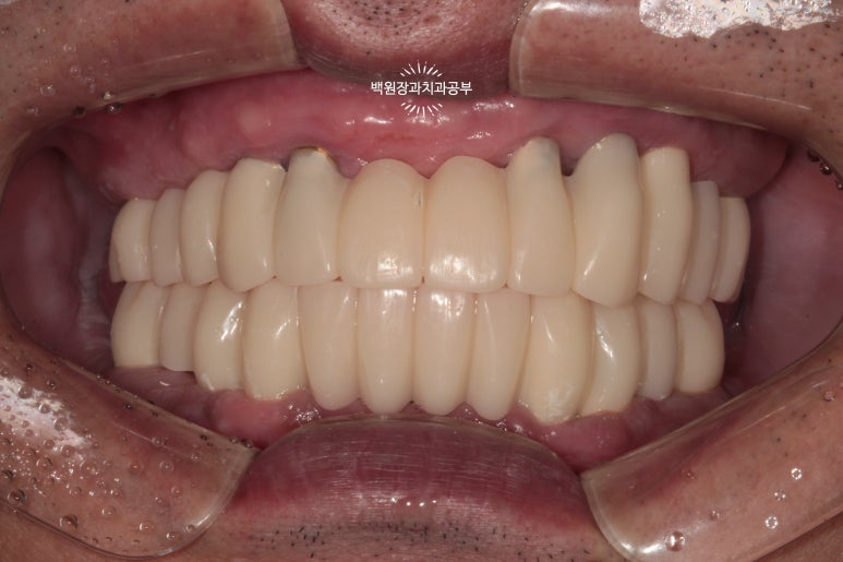
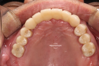
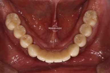
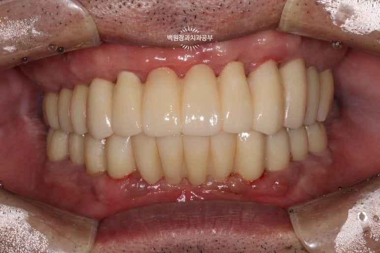
최종 보철물.. 드디어 제작이 되었습니다.


사실 정말 정말 감동적인 순간입니다... 우리 환자분께서 이 날만을 얼마나 기다리셨을까요.....
전체 임플란트를 완성하는데 전체 치료기간은 약 8개월 정도 걸렸습니다. 상당히 빨리 졸업하신 편이에요!

정면에서 보시면 임시 치아와 다르게 훨씬 깊이감 있는 색상으로 제작되어 자연스럽고, 완성도 있는 형태를 확인하실 수 있습니다.

그리고 치과용 파노라마로 확인해보시면, 정확한 위치에 정확한 보철물이 제작되어 상당히 조화로운 결과를 확인하실 수 있으실거에요! 치과의사로 살면서 가장 기쁘고 감동적인 순간 중 하나입니다.
정말 너무너무 보람찹니다 :) ㅎㅎ 환자분께서도 굉장히 만족해하셨어요!
금호동 전체 임플란트 전문 치과 대표 원장인 저와 보철과 원장님이 함께 최선을 다해 작업하였습니다.!!
이래서 치과 전문의가 중요합니다!!!
전체 임플란트는 절대 쉬운 치료가 아닙니다.
왜냐면 치아를 잃어버리고, 턱의 위치 또한 상실하게 되면서 새로이 설정하고 적응하는 그 과정이 너무 어렵기 때문이에요. 그렇기 때문에 수술 할 때부터 임플란트의 위치가 상당히 정확하고 정교해야하며, 보철물을 만들때도 많은 노하우와 경험이 있는 치과의사를 만나셔야 합니다.
그래서 저희 성동구 금호동 전체임플란트 전문 치과는 서울대 연세대 출신 치주과, 보철과 전문의 협진으로 최고의 결과를 내기 위해 최선을 다해 노력하고 있습니다.!!!
좋은 결과를 만들어 내기 위해 함께 사용하는 Tool이 바로 오스템임플란트의 네비게이션 수술 장치인 '오스템 원가이드 장치' 입니다.
수술은 무조건 노하우와 경험이 많은 치과의사가 잘합니다. 또한 그 노하우와 경험은 많은 배움과 지식이 선행되어야 올바르게 쌓일 수 있겠죠? 그래서 치과 전문의 제도가 중요합니다.
이러한 지식과 경험을 가진 치과의사가 '네비게이션 수술 장치'를 함께 이용할 줄 알 때 비로소 최상의 결과를 얻을 수 있습니다. 그래서 오스템임플란트에서 시행하는 세미나의 지도의로 참여하는 등의 이력도 중요하죠!!!
어느 사람이든 완전하지 않기 때문에, 모의 수술을 하여 만드는 '네비게이션 수술'은 좋은 결과를 만들어 내는데 아주 큰 도움이 됩니다. 그렇지만 모의 수술대로만 할 수 없는 어려운 상황.. 예를 들면 상악동 뼈이식술 혹은 고난이도 뼈이식술을 해야하는 상황에서는 '네비게이션 수술' Tool 만으로는 부족합니다. 그렇기 때문에 꼭 경험이 충분하며, 많은 수술 case를 경험한 치과의사를 찾아가셔야 합니다!
이러한 치료 방법을 통해 안정적인 수술결과를 가져올 수 있다면, 보통 전체 임플란트 수술은 이를 뽑는 날부터 약 10개월 안팎이면 충분히 완성될 수 있습니다. 제가 보여드린 환자분의 경우 타치과에서 이를 대부분 뽑고 오신 후였기 때문에, 저희 치과에서만으로 따져서 8개월의 치료기간을 갖고 완성될 수 있었습니다.
비용도 중요한 문제겠지요? 치과마다 워낙 천차만별인데요, 궁금하신 분들은 저희 병원 기준으로 댓글로 답변을 드리도록 할께요! 요새는 임플란트가 워낙 보급이 잘 되어 있어서 가격은 많이 접근 가능해진 편입니다.
일반적으로 자연치에 비해 틀니는 약 30% 정도의 기능 회복을, 임플란트는 약 90% 정도의 기능 회복을 도와준다고 말을 합니다. 임플란트는 틀니와 다르게 분리하여 관리할 필요 없이 치아처럼 편하게 관리가 가능하지요. 주저하셨던 분이 계시다면, 제 글을 읽고 이해하시고 용기를 내어 꼭 좋은 임플란트 치료를 받으시길 바랍니다.!!!
이상 '오스템임플란트 네비게이션 전체 임플란트 치료일기. 치료방법/치료기간/비용/솔직후기.' 에 관한 포스팅의 치과 백원장이었습니다. 긴 글 읽어주셔서 감사드리며, 궁금한 점은 언제든지 댓글로 문의해주세요!
더 좋은 포스팅으로 또 찾아뵙겠습니다 ^^
본 포스팅은 환자분의 동의 후 작성하였습니다.
치료 시작: 2022.02.04
치료 완료: 2022.10.04
예상되는 부작용: 술 후 통증, 부종, 감염 등