안녕하세요.
임플란트 장인을 꿈꾸는 치과 백원장입니다.
모든 케이스는 제 환자분들의 동의하 제가 직접 작성하는 포스팅임을 미리 알려드립니다!!
너무 먹방 포스팅만 했던 것 같아요.
반성하고 다시 치과 포스팅으로 돌아왔습니다.!
오늘은 지르코니아 크라운 치료 과정에 대해 간단히 보여드리고자 합니다.
왜 지르코니아 크라운으로 치료를 받으셨는지가 먼저겠죠?
모든 치료는 정확한 진단을 반드시 필요로 합니다.
저희는 지르코니아 크라운을 정성스럽게 열심히 하는, 보철과 전문의가 상주하는 치과입니다.

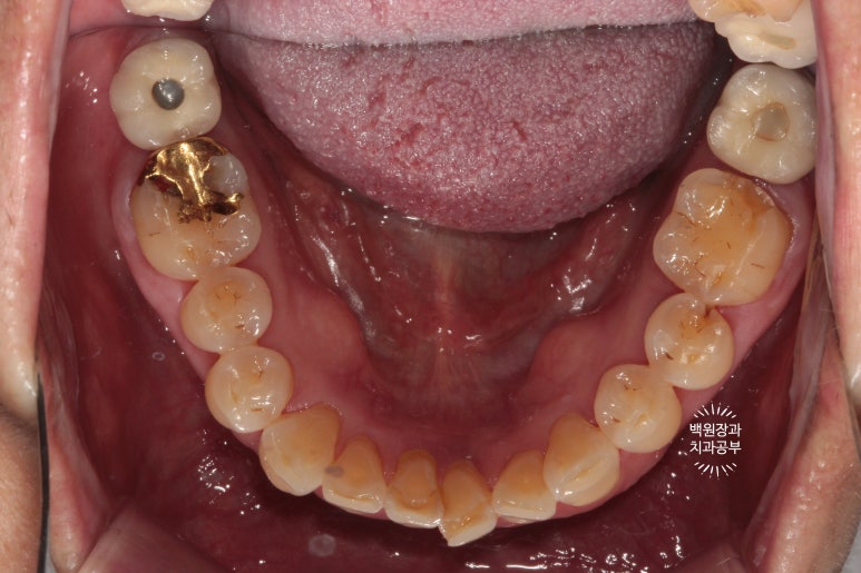
아래 어금니 떼운게 떨어졌어요. 썩은 것 같아요.
: 큰어금니 골드인레이 탈락하고 2차 충치 발견!

사진상에서 금니가 보이시나요?
떨어져서 가지고 오신 것을 제가 끼워놓은 상태입니다.
왜냐! 2차충치가 있음을 더욱 명확히 보여드리기 위해서입니다.

그림판으로 그리니 뭔가 더 쉬운데요? ㅎㅎ
빨간색으로 보이는 것은 음식물입니다.
오래 전에 붙여놓은 골드 인레이 주변으로 2차 치아우식증 (2차 충치)가 발생하여 그 틈으로 접착제가 녹아 골드인레이가 떨어진 것이었어요.
저 골드인레이를 제거하면 하방에 분명한 2차 충치가 있습니다.!!!
자, 2차 충치를 제거해 보겠습니다.
충치가 깊으면 신경치료를 해야할 수도 있다고 설명해드렸어요.

기존의 골드 인레이를 제거하였을 때, 하방에 존재했던 광범위한 2차 우식을 관찰할 수 있었어요.
제거를 시작해 보겠습니다.
어디까지 제거하냐면, 단단한 치질 (상아질)이 확보될 때 까지입니다.
(꼭 하얀색이 아닐 수 있어요. 보통 약간 누리끼리 합니다.)

처음에는 high speed angle을 이용하여 경계부를 제거해 줍니다.
이 후 치아 내부의 신경관 노출을 최소화 하기 위해서 마무리는 손기구 (hand instrument)로 진행!
결과적으로 2차 우식을 조심히 제거하여 치아 내부의 신경 노출을 피할 수 있었습니다.!!!
신경치료를 받은 치아는 생명을 잃게 되는 것과 같습니다. 그리고 치아의 수명도 짧아지죠...
증상만 없다면 피해보는 것이 아주 중요해요!!

너무 깊었기 때문에 치수를 진정시킬 수 있을 glass ionomer를 base로 사용하여 이장해 주었습니다.
쉽게 얘기하면, 신경이 노출되진 않았지만 너무 가까우므로 단열재를 설치해 주었다! 정도로 이해해주세요.

모양을 비교적 단정하게 정리해 주어 보았습니다.
음... 이렇게 확대해서 보고 있지만 실제로 보면 진짜 작아요 ㅠㅠ..

남은 빈 공간을 단단한 레진을 사용하여 채워줍니다.
레진 코어라고 해요!
보여드리는 치아 같은 경우 기존에 골드인레이가 꽤나 크게 설치되어 있는 상태였는데요,
제거된 골드인레이의 빈 공간 & 2차 충치가 있어 비어있는 공간이 상당히 컸기 때문에
지르코니아 크라운으로 치료계획을 세웠었습니다.
또한, 옆의 치아가 임플란트여서 골드인레이로 다시 할 경우 음식물이 덜 끼는 자연스러운 치아 모양 형성이 어려울 것이라 판단이 되어 접촉면(contact surface)를 넓게 형성하기 위해 지르코니아 크라운을 선택하였어요.
항상 치료는 치료하는 그 치아만 보고 판단할 것이 아니라, 결과를 예상해가면서 진단해야합니다.

저보다 잘 하시는 선생님들도 세상에 많겠지만,
최대한 간결하고 예쁘게 지르코니아 크라운 지대치 삭제를 시행하였습니다.
치과보철과 전문의가 있는 치과를 추천해봅니다.
치아의 길이가 너무 짧지 않았기 때문에, 잇몸 성형을 해주지 않아도 되는 경우였어요.

옆에서 보았을 때도 모양이 깔끔합니다.

당연한 과정이지만, 교합이 형성되도록 물었을 때 제작될 크라운의 두께가 충분한지도 반드시 확인해야합니다.
너무 얇은 지르코니아 크라운을 붙여드리면 금방 깨질 수 있으니깐요.
그리고 만약 이 두께가 충분하지 않아 보이면 치아를 더 깎아내야되겠죠? 더 깎아내면 너~무 치아가 조금 남을 것으로 예상될 때는 잇몸 성형을 해주어야 되겠죠? (간단한 원리입니다.)
그리고 사람 턱은 캐스터네츠가 아니기 때문에, 딱딱딱 물었을 때 뿐만 아니라
지글지글 양 옆으로 갈았을때, 턱을 앞으로 내밀었을 때를 모두 재연하여 확인을 해야합니다.

저렇게 깎여져 있는 채로 집에 가실 수 없죠!
임시치아를 제작하여 접착 후 귀가하시게 되는데요,
보통 지르코니아 크라운을 제작하는데 일주일 정도 소요됩니다.
2차 충치가 깊었기 때문에, 그 1주일동안 별다른 증상이 없는지 평가해보기 위해 임시치아를 제작해 드리는 것이에요. 가만히 있어도 통증이 있거나 너무 시리시면 불가피하게 신경치료를 해야할 수 있기 때문입니다.

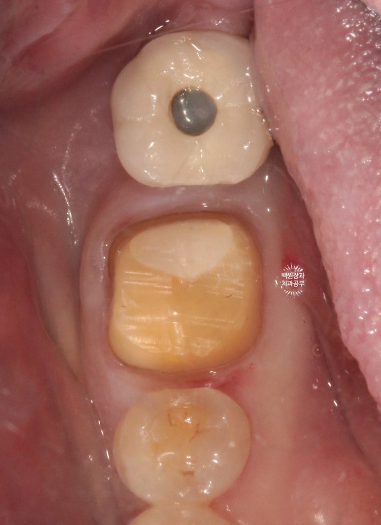
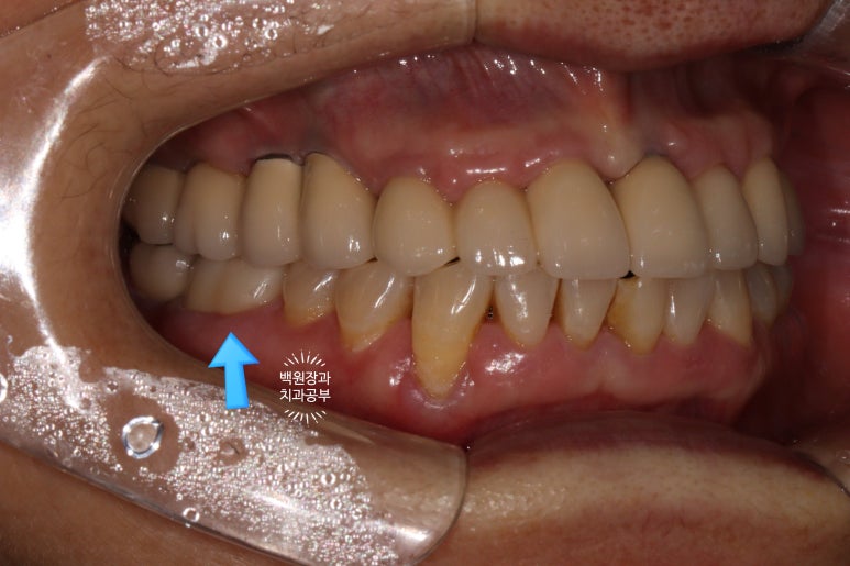
보시면 뒤에 위치한 임플란트의 치아 (구멍 있는 치아)와 앞에 위치한 작은 어금니와 넓은 접촉면을 형성하고 있는 것을 보실 수 있을거에요!
보철물은 치아에 비해 불완전하여 음식물이 쉽게 낍니다. 최대한 넓은 면적으로 접촉면을 형성해주는게 중요해요.

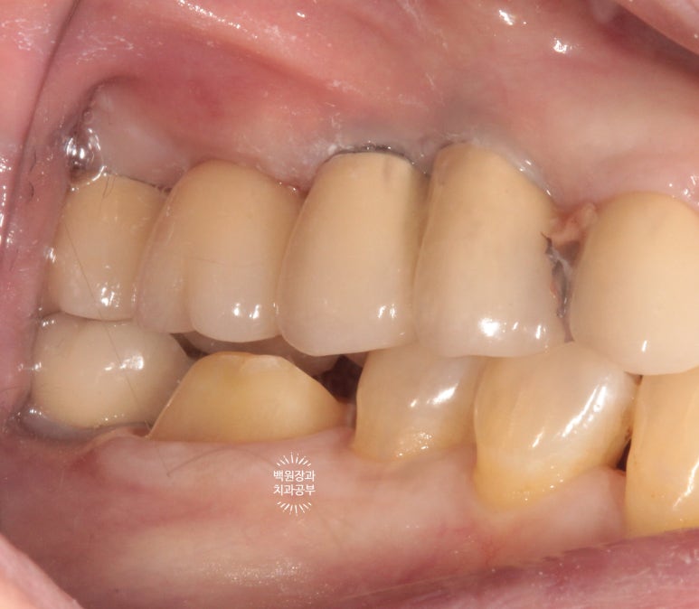
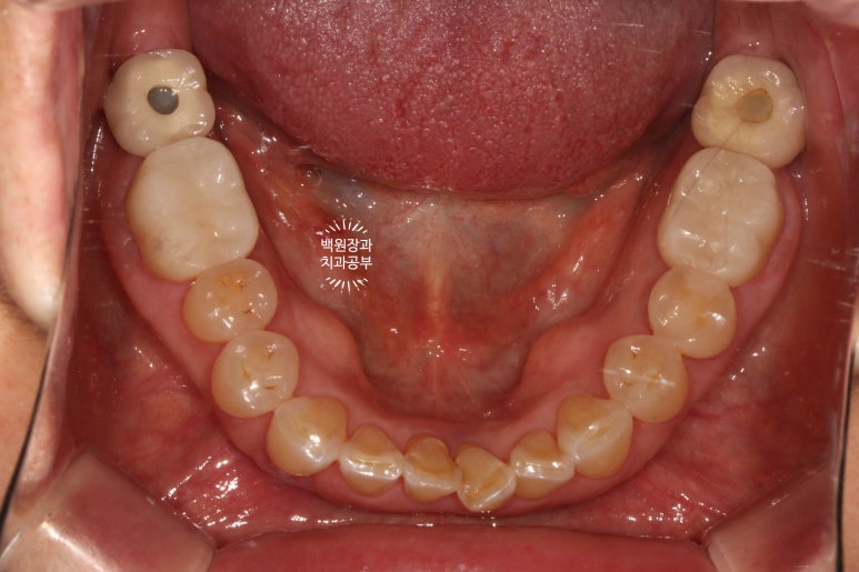
보철물 완성 6개월 후 촬영한 교합면 사진입니다.
특이하게도 좌우 어금니 부위가 맨 뒤의 임플란트 크라운 1개와 지르코니아 크라운 1개가 인접해있는 모양이네요.
지르코니아 크라운은 컴퓨터로 디자인하여 제작하기 때문에, 예로부터 많이 쓰이던 PFM 크라운 혹은 골드 크라운보다 훨씬 자연치아의 모양을 잘 모방하고 있으며 색상도 자연스럽습니다.

주변의 치아들과 상당히 조화로운 색상을 보이고 있고,
그 경계가 잇몸의 경계와 완전히 일치하여 훌륭한 결과를 보여주고 있습니다!!
이런 여러가지 장점이 있어 지르코니아 크라운을 선호합니다.

기존의 골드 인레이 주변으로 생긴 2차 충치 제거 후 지르코니아 크라운으로 치료해드린 이번 사례에서
가장 큰 의의는 신경치료를 하지 않고 자연치를 유지하며 예쁘게 지르코니아 크라운 치료를 해드렸다는 것입니다.
제가 여러번 강조하지만 신경치료는 치과의사도 싫어하고 환자분들은 더 싫어하시는 치료입니다.
치료가 까다롭고 어려우며, 성공적인 결과를 예상하기도 쉽지 않죠. 그래서 최~대한 하지 않는게 좋아요!
특이할만한 증상없이 6개월 넘게 큰어금니를 잘 사용하시는 모습에 뿌듯했던 케이스였습니다.
저도 열심히 잘 했지만, 함께 힘든 치료를 함께하며 좋은 결과를 주신 환자분께 감사의 말씀을 !!
크라운 치료는 치과에서 가장 많이 하는 치료 중 하나입니다.
보통 크게 치아가 파절되거나 충치가 깊을 때, 그리고 신경치료를 한 이후 등에 행해지며
어떻게 보면 치아를 떼우는 치료로써 마지막 치료라고 할 수 있어요.
이번 환자분 같은 경우에는 치아의 신경 가까이까지 충치가 있음에도 불구하고,
조심스러운 충치 제거와 base 재료로써 GI를 잘 사용하였던 것 그리고 최소한의 치아삭제를 통한 지르코니아 크라운 접착까지 3박자가 조화롭게 이루어져 좋은 결과를 낼 수 있었던 것 같습니다.
지르코니아 크라운은 장점이 아주 많습니다.
컴퓨터로 디자인하기에 자연치의 외형을 가장 잘 모방하고있고, 치아 색과 상당히 유사합니다.
그리고 충분한 강도를 갖고 있어 정말 왠만하면 깨지지 않아요.
저희 병원은 전문 기공소에 위탁하고 있기 때문에 제작까지 1주일 정도 걸립니다. (대부분의 치과가 그렇지만..)
강남에선 당일에 제작해준다고 하는데, 그 정도 인프라가 있는 치과가 부럽긴하지만 아무래도 기공소 소장님이 본인의 이름을 걸고 운영하는 기공소에 맡기는 것이 퀄리티가 훨씬 보장된다고 생각합니다. (자영업자와 근로자의 차이는 하늘과 땅이니까요....?!)
그리고 저희는 국산 지르코니아 혹은 미국 3M에서 만든 지르코니아 재료를 사용하고 있어요. 좋은 지르코니아는 색상이 밝고 반투명하며 그 표면 질감이 좋습니다.
솔직히 소비자가 알고 비교하여 느끼기에는 어렵겠지만, 좋은 재료... 아주 중요한 요소입니다.
간단한 케이스이지만 치과의사로써 보람을 느꼈던 케이스였습니다.
어찌됐건 크라운 치료는 치과보철과 영역이며, 치과보철과 전문의가 상주하는 치과에서 받으시길 권해드립니다.
온라인상으로나마 상담을 원하신다면, 최대한 성실한 답변을 드려보도록 하겠습니다! :)
치료기간은 충치를 제거하고 신경치료 여부 확인을 위해 체크하며 완성까지 2주 정도 걸렸습니다.
실제로 내원하신 횟수는 약 3회입니다.
비용이 궁금하신 분들은 댓글을 달아주세요 :) 친절히 안내해드리도록 하겠습니다.
이상 '어금니 보철물이 떨어졌어요. 골드인레이 탈락 후 지르코니아 크라운으로 치료. 충치치료과정/치료기간/비용/후기. ' 에 관한 포스팅의 치과 백원장이었습니다. 긴 글 읽어주셔서 감사드리며, 궁금한 점은 언제든지 댓글로 문의해주세요!
더 좋은 포스팅으로 또 찾아뵙겠습니다 ^^
본 포스팅은 환자분의 동의 후 작성하였습니다.
치료 시작: 2022.05.23
치료 완료: 2022.06.07
예상되는 부작용: 저작통, 추가적인 신경치료 등