안녕하세요.
임플란트 장인을 꿈꾸는 치과 백원장입니다.
모든 케이스는 제 환자분들의 동의하 제가 직접 작성하는 포스팅임을 미리 알려드립니다!!
오늘 소개해드려볼 환자분은
어금니가 상실된 상태로 오랫동안 치료받지 않고 지내시어
앞니는 뿌리만 남고, 교합을 모두 잃어버렸던 환자분입니다.
말이 어렵죠? 치아를 상실한 채로 무시하고 계속 지내시다보면, 원래의 교합을 천천히 잃어버리게 되는데요..
보통 full arch rehabilitation이라고 하는데, 위아래 전체 치아의 새로운 재건이 필요한 상태였습니다.
이미 잃어버린 아래턱의 위치로 오랫동안 적응되어 지내온지라, 이를 원래대로 돌리는 치료는 매우 어렵습니다.
저희 치과에서는 수술은 치주과 전문의인 제가, 보철은 보철과 전문의 원장님이 함께 협진하여 좋은 결과를 만들고 있습니다.
성동구 내에서도 행당동/금호동 근처 거주시라면 더욱 눈여겨 봐주세요:) ㅎㅎ
전체 임플란트의 치료과정과 기간 그리고 비용에 대해서는 앞선 포스팅을 참고해주시면 됩니다.!
저희는 성동구 임플란트 치과입니다.!!

다 뽑고 임플란트를 해야한다고 들었어요.
살릴 수 있는 치아는 살리고 전체 임플란트 치료를 받고 싶어요.



Previous image Next image
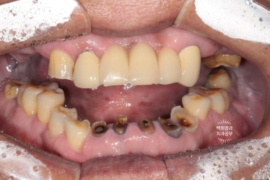
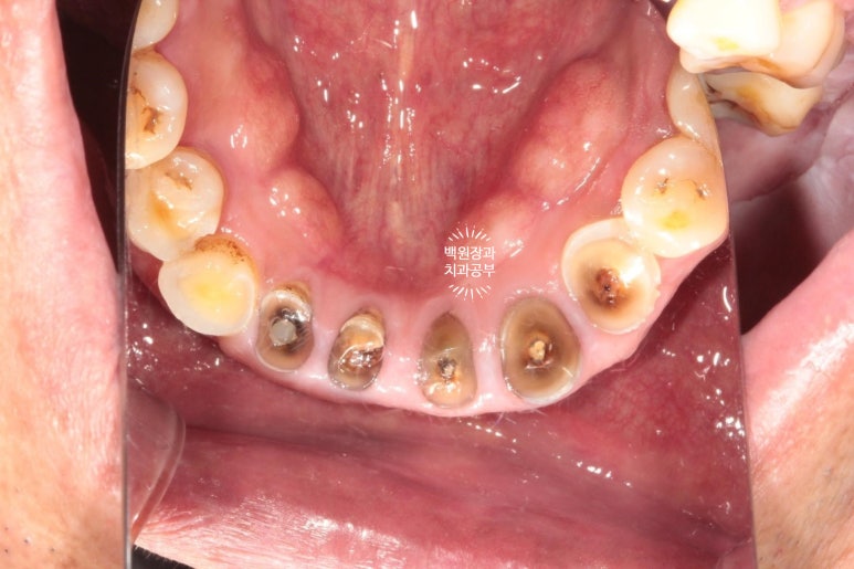
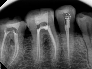
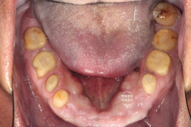
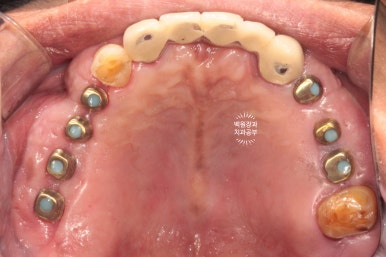
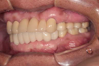
처음 오셨을 때의 상태입니다.
엑스레이를 같이 참고해 보셔야 하는데요,

양쪽 위 큰 어금니가 모두 발치된 상태로 오래 지내신 분이었어요.
보시면 상대적으로 아래 앞니가 머리가 매우 조금만 남아있는 것을 보실 수 있으실텐데요,
아래 앞니가 저렇게까지 극적으로 사라지게 된 경위를 살펴보자니
-
위 어금니가 없는채로 오래 지내시다보니
-
주로 앞니로 식사를 하게 됩니다.
-
위 앞니는 금속-도재 고정성보철물(PFM bridge)로 제작이 되어있는데요, 도재가 씌워진 보철물에 의해 아래 앞니의 마모가 가속화되고
-
결국 아래 앞니의 머리가 없어질때까지 깨지고 닳고.. 그런 과정을 거치게 된 것이죠.
대구치의 상실은 교합의 붕괴에 가장 큰 영향을 주는 것 같습니다.
Full arch rehabilitation은 치과에서 가장 보람된 치료지만, 한편으로 가장 어려운 치료입니다.

아래 앞니의 마모도가 상당히 심합니다.
치과에서 교모(attrition)라고도 하는데요, 머리가 닳아 없어지다보니 치아 내부의 신경관이 드러나게 되고
그렇게 발생한 치통을 해결하기 위해 신경치료를 모두 받으셨던 흔적도 보여요.
여튼.. 심각합니다. 치료가 시급한 상태셨어요.
성동구 임플란트 치과! 검색하고 저희 치과에 찾아오셨습니다!
잃어버린 어금니를 복구하여, 교합력을 받아줄 수 있게 해야합니다.
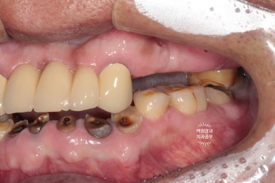
교합이 무너진 환자분.. 치료계획은 어떻게 ?

노란색 동그라미로 표시한 위턱 어금니는 당연히 틀니 혹은 임플란트로 만들어주어야 합니다.
환자분은 고정식 치료를 원하셨기 때문에, 위턱의 빈 자리에 전체 임플란트 수술을 계획하였습니다.
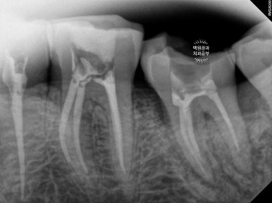
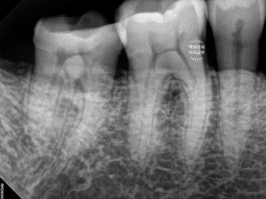
아래 어금니들은 위 어금니가 없는 사이에 너무 많이 정출되어 있었어요.
치아가 교합평면 (occlusal plain)을 기준으로 보았을 때 너무 튀어나왔기 때문에 깎아 내릴 필요가 있었어요.
(녹색 화살표로 표시해 둔 치아들은 3-4mm 이상 정출되어 있었어요. 대합치가 없기 때문이죠.)
다른 치과에서는 아래 어금니도 다 뽑고 임플란트를 하자고 하셨었는데, 치아들의 흔들거림이 없었기에 신경치료와 크라운치료로 아래 어금니들을 최대한 활용해보기로 계획했습니다.
정말 뿌리만 남았던 아래 앞니는 제거했습니다.
위턱 어금니가 없어 빈 자리에 임플란트 1차 수술을 하였습니다.

임플란트가 많이 필요한 이런 전체 구강재건 케이스의 경우는, 이를 뽑거나 임플란트를 심는 수술적인 치료가 선행됩니다. 이번 환자분은 아래 앞니가 너무 짧았고, 뿌리끝에 염증까지 있었기에 재신경치료를 하지 않고 발치하였습니다. 그리고 위턱뼈에는 총 7개의 임플란트를 심어드렸어요.
아래 앞니가 닳아 없어지도록 사용하셨던 것으로 보아, 교합력이 상당하다고 생각되기에 임플란트는 최대한 두꺼운 것을 심어드렸습니다.
임플란트가 얇아지면 추후에 임플란트 찢어짐 (또는 파절) 가능성이 높아지기에 최대한 많이, 그리고 두꺼운 임플란트를 심어드려야 합니다.
동시에 너무 많이 정출되었던 아래 어금니들의 신경치료를 진행하였습니다.


성동구 금호동에 위치한 저희 치과에는 신경치료 (근관치료)를 담당해주시는 보존과 원장님이 계셔요.
생각보다 보존과 전문의.. 만나기 쉽지 않습니다. (제 생각에 반경 500m 에선 유일한..?)
그러고보니 치주과, 보철과, 보존과 3인 치과 전문의 협진진료 증례이군요!!! 논문에 내야하나....
왼쪽 아래 어금니들의 신경치료가 훌륭하게 성공적으로 진행되었습니다.
의도적 근관치료 (intentional root canal treatment)라고도 합니다.


오른쪽 아래 어금니들도 성공적으로 근관치료를 마쳤습니다.
신경치료를 마친 치아들은 통증을 느끼지 않는 상태가 되므로, 정출된 양을 모두 삭제하여 씌워도 아프지 않게 됩니다. 저희 환자분 같은 경우 치아 주변 치조골의 상태는 매우 양호하였으므로 의도적 근관치료를 동반한 보철치료를 선택한 것이 아주 적절하다고 볼 수 있지요.

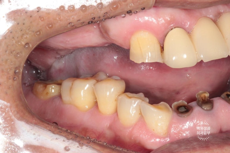
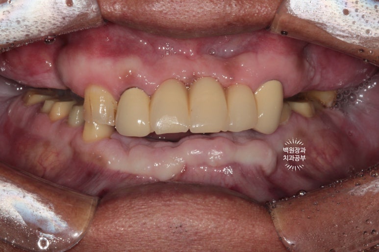
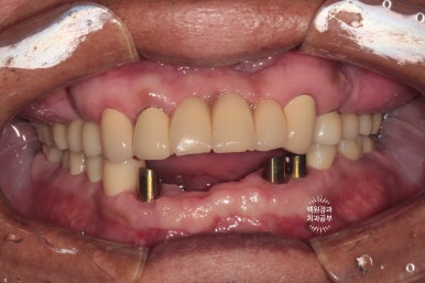
위 어금니와 아래 앞니가 없는 상태입니다.
보시면 아주 최소한의 치아만 닿고 있는게 보이시죠?
성인 남성의 턱 힘을 견뎌내기에 무리가 있어요. 그래서 치아가 자꾸 깨져나가게 되지요.
임플란트라는 것이 있어서, 틀니 없이 회복할 수 있음에 늘 감사하면서 진료하고 있습니다.


여담입니다만, 왼쪽 사진을 보시면 임플란트 상부가 구강내로 노출된 것을 보실 수 있을거에요.
흡연자의 경우 담배 연기가 혈관이 수축하게 하는 역할을 하기 때문에 치유가 상당히 더뎌집니다.
그래서 수술 부위가 불완전하게 아물게 되고, 원치 않게 임플란트의 일부가 노출되게 되어요.
또한 골재생도 불량해지고 이후 임플란트의 예후 또한 좋지 않습니다.
그래서 이러한 치료를 받으시기 전에 금연이 선행되어야 하는 것이 원칙입니다.!!
건강한 구강관리를 위해 금연..... 꼭 해주셔야해요 !!!!!
적어도 연초는 금해주세요. 전자담배로 교체라도 꼬옥 !!!!!!
신경치료를 받은 어금니들에게 임시치아를 제작해주었습니다.
아래 앞니 부위는 임플란트 1차 수술을 시행하였습니다.

신경치료를 받고나면, 치아 가운데에 구멍이 생겨 치아가 구조적으로 약해집니다.
이를 보강하기 위해 임시치아를 제작해 드렸었어요.
그러면서 기다리는 동안 잘 아물은 아래 앞니쪽에 임플란트를 심어드렸습니다.
치료가 잘 되어있는 것이 보이고, 슬슬 윤곽이 잡혀가네요!!
약 3개월 정도 시간이 흘러 위 임플란트의 2차 수술을 시행하였습니다.

위턱뼈에 임플란트를 심은 경우 그 치유기간을 약 3개월 정도로 설정합니다.
건강한 뼈와 새로 위치된 임플란트 사이에 새로운 잇몸뼈 (신생골)가 골유착을 형성하는데 걸리는 시간이지요.
보시면 위 임플란트, 아래 임플란트 모두 뚜껑이 생겨있어요!
임플란트 수술 후 치유기간을 많이들 문의하시는데, 저같은 경우 위턱은 3개월 아래턱은 2개월 기다리고 만약 뼈이식을 하는 경우라면 위치 상관없이 3개월 정도 치유기간을 가집니다.
다만, 요새 저희 치과에서 오스템BA임플란트를 주력으로 사용하면서 치유기간을 2주 정도 줄여보고 있어요!
같은 오스템임플란트라도 SA 인지 CA 인지 BA 인지 확인하고 치료받으시길 권해드립니다.!!
(SA->CA->BA 순으로 출시되었어요.)
임플란트 2차수술 2주가 지나고, 보철 제작을 시작합니다.
임시치아를 먼저 제작해드렸습니다.


시간이 흘러 잇몸이 아물고 위 임플란트의 임시 보철물을 제작해 드렸습니다.
왼쪽은 임플란트에 맞춤형 지대주 (custom abutment)를 연결한 사진이고,
오른쪽은 그 맞춤형 지대주에 임시치아 (temporary crown)을 접착한 사진입니다.
왜 임시 치아를 만드냐구요?
이렇게 오랜만에 어금니가 생기는 경우, 환자분이 쉽게 적응하여 씹는 기능을 발휘하시기 쉽지 않아요.
저는 재활치료라는 표현을 쓰는데요, 마치 재활치료를 하듯 새로 생긴 임플란트를 사용하는 연습시간을 갖는것이지요. 보통 빠르면 2주, 느리면 4주 정도 걸렸던 것 같아요.
같은 방법으로 아래 앞니에 맞춤형 지대주와 임시치아를 제작하여 접착해드렸어요.



Previous image Next image
이제 슬슬 치료가 끝나가는게 보이실거에요!
사실 뚝딱뚝딱 진행되고 있는 것처럼 보이시겠지만, 사람은 로보트가 아니기에 마냥 수월하지만은 않아요..
환자분의 부단한 노력과 치과의료진의 최선과 정성을 다한 결과물입니다.
색상이 다소 맞지 않습니다만, 이는 플라스틱 재질과 비슷한 임시치아이므로 기능을 잘 하실 수 있는지 평가하는데 집중해봅니다.!!
양쪽 어금니가 잘 물리고 이제 밥을 먹을 수 있어요.
이렇게 얘기하시면 이제 치료의 끝이 보이는겁니다.ㅠㅠ
환자분도 저희도 밀려오는 감동을 감내할 타이밍이 오고 있군요 !!


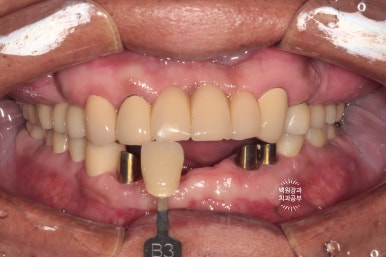
shade guide를 사용하여 치아의 색상을 측정해 봅니다.
기존에 사용하고 계시던 위 앞니의 보철물이 B3 색상에 가까웠기 때문에, 그 색상으로 제작하기로 결정!!
치아의 색상을 결정할 때는 환자 안모의 피부톤도 감안하여서 정해야 합니다.
어두운 색상의 피부를 가진 60대 환자분에게 어울리는 치아 색상으로 정해보았어요. 너무 하야면 가짜같아요...
성동구 임플란트 치과.. 라고 칭해도 될 것 같지 않나요..?
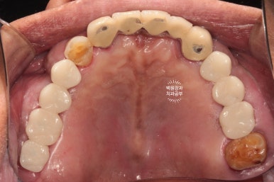
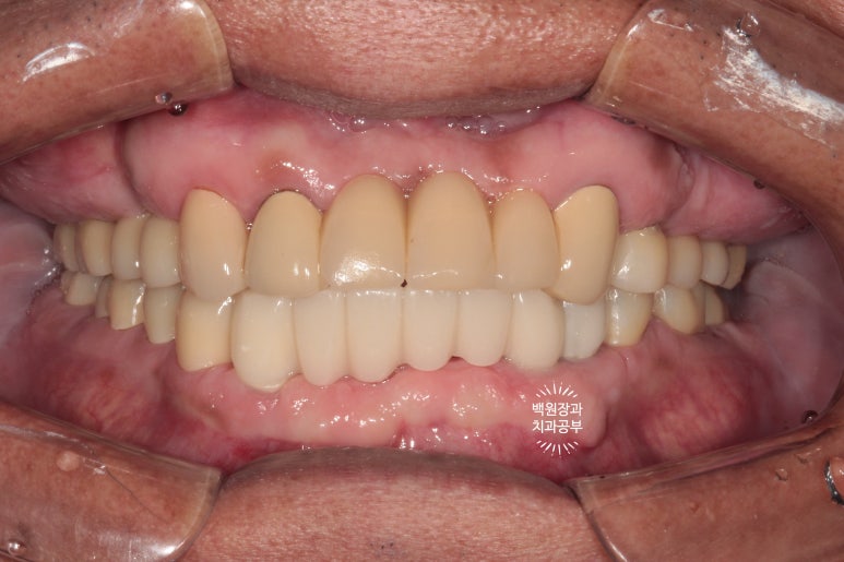
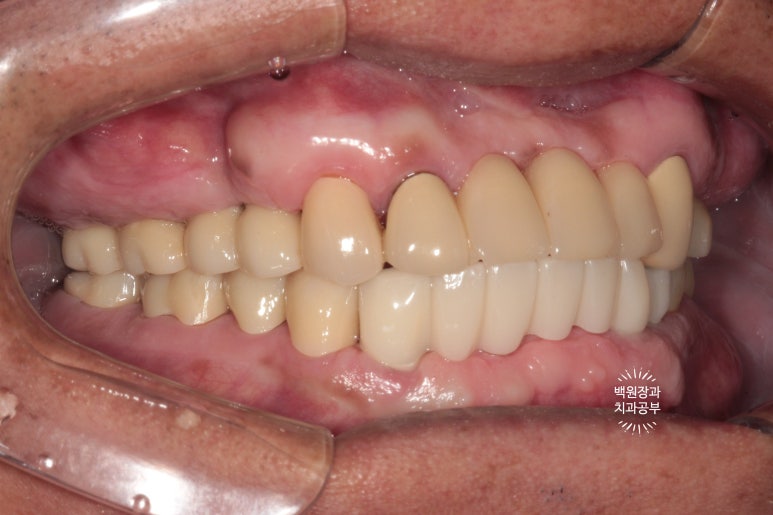
대망의 치료 완료!!!!!



Previous image Next image
우리 모두가 학수고대한 시간입니다.
보철물이 모두 완성되었어요.!!!
처음 이를 뽑기 시작한 때부터 정확히 9개월이 지난 시점입니다.
비용의 절감을 위해 기능적으로 문제가 없었던 위 앞니 보철물은 그대로 사용하고 계신 상태라
그 부분이 조금 부족한 느낌은 있지만,
새로 만든 치아들은 아주 조화로운 모양과 색상을 보여주고 있네요!!


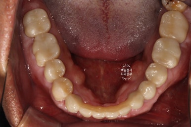
위 아래 교합면 사진입니다.
임플란트를 교합면에서 보았을 때, 잘 식립되어 있는 경우 저렇게 동그라미들을 보실 수 있습니다.
바로 screw hole 인데요, 추후 임플란트를 수리해야 할 일이 있을 때, 다시 개방하는 screw 입구입니다.
현재는 레진으로 메꿔져 있어요.
아래 어금니 지르코니아 크라운들도 해부학적 형태가 잘 재현되어 있고,
조화로운 모양과 색상으로 거의 자연치와 흡사한 형태를 보여주고 있어요.!!!

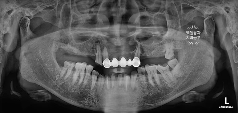
치과용 파노라마 엑스레이를 보시면 더 드라마틱한 변화를 느끼실 수 있어요.
다수의 치아가 씌워지고, 임플란트로 회복되어 마치 사이보그같은(?!) 느낌이 들긴 하지만,
정갈하게 치료가 잘 된 느낌입니다.!!!
임플란트의 위치가 적절히 배치되어 있어, 임플란트에서 크라운까지 이어지는 emergency profile이 예술이네요.

들쭉날쭉한 치아 없이 조화로운 교합이 형성되어 있는 것을 보실 수 있을거에요.
교합평면도 가지런하게 형성되어 보입니다.
Before & After!!

한 장의 슬라이드로 요약해 보았습니다.!
위의 두 장의 사진이 저희 병원에 처음 내원하셨을 때의 사진입니다.
아래 두 장의 사진은 저희 병원에서 약 9개월간의 치료를 받으신 후의 결과이구요.
식사가 거의 불가했던 환자분이 어금니를 회복함으로 인해 양쪽으로 식사가 가능한 상태가 되셨고,
뿌리만 남아 기능적, 심미적으로 불량했던 아래 앞니는 임플란트 치료를 통해 올바른 길이와 모양으로 재탄생 하였습니다.
저를 믿고 잘 따라와주신 환자분께 감사드리며, 덕분에 아주 좋은 결과로 보답해드릴 수 있어 행복했습니다.
목적지를 향해 갈 때, 가장 중요한 것은 어떻게 갈지 미리 잘 계획을 짜두는 것입니다.
어디로 가야할지, 어떻게 무엇을 타고 가야할지 사전 지식이 있어야 목적지에 제 시간에 도착할 수 있죠.
그리고 그렇게 철저하게 준비해도 중간중간 돌발상황에 대처할 수 있는 능력도 있어야 할겁니다.
full arch rehabilitation - 구강의 정상적인 심미적/기능적 재건을 위한 치료 계획도 마찬가지입니다.
치아 하나를 회복하는 것과 달리 상당히 많은 고려사항과 경험이 필요하다고 할 수 있습니다.
그리고 교과서에 적혀있는 원칙대로 한 과정 한 과정 정성껏 시행해야 좋은 결과를 얻을 수 있어요.
이를 위해 최신 지견을 갖고 있는 치과 전문의간 협진이 중요하고, 보조적인 Tool로써 네비게이션 임플란트 수술 등 최신 수술 방법이 곁들여지면 더 도움이 될거라 생각합니다.
온라인상으로나마 상담을 원하신다면, 최대한 성실한 답변을 드려보도록 하겠습니다! :)
치료기간은 이를 뽑을 때부터 완성까지 약 9개월 정도 걸렸습니다.
실제로 내원하신 횟수는 약 20회입니다. 그래도 한달에 2번 꼴이네요~
비용이 궁금하신 분들은 댓글을 달아주세요 :) 친절히 안내해드리도록 하겠습니다.
이상 '뿌리만 남은 앞니, 어금니가 없어 교합이 무너진 증례. 흡연자의 전체임플란트 재건증례. 성동구 임플란트치과..' 에 관한 포스팅의 치과 백원장이었습니다. 긴 글 읽어주셔서 감사드리며, 궁금한 점은 언제든지 댓글로 문의해주세요!
더 좋은 포스팅으로 또 찾아뵙겠습니다 ^^
본 포스팅은 환자분의 동의 후 작성하였습니다.
치료 시작: 2021.12.16
치료 완료: 2021.09.13
예상되는 부작용: 술 후 통증과 부종, 임플란트 골유착 실패 등