아카이브 요약
이 페이지의 역할
레브치과의원 강남점의 네이버 블로그 원문을 보존한 아카이브 페이지입니다. 전체 임플란트 카테고리의 임플란트틀니 - 오버덴쳐. 오스템BA임플란트 이용한 최고의 가성비 치료. 치료과정/치료기간/비용/후기. 글을 통해 병원의 한국어 정보 제공 방식과 진료 관련 안내 톤을 확인할 수 있습니다.
원문 검증
필요하면 원문 블로그와 병원 프로필로 바로 이동해 문맥을 다시 확인할 수 있습니다.
출처 아카이브 열기아카이브된 블로그 글
레브치과의원 강남점 · Naver Blog
안녕하세요. 임플란트 장인을 꿈꾸는 치과 백원장입니다. 모든 케이스는 제 환자분들의 동의하 제가 직접 작성하는 포스팅임을 미리 알려드립니다!! 오늘 소개해드릴 환자분은, 뿌리만 남은 위턱 치아를 모두 뽑고 틀니로 치료를 받고 싶다는 환자분이었어요. 그리고 아래턱에 옛날에 임플란트 틀니로 치료를 받았지만, 만족도가...
게시일
2022년 12월 17일
원문 기준으로 확인된 발행일입니다.
카테고리
전체 임플란트
원문 블로그 카테고리를 정리해 함께 표시합니다.
이미지 수
22
현재 아카이브에 연결된 이미지 수입니다.
아카이브 요약
레브치과의원 강남점의 네이버 블로그 원문을 보존한 아카이브 페이지입니다. 전체 임플란트 카테고리의 임플란트틀니 - 오버덴쳐. 오스템BA임플란트 이용한 최고의 가성비 치료. 치료과정/치료기간/비용/후기. 글을 통해 병원의 한국어 정보 제공 방식과 진료 관련 안내 톤을 확인할 수 있습니다.
원문 검증
필요하면 원문 블로그와 병원 프로필로 바로 이동해 문맥을 다시 확인할 수 있습니다.
출처 아카이브 열기안녕하세요.
임플란트 장인을 꿈꾸는 치과 백원장입니다.
모든 케이스는 제 환자분들의 동의하 제가 직접 작성하는 포스팅임을 미리 알려드립니다!!
오늘 소개해드릴 환자분은,
뿌리만 남은 위턱 치아를 모두 뽑고 틀니로 치료를 받고 싶다는 환자분이었어요.
그리고 아래턱에 옛날에 임플란트 틀니로 치료를 받았지만, 만족도가 너~무 떨어져서 새로 교체를 하고 싶다고도 하셨습니다.
일반적으로 솔직히 틀니는 치과에서 기피하는 치료입니다.
물론 비용 문제도 있지만, 치료가 어렵고 상대적으로 만족도가 떨어지기 때문이에요.
잇몸에 딱딱한 틀니를 얹어서 밥을 먹는다... 상상을 해보셨나요? ㅠㅠ 정말 어려운 일입니다.
그래서 등장한 것이 임플란트틀니인데요,
치과에서는 오버덴쳐 (overdenture)라고 부릅니다.
비용적인 문제 혹은 전신적인 문제로 임플란트로 모든 치료를 하지 못할 때,
틀니로 치료를 받으시지만, 틀니가 잘 떨어지지 않도록 임플란트의 도움을 함께 받는 치료에요.
전체 임플란트에 관하여는 제가 이전에 상세히 포스팅해둔 적이 있으니 참고해보세요 :)
저희는 보철과 전문의가 상주하는 성동구 금호동 임플란트 전문 치과입니다.!!

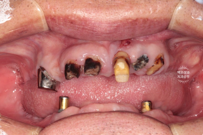
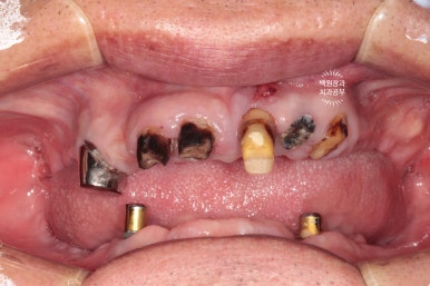
뿌리만 남은 치아가 많아요.
임플란트로 치료 받고 싶긴 한데.. 경제적으로 어려워 틀니 치료 받고 싶어요.

원래는 위턱은 앞니 브릿지 + 부분 틀니 조합으로,
아래턱은 임플란트 틀니 (오버덴쳐)로 사용을 하고 계셨었어요.
그런데 위 앞니 보철물이 이차충치로 인해 떨어져 나가게 되면서 보니 충치가 심해서 뿌리만 남았더라구요..


보시다시피 상태가 좀 심각했습니다.
그리고 왼쪽 사진을 보시면, 회색의 무언가가 보이실텐데...
잇몸뼈 안에 있어야할 임플란트가 주변의 뼈가 녹아 없어지면서 드러나 있는 상태였어요.

위턱을 보시면 정말로 뿌리만 있는 치아를 보실 수 있어요.
다만, 남은 잇몸뼈들은 상대적으로 건전하여 틀니를 하기에는 무리가 없어 보였습니다.

아래는 임플란트 2개를 이용한 임플란트 틀니 (=오버덴쳐)를 사용중이셨는데요,
왼쪽 임플란트는 이미 잇몸 밖으로 임플란트의 일부가 드러나 있었어요.
임플란트 주위염이라고 부르는데요~ 상태가 심각하여 제거해야하는 수준이었습니다.
비교적 오른쪽 임플란트는 낫군요..


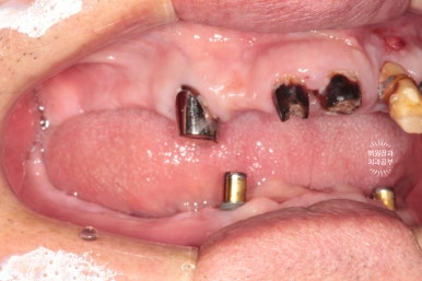
왼쪽: 위 앞니 보철물 + 부분틀니, 오른쪽: 임플란트 오버덴쳐???
사용하시던 틀니를 보아하니...
위턱에 사용하시던 보철물은 다 부러져 있었고,
아래턱에 사용하시던 틀니는 오버덴쳐인 줄 알았더니 오버덴쳐가 아니었어요.
틀니에 구멍 보이시나요?? 그냥 적당한 자리에 임플란트 두개 심고
틀니에 구멍을 내서 껴놓으셨더라구요.........
이런건 절대 교과서적인 치료가 아닙니다.
얼마나 환자분이 힘드셨을까요? ㅠㅠ
남은치아는 모두 뽑으시는게 좋겠어요.
위턱은 보험 전체틀니,
아래턱은 임플란트 2개의 힘을 빌리는 임플란트 틀니(오버덴쳐)로 치료해봅시다!
사실 이렇게까지 치아가 망가지는데도 치과에 오지 못하셨던건,
역시나 비용적인 부담이 크셨기 때문이에요.
전체 임플란트를 하시면 가~장 기능적으로도 좋긴 하겠지만 이는 어려웠기 때문에,
만 65세 이상인 70세의 환자분이심을 감안하여
건강보험혜택을 받을 수 있도록 위턱에는 전체틀니, 아래는 임플란트틀니로 치료해보기로 하였습니다.
가성비가 가장 좋은 치료를 추천해드려보았지요.
가장 저렴한건 위턱, 아래턱 '모두' 전체틀니로 하는 것 아닌가요?
네 맞습니다!! 위아래 모두 보험전체틀니로 하면 가장 저렴합니다.
무려 100만원 남짓에 해결할 수 있으니깐요...
그렇지만, 아래턱의 경우 혀가 있기 때문에 전체틀니를 제작할 경우 밥먹을 때 틀니도 같이 떨어져 씹게되는...
실제로는 사용이 너무너무너무 어려운 불상사가 생기게 됩니다.
그래서 저희 병원은 아래전체틀니는 권하지도 않고 하지도 않아요.
책임지지 못할 치료는 아예 하지 않겠습니다.....
뽑아야 할 위턱 치아는 모두 뽑고,
아래 임플란트 2개는 못쓰니까 제거하고
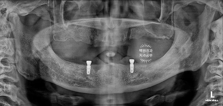
새 오스템BA임플란트 2개 심어드렸습니다.

저희 병원에 처음 오셨을 때 치과용 파노라마 엑스레이 사진이에요.
치아가 거의 없으셨어요... 뿌리만 남은 위턱 치아들은 모두 제거하기로 하였고....
이제 임플란트주위염 (peri-implantitis)로 사용하기 어렵게 된 임플란트를 포함하여 2개 모두 제거하기로 했습니다.

짜잔!!! 뿌리만 있던 치아들은 깔끔하게 제거되었고,
건전한 뼈가 있는 곳에 새로이 임플란트 두개를 심어드렸어요.
심고 나니 조금 더 가운데에 심었으면 좋았을텐데... 그치만 앞니 부위는 잇몸뼈의 폭이 너무나 좁았습니다.

제거된 두개의 임플란트 입니다.
오스템 임플란트의 임플란트제거 전용 키트를 사용하여 비교적 수월하게 제거할 수 있었어요.
임플란트를 심어내는 것보다도 더 어려운 것이 제거하는 것입니다.
성형외과에서도 재수술이 더 힘들다고 하잖아요~ 그와 마찬가지로 임플란트도 재수술이 훨씬 더 어렵습니다!
성동구 금호동에서 임플란트 재수술 하면... 저희 치과 오시면 됩니다! ㅎㅎ
이렇게 임플란트를 심어드리고, 임시틀니를 사용하시면서 2달 정도를 기다리시면
새로운 임플란트와 잇몸뼈가 골유착 과정을 거치면서 틀니를 연결할 수 있는 상태가 됩니다.
틀니를 제작해드렸습니다.

먼저 임플란트를 심어드린 아래턱 모습입니다.
두 개의 임플란트에 금색으로 된 모자를 연결해 주었어요.
이 부분이 나중에 임플란트와 연결할 단추 역할을 해줍니다.

이번에 새로 제작된 틀니입니다.
왼쪽이 위턱 오른쪽이 아래턱.. 잘 모르시겠죠?

왼쪽이 위턱, 오른쪽이 아래턱입니다.
눈치 빠르신 분은 아셨을텐데요, 아래턱 틀니의 치아가 없는 조직면을 보시면 구멍이 두개 뚫려있어요.
그 부분이 나중에 입 안에 튀어나와있는 금색 부분과 연결될 자리 !!

아래턱 틀니 안쪽면에 이렇게 까만색의 파트를 연결해주면,
입안에 틀니를 장착하실 때 딸깍딸깍 뺐다꼈다를 하실 수 있게 되어요.!!
이 녀석의 이름이 바로 오버덴쳐(overdenture)입니다. :)

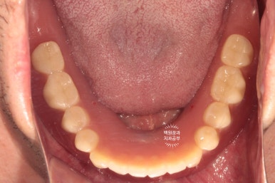
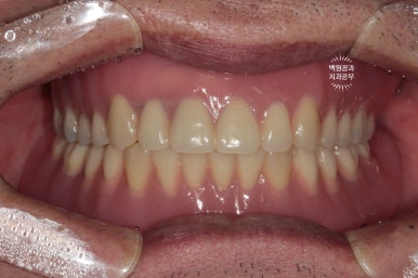
이렇게 완성된 위아래 틀니를 착용하신 상태입니다.!
임플란트보다 틀니가 나은점은 분홍색 잇몸부분을 갖고 있기 때문에, 생각보다 예뻐보인다는 것..
덕분에 10년은 젊어보이시는 외모를 되찾으셨습니다.!
틀니는 1주일 뒤에 잘 사용하시는지 꼭 체크해야합니다.!


틀니를 처음 하시면 무조건 아픈 곳이 생기실 수 밖에 없어요.
모든 잇몸이 균일하게 틀니에 닿아 비슷한 힘을 받아야 하는데, 그것을 구현하기 어렵기 때문이에요!
그래서 1주일 뒤에 내원하셔서 약간의 조정을 해드려야 합니다.
틀니를 뺐을 때, 잇몸에 상처가 있는지 확인합니다.
본 환자분 같은 경우엔 큰 불편감이 없다고 하셔서 아주 성공적-!!


원래 틀니를 장착하셨던 분이라서 적응이 더욱 빠르신 것 같았어요.
일반적으로 위턱 완전틀니는 대부분 쉽게 적응을 잘 하시는데요,
난이도가 가장 어려운 틀니가 아래턱 완전틀니인데, 그러한 경우 사용하는데 있어 강력하게 도움을 줄 수 있는 시스템이 바로 임플란트틀니- 오버덴쳐입니다.
Before & After!!


임플란트 틀니. 잘만 사용하면 전체 임플란트 못지않게 효율적인 치료입니다!
그리고 퀄리티가 상당히 좋은 훌륭한 치료입니다.
이상 보철과 전문의, 치주과 전문의가 상주하는 금호동 임플란트 치과. 치과 백원장이었습니다.
다수의 치아를 상실하여 임플란트를 여러개 할 수 밖에 없는 분들의 가장 큰 고민은 바로 비용입니다.
그리고 큰 수술에 대한 막연한 불안감과 두려움이지요.
연세가 많으시거나, 갖고 있는 뼈가 정말 너~~~무 적어서, 혹은 피가 묽어지는 약을 드셔서 (아스피린 등) 수술을 하기 어려운 분들이 생각보다 많습니다.
특히 어르신들이실텐데, 전체 임플란트는 정말 쉽지 않은 결정이지요.
그래서 대부분 다 뽑고 전체틀니를 해야지 해야지 하시는데, 이 또한 막연하긴 합니다만,
결정을 하셔야 할 때 위턱은 전체틀니가 가성비가 가장 좋고, 아래턱은 임플란트를 2개만 심어서 틀니를 연결해주는 오버덴쳐가 가성비가 가장 좋습니다.
아래턱에 전체틀니를 만드신다는 것... 정말 정말 너무나 후회하시기 쉬운 일입니다.
한 번 틀니를 만드시면 5년 10년 쓰셔야 할텐데, 특히나 아래턱은 전체 임플란트 혹은 임플란트의 힘들 빌리는 임플란트틀니 (=오버덴쳐)를 고려해보시길 권해드리고 싶어 이 포스팅을 길게 쓰게 되었습니다.
연세가 많으신 분들이 제 포스팅을 볼 거라 기대하진 않지만, 혹시 주변 지인이나 가족분들이 전체틀니를 고려하고 있으시다면 한 번 쯤 임플란트틀니 상담을 권해드려보시길 바랍니다.
분명, 훨씬 큰 만족감과 행복감이 있을거에요.
온라인상으로나마 상담을 원하신다면, 최대한 성실한 답변을 드려보도록 하겠습니다! :)
치료기간은 이를 뽑을 때부터 완성까지 약 5개월 정도 걸렸습니다.
실제로 내원하신 횟수는 약 10회입니다.
비용이 궁금하신 분들은 댓글을 달아주세요 :) 친절히 안내해드리도록 하겠습니다.
이상 '임플란트 틀니 - 오버덴쳐. 오스템BA임플란트 이용한 최고의 가성비 치료. 치료과정/치료기간/비용/후기. 금호동 치과' 에 관한 포스팅의 치과 백원장이었습니다. 긴 글 읽어주셔서 감사드리며, 궁금한 점은 언제든지 댓글로 문의해주세요!
더 좋은 포스팅으로 또 찾아뵙겠습니다 ^^
본 포스팅은 환자분의 동의 후 작성하였습니다.
치료 시작: 2021.10.22
치료 완료: 2022.03.22
예상되는 부작용: 술 후 통증과 부종, 임플란트 골유착 실패 등