아카이브 요약
이 페이지의 역할
레브치과의원 강남점의 네이버 블로그 원문을 보존한 아카이브 페이지입니다. 백원장의 일상 카테고리의 치과의 과잉진료에 대하여. 나는 양심 치과의사인가? 글을 통해 병원의 한국어 정보 제공 방식과 진료 관련 안내 톤을 확인할 수 있습니다.
원문 검증
필요하면 원문 블로그와 병원 프로필로 바로 이동해 문맥을 다시 확인할 수 있습니다.
출처 아카이브 열기아카이브된 블로그 글
레브치과의원 강남점 · Naver Blog
안녕하세요. 임플란트 장인을 꿈꾸는 치과 백원장입니다. 저도 어렸을 때 그랬지만, 많은 사람들이 치과 과잉진료에 촉각을 세우곤 합니다. 치과에서 정신 안차리면 바가지 쓸 수 있다는 생각이지요. 그래서 양심치과가 한동안 유행이었던 적이 있습니다. 양심치과.. 나는 과연 양심 치과의사인가? 라는 생각이 들곤 합니다. 그리...
게시일
2023년 1월 6일
원문 기준으로 확인된 발행일입니다.
카테고리
백원장의 일상
원문 블로그 카테고리를 정리해 함께 표시합니다.
이미지 수
5
현재 아카이브에 연결된 이미지 수입니다.
아카이브 요약
레브치과의원 강남점의 네이버 블로그 원문을 보존한 아카이브 페이지입니다. 백원장의 일상 카테고리의 치과의 과잉진료에 대하여. 나는 양심 치과의사인가? 글을 통해 병원의 한국어 정보 제공 방식과 진료 관련 안내 톤을 확인할 수 있습니다.
원문 검증
필요하면 원문 블로그와 병원 프로필로 바로 이동해 문맥을 다시 확인할 수 있습니다.
출처 아카이브 열기안녕하세요.
임플란트 장인을 꿈꾸는 치과 백원장입니다.
저도 어렸을 때 그랬지만, 많은 사람들이 치과 과잉진료에 촉각을 세우곤 합니다.
치과에서 정신 안차리면 바가지 쓸 수 있다는 생각이지요.
그래서 양심치과가 한동안 유행이었던 적이 있습니다.
양심치과.. 나는 과연 양심 치과의사인가? 라는 생각이 들곤 합니다.
그리고 '양심치과'라는 타이틀을 표방하는 선생님들은 과연 양심 치과의사인가? 네임드 치과의사가 되어 더욱 더 많은 수익을 노리고 있는건 아니신지....?
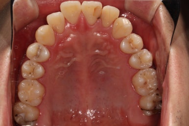
충치가 많은 것 같아요. 치료할 것은 다 치료받고 싶어요.
얼마 전에 저희 병원에 왔던 환자입니다.
어머니는 우리 병원을 오래 다녔던 환자분. 저희 치과를 믿고 방문해 주셨습니다.


충치는 몇 개 일까요?
맞아요. 충치는 대체 몇 개 일까요?
까맣게 보이는건 다 치료해야할까요?
얼마나 어떻게 치료할진 누가 결정하는 걸까요???

저 뿐만 아니라 우리 모두 까만색이 몇 갠지는 셀 수 있으니까,
제가 세보니깐 총 17개였습니다.
그럼 총 치아가 28개인데 17개가 썩었으니... 약 60%정도가 충치라는 얘기네요...
이렇게 얘기하면 환자분이 아하~ 하고 받아들이실까요?
충치는 누가 정하는 걸까요?
그럼 누가 정해야 할까요?
아마 치과의사가 정해야겠죠...
그래서 공부를 합니다.

흔하디 흔한 구글링만 해도, 정말 30초면 치아 우식 분류 표를 찾을 수 있습니다.
제가 봤을 때 CODE 1 까지는 지켜봐도 될 것 같고, CODE 2부터는 치료를 요한다고 생각이 듭니다.
근데, CODE 4 같은거 보면 좀 덜 썩어보이고.. 그쵸?
솔직히 CODE 2 정도라고 해서 단시간만에 썩는것도 아닙니다.
그래서 같은 치과의사인데 충치 개수는 맨날 다릅니다.
현실입니다.
제가 봤을 때 아까 그 분은 충치가 17개라고 해도 뭐.. 틀린말은 아닌 것 같습니다.
근데 저 분류대로 보면,

밑에 표시해둔 파란색 2개 정도는 좀 빨리했으면 좋겠다. 좀 급하다. 라는 생각은 들고,
노란색으로 표시해둔 것들은, 위에서 보시는 CODE 1에 해당되거나, 기존에 치료해둔 것의 변색으로도 보입니다.
그렇지만 기존 재료의 변색은 곧 치아와 재료 사이의 누수(leakage)를 뜻하고, 당연히 교체해주는 것이 원칙입니다. 다시 해야한다는 말이죠..
그럼.. 충치는 2개인가요? 17개인가요?
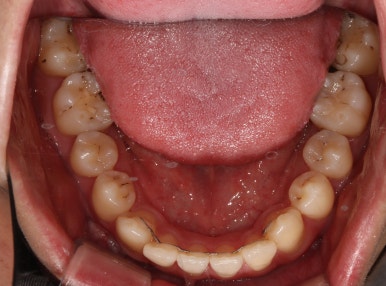
근데 또 반대의 경우도 있습니다.
17개의 까만 색 점들 속에서,
2개만 치료하고 나머지는 지켜보시죠!!
라고 당당히 얘기하고 귀가시켜드리면, 전화가 올 때가 있습니다.
아니, 다른 치과에서 급한 충치가 더 있다는데 왜 치료를 안해주신거에요???
이럴 땐 진짜 어느 장단에 맞춰야 할지 모르겠습니다.
그럼 저 분 같은 경우에는 17개 다 치료해버리는게 맞는 것 아닐까요?
신뢰가 없으니 더 어려운 것 같아요.
결국은 신뢰의 문제인데,
치과는 많고 치과의사도 너무 많은 이 세상에서,
참된 마음을 전하는 것이 너무 힘이 듭니다. ㅎㅎㅎ
싸게 하면 좀 더 신뢰를 얻을 수 있을까요? 아마 한개에 만원이었으면 17개 모두 치료받고 웃으면서 집에 가셨을 수도 있겠지요. 제가 볼 때는 싸게 하는 것이 더 양심 치과의사처럼 보이는데 도움이 되는 것 같습니다.
세상에 공짜가 없죠. 세상에 비싸고 나쁜건 있어도 싸고 좋은건 없습니다..
보통 안해도 될 것 까지 더 하려고 달려드는게 싸게 싸게 치료해준다는 치과들입니다.
정답은 없고, 항상 답답할 따름입니다.
사실 1년전의 저와 오늘의 제가 같은 상황을 두고 몇개를 치료할래? 하면 한 두개 정돈 다를 수도 있을 것 같아요.
하얀 치아는 누구에게나 하얗게 보이지만, 조금 까매지기 시작하면
조금이라도 썩으면 얼른 치료해서 크게 썩기 전에 막아야지!
어차피 치료할건데 잘 지켜보다가, 정 안될 때 치료해야지!
늘 이 두가지 생각 사이에서 어떤게 더 적합할지 고민할 따름입니다.
그래서 충치 검진할 때마다 너무 고민되고, 어떻게 하면 이 분이 마음에 드는 설명을 해드릴 수 있을까(?)를 생각하는게 일상이 되어버렸어요..
한 치아를 두고도 그 환자의 나이, 일정, 경제적 상황, 주변치아의 상태 등등 여러가지를 고려하여 치료 방법을 결정합니다. 그러니 당연히 치과의사간 이견이 생길 수 있습니다.
보여드렸던 환자분의 경우 조금의 생각 차이에 따라 2개가 될수도 17개가 될수도 있는 상황이었어요.
물론, 본인과 상의하여 결정해야하는게 치료계획이지만 순식간에 과잉진료 치과로 비춰졌던 기억이 너무 속상한..
언제까지나 치과의사는 치료를 '권할' 뿐입니다. 정확한 설명을 해드리는게 책임이자 미덕이고, 어쨌든 비용을 지불하는 환자분이 결정하셔야 한다는 것...... 좋은 관계였던 환자분을 다시 볼 수 없게 된 것 같아 미숙한 마음에 포스팅으로 남겨봅니다. 사람을 치료한다는 것은 언제나 어렵습니다.