안녕하세요.
임플란트 장인을 꿈꾸는 치과 백원장입니다.
모든 케이스는 제 환자분들의 동의하 제가 직접 작성하는 포스팅임을 미리 알려드립니다!!
오늘 소개해드릴 환자분은,
오른쪽 아래 신경치료한 치아가 뿌리만 남아 빼고 임플란트를 해야한다고 들었어요.
라는 주소로 내원하신 환자분이었습니다.
저희는 성동구 신금호역 치과입니다.

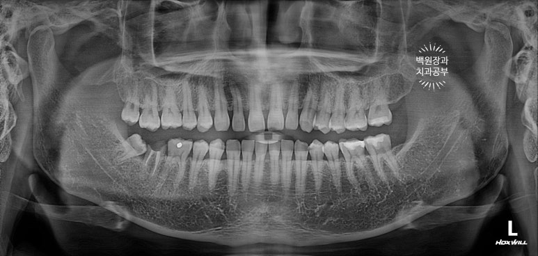
먼저 전체 치과용 파노라마 엑스레이부터 볼까요?

어색하게 깡뚱하게 있는 치아가 보이시나요?
아래턱 오른쪽 두번째 큰어금니가 신경치료는 되어있지만, 이미 뿌리만 남은 상태로 오셨어요.

노란색으로 동그랗게 표시해놓은 치아가 오른쪽 아래 두번째 큰어금니입니다.
오른쪽 사진을 보시면, 분홍색 재료가 신경치료 때 쓰이는 재료인데 모두 드러나 있어요.
어쩔 수 없이 빼야하는 상황입니다.
그런데 혹시 눈치채셨나요?

오른쪽 아래 두번째 큰어금니가 뿌리만 남아있은지가 너무 오래되서, 그 공간으로 짝꿍 치아인 (대합치) 오른쪽 위 두번째 큰어금니가 꽤나 내려와 있었어요.
치과에서는 치아가 정출(extrusion)되었다고 표현합니다.
공간이 침범되어 있는 상태였기 때문에 선택을 해야하는 상황이었답니다.
-
오른쪽 위 어금니를 신경치료하고 크라운으로 씌운다.
-
오른쪽 위 어금니를 부분교정을 통해 안으로 밀어넣는다. (함입)
첫번째 치료 방법이 일반적으로 행해지는 방법인데요,

비슷한 케이스의 다른 환자분의 경우인데,
왼쪽 위 어금니 부위 임플란트 수술을 위해 정출되어 있는 왼쪽 아래 두번째 큰 어금니를 의도적 신경치료 (근관치료) 후 크라운으로 씌워 준 경우입니다.
저희 신금호역 치과는 보존과 전문의 선생님이 계셔서, 역시나 퀄리티 좋은 신경치료가 가능했지요.
너무 오랫동안 치아가 없는 상태로 지내시면, 자연스레 대합치가 정출하게 되는데요
이를 다시 원상복구 하기 위해 선택되는 첫번째 방법은 의도적 근관치료 후 크라운 수복 입니다.
보통 치료 기간이 1달 남짓으로 짧다는 것이 큰 장점이지만,
-
신경치료가 실패할 수 있는 가능성.
-
신경치료 후 치아의 수명이 단축된다는 점.
-
보철치료 후 2차 충치 발생에 취약하다는 점.
등등 많은 단점을 갖고 있어요.
그래서 환자분을 잘 설득해서 두번째 방법으로 치료를 하기로 했습니다.
사실 두번째 방법인 부분교정치료가 아주 어려운 치료는 아닙니다.
교정 스크류를 이용해서 정출되어 있는 오른쪽 위 두번째 큰어금니를 약간 밀어넣기만 하면 되니깐요!!
가장 먼저 문제가 되었던 오른쪽 아래 두번째 큰 어금니를 발치했습니다.
아울러 위치가 좋지 않았던 위아래 사랑니도 발치했어요.

보시면, 치아 세개가 없어진것을 보실 수 있을거에요.!!
사실 이뽑고 3달이 지난 시점의 치과용 파노라마 사진이라, 이미 이 뽑은 흔적조차 남아있지 않네요...
보시면 오른쪽 위 치아 4개에 교정장치가 붙어있는 것을 보실 수 있을거에요.
일반적으로 큰어금니를 밀어넣는 (함입) 교정치료는 그 정출량에 따라 다르지만, 약 6-9개월 정도의 치료기간을 요합니다. 본 환자분 같은 경우에는 정출된 양이 적었기 때문에 전체 치료기간이 약 5개월 정도였어요!
(이게 환자분들이 가장 궁금해 하시는 것이죠! 만약 부분교정을 하지 않았더라면 총 치료기간은 2개월 남짓이었을겁니다. 대신 정출된 치아는 생명을 잃었을거에요..)
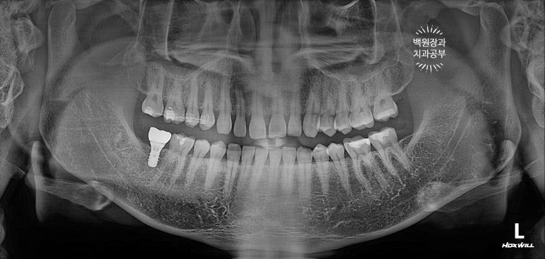
스트라우만 임플란트를 이용한 임플란트 1차수술을 시행하였습니다.
교정치료가 끝나기 약 2달 전이었습니다.

오른쪽 아래 두번째 큰어금니 자리에 스트라우만 임플란트로 임플란트 1차수술을 해드렸습니다.
사용된 스트라우만 임플란트 모델은 SLA Roxolid Standard plus 4.8WN x 8mm 로,
순수 티타늄으로만 만들어진 국산 임플란트들과 달리 지르코니아가 섞인 합금으로 구성되어 있고
골유착이 잘되어 요구하는 치유기간도 짧아 보철 치료도 더 빨리 마칠 수 있는 최고의 임플란트 입니다.!!!!
신금호역 치과, 스트라우만 임플란트를 사용하는 치과..

서울 성동구에서 스위스에서 제작된 세계1 위 스트라우만 임플란트를 사용하는 곳이 몇 곳 없을거에요.
서울대, 연세대 등 대학병원에서도 최고로 생각하는 임플란트입니다.!!!
저희 치과를 막간을 이용해 자랑을 좀 해봤고...
약 2달 뒤에 보철물을 완성해 드렸습니다.
제 포스팅을 보고 계신 분이라면, 임플란트가 고정체(fixture)-지대주(abutment)-크라운(crown) 세 개로 이루어진 것을 아실텐데요,
고정체는 뿌리, 지대주는 기둥, 크라운은 머리 라고 생각하시면 됩니다.

맞춤형 지대주 (custom abutment)에 보다 자연스러운 색상을 부여하기 위해 anodizing을 하여 금색으로 만들었습니다.
제작한 크라운은 SCRP type으로 추후 수리와 유지에 가장 용이한 타입입니다.
먼저 맞춤형 지대주를 연결해 줍니다.

보시면 위 어금니에는 아직도 교정장치가 붙어있고,
아래 어금니는 지대주가 설치된 것을 보실 수 있을거에요.

그리고 연결된 맞춤형 지대주 위에 크라운을 접착해 줍니다.
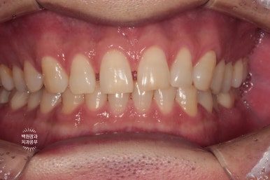
꽤나 자기치아와 유사한 형태 아닌가요....? ㅎㅎ

보철물 완성 후 촬영한 치과용 파노라마 사진입니다.
보시면 부분 교정 치료 후 오른쪽 위 두번째 큰어금니는 함입되어 제 자리로 돌아갈 수 있었고,
덕분에 추가로 삭제할 필요 없이, 아래 임플란트를 온전하게 제작할 수 있었어요.


정면에서는 보이지 않지만, 측면에서 보았을 때 가장 끝에 제작된 임플란트가 보입니다.
(사실 잘 구별 못하시겠죠? ㅋㅋ)

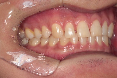
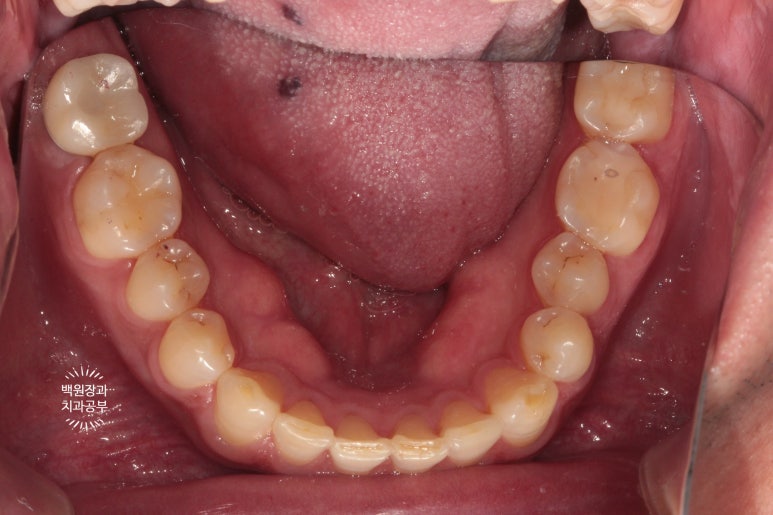
아래턱 치아들을 촬영해 보았습니다.
임플란트 크라운이 거의 자연치아와 유사하게 제작이 되었어요!
저희 신금호역 치과는 모든 임플란트 케이스를 맞춤형 지대주와 지르코니아 크라운을 이용하기에 상당히 훌륭한 결과를 보실 수 있습니다.

위 사진에서 바로 표시해 놓은 이 치아들이 스트라우만 임플란트에 접착한 지르코니아 임플란트 크라운 입니다!
아주 예쁘게 제작이 잘 되었네요!
Before & After!!

뿌리만 남은 오른쪽 아래 두번째 큰어금니와 오른쪽 위아래 사랑니를 발치했고,
약 5개월의 부분교정을 통해 내려와있던 오른쪽 위 두번째 큰어금니를 제자리로 올려주었습니다.
그리고 스트라우만 임플란트로 오른쪽 아래 두번째 큰어금니의 기능을 회복시켜주었어요.
아주 이상적이고 교과서적인 치료라고 생각합니다.
억울한 신경치료를 피함으로써 오른쪽 위 두번째 큰어금니의 생명을 지킬 수 있었어요.
이렇게 교정치료를 곁들여서 잘 이용한다면, 생각보다 훌륭한 퀄리티의 치료를 이뤄낼 수 있답니다.!!
어려운 치료를 함께 겪어주시고, 이해하고 잘 따라주신 환자분께 무한한 감사를 표합니다.
이상 교정과 전문의, 치주과 전문의가 상주하는 신금호역 임플란트 치과. 치과 백원장이었습니다.
치과의사로써 치과에서 일하다보면,
사실 매일같이 신경치료를 접하게 되는데요,
정말 중요한게 치과의사도 신경치료를 싫어합니다 !! ㅠㅠ
솔직히 건강보험이 되는 진료로써 수가도 받쳐주지 못하는 실정이고, 무엇보다 환자분들이 불편해하시고 성공률도 높지 않아요. 과학기술이 발전한 아직까지도 한참 더 발전해야 하는 것이 신경치료입니다.
그래서 최~~~대한 신경치료를 하지 않으려고 합니다.
심한 충치로 인한 경우 어쩔 수 없이 신경치료를 하고 씌우는 등의 치료가 필요하겠지만,
당연지사 억울하게 일부로 신경치료를 하는 일은 없어야 하지 않아야지요!!!
그런 의미에서 정출된 치아를 부분교정을 통해 수치상 단 몇 mm만 함입시켜줌으로써,
자연치의 생명을 보존하고 임플란트 치료를 성공적으로 마칠 수 있었던 지금과 같은 케이스가 더 보편화되어야 한다고 생각합니다 :)
옛날에야 교정수가가 엄~청 비싸서 사실 접근하기 어려웠지만, 이젠 부분교정치료나 신경치료 및 크라운으로 씌우는 치료나 비용도 비슷하거든요.. 조금 더 현명한 환자가 되어 자연치아의 생명을 같이 지킬 수 있으면 좋겠습니다.!
온라인상으로나마 상담을 원하신다면, 최대한 성실한 답변을 드려보도록 하겠습니다! :)
치료기간은 이를 뽑을 때부터 완성까지 약 5개월 정도 걸렸습니다.
실제로 내원하신 횟수는 약 15회입니다.
비용이 궁금하신 분들은 댓글을 달아주세요 :) 친절히 안내해드리도록 하겠습니다.
이상 '아래 어금니가 없어 위 어금니가 내려왔어요. 부분 교정을 곁들인 스트라우만 임플란트 수술. 억울한 신경치료를 피해보자. 치료과정/치료기간/비용/후기. ' 에 관한 포스팅의 치과 백원장이었습니다. 긴 글 읽어주셔서 감사드리며, 궁금한 점은 언제든지 댓글로 문의해주세요!
더 좋은 포스팅으로 또 찾아뵙겠습니다 ^^
본 포스팅은 환자분의 동의 후 작성하였습니다.
치료 시작: 2021.10.27
치료 완료: 2022.03.04
예상되는 부작용: 술 후 통증과 부종, 임플란트 골유착 실패 등