아카이브 요약
이 페이지의 역할
레브치과의원 강남점의 네이버 블로그 원문을 보존한 아카이브 페이지입니다. 앞니 심미치료 카테고리의 앞니에 잇몸염증과 충치가 심해요. 앞니 지르코니아 크라운 성공 후기. 치료과정/치료기간/비용/전후비교. 글을 통해 병원의 한국어 정보 제공 방식과 진료 관련 안내 톤을 확인할 수 있습니다.
원문 검증
필요하면 원문 블로그와 병원 프로필로 바로 이동해 문맥을 다시 확인할 수 있습니다.
출처 아카이브 열기아카이브된 블로그 글
레브치과의원 강남점 · 레브치과 백원장의 인생 브이로그
안녕하세요. 임플란트 장인을 꿈꾸는 치과 백원장입니다. 오늘은 앞니에 충치가 심했던 20대 여성 환자분의 케이스를 소개해드리고자 합니다. 앞니에 충치가 있을 경우 가장 먼저 고려되는 치료 방법은 바로 레진 충전 입니다. 충치가 있는 부분을 제거하고 치아색을 띄는 레진이라는 재료로 그 자리를 메꿔넣는 치료인데요, 앞니라...
게시일
2022년 10월 17일
원문 기준으로 확인된 발행일입니다.
카테고리
앞니 심미치료
원문 블로그 카테고리를 정리해 함께 표시합니다.
이미지 수
22
현재 아카이브에 연결된 이미지 수입니다.
아카이브 요약
레브치과의원 강남점의 네이버 블로그 원문을 보존한 아카이브 페이지입니다. 앞니 심미치료 카테고리의 앞니에 잇몸염증과 충치가 심해요. 앞니 지르코니아 크라운 성공 후기. 치료과정/치료기간/비용/전후비교. 글을 통해 병원의 한국어 정보 제공 방식과 진료 관련 안내 톤을 확인할 수 있습니다.
원문 검증
필요하면 원문 블로그와 병원 프로필로 바로 이동해 문맥을 다시 확인할 수 있습니다.
출처 아카이브 열기안녕하세요.
임플란트 장인을 꿈꾸는 치과 백원장입니다.
오늘은 앞니에 충치가 심했던 20대 여성 환자분의 케이스를 소개해드리고자 합니다.
앞니에 충치가 있을 경우 가장 먼저 고려되는 치료 방법은 바로 레진 충전 입니다.
충치가 있는 부분을 제거하고 치아색을 띄는 레진이라는 재료로 그 자리를 메꿔넣는 치료인데요,
앞니라고 하여도 그 범위가 너무 넓을 경우에는 지르코니아 크라운을 고려할 수 밖에 없습니다.
정확한 진단이 있어야 효율적이고 성공적인 치료가 가능합니다.
앞니 지르코니아 크라운 치료의 성공후기를 치료과정을 하나하나 따라가 볼까요?
저희 치과는 성동구 금호동 치과입니다.

앞니가 너무 많이 썩었어요.
레진치료 가능한가요?

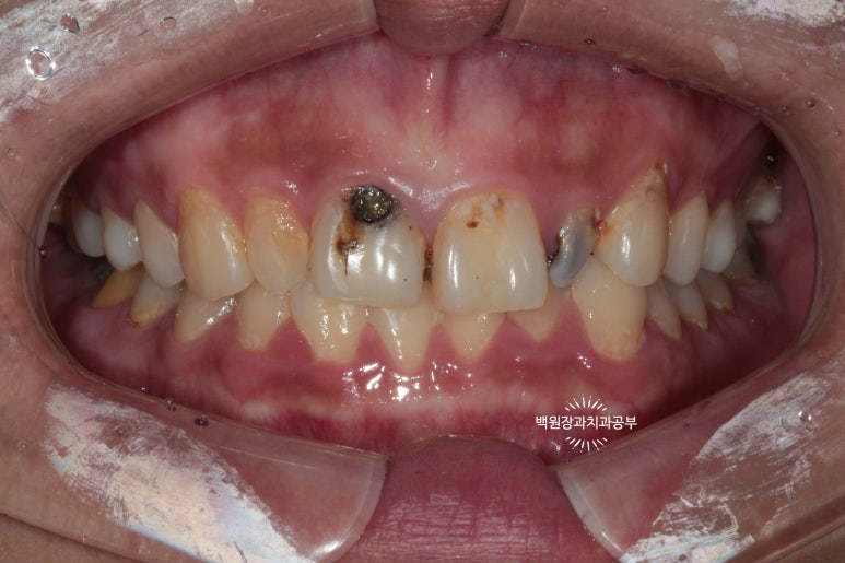
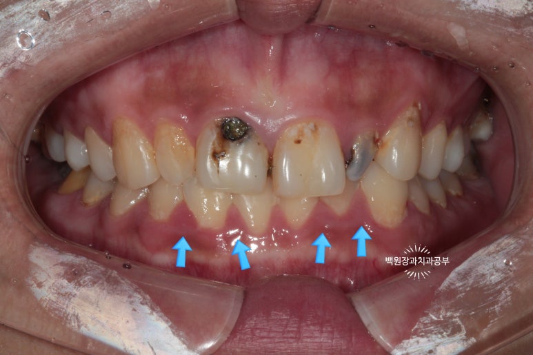
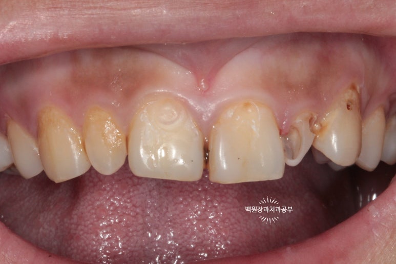
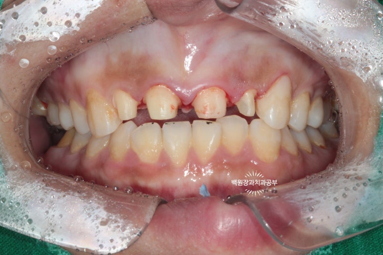
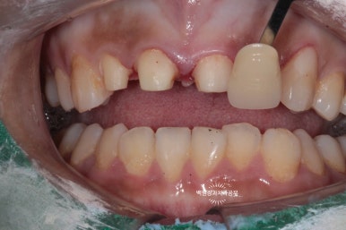
저희 병원을 처음 내원하셨을 때의 구내 임상사진입니다.
20대 여성분이셨는데, 개인 사정으로 적절한 내원 타이밍을 놓쳐 대문니(=중절치)를 비롯하여 상당히 충치가 진행된 양상을 띄고 있습니다. 특히 대문이 옆의 작은 앞니(=측절치)는 충치가 더 심했습니다.


고개를 살짝 돌려 찍어본 사진에서 더 확연히 치아우식증( =충치)을 확인 할 수 있습니다.
딱 보기에도 치료가 아주 시급해 보이는 상황이었어요!!
그리고 화살표로 표시한 양쪽 작은 앞니는 왜소치로 그 크기가 2/3 정도로 작은 소견을 보실 수 있습니다.

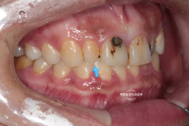
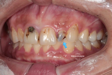
환자분은 당시에 흡연 하시는 상태였는데요, 그로 인해 치은염 (=잇몸 염증)도 심하여 꽤나 잇몸이 부어있는 것을 확인할 수 있었습니다.
화살표로 표시해 둔 치아와 치아 사이의 잇몸이 상당히 붉고, 붓기로 인해 모양이 둥그렇게 변한 것을 보실 수 있습니다. 전형적인 치은염/치주염 소견입니다. 심해지면 풍치가 됩니다.
사실 잘 인지가 안되어서 모르실수도 있어요! 저도 처음에는 그랬습니다. ㅎㅎ
치주과 전문의가 되니 잇몸 색만 봐도 잇몸 속에 치석이 있는지 알 수 있습니다. (저를 지도해주신 교수님의 말씀..ㅎㅎ)
치료 전/후 사진을 비교해 보실 때 차이를 느끼실 수 있을겁니다.
가장 먼저 스케일링(=치석제거)와 잇몸치료를 하기로 하였습니다.
그 다음, 치아우식증(=충치)에 이환된 중절치(=대문니)와 그 옆의 측절치를
크라운으로 씌우기로 하였습니다.


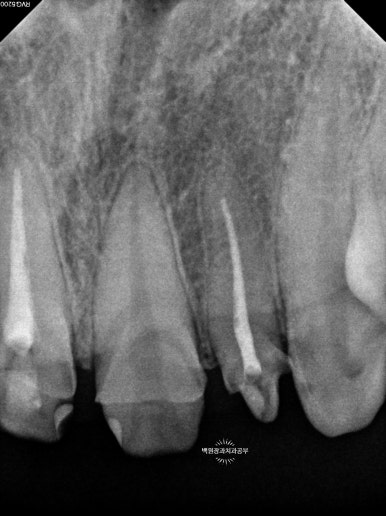
얼마나 충치가 진행되었는지 눈으로만 확인하지 않습니다.
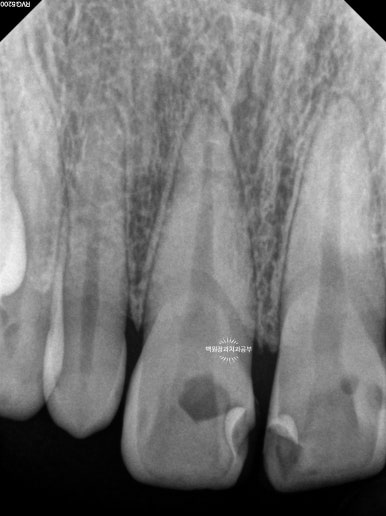
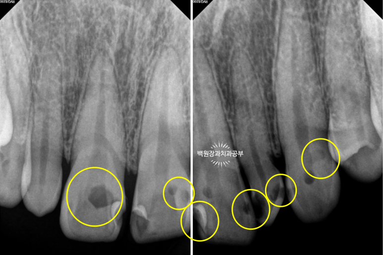
치근단 사진을 촬영하여 보다 자세히 살펴볼 수 있었습니다.

눈으로 보는 것과 같은 위치입니다만, 엑스레이로 보았을 때 현재 위치하는 충치가 치아 내부의 신경관과 얼마나 가까이 위치하는지를 확인할 수 있었습니다.
이에 가장 충치가 심했던 측절치는 신경치료를 할 가능성이 아주 높으며 기둥을 설치해야 한다는 정보를 얻을 수 있었습니다.

가장 먼저 충치를 제거하였습니다.
생각보다 많이 깊은 곳도 있고 그렇지 않은 곳도 있었습니다.
치과가면 충치를 일단 제거해봐야 한다는 소리를 많이 들어셨죠? 열길 물속은 알아도 한길 충치속은 잘 모릅니다... 실제로 제거해봐야 확실합니다. 단, 오늘은 치아내부의 신경이 노출되지까지는 않았습니다.

삭제된 자리를 비워두고 이를 씌울 수는 없겠죠??
제거한 자리를 일단 단단한 레진으로 채워넣어줍니다.

그리고 미리 준비해둔 임시치아를 살짝 조절하여 임시치아를 접착해드립니다.
이제 증상을 살펴보아야 하는데요, 충치 제거 후 신경이 노출되지 않았더라도 너무 가까운 경우 많이 시리거나 자발적 통증이 생길 수도 있기 때문입니다. 이러한 경우 신경치료를 해야하죠.
저희 금호동 치과에는 보존과 전문의 원장님이 있어 신경치료를 전담하고 있습니다.!!
약 1주일 정도 기다렸는데, 앞니가 너무 시려서 불편했다고 하셨습니다.
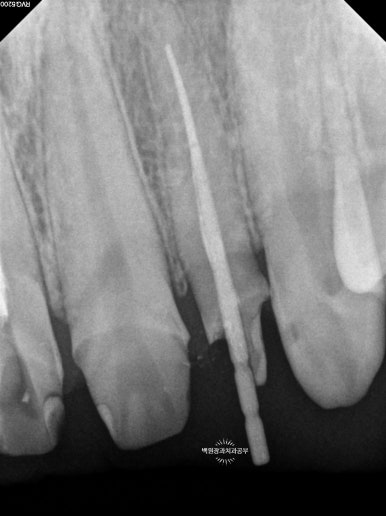
해당 치아들을 신경치료 하였습니다.
그리고 기둥을 세웠습니다.


신경치료는 신경을 재생하거나 낫게 하는 치료가 아닙니다.
치아의 길이에 맞추어 신경을 제거하고, 소독한 뒤 빈 자리를 재료로 채워넣는 치료이죠. 아프지 않으니 치아를 사용할 수 있게 만들어드립니다.
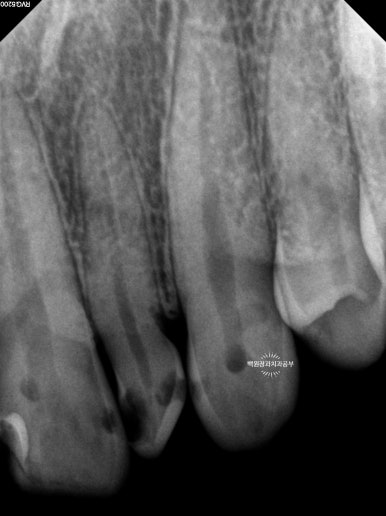
신경치료가 완료되면 해당 치아속의 재료는 방사선 사진 상 하얗게 표시되게 됩니다.

신경치료 완료 후 남은 치아가 너무 적은 경우에는 치아 내부에 기둥 (=포스트)를 설치하게 됩니다.
눈에 보이는 부분의 치아가 너무 적으니 내부에서라도 힘을 얻으려는 노력이지요.
오늘도 저희 성동구 금호동 치과는 자연치아를 살리기 위해 부단히 노력하고 있습니다!!!
증상이 호전됨을 확인하고, 최종 뽄뜨기(=인상채득)을 합니다.
그리고 왼쪽 송곳니의 레진치료도 완료하였습니다.!!

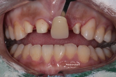
해당 치아의 삭제가 완료되었습니다.!!
치아가 많이 없어져 보여서 속상합니다..
다만 최종 지르코니아 크라운이 최소 2mm 정도의 두께를 얻으려면 이 정도의 삭제는 필수입니다. 더 얇으면 지르코니아 크라운.. 얼마 쓰지 못하고 깨져요!!... 본 환자분의 경우 인접한 면에도 충치가 많이 있었기에 크게 손해보는 상황은 아니었습니다.

눈치 채셨을런지 모르겠지만, 왼쪽 위 송곳니도 레진치료를 해드렸습니다.!!
약간 색상의 차이는 느껴지지만, 훨~씬 좋아진 모습을 보이고 있어요.

위 아래 치아가 교합이 된 상태에서 치아의 삭제량을 다시 한 번 체크합니다.
아주 최소한으로만 삭제가 되었고, 아래 앞니도 조금은 다듬어 주어 지르코니아 크라운의 자리를 확보해줍니다.
좌우로 그리고 앞뒤로 아래턱을 움직여보면서, 크라운이 제작될 공간이 있는지 반드시 확인해야합니다.


현재 치아의 색상을 여러개의 shade guide 를 사용하여 기록해둡니다.
이렇게 색상 가이드가 있어야만 작업하는 기공소에서 정확한 색상으로 제작이 가능합니다.
약 1주일간의 제작기간을 거친 후 최종 지르코니아 크라운 접착!!

완성된 지르코니아 크라운을 삭제된 치아에 부착해줍니다.
저희 금호동 치과.. 진짜 실력있는 치과 맞는 것 같습니다!! 앞니 지르코니아 크라운 치과로 추천해주세욤..ㅎㅎ
상당히 자연스러운 모습으로 제작이 잘 되었는데요, 무조건 밝은 색을 선택하기 보다는 인접한 치아들과 자연스럽게 조화를 이룰 수 있는 색을 택하였습니다.
아마 지금쯤은 처음 모습이 잘 기억나지 않으실거에요...
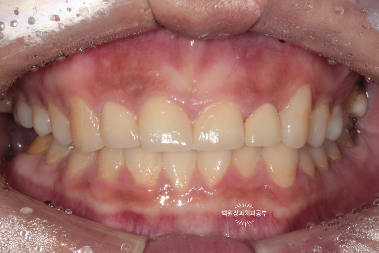
지르코니아 크라운 및 잇몸치료 전후비교 들어갑니다.!!

앞니 지르코니아 치료 전보다 치료 후가 상당히 이상적인 모습을 띄고 있는데요,
성공적인 앞니 지르코니아 크라운 치료 후 다음과 같은 장점을 얻을 수 있었습니다.
앞니 충치치료의 완료
앞니 사이 공간의 폐쇄와 가지런해짐
앞니 색상의 개선
보다 작아진 치아크기로 얻어진 조화로움
잇몸치료 후 개선된 잇몸 건강 (건강한 coral pink color의 색상과 부종의 사라짐)
위 네가지의 개선사항은 아마 쉽게 확인하실 수 있으실거에요!
앞니 치료시 지르코니아 크라운의 장점이 상당히 많답니다.
잇몸이 건강해지는 것은 은근히 인지하기 어려운데요, (아마 우리가 치아를 보는데 익숙해서일거에요.) 치주과를 전공한 제게는 잇몸이 건강해짐이 가장 먼저 보이더라구요. ㅎㅎㅎㅎ
이게 바로 잇몸치료의 효과입니다.!

위에 표시해둔 파란색 타원 내부를 보시면, 무엇보다 색상의 개선이 명확하고 (이를 치과의사들은 coral pink라고 부릅니다.) 염증이 사라지고 붓기가 개선되어 날카로운 모양을 되찾게 되었습니다.!!!
잇몸치료 후 이제는 더 이상 양치날 때 피가 나지 않는다고 하셨어요.! 이래서 잇몸치료가 정~말 중요합니다.
성동구 잇몸치료 치과 추천 할만합니다?
임플란트 장인이 되고 싶은 '치과 백원장'이라고 스스로 부르고 있지만, 치과는 임플란트만 하는 곳이 아니죠!
상당히 진행된 앞니 충치를 가지신 20대 여자 환자분의 케이스에서 보셨듯이, 잇몸의 건강을 되찾기 위한 잇몸치료 후 이어서 성공적인 앞니 지르코니아 크라운 치료결과를 보실 수 있었습니다.
증상을 확인하는 시간과 신경치료를 진행하는 시간이 넉넉히 할애되었기 때문에, 치료기간은 약 1달 반 정도 걸렸습니다. 신경치료를 하지 않았더라면 2-3주 정도 걸렸을 거에요.
앞니는 무조건 레진으로 치료하는 것만이 능사는 아닙니다.
정확한 진단을 통해 치료 방법을 결정해야하며, 때로는 지르코니아 크라운이 상당히 여러가지 장점을 가져올 수 있습니다.
처음 환자분이 내원하셨을 때, 당연히 가장 먼저 눈에 띄고 개선하고 싶었던 점은 충치 (=치아우식증)였습니다.
이는 치과의사에게도 일반인에게도 공통적인 생각일 것입니다.
그렇지만 흡연 습관으로 인한 잇몸의 염증, 치아사이의 틈, 선천적으로 작은 측절치 (=왜소치), 치아의 병적 이동으로 인한 위치 변화 등을 반드시 고려하여야 했습니다.
가장 먼저 해야할일은 치석제거와 잇몸치료를 통해 잇몸의 건강을 되찾는 것입니다.!!!
그래야만 명확하고 건강한 잇몸선이 형성되고, 그에 맞추어 보철물을 제작할 수 있습니다.
치과의사가 돈을 벌기위해 권하는 것이 아닙니다. ㅠㅠ 정말 필수적입니다. 건강보험 적용도 됩니다.
본 환자분 같은 경우엔 충치의 범위가 넓어 신경치료의 가능성이 높아보였고, 한 측절치는 기둥을 설치하는 것이 필수적으로 보이는 상황이었습니다. 이러한 경우 섣불리 레진치료로 마무리 하려다가는 되려 얼마 되지 않아 치아가 부러져 못쓰게 되는 상황이 발생할수도 있어요. 그래서 위의 문제 상황을 모두 해결할 수 있는 지르코니아 크라운 치료를 선택하였습니다.
그래서 진단이 중요합니다. 이 여러 상황을 고려할 수 있는 치과의사를 만나셔야 합니다. 인생이 달라집니다 :0
비용이 궁금하신 분들은 댓글을 달아주세요 :) 친절히 안내해드리도록 하겠습니다.
이상 '앞니 지르코니아 크라운 성공 후기. 치료과정/치료기간/비용/전후비교.' 에 관한 포스팅의 치과 백원장이었습니다. 긴 글 읽어주셔서 감사드리며, 궁금한 점은 언제든지 댓글로 문의해주세요!
더 좋은 포스팅으로 또 찾아뵙겠습니다 ^^
본 포스팅은 환자분의 동의 후 작성하였습니다.
치료 시작: 2022.04.14
치료 완료: 2022.05.29
예상되는 부작용: 술 후 통증, 재신경치료, 보철물 파절 등