안녕하세요.
임플란트 장인을 꿈꾸는 치과 백원장입니다.
모든 케이스는 제 환자분들의 동의하 제가 직접 작성하는 포스팅임을 미리 알려드립니다!!
크라운을 씌워놓은 가운데 앞니가 기둥째 부러져 오셨던 환자분이었습니다.
내원 당일 사용할 수 없게 된 해당 치아를 발치하면서, 오스템 BA 임플란트를 즉시 식립하고 뼈이식을 한 뒤에 임시치아까지 제작해드렸던 케이스입니다.
앞니 크라운 부러짐의 경우, 때에 따라서 '외과적 정출술'이라는 훌륭한 술식으로 자기 치아를 한 번 더 사용할 수 있습니다.
그렇지만 대부분 치과의사와 환자분들이 잘 모르시는 술식으로 안타깝지만 대부분 경우가 브릿지 혹은 임플란트로 해결되는 것을 볼 수 있습니다.
참고해보시면 좋을 것 같아 제가 시행하였던 외과적 정출술 증례를 링크로 걸어드릴께요.
자연치를 살리는 마지막 방법 - 외과적 정출술 입니다.
저희는 성동구 5호선 신금호역에 위치한 치과입니다!

밥먹다가 크라운 씌운 앞니가 부러졌어요.
대문니에 오늘 바로 임시치아까지 제작 가능한가요?

저희 병원이 이제 신금호역 치과 중에서도 꽤나 유명해지고 있는 것 같습니다.
비슷한 증례로 환자분들이 많이 내원하시거든요.! 더욱 열심히 하여 좋은 결과로 보답하겠습니다.
앞니 크라운 부러짐 증례를 살펴봅시다!
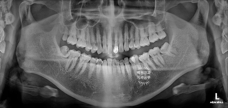
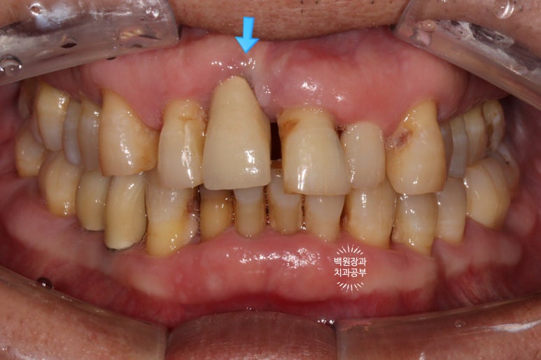
40대 남자 환자분이셨고, 처음 뵈었을 때 왼쪽 위 대문니가 이미 부러진 상태로 오셨었어요.

엑스레이를 보시면, 내원 당시 기둥까지 빠졌던 치아를 그 자리에 끼워놓으셨기 때문에 마치 치아가 멀쩡한 것 처럼 보입니다만, 이미 사용하기 어려운 지경의 상태였습니다.
이런 중절치 부러짐은 은근히 많이 볼 수 있는 증례입니다.

입천장 쪽에서 바라보았을 때, 이미 잇몸라인보다 깊은곳까지 부러져 있는 뿌리만 남은 치아를 보실 수 있어요.
예전에 신경치료를 해놓은 치아라 앞니 뿌리가 이미 검게 변해버린 상태입니다.
음식점을 운영하는 분이었고, 사람들을 많이 만나야 하는 직업이시기에 임시치아라도 빨리 할 수 있는 방법을 원하셨어요. 비록 치아는 부러졌지만, 주변 잇몸뼈가 건강하시기에 발치 동시 임플란트 수술을 권해드렸고 오스템임플란트 중 가장 프리미엄 라인인 BA 임플란트를 추천해드렸습니다.
비록 치아 머리가 부러졌지만, 잇몸뼈는 건강하시니깐
이를 뽑으면서 동시에 임플란트를 심겠습니다.
그리고 임시치아까지 제작해드리겠습니다.
앞니를 비워둔채로 오래 있을 수 없기 때문에,
임시 지대주 (temporary abutment)와 임시 치아 (temporary crown)을 준비해두고 바로 임플란트 수술을 시행하였습니다.
앞니 발치 동시에 임플란트 수술 하는 증례를 간단히 보여드릴께요.


안타깝지만, 주변의 잇몸조직이 상하지 않도록, 최대한 조심히 치아뿌리 (잔존치근)를 제거하였습니다.
발치 즉시 임플란트의 핵심은 주변 조직에 위해한 영향 없이 최대한 치아뿌리만 쏙 빼내는 것입니다.!!!
제가 위에 링크 걸어드렸던, 외과적 정출술에서 사용하던 페리오톰(periotome)이라는 기구가 참 도움이 됩니다.
제가 누굽니까! 임플란트 장인을 꿈꾸는 치과 백원장 아니겠습니까!
귀신같이 뿌리만 남아있던 앞니를 쏙 제거하는데 성공!!
보니까 뿌리는 참 건전합니다. 너무 아까웠어요..ㅠㅠㅠ 이럴 때 안타깝고 속상합니다...


이를 뽑은 자리에 조심스럽게 오스템 BA 임플란트 고정체 (fixture)을 위치시킵니다.
최종 보철물을 만드는데 있어, 주변치아와의 관계를 고려한 임플란트의 위치와 깊이가 가장 중요하기에 많은 경험을 바탕으로 신중하게 해내야해요!!
잘 보시면 발치 즉시 임플란트 시행시 왜 뼈이식을 꼭 해야하는지 알 수있습니다.
지극히 상식적입니다. 제거된 치아 뿌리는 비정형적인 형태를 갖고 있지만, 우리가 사용하는 임플란트는 원기둥 형태이기 때문에 필연적으로 비어있는 공간이 생기기 때문이죠.
이를 발치한 곳 (=발치와)과 임플란트 사이의 공간에
국산 뼈이식 재료를 이용한 뼈이식을 시행하였습니다.


그 gap 부위에 뼈 이식재를 사용하여 꾹꾹 눌러담아 줍니다.
저희 병원은 미국과 중국에 수출하며 인정받은 푸르고 사 제품을 사용한답니다.
물론 최고급 뼈이식재인 스위스산 가이스트리히 사의 바이오스 (BioOss) 제품도 구비하고 있습니다.
뼈이식 안하면 어떻게 되나요?
맞아요! 사랑니를 포함하여 많은 분들이 이를 뽑힌 경험이 있으실텐데요,
시간이 지나면 그 자리가 다 내 뼈로 차올라오지 않았나요?
사실 가만히 두면 뼈로 차올라 오는게 맞습니다!!
근데 왜 앞니 발치 즉시 임플란트 증례에서 뼈이식을 꼭 하냐!!
뼈이식 없이 가만히 둘 경우 잇몸뼈가 굉장히 많이 위축되는 리모델링 과정을 거치기 때문입니다.
그러면 결국 심어놓았던 임플란트가 잇몸을 통해 비추게 되고, 그 결과는 임플란트 고정체 노출이나 임플란트 주위염 등 감당하기 정말 어려운 상황으로 이어지게 됩니다...
그래서 발치 즉시 임플란트에서 뼈이식은 필수라고 할 수 있습니다.


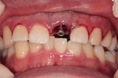
잘 위치된 임플란트 고정체 (fixture)에 임시 지대주를 연결해줍니다.
임시 지대주의 크기는 정해져 있기 때문에, 구강 내 상황은 환자마다 다르므로 그 형태를 다듬어 주어야 합니다.
비유하자면... 키가 작은 사람은 똑같은 기성 청바지를 사도 바지 끝단을 잘라야 하잖아요!!???


임시 지대주의 길이를 짧게 다듬어 아래 앞니에 닿지 않는 것을 확인하고,
그 내부를 임시 재료로 메꿔준 다음에

준비해두었던 임시치아를 연결해주게 됩니다.
사실 꽤나 기술이 많이 필요한 과정이기에, 숙련된 치과위생사 선생님의 도움이 필요한 과정입니다.
저희 신금호역 치과에는 부러진 앞니를 제거하고, 임플란트 수술 후 임시치아까지 제작했던 케이스가 많기 때문에, 숙련된 저희 선생님들의 솜씨를 느끼실 수 있을거에요!!!


뒷 부분을 하늘색 임시재료로 메꿔드렸고,
환자분은 왼쪽 상태로 귀가하실 수 있었습니다.
전후 비교를 해보면~~


위처럼 뿌리만 있었던 치아를 제거하고,
발치 즉시 임플란트를 시행 후 뼈이식과 임시치아 연결을 통해
아래처럼 귀가하실 수 있게 되었던 것입니다.
모두가 다 하루에 가능한 임플란트 수술과정이었습니다.
비록 임시치아는 레진 치아라 다소 어색함이 있을 수 있으나,
환자분께서 매우 만족해하셨습니다.
** 발치 즉시 임플란트 및 임시치아 연결 후 주의사항!!!
임플란트를 심은 직후이기 때문에 절대 앞니 임플란트를 사용하시면 안됩니다!!
3달 동안은 앞니를 사용하지 않으셔야 하고, 치아가 채워져 보이는데에 만족하셔야 해요 :)
생각보다 정말로 아프지 않았어요.

약 10일 후 실밥을 제거하러 내원하셨던 환자분이 하셨던 말씀입니다.
임플란트를 하시게 되면 가장 걱정하시는 것이 바로 통증이지요.
대부분의 환자분들이 치아를 빼는 것보다 임플란트 수술이 덜 아팠다고들 하셔요.
다소 붓기가 있을 수는 있으나, 임플란트 수술을 통증 때문에 걱정하실 필요는 별로 없습니다.
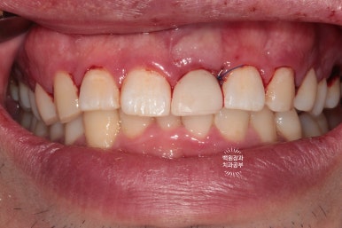
열흘 지나 실밥을 제거했을 때 보니 함께 시행했던 잇몸치료를 통해,
coral pink color를 회복한 건강한 잇몸과 보다 더 조화로워진 앞니를 볼 수 있었습니다.
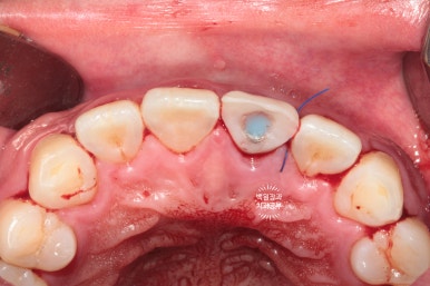
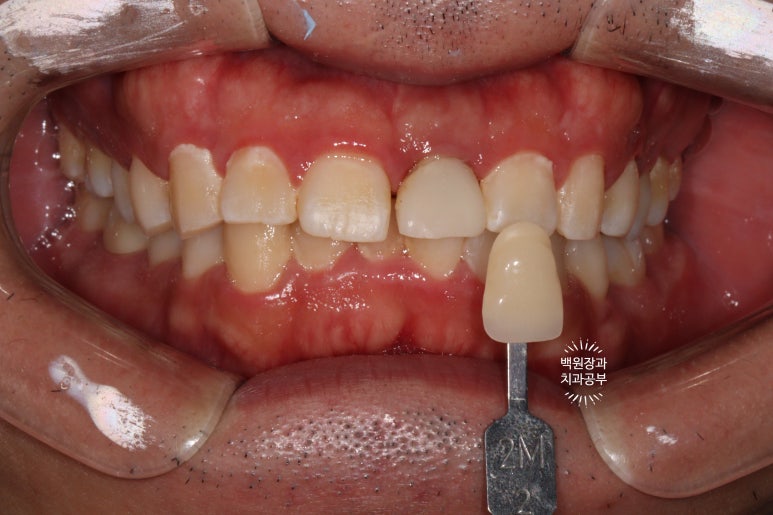
인상채득을 하고, 치아색을 선택합니다.

절대!!! 사용하시면 안되는데, 어쩌다보니 임시치아가 좀 깨진채로 내원하셨어요.
임플란트 1차 수술 후 3달이 지나면 인상채득을 시행합니다.
흔히 말하는 뽄뜨는 날이죠!!
가장 중요한 것은 색상 대조표 (shade guide)를 사용하여 주변 치아와 비슷한 색상을 찾는 것입니다.
VITA shade guide 2M2로 제작하기로 하였습니다.
그리고 구강위생관리의 부족으로 다시 치태가 쌓이기 시작해서 치석제거를 한 번 더 시행하였습니다.

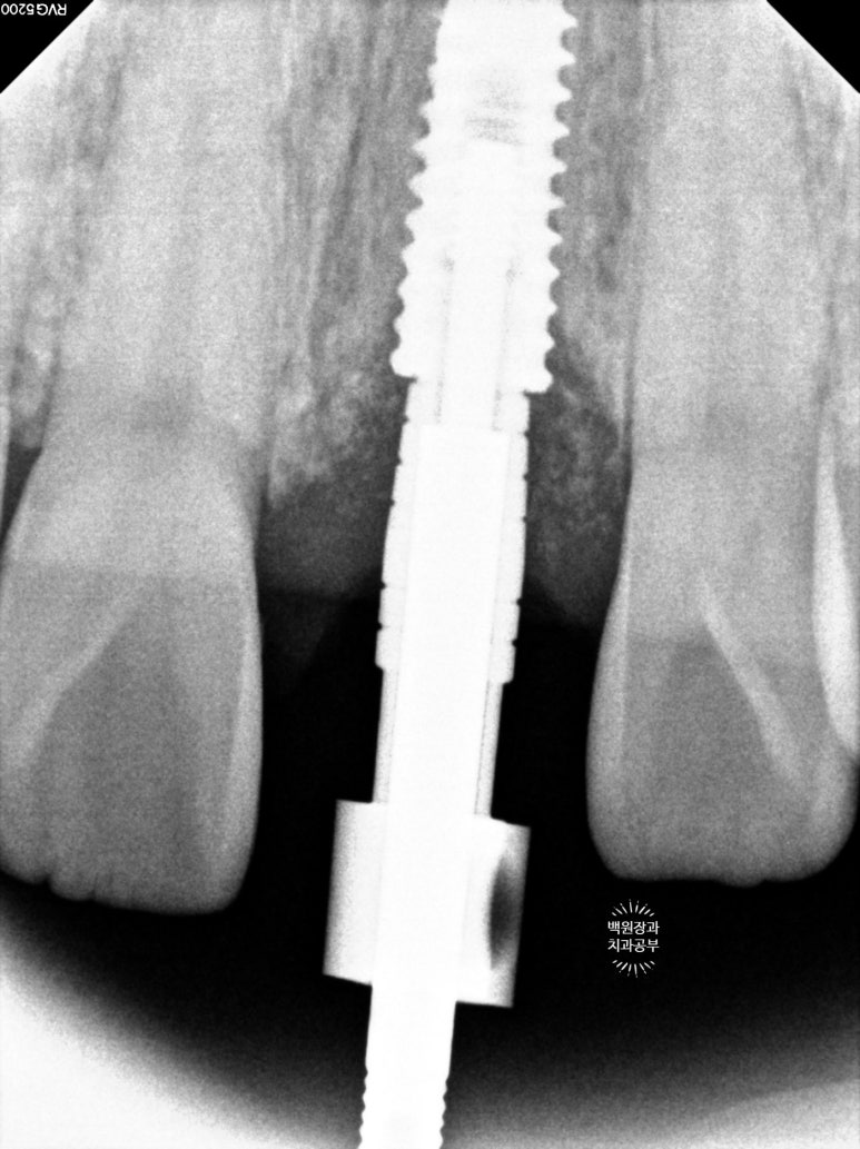
뽄뜨는 날 임플란트와 주변 뼈와의 관계를 평가하기 위해
작은 치근단 촬영도 함께 시행하는데요,
임플란트 주변의 뼈와 이식된 뼈이식재들이 잘 유지됨을 간접적으로 확인할 수 있었습니다.
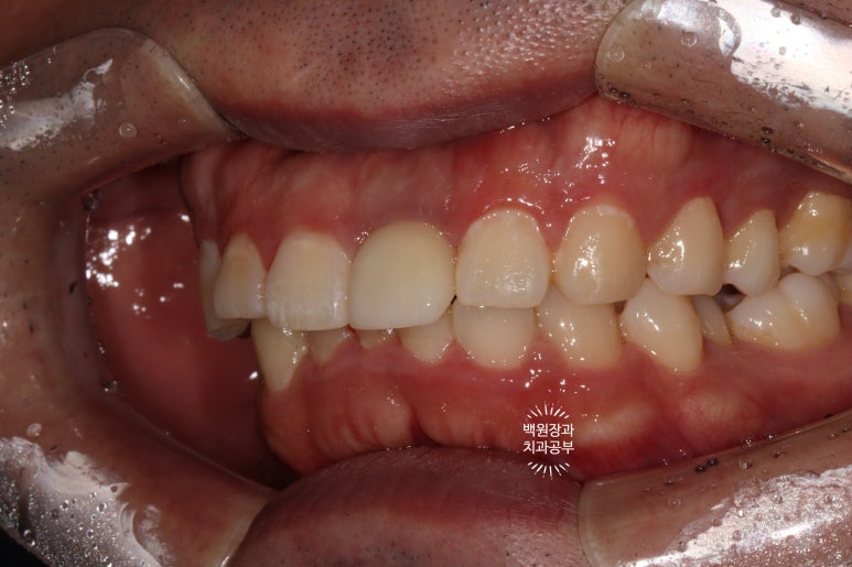
떨리는 앞니 임플란트 완성의 날...

마지막 날은 제가 더 긴장되더라구요.
생각보다 자연스러운 색의 치아와 (white esthetic) 잇몸의 색깔을 보실 수 있습니다. (pink esthetic)

옆에서 보면 왠지 치아 주변이 조금 검은듯한 느낌이 들기는 하나,
바로 옆에 위치한 또다른 가운제 앞니와 비교했을 때 큰 차이 없이 적절한 외형의 임플란트 보철물을 보실 수 있어요.

앞에서 볼 땐 꽤나 자연스러운데,
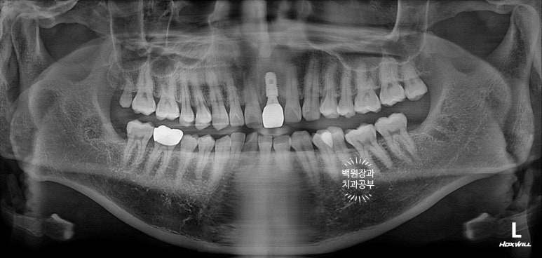
사실 엑스레이로 찍어놓으면 엄청 임플란트 그 자체입니다.!!!
적절히 가운데에 심겨진 임플란트 덕분에 자연스러운 보철물을 만들 수 있었습니다.
앞니 발치 즉시 임플란트 치료 전, 치료 중간, 치료 후 과정을 간략히 보여드릴께요.

왼쪽 위를 보시면 치아가 부러져서 내원하셨을 때,
그 오른쪽은 뿌리만 남은 치아를 제거 후 임플란트를 식립하였을 때 입니다.
왼쪽 아래는 발치 즉시 임플란트 시행 후 임시치아를 제작해 드린 상태이며, 이 단계까지 하루에 가능한 진료입니다.
마지막으로 임플란트 수술한지 3개월 후 보철 완성이 된 모습이며, 티타늄으로 된 임플란트가 정말 잇몸 속에 있는걸까? 싶을 정도로 자연스러운 결과를 보여주고 있어요.!!
저를 믿고 잘 따라와주신 환자분께 감사드리며, 덕분에 아주 좋은 결과로 보답해드릴 수 있어 행복했습니다.
앞니 임플란트는 경험과 지식을 통해 증례를 어떻게 완성할지
전략을 잘 선택해야만 좋은 결과를 가져올 수 있습니다.
요새 치과가 정~~~말 많습니다. 저희 치과가 위치한 5호선 신금호역, 행당역 라인에도 상당히 많은 치과들이 있어요. 저희같이 새로 생기고 비교적 큰 치과도 있는 반면, 오래되고 작은 치과들도 있습니다.
그렇기에 신금호역 치과 행당역 치과 어디를 방문하실지 참 고민이 되실텐데요,
단언컨데 앞니 임플란트는 증례를 잘 선택할 수 있는 치과의사를 만나야만 성공적인 결과를 얻으실 수 있습니다.
앞니 임플란트는 수술 시기에 따라
발치 즉시 임플란트 / 조기 식립 임플란트 / 지연 식립 임플란트 수술로 나뉩니다.
절대로 모든 환자분이 이를 뽑으면서 바로 임플란트를 심을 수 있는게 아닙니다.
보여드린 환자분의 경우, 치아 머리가 부러지긴 했지만 비교적 건강한 잇몸뼈를 갖고 계셔 수술하기 좋은 조건을 갖고계셨고 치아 뿌리의 형태도 발치하기에 용이했습니다.
그렇기 때문에 발치 즉시 임플란트를 권해드릴 수 있었습니다. 여담으로 외과적 정출술을 행하기에도 나쁘지 않은 증례라고 생각됩니다.
그렇지만, 잇몸 질환 (치주염, 풍치)이 있으신 분들은 무리해서 발치 즉시 임플란트를 시도하다가 정말 속된말로 망해버릴 수가 있습니다....

저희 동네 다른 치과에서 (상호는 밝히지 않지만...) 무리하게 앞니 임플란트를 진행하다 뿌리부분인 고정체를 너무 깊게 심어 치아가 상당히 길어져버린 환자분입니다.
매우 비심미적인 결과를 볼 수 있으며, 역시나 매우 불만족 하시고 계셨어요..
그래서 저희 치과에 오시긴 하셨습니다만 이렇게 한 번 잘못 설치된 임플란트는 다시 예쁘게 만들어내기가 불가능하다고 보셔야합니다.
적어도 치료가 끝나면 어떤 모양일지 설명을 들을 수 있고, 그에 따라 어떤 치료 계획을 수립하고 어떻게 진행할지 정확한 상담을 받을 수 있는 치과를 선택하시길 바랍니다.
온라인상으로나마 상담을 원하신다면, 최대한 성실한 답변을 드려보도록 할께요 :)
치료기간은 이를 뽑을 때부터 완성까지 약 3개월 반 정도 걸렸습니다.
실제로 내원하신 횟수는 7회입니다.
비용이 궁금하신 분들은 댓글을 달아주세요 :) 친절히 안내해드리도록 하겠습니다.
이상 '앞니가 기둥째 부러졌어요. 발치 동시 뼈이식 오스템 BA 임플란트. 치료과정/치료기간/비용/후기. 신금호역 치과.' 에 관한 포스팅의 치과 백원장이었습니다. 긴 글 읽어주셔서 감사드리며, 궁금한 점은 언제든지 댓글로 문의해주세요!
더 좋은 포스팅으로 또 찾아뵙겠습니다 ^^
본 포스팅은 환자분의 동의 후 작성하였습니다.
치료 시작: 2021.07.18
치료 완료: 2021.11.01
예상되는 부작용: 술 후 통증과 부종, 임플란트 골유착 실패 등