아카이브 요약
이 페이지의 역할
레브치과의원 강남점의 네이버 블로그 원문을 보존한 아카이브 페이지입니다. 이웃공개 치과컨텐츠 카테고리의 어금니 여러개가 없어요. 전체 임플란트와 앞니 크라운을 통한 완벽한 재건!! 치료과정/치료기간/비용/후기. 글을 통해 병원의 한국어 정보 제공 방식과 진료 관련 안내 톤을 확인할 수 있습니다.
원문 검증
필요하면 원문 블로그와 병원 프로필로 바로 이동해 문맥을 다시 확인할 수 있습니다.
출처 아카이브 열기아카이브된 블로그 글
레브치과의원 강남점 · Naver Blog
안녕하세요. 임플란트 장인을 꿈꾸는 치과 백원장입니다. 오늘도 시작하는 백원장과 치과공부! 포스팅하는 증례는 환자분들의 동의 후 주치의가 직접 작성하는 포스팅입니다.!! 저희 병원이 서울에 있음에도 불구하고 임플란트를 10개 이상 하시는 분들이 종종 있습니다. 아마 임플란트 잘하는 병원으로 소문이 나고 있나봐요 !...
게시일
2023년 2월 10일
원문 기준으로 확인된 발행일입니다.
카테고리
이웃공개 치과컨텐츠
원문 블로그 카테고리를 정리해 함께 표시합니다.
이미지 수
35
현재 아카이브에 연결된 이미지 수입니다.
아카이브 요약
레브치과의원 강남점의 네이버 블로그 원문을 보존한 아카이브 페이지입니다. 이웃공개 치과컨텐츠 카테고리의 어금니 여러개가 없어요. 전체 임플란트와 앞니 크라운을 통한 완벽한 재건!! 치료과정/치료기간/비용/후기. 글을 통해 병원의 한국어 정보 제공 방식과 진료 관련 안내 톤을 확인할 수 있습니다.
원문 검증
필요하면 원문 블로그와 병원 프로필로 바로 이동해 문맥을 다시 확인할 수 있습니다.
출처 아카이브 열기안녕하세요.
임플란트 장인을 꿈꾸는 치과 백원장입니다. 오늘도 시작하는 백원장과 치과공부!
포스팅하는 증례는 환자분들의 동의 후 주치의가 직접 작성하는 포스팅입니다.!!
저희 병원이 서울에 있음에도 불구하고 임플란트를 10개 이상 하시는 분들이 종종 있습니다.
아마 임플란트 잘하는 병원으로 소문이 나고 있나봐요 ! 짝짝짝 !!
저를 믿고 따라와주시는 환자분들께 감사드리며, 좋은 결과는 또 기록해두고 두고두고 공유해야하지 않겠습니까?
이 또한 임플란트 수술에 정통한 치주과 전문의인 저, 그리고 함께 근무하는 보철과 전문의 원장님의 환상적인 콜라보레이션 덕분이라고 생각합니다. 호호
바로 오늘 증례 시작해보겠습니다. 깜짝 놀라실지도 몰라요..!..

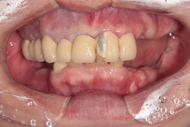
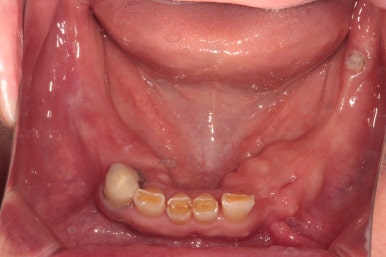
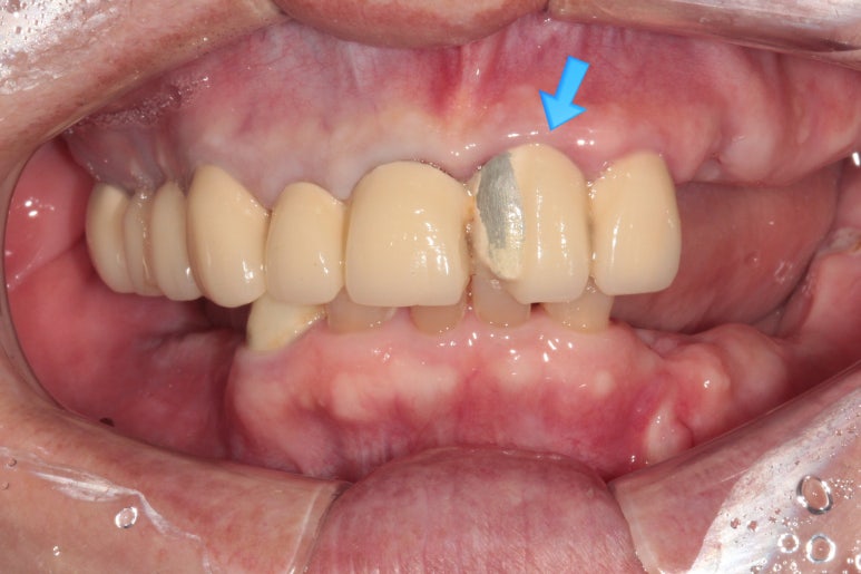
전체적으로 어금니가 여러개 없어요. 앞니는 깨졌어요.
틀니는 안하고 싶고.. 다 임플란트로 치료받고 싶어요.

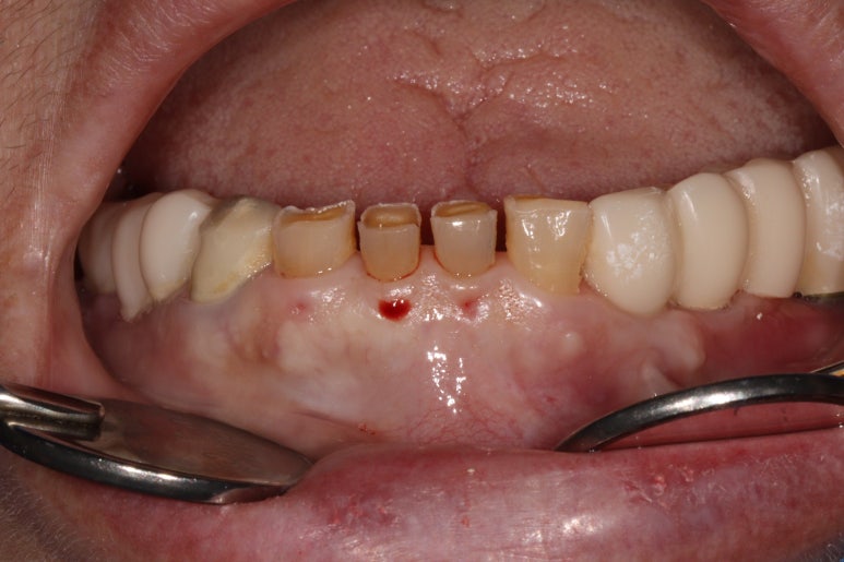
처음 오셨을 때 촬영한 정면 구강 내 사진입니다.
위 앞니 보철물은 도재 (포세린,porcelain)가 깨져있어 보기 흉한 상태였고, 대부분의 어금니가 없으신 상황..
지금까지 어떻게 식사하셨을까요 ㅠㅠ


양옆으로 보았을 때도 아래 어금니는 모두 없어진 상태이고, 쓸수 있는 치아가 많지 않았어요.


왼쪽: 위턱, 아래쪽: 아래턱
입천장쪽에서 바라 보았을 때 왼쪽 위 어금니는 뿌리만 남아 발치하였습니다.
아래턱은 보시다시피 치아가 5개 밖에 남지 않았어요.
사실 환자분은 금전적인 문제로 틀니치료를 심각하게 고민하고 있으신 상태였습니다....
그렇지만 60대 초반이셨고, 아직도 30년 이상 기대수명이 있기 때문에 임플란트를 포기할 수 없었죠.
저희 행당역 치과는 합리적인 가격의 임플란트로 시술하고 있어 그 점을 강하게 어필하였습니다!!!

엑스레이는 지난 내원 때 찍었던 것인데, 한가지 알 수 있는 것은?
다행히도 잇몸뼈가 건강하고 많아서 충분히 임플란트로 치료가 가능하다는 것!!
그래서 환자분을 잘 설득하여 하나하나 치료해보기로 하였습니다.
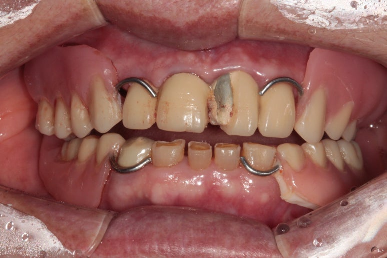
이를 뽑은 자리가 치유될 때까지 쓸 수 있는 임시틀니를 먼저 만들어봅시다.
이가 너무 여러개 없으셨기 때문에, 두 가지 목적으로 임시틀니를 만들어드렸습니다.
정면에서 보았을 때 치아가 보이게 하기 위한 심미적인 요구.
잃어버린 아래턱의 위치를 찾기 위한 기능적인 요구.
보통 첫번째 요구에 의해 임시틀니를 많이 생각하시는데요,
다수의 어금니를 상실하게 되면, 아래턱의 위치가 정해짐 없어지기 때문에 그 위치를 찾아드려야 합니다.
그 때 임시틀니가 큰 역할을 하게 되죠.

임시틀니의 착용 후 구내 사진은 위와 같습니다.
솔직히 예쁘지 않습니다... 기능도 훌륭하지 않아요...
'임시'틀니는 정말 '임시'일 뿐입니다. 식사 하실때도 잘 빠지고... 많은 환자분이 힘들어하시죠....
그래도 임시틀니의 역할은 앞에서 보았을 때 치아가 있어 보이게 해줄 수 있다는 것. (고리가 보이긴 하지만)
그리고 아래턱의 위치를 찾아가는 재활치료의 역할도 해줄 수 있다는 것을 기억해주세요.!!
아래턱에 뼈이식을 하면서 임플란트 1차 수술을 먼저 시행했습니다.

보시면 아래턱뼈에 총 5개의 임플란트를 심어드렸습니다.
사실 7개의 임플란트를 심어드려야 아래턱 치아 총 14개를 만들어드릴 수 있습니다만,
종종 경제적인 이유로 12개를 만들어드리는 것을 목표로 치료계획을 세우곤 합니다.
임플란트 치료 꿀팁? 이라면,
가성비 있는 전체 임플란트 치료를 원하신다면, 위 12개 아래 12개 치아를 만드는 것을 목표로 하시면 됩니다.
일반적으로 위턱뼈가 다소 무르고, 아래턱뼈가 보다 딱딱하기 때문에 위턱에 식립한 임플란트의 치유기간이 1달정도 깁니다. 그래서 위턱뼈 임플란트 수술을 먼저 합니다만, 이번 환자분의 경우 아래턱은 이미 치아가 발치되어 있던 상태셨기 때문에 아래턱 임플란트 수술을 먼저 했습니다.
3달이 지나 아래턱 임플란트 2차수술을 시행했습니다.
근단변위판막술(APF)을 함께 시행했습니다.

임플란트 1차 수술과 2차 수술의 개념을 모르는 분들이 많으실거에요.
간단하게 설명해드리자면!
임플란트 1차 수술 = 치아의 뿌리부분에 해당하는 고정체(fixture)를 잇몸뼈속에 심는다.
임플란트 2차 수술 = 고정체(fixture)에 치유지대주(healing abutment)를 연결하여 추후 보철물을 연결할 수 있게끔 구강내 환경을 조성한다.

임플란트 1차수술만을 시행하면 눈으로 보았을 때는 그저 잇몸만 보이게 됩니다.
임플란트의 고정체(fixture)에 치유지대주(healing abutment)를 연결해 준 모양이에요.
더불어 근단변위판막술(APF, apically positioned flap)을 시행해 주었습니다.
임플란트 2차 수술 때 최종적인 잇몸 형태를 고려하여 필요하면 잇몸성형수술을 '반드시' 함께 시행해주어야 합니다. 경우에 따라서 유리치은이식술(FGG, free gingiva graft) 혹은 근단변위판막술(APF) 단독으로 시행하곤 합니다. 임플란트 주변에 유리치은이식술에 대해서는 제가 2016년 대한치과의사협회지에 기고한 논문이 있으니 다음에 소개해드려볼께요!!
여튼, 임플란트가 끝나고 양치질하기에 좋은 환경을 만들어 주기 위해 최선을 다한다는 말!

딱 2주일만 지나도 이렇게 깔끔하게 낫는답니다.
각화치은의 양이 증대되어 양치질 하기에 좋은 환경이 조성되었어요!
이러한 상태에서 맞춤형 지대주와 임시치아를 접착하여 아래 틀니를 쓰지 않아도 되게끔 해드렸습니다.
그 결과는 아래에서 보실 수 있어요!
너무나 짧았던 아래 앞니를 회복해주기 위해 치관연장술(CLP)을 시행했습니다.
제가 전공한 치주과 진료 중 '잇몸성형'이라는 분야가 있습니다.
예쁘기 위한 잇몸 성형도 있지만, 기능적으로 필요에 의해서 하기도 하죠.

눈썰미가 좋으신 분이라면 눈치채셨을텐데요,
임시틀니를 껴드리면서 짧아진 앞니를 보상하기 위해서 약간의 공간을 띄워놓은 상태였어요.
그래야 짧아진 앞니를 제 크기로 만들 수 있겠죠?
저희는 치관연장술 (CLP, crown lengthening procedure)이라고 부릅니다.

대학병원 치주과 전문 진료기도 합니다. ㅎㅎ 일단 얼마만큼 잇몸을 제거할지를 표시해두죠.
(당연히 마취는 필수!)




수술 과정은 모자이크 처리 !!!
간단하게 이해를 도와본다면, 이상적인 형태를 갖출 수 있도록 잇몸을 제거하고,
판막을 거상하여 하부의 치조골 조직 삭제 및 양형골 형태의 골형성을 시행합니다.
이 후 봉합을 시행하여 마무리!


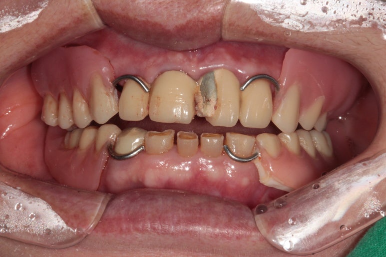
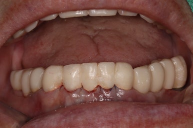
아직 임시치아라 그 모양이 완전치는 않지만, 확실히 더 나아진 형태를 보이고 있네요!
어금니는 임플란트 임시치아로, 앞니는 자연치 임시치아로 지내고 계신 모습입니다.
이제 슬슬 좋아져 가는게 눈에 보이시죠?
아래 임시틀니를 더 이상 쓰지 않아도 되는 것에 매우 만족해하셨습니다!
치료 시작 약 2.5달 정도 경과됐을 시점입니다.
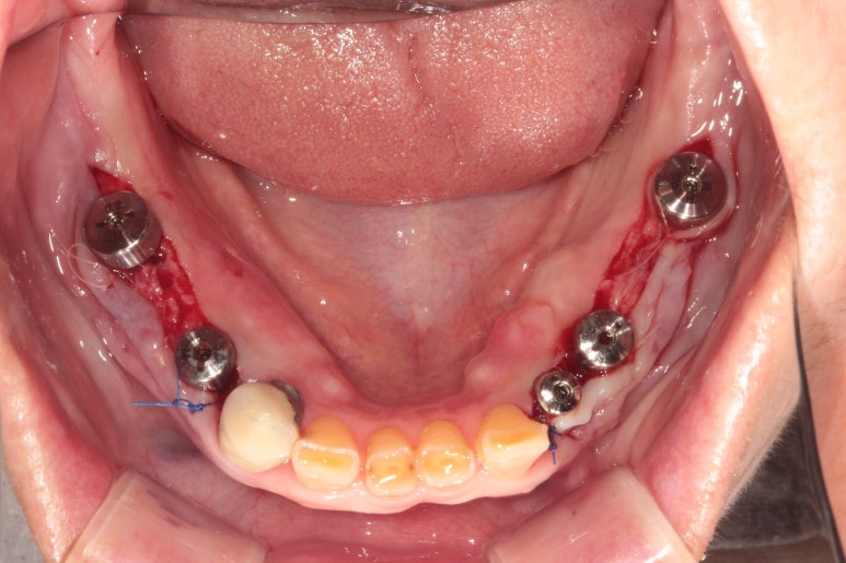
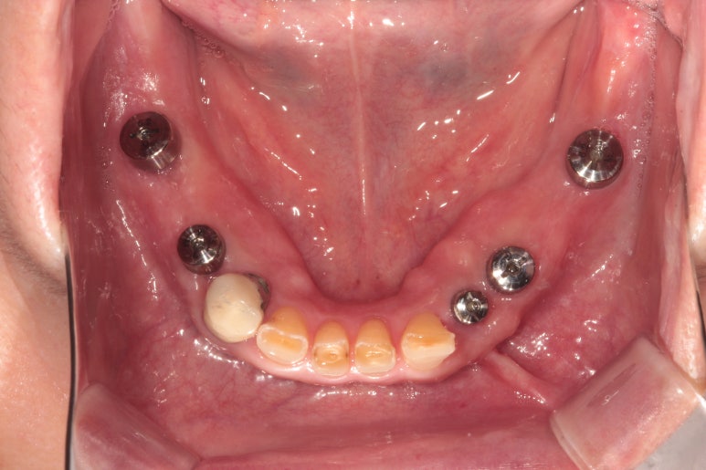
위턱에 뼈이식을 하면서 임플란트 1차 수술을 먼저 시행했습니다.
아래는 이제 어느 정도 모양을 잡아드린 상태이고, 이제 어느 정도 아물었을 위턱 부위에 임플란트 수술을 시행했습니다.

왼쪽 3개 오른쪽 3개 총 6개의 임플란트를 뼈이식과 함께 수술해드렸어요.
위턱 임플란트 수술 후 3개월의 치유기간을 거친 후 임플란트 2차 수술을 했습니다.

위 임플란트들도 뚜껑이 생긴 것을 보실 수 있으실거에요.
치유지대주를 연결해 주었습니다.

임플란트 2차 수술을 할 때면 기존에 시행했던 임플란트 1차수술 및 뼈이식이 얼마나 잘 되었을지를 확인할 수 있는데요, 본 환자분 같은 경우에는 정말 뼈이식 결과가 너무 좋아 임플란트가 풍부한 잇몸뼈에 뒤덮여 어딨는지 찾아 헤매일 정도였어요..!...
치료 경과가 아주 좋습니다!! 백원장 화이팅!!
이제 드디어...
위턱 임플란트에도 임시치아를 연결했어요.!!


위 앞니는 이미 최종보철물이 장착된 상태이긴 합니다.
위턱 어금니에도 맞춤형 지대주 연결 및 임시치아 접착이 되어있어요!
보시다시피 엄청나게 좋아진 것을 보실 수 있을거에요.
이제 2주~4주 정도 위 아래 어금니에 임시치아를 접착한채로 씹는연습을 하시게 됩니다.
쉽게 생각하시면, 저작 기능 회복을 위한 재활치료를 한다고 보시면 될 것 같습니다!
잘 보시면 아래 앞니는 아직 임시치아라 그 모양이 완전치 않아요 ㅎㅎ
한 부위 한 부위 임시치아를 최종치아로 바꿔나가기 시작합니다.

네이버에도 검색하면 나오는 구강스캐너입니다.
저희 치과에서도 사용하고 있는데요~ (이렇게 최고의 디지털 치과로 발돋움을..!)
구강 + 스캐너 = 입 안에서 스캐너를 사용한다는 말 !!
즉, 환자분이 임시치아를 사용하시면서 조금씩 조정해나갔던 그 형태 자체를
구강 스캐너(상품명 트리오스4)를 사용하여 채득해서 그 모양과 최대한 일치하게 최종치아를 만드는겁니다!
정말 제가 레지던트로 공부하던 그 때는 상상도 못하는 하이테크놀로지...

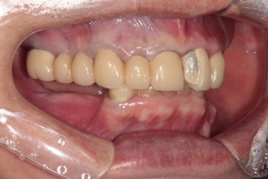
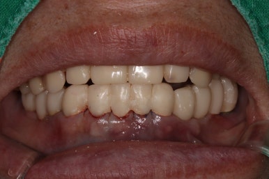
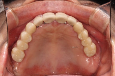
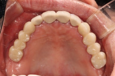
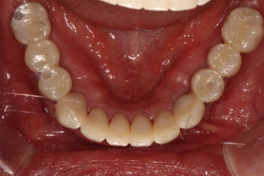
그렇게 완성된 최종 보철물 형태입니다.
임시치아와 다르게 지르코니아 크라운으로 제작되어 훨씬 단단하고 매끈하고 이상적인 형태를 가진걸 보실 수 있으실거에요.
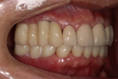
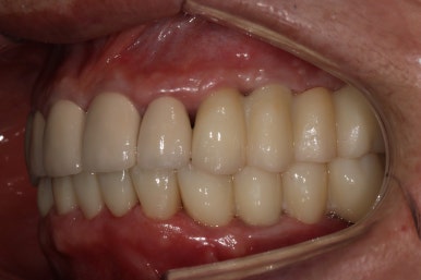
위 아래 앞니 모두 적절한 길이로 회복이 되었고, 어금니도 이상적인 형태를 보여주고 있습니다.


제거가 덜 된 접착제가 조금 보이긴 하지만,
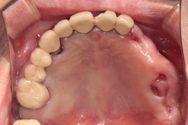
좌우로 옆에서 봤을 때도 충분히 기능이 잘 되게끔 잘 물리는 어금니를 보실 수 있을거에요.
식사 시 음식이 덜 끼도록 치아와 치아사이를 최대한 닫아놓은 모양입니다.


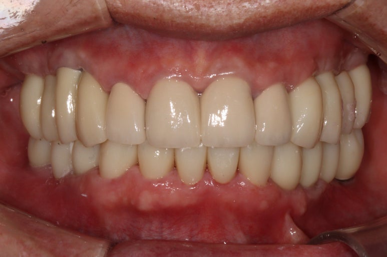
위아래 모두 아주 이상적인 형태로 제작된 치아모양의 지르코니아 크라운을 보실 수 있을거에요.
이 정도면 전체 구강 재건 (full arch rehabilitation)이라고 불러야 합니다.
상당히 난이도가 있는 케이스이며, 완성후에 자연스럽게 사용하시게 되려면 정말 경험 많은 치과의사가 필요합니다. 이를 위해 보철과 전문의와의 협진은 상당히 좋은 시너지를 내죠.
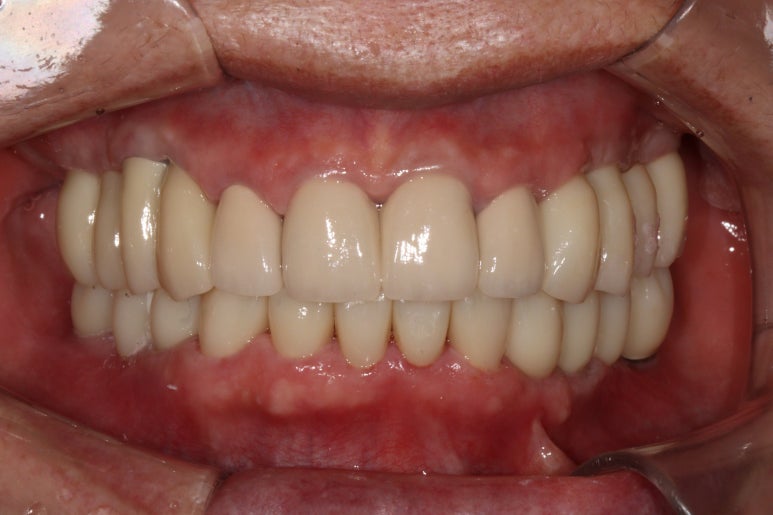
Before & After!!
마지막 뚜둔! 비포 앤 애프터 시간이죠?

처음에 오셨을 땐 앞니가 깨졌고, 어금니를 틀니로 치료받고 싶다고 하셨어요.
요새 임플란트 값이 얼마나 합리적인데요!! 틀니는 정말 가당치도 않습니다.. 설득 후 임시치아 장착!

임시치아를 장착했을 당시 핵심은 위 아래 공간을 살짝 띄운다는 것이었습니다.
수직 악간 고경 (vertical dimension)을 새로 설정해줌으로써 젊으셨을 때의 상태로 돌아갈 준비!
아직까지 갈길이 멀어보이네요ㅠㅠ

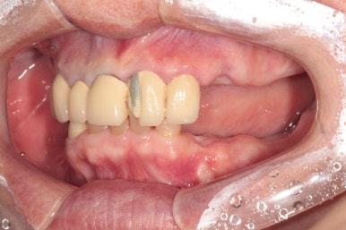
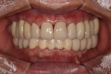
솔직히 제가 봐도 미라클한 최종 치료 사진...
이렇게 잘해도 되는건가요..!!!
적절한 색조와 형태를 가진 앞니 보철물.. 그리고 적절히 기능하도록 설정된 아래턱의 위치
모든것이 조화롭게 완성된 치료 후 구강내 사진입니다.
환자분도 정말 너무너무 대만족 하셨어요 :)

엑스레이 또한 빼놓을 수 없죠!!
적절한 위치에 심어진 임플란트는 곧 적절한 임플란트 크라운으로 이어지게 되고,
당연히 모양도 예쁘게 제작되겠지만, 음식물이 끼는 것도 최소화됩니다.
너무너무 뿌듯한 증례였습니다. 함께 고생했던 환자분께 감사의 말씀 전합니다.
이상 치주과 전문의, 보철과 전문의가 상주하는 임플란트 치과. 치과 백원장이었습니다.
여러개의 어금니를 상실하거나, 어금니를 뽑아야 하는 경우라면 반드시 임플란트 치료를 고려해보세요.
그리고 어금니 임플란트를 여러개 심어야 하신다면, 그러한 증례를 다수 경험한 치과의사를 찾으셔야 합니다.
이렇게 다수의 치아를 치료해야하는 경우, 가장 중요한 것은 역시나 치료계획수립입니다.
어떠한 치아를 뽑을지부터, 임플란트는 어느 위치에 몇 개나 어느 시기에 등등등 여러가지를 고려하고 치료결과를 예상할 수 있어야만 합니다.
그래야 환자분께 정확한 상담을 드리면서, 성공적인 임플란트 치료 결과에 확신을 드릴 수 있죠.
뿌리만 남은 치아가 많아 전체 임플란트를 했어야만 했던 환자분이나,
아예 치아가 하나도 없는 전체 무치악 환자에서의 전체 임플란트 후기 등 다양한 후기를 업로드 해드리고 있으니 참고해보시길 바랍니다!!
저희 치과는 다양한 전문과 전문의의 협진 시스템을 갖추고 있어, 양질의 진료를 효율적으로 받으실 수 있으실 거에요 :)
더 좋은 증례를 만들어내기 위해 항상 공부하고 노력하는 치과의사가 되겠습니다.
온라인상으로나마 상담을 원하신다면, 최대한 성실한 답변을 드려보도록 하겠습니다! :)
치료기간은 이를 뽑을 때부터 완성까지 약 1년 정도 걸렸습니다.
실제로 내원하신 횟수는 약 30회입니다.
비용이 궁금하신 분들은 댓글을 달아주세요 :) 친절히 안내해드리도록 하겠습니다.
이상 '어금니 여러개가 없어요. 전체 임플란트와 앞니 크라운을 통한 완벽한 재건!! 치료과정/치료기간/비용/후기. ' 에 관한 포스팅의 치과 백원장이었습니다. 긴 글 읽어주셔서 감사드리며, 궁금한 점은 언제든지 댓글로 문의해주세요!
더 좋은 포스팅으로 또 찾아뵙겠습니다 ^^
본 포스팅은 환자분의 동의 후 작성하였습니다.
치료 시작: 2022.01.11
치료 완료: 2023.01.10
예상되는 부작용: 술 후 통증과 부종, 임플란트 골유착 실패 등