안녕하세요.
임플란트 장인을 꿈꾸는 치과 백원장입니다.
오늘 소개해드릴 술식은 '외과적 정출술' 입니다.
아마 생소하실 것이고 이런 치료를 하는 치과를 거의 보지 못하셨을거에요.
제가 처음 블로그를 시작했던 이유가
치과치료로써 임플란트라는 치료가 어느새 너무 보편화되고 저렴한 진료가 되어버려서,
그렇게 흔해 보이는 임플란트라도 하나하나 어떤 생각과 이론 그리고 정성을 가지고 치료하는지를 보여드리고 싶었던 것이 가장 주된 것이었습니다.
그렇지만 건강한 자연치는 임플란트에 비해 비교할 수 없이 우월합니다.
자연치는 임플란트와 달리 변해가는 구강 내 환경에 훨씬 적응을 잘하고, 온도 감각도 느끼며 씹는 감각도 느낍니다. 단지 잇몸병이라던치 충치가 생길 수 있어 지속적인 관리를 필요로 할 뿐이죠.

외과적 정출술 - 치아를 살리는 마지막 방법.
'치아를 살리는 마지막 방법'
부제는 이렇게 지어보았습니다. ㅎㅎ 아마 보시다보면 진짜 그렇구나~ 생각하게 되실거에요!
주로 씌워진 치아나 부러진 치아. 즉 뿌리만 남은 치아에서 사용할 수 있는 방법입니다.
이러한 술식을 행하면, 자연치를 한 번 더 유지해 볼 수 있고 임플란트 치료를 더 미룰 수 있는 큰 장점이 있습니다.
다만, 모든 치아에서 할 수 있는 것은 아닙니다. 큰 어금니는 보통 불가한 경우가 많고, 충치가 너무 심하거나 염증이 너무 심해도 시행할 수 없긴 합니다.
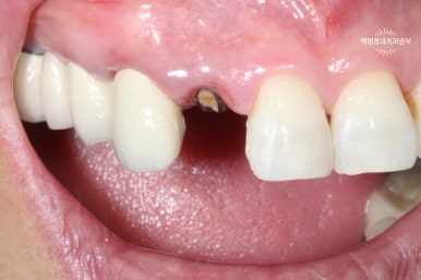
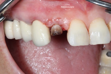
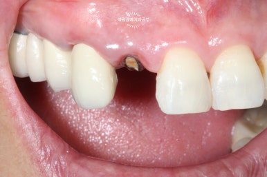
밥먹다가 씌운 이가 부러졌어요.
뿌리만 남은치아 살리는 방법 없나요?


혹~시 뭔가 사진이 올드해 보이지는 않으신가요? ㅎㅎ
제가 연세대학교 치과대학병원 치주과 레지던트 때 뵈었던 환자분입니다.
오른쪽 위 가쪽 앞니 (측절치)가 뿌리만 남아있는 것을 보실 수 있을겁니다. (잔존 치근)
대부분.. 아니 거의 100이면 100 일반 치과에서 발치 즉시 임플란트를 권하게 됩니다.
저도 개인치과에서 근무하고 있는지라.. 외과적 정출술의 실패가능성을 이해시키고, 또한 실패의 가능성을 감수하면서 치료를 하느니 환자분들이 느끼시기에 보다 직관적이고 이해가 빠른 발치 즉시 임플란트를 주로 선택하게 되더라구요...
뿌리만 남은 치아 살리는 방법입니다. ㅎㅎ 임플란트를 하지 않을 수 있어요!!!
그치만 이러한 경우가 외과적 정출술의 가장 좋은 예 입니다.
키워드는 '건전한 치아 뿌리'와 '뿌리가 하나인 치아'
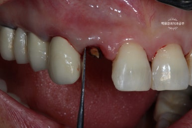
외과적 정출술 - 이를 의도적으로 뽑고 '덜' 집어 넣습니다.


왼쪽: periotome을 사용하여 발치 시행, 오른쪽: 치아를 완전히 뽑지 않고 위치를 수정.
외과적 정출술의 핵심은
남은 치아 뿌리(잔존치근)가 부러지지 않고 온전히 탈구가 되어 나와주어야 한다는 것입니다.
이를 위해 제가 있었던 치주과에서는 페리오톰(periotome)이라는 아~주 얇은 기구를 사용하여 치아를 주변 치조골에서 분리해내어 조심스럽게 약간 빼어내곤 했습니다.
의도적으로 뽑는다.. 사실 엄청 아파보일 수 있다는 것을 압니다만, 마취를 충분히 하고 치료하시기에 환자분이 느끼시는 통증은 전혀 없고 수술 후 통증도 정말 적습니다.


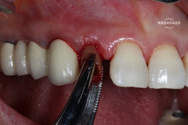
치아를 약간 정출시킨 후 봉합사를 이용하여 고정해줍니다.
보시는 바와 같이 치아를 약간 정출시켜줍니다. 대개는 2-3mm 정도 정출시킵니다.
그렇기 때문에 뿌리가 너무 짧은 치아는 이러한 외과적 정출술이 불가능합니다.
오른쪽 사진을 보시면, 입천장 쪽에서 보았을 때 치아가 보다 더 정출한 것을 보실 수 있어요.
약 10일 정도 지나면, 봉합사를 제거합니다.
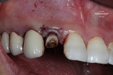
치아가 아직 흔들흔들 합니다.


약 10일 정도 지나면 실밥을 제거 할 수 있어요. 저희는 봉합사 제거라고 부릅니다. ㅎㅎㅎ
치아 저렇게 해놓으면 빠지는거 아니야???
라고 생각하실 수 있지만, 인체의 적응력은 정말 대단합니다. 빠지지 않아요~
10일 정도 지나면 아직 치아가 흔들흔들 하긴 합니다.
약 한달 정도는 기다리셔야 합니다.
기다리는 동안 임시치아 만들어 드립니다.


앞니니깐 일단 급한대로 임시치아를 만들어 드렸습니다.
앞에서 보았을 때 어느정도 커버만 되면 되기 때문에, 보시다시피 얇은 레진치아를 사용하여 양 옆에 붙여드렸어요.
그래도 생각보단 자연스러워서 한달 정도 조심히 쓰시면 충분히 괜찮습니다.
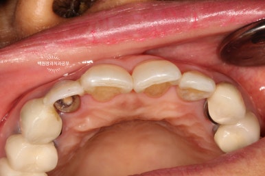
신경 치료를 하고 기둥을 세워야 합니다.


왼쪽이 외과적 정출술을 마친 직후에 찍은 치근단 엑스레이 사진입니다.
잘 보시면 치아가 자기 자리에서 빠져나와 보다 튀어나와 있음을 관찰 할 수 있죠.
오른쪽이 신경치료와 기둥 식립 그리고 크라운을 접착한 뒤의 엑스레이 사진입니다.
기존에 치아가 위치하고 있다가 빠져나온 자리는 이제 치조골로 채워져서 방사선상에서도 구별하기가 어려워졌어요!!
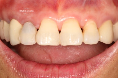
치료를 마친 후 체크업!!


언제나 가장 설레이는 시간입니다. ㅎㅎ
치료를 모두 마친 뒤 보았을 때 치아의 동요도는 상당히 줄어들어 사용할 수 있을 정도로 흔들림이 적어졌습니다.
보시는 상태는 외과적 정출술 후 약 3개월이 지난 상태이고 신경치료와 보철치료는 모두 완료되었습니다.
임플란트가 아니라 치아를 이용하여 치료하였기 때문에, 잇몸의 질감과 모양이 살아있어 꽤나 심미적입니다.
(pink esthetic)
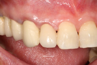
치료 전/후를 살펴볼까요?


왼쪽: 오른쪽 위 측절치의 이차우식으로 인한 파절, 오른쪽: 외과적 정출술 2년 뒤
제가 치주과 레지던트로 근무했을 당시 치료했던 환자분이라 아~주 오랜 팔로우 업은 하지 못했지만, 치과의사로써 레지던트를 3년간 수련 받는 것을 생각하면 사실 2년 팔로우 업은 대단한겁니다!!!!
어쨌든 보시면, 왼쪽은 외과적 정출술 (surgical extrusion) 이전의 모습이고 오른쪽은 치료 2년 뒤 모습입니다.
모든 치료 완료 후 1달 뒤 체크업 사진 때보다도 더 잇몸은 자연스러워졌고 매끈한 모습을 보입니다.
치아의 모양과 색상도 적절하여 정말정말 자연스러운 모양을 갖추고 있었습니다.
흔들거림도 거의 없이 환자분이 아주아주 만족해서 사용하시는 경우로 크게 뿌듯함을 느꼈습니다 :)
얼마 전, 2022년도 치주과학회 추계학술대회가 10월 중순 세종대학교에서 열렸었습니다.
제가 레지던트로 재직했을 당시 치주과 과장님이셨던 교수님이 '외과적 정출술'이라는 주제로 강연하셨어요.
그래서 문득 제가 한 케이스도 소개드려보고 싶었습니다.!!
사실 치주과에서만 하는 진료이기도 하고, 실제로 치과계에서 임플란트가 주를 이루기 때문에 외과적 정출술은 별로 알려지지도, 환영받지도 못하는 실정입니다.
아마도, 남은 치아가 어느 정도는 건전해야하고 큰어금니에서는 할 수 없다는 점도 술식의 불완전성을 가중시키는 요소긴 하지요.
그렇지만, 앞니와 작은 어금니에서 특히 잇몸병이 심한 경우가 아니라면 아직도 외과적 정출술은 유의하게 좋은 치료라고 생각합니다. 더욱이 임플란트를 한 번 더 미뤄볼 수 있다는 것이 정말 큰 장점이라고 생각해요.
이렇게 해서 5년만 더 쓴다고 해도.. 제 치아라면 충분히 비용과 시간을 투자할만한 가치가 있다고 봅니다 :)
치료 기간은 이를 뽑는 날 부터 크라운이 모두 완성되거 사용하시기까지 3개월 정도 걸렸었습니다.
다만, 이는 대학병원 특성상 예약이 오래 걸리고 늘어짐이 반영된 결과로.. 제 생각에 2개월 정도면 완성 가능하리라 봅니다. 이는 이를 뽑으면서 임플란트를 바로 식립하는 발치 즉시 임플란트 보다도 1달 이상 단축된 치료기간입니다.
비용은 기억이 잘 나지 않지만, 약 10년전에 60만원 정도 했던 것 같습니다..!!! 대학병원 수가이기도 하고, 물가도 올랐으니 수가의 변동은 있겠지요 ^^:;;
이상 '외과적 정출술 (surgical extrusion) - 치아를 살리는 마지막 방법. 치료과정/치료기간/비용/사진. ' 에 관한 포스팅의 치과 백원장이었습니다. 긴 글 읽어주셔서 감사드리며, 궁금한 점은 언제든지 댓글로 문의해주세요!
더 좋은 포스팅으로 또 찾아뵙겠습니다 ^^
본 포스팅은 환자분의 동의 후 작성하였습니다.
치료 시작: 2013.06.01
치료 완료: 2013.07.05
예상되는 부작용: 치근파절로 인한 발치/임프란트 가능성, 술 후 통증과 감염