안녕하세요.
임플란트 장인을 꿈꾸는 치과 백원장입니다.
모든 케이스는 제 환자분들의 동의하 직접 작성하는 포스팅임을 미리 알려드립니다!!
(마케팅 업체가 아닙니다- 이렇게 열심히 쓰지도 않을테지만요..)
이번에 소개해드릴 환자분은 아주 심한 풍치로 임플란트가 불가능하다고 들어 저희 병원에 찾아오신 분이었습니다.
다른치과에서 틀니 말고 치료방법은 없다고 하고, 아프긴 아프니 끙끙 앓다가 너무 늦게 내원하신 경우였는데요,
세상에 안되는 것은 별로 없습니다...! 제가 바로 임플란트 장인을 꿈꾸는 치과 백원장 아니겠습니까 :)
정확한 CT 분석을 통해 전략적으로 위턱 앞니를 재건하였던 케이스를 보여드리고자 합니다.
비흡수성 차폐막인 Cytoplast를 사용하여 GBR을 성공적으로 하여 acceptable한 CR ratio 를 얻었던 경우입니다.
저희 치과는 신금호역 치과입니다.

위턱 앞니가 너무 흔들거려요. 임플란트는 못한다고 들었어요.
풍치가 있어서 브릿지도 못하고 틀니를 써야한다고 들었어요.
제가 신금호역 치과를 운영하면서, 아직도 오래된 원장님들이 뼈가 없어서 혹은 잇몸이 약해서 임플란트는 안되고 틀니로 해야한다고 많이 말씀하시는 것을 느끼곤 합니다.
솔직히 말씀드리면, 대게는 임플란트가 불가하지 않은 경우가 더 많았어요..!!!
21세기에 틀니라니요. ㅠㅠ 정말정말 가능하면 임플란트로 해드리는게 당연지사입니다.

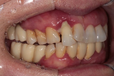
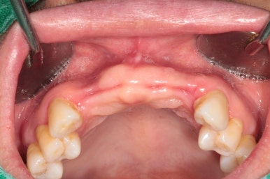
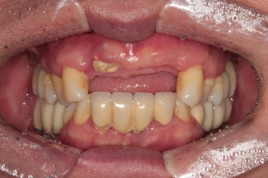
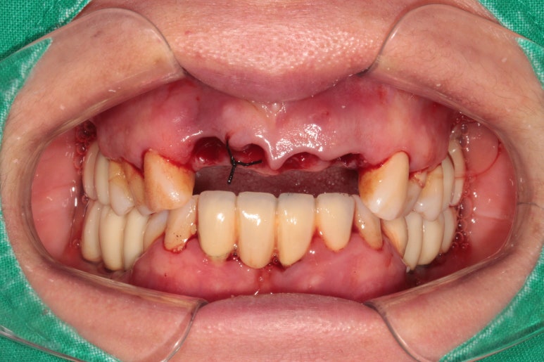
50대 여자 환자분입니다. 처음에 내원하셨을 때 정면 사진이에요.
딱 보아도 잇몸 상태가 참 좋지 않았습니다. ㅠㅠ 특히 위 앞니는 가만히 있어도 고름이 나오고 있는 상태지요..
만성치주염을 갖고 계신 환자분들은 이러한 상황을 조심하셔야 합니다.. 너무 방치되면 정말 임플란트를 심을 잇몸뼈가 하나도 남지 않을 수 있어요.... 그러다 진짜 틀니 하셔야 합니다!!...


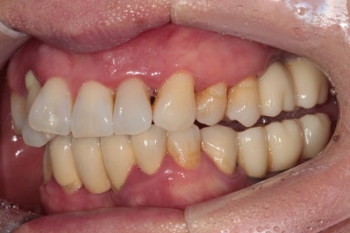
고개를 좌우로 돌려 좌측과 우측을 살펴보았습니다.
제가 앞에서 본다고 생각하시면, 왼쪽 사진이 우측이겠지요?
우측 가쪽 앞니 (측절치)에서 active하게 농양이 나오고 있는 것을 보실 수 있어요.
당연히 위턱 앞니들이 모두 흔들흔들 합니다.
어금니는 임플란트로 치료를 받으셨지만, 앞니는 틀니를 해야한다는 말에 치과 방문을 미루고 미루시다가 소문을 듣고 저희 치과를 방문해주신 경우였어요..!

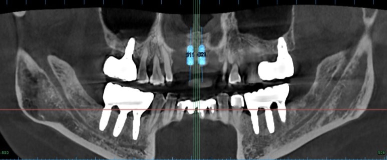
엑스레이를 보시면, 양쪽 위턱 가쪽 앞니가 거의 잇몸뼈와 분리되어 둥둥 떠있는 모습을 보실 수 있습니다.
잘 모르시겠다면, 제가 표시해드리겠습니다..!!

점선이 실제 잇몸뼈의 높이를 나타내고 있습니다.
노란 화살표로 표시한 두개의 위턱 측절치가 남아있는 뼈 없이 둥둥 떠있는 모양이에요.
잇몸질환은 대부분 만성질환으로, 이렇게 본인도 모르게 시나브로 진행이 되서 결국 치아를 잃게 만듭니다.
그래서 풍치가 있는 분들은 꼭 주기적으로 치과 방문을 권유드려요.!
저희 신금호역 치과는 치주과 전문의 대표원장이 상주하고 있답니다 :)
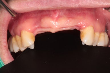
위턱 양쪽 가운데 앞니와 가쪽앞니 총 4개를 제거하기로 했습니다.

이미 내부에 고름이 너무 많이 형성되어 있었기 때문에, 네개의 앞니는 제거하기로 설명드렸습니다.
그 동안 너무 많이 고생하신 상태여서, 환자분도 흔쾌히 동의하셨습니다.

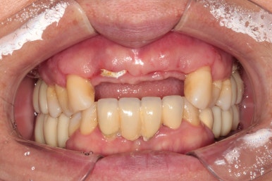
저희 신금호역 치과에서 준비해두었던 앞니 임시틀니를 장착해드렸습니다.
치아가 4개나 없었기 때문에 고정식으로 임시치아를 만들어드리긴 어려웠고, 대신 몇 달만 쓰실 용도로 임시틀니를 끼워드렸어요.
실제로 저작능력은 거의 없습니다만, 사회생활을 하셔야하기에 보이는 용도로써 사용했지요.

제거된 치아를 보면, 뿌리도 상당히 짧은 것을 보실 수 있고
뿌리 표면에 검은 색으로 붙어있는 잇몸 속 치석 (치은연하치석)도 관찰할 수 있습니다.
대부분의 풍치 (치주염)은 치은연하치석 때문에 생긴다고 보시면 됩니다.
약 6주 뒤에 CT 촬영을 하였습니다.
위턱 앞니 부위에 남은 잇몸뼈가 거의 없었습니다.

가장 이해하기 쉬운 CT 자료입니다.
얼굴뼈의 아래 절반정도만 찍히는 치과용 CBCT를 사용하여 촬영 후 영상을 3D로 재건한 사진입니다.
보시다시피 앞니 네개가 제거는 되었지만, 정작 뼈는 가운데 부분만 말안장처럼 남아있어요.

가운데 남은 요 부위에 두개의 임플란트를 심어보기로 계획했어요.
그리고 양 옆에 비어있는 부분은 뼈이식을 무지하게 많이 해보기로 했습니다.
뼈이식을 꼭 해야합니다. 왜냐?
안하게되면, 그 부분만 푹 꺼진채로 낫게되고 이상적인 치아의 형태를 만들어주기 어렵기 때문이죠.
*** 치과의사 선생님들이 보실 수도 있으니,

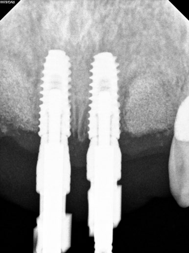
이런 식으로 가운데 남은 적은 양의 잇몸뼈 인에 임플란트 두개를 나란히 심기로 계획을 하였구요,

이건 위턱 오른쪽 가운데 앞니 부위 임플란트를 배열한 단면,

이건 위턱 왼쪽 가운데 앞니 부위 임플란트를 배열한 단면입니다.

axial view를 보시면, #12,22 부위에 정말로 엄청난 골소실이 있음을 보실 수 있을겁니다.
상악 전치부 보철은 양쪽 cantilever로 할 수 밖에 없는 상황이었습니다.
다행히도 남아있는 뼈의 양은 임플란트 두개를 담기에 딱 맞는 공간이었습니다.


고름이 많아 염증소견이 가득했던 부위가,
치아를 제거하고 6주 정도 지나면 이렇게 말끔하게 나아있습니다.
그렇지만 내부에 잇몸뼈는 생기지 않은 상태입니다. 눈에 보이는 잇몸만 그럭저럭 나아있는 상태죠.
참고로 치아를 뽑으면서 임플란트를 바로 심으면 immediate implatation (즉시 식립 임플란트)
치아를 뽑고 4-6주 기다리고 뼈이식을 동반하면서 임플란트를 심으면 early implatation (조기 식립 임플란트)
치아를 뽑고 4-6개월 기다리고 임플란트를 심으면 conventional implantation 정도로 부르고 있습니다.
저희 신금호역 치과는 가능하면 즉시 식립 임플란트나 조기 식립 임플란트를 선호하고 있습니다.!!!
그래야 임플란트 치료가 보다 빨리 끝납니다... 이 뽑고 6개월씩 기다리는 원장님들은 너무하셔요!! ㅠㅠ
임플란트를 하는게 너무 오래걸리면 괴롭지 않겠습니까.. ㅠㅠ
본 환자분은 총 치료기간이 발치부터 약 6.5개월 정도였습니다.


남은뼈가 굉장히 적었기 때문에, 치과용 치근단방사선사진을 촬영해가며 그 위치를 설정하였습니다.
모자이크를 하였지만, 얼핏 보이는 실루엣으로 얼마나 많은 뼈가 사라졌는지 가늠하실 수 있으실거에요.

저희 병원에서 사용하는 재료들입니다. 이종골과 비흡수성 차폐막인 cytoplast를 사용하여 고난이도 앞니 임플란트 뼈이식을 시행해보았습니다.
앞니 임플란트 시행 시 함께 하는 뼈이식은 대부분이 상당히 고난이도입니다.
앞니 임플란트를 하시는 분들은 꼭!!! 방문하실 치과 원장님을 잘 알아보고 방문하시길 권해드려요!!

이렇 식으로 예쁘게 두개의 임플란트가 위치되었습니다.
상당히 넒은 부위에 두개만 있으니 뭔가 허전하네요..ㅠㅠ
실밥제거를 하였습니다.


아직도 아파보이셔서 속상합니다. ㅠㅠ
실밥제거를 하고 보니 잇몸 색은 많이 돌아온 것을 볼 수 있었어요. 정상치유과정을 거치고 있습니다.
하얗게 보이는 것이 위에서 소개했던 비흡수성 차폐막 cytoplast입니다.
보시는 앞니 임플란트 뼈이식처럼 많은 양의 뼈이식을 할 때에 노출이 되어도 문제가 없는 cytoplast를 선택하곤 합니다. 상당히 고가의 재료입니다..!! 미국산!!!
한달이 지났는데요.. 여전히 비흡수성 차폐막이 노출되어 있군요.

일부의 차폐막이 노란색으로 변해보이는 상태로 여전히 노출되어 있습니다.
차폐막을 조기에 제거하였습니다.


환자분이 상당히 구강위생관리가 안되는 분이었어요...
노출된 비흡수성 차폐막에 치태가 너무많이 축적되고 있어서 조기에 제거를 시행하였습니다.
3달이 지나.. 드디어 임플란트 2차수술을 하였습니다.
그리고 다음주에 드디어 뽄뜨는 시간 !! (인상채득)


임플란트 2차수술을 하게 되면, 왼쪽에 보이는 것처럼 동그란 뚜껑이 튀어나오게 됩니다.
이 상태로 1-2주 정도 기다리면 잇몸이 깨끗하게 아물죠! 그러면 비로소 치아를 만들기 위해 뽄을 채득합니다.
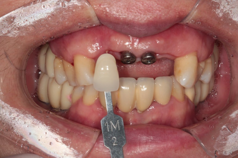
저희 신금호역 치과 백원장은 치아 색상표를 사용하여 색상동 꼼꼼하게 본답니다.!!!!
아참! 저희 치과에 이번 10월에 구강스캐너를 도입하였습니다.!!!!
입 안을 고급 소형 카메라로 수천장 사진을 찍어 스캔 영상을 얻는다고 보시면 됩니다.!!
이제 뽄을 뜨지 않고도 임플란트를 제작해올 수 있게 첨단 디지털 시설을 갖췄어요.
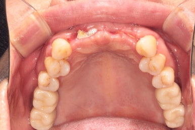
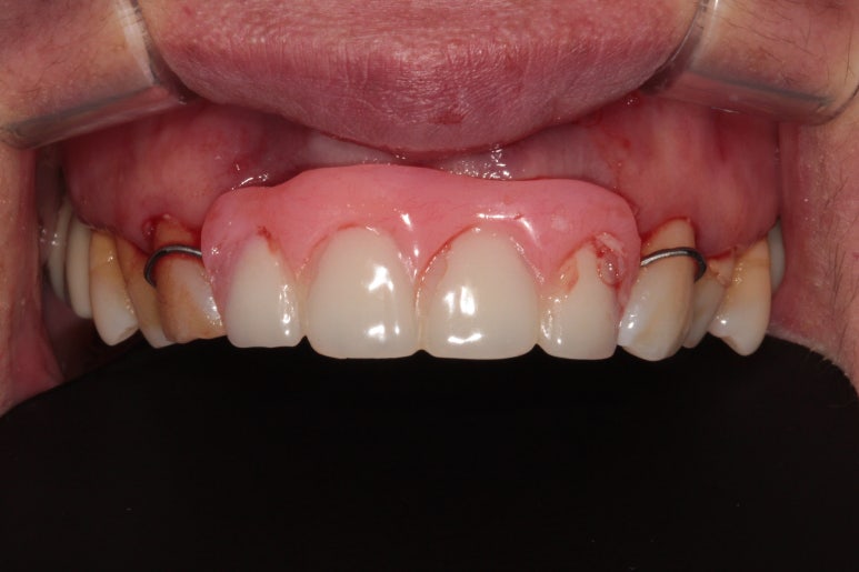
임플란트에 기둥을 연결하고 임시치아를 붙여드렸습니다.

앞니 임플란트이기 때문에 모양도 상당히 중요한데요,
사람마다 치아모양이 아~주 각양각색입니다.
보시는 것은 임시치아이며, 약간은 네모반듯한 모양이었어요.
굳이 임시치아를 만들어드리는 이유는, 색상도 살펴보고 모양도 살펴볼 시간이 필요하기 때문입니다.
색상을 조금 더 밝게 하길 원하셔서 최종 크라운은 더 밝게 제작해보기로 하였어요.
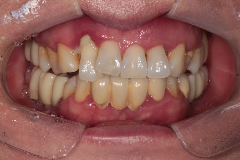
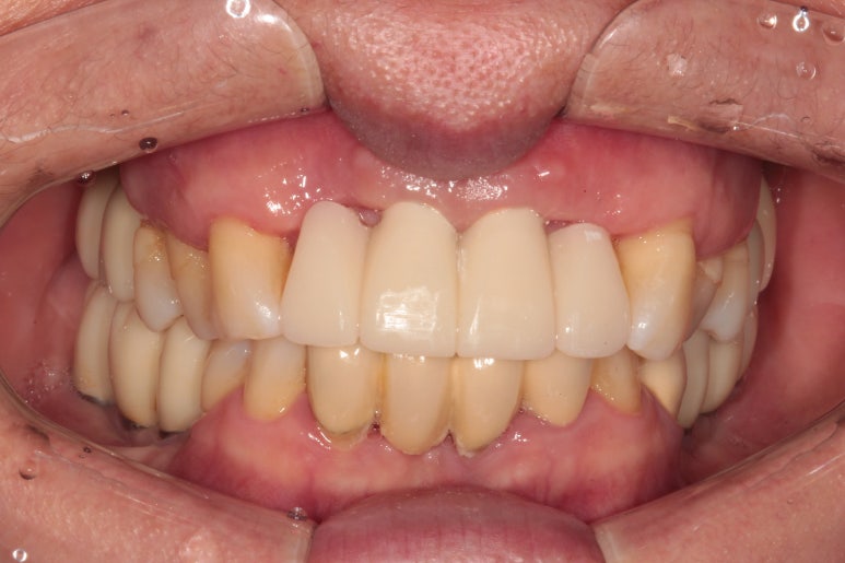
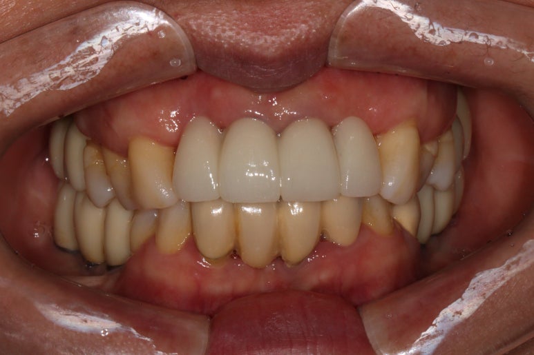
이제는 고름도 나오지 않고, 상당히 가지런해진 모습입니다.!!
짜잔! 드디어 앞니 임플란트가 완성되었어요.

사실 저는 아래 치아와 비슷한 색으로 하고 싶었지만, 대부분의 환자분들은 도자기 같이 밝은 색이 나는걸 좋아하시죠 !!!! 지금 보시는 앞니 임플란트 보철물은 지르코니아 크라운입니다. 정확히 얘기하면 지르코니아 코어에 포세린 (도자기재질)을 붙인 PFZ 크라운입니다.
색상이 상당히 깊이가 있고, 모양도 보다 더 자연스러워진걸 보실 수 있을거에요.
신금호역 치과 백원장의 임플란트 치료의 하이라이트는 전후 비교겠죠?

초진

치아 발치 후

임시틀니 장착 후

임시치아 장착 후

최종 보철물 완성 후

아주 드라마틱한 변화를 보실 수 있을거에요!!!!
가장 우려했던 것은 고름이 나오던 치아들이 있었던 자리의 잇몸이 붕괴되면서 치아가 너무 길어지지는 않을까 하는 부분이었습니다.
그렇지만, 생각보다 조화롭게 보철물 제작이 가능하였던 것을 보실 수 있을거에요.
처음에 비하면 치석제거도 정~~~말 많이 되어 잇몸 컨디션도 아주아주 좋아진 상태입니다.
앞니 임플란트는 임플란트 중에서도 가장 어려운 부분 중 하나입니다.
멀쩡한 이를 뽑고 임플란트를 하는 경우는 없지요.. 그러기에 가뜩이나 뼈가 얇은 앞니 부위에 잇몸뼈가 더욱 무너진 상태가 더해지니 임플란트를 식립하기 매우 어려운 환경이 조성됩니다.
방금 환자분의 경우 고름이 나오고 있던 위턱의 양쪽 가쪽앞니 (측절치) 부위에 임플란트를 심어 4개의 머리를 갖는 보철물을 제작해 드리는 것이 물리적으로 더 나으나,
현실적으로 양질의 잇몸뼈를 재건해내는 것이 어렵기에 그 위치를 가운데쪽으로 수정하여 마무리했던 경우입니다.
환자가 치과의사를 잘 만나면 인생이 바뀐다고 했죠? 그렇지만 사실 치과의사도 환자를 잘 만나야 합니다!
이번 환자분께서는 힘든 치료 과정에 긍정적인 마음가짐을 늘 갖고 계셨고, 그래서인지 더욱 깔끔하게 잘 나으시고 좋은 결과를 얻을 수 있었던 것 같습니다. 이 자리를 빌어 어려운 상황을 함께 극복해나가고 좋은 결과를 선물해주신 환자분께 감사의 말씀 전하고 싶습니다.
임플란트는 한 번 심어내면 그 뒤에 뭔가를 수정하기가 정~~~말 어렵습니다.
특히 앞니는 훨씬 더 어렵구요. 뼈이식이 잘 되지 못해서 실패한 경우도 여럿 보았습니다.
그러기에 꼭 전문가를 찾아 방문하시길 권해드려봅니다.
치료기간은 이를 뽑을 때부터 완성까지 약 6개월 반 정도 걸렸습니다.
실제로 내원하신 횟수는 10회 미만입니다.
비용이 궁금하신 분들은 댓글을 달아주세요 :) 친절히 안내해드리도록 하겠습니다.
이상 '앞니가 풍치로 흔들거려요. 잇몸뼈가 하나도 없다는데 임플란트 가능할까요? 치료과정/치료기간/비용/성공후기. 신금호역 치과 추천.' 에 관한 포스팅의 치과 백원장이었습니다. 긴 글 읽어주셔서 감사드리며, 궁금한 점은 언제든지 댓글로 문의해주세요!
더 좋은 포스팅으로 또 찾아뵙겠습니다 ^^
본 포스팅은 환자분의 동의 후 작성하였습니다.
치료 시작: 2022.02.15
치료 완료: 2022.09.07
예상되는 부작용: 술 후 통증과 부종, 임플란트 골유착 실패 등